praktika_uchebnoe_posobie (848509), страница 2
Текст из файла (страница 2)
а б в
Рис. 3. Конституциональные типы.
Гиперстеническое - чаще невысокий рост с относительным преобладанием поперечных размеров тела, шея низкая и толстая, конечности непропорционально короткие и широкие, дистальные фаланги пальцев рук выше середины бедра, туловище относительно длинное, брюшной отдел преобладает над грудным, (рис. 3в). Гиперстеники предрасположены к более раннему развитию атеросклероза и ишемической болезни сердца, чаще страдают сахарным диабетом 2 типа и обменными нарушениями (ожирение, подагра, желчно- и мочекаменная болезнь, артрозы и др.).
7. Температура кожи в подмышечной впадине:
- в норме - 36,0-36,9 °С;
- субфебрильная -37,0-37,9 °С;
- фебрильная - 38,0-38,9 °С;
- пиретическая - (39,0-39,9 °С;
- гиперпиретическая - 40,0-40,9 °С.
Измерение температуры в динамике, например, утром и вечером, позволяет судить о типе лихорадки вставить лихорадки
8. Исследование кожного покрова:
1) окраска;
2) чистота (наличие или отсутствие патологических элементов);
3) влажность;
4) упругость (тургор), эластичность;
5) придатки кожи.
1) Окраска кожи у представителей европеоидной расы бледновато-розовая (телесная) с разными оттенками, отличается у разных людей и обусловлена просвечиванием мельчайших кровеносных сосудов и содержанием пигмента, так как цвет кожи обусловлен многими факторами: расовой и национальной принадлежностью, полом, толщиной кожи, глубиной залегания и состоянием сосудов.
При врожденной (физиологической) бледности кожи слизистые оболочки имеют обычную окраску. Патологическая бледность кожных покровов сочетается с бледностью слизистых полости рта и конъюнктивы. Общая устойчивая бледность наблюдается при анемии, массивной кровопотере или внутреннем кровотечении, коллапсе, шоке, отеках почечного происхождения, аортальных пороках. Местное побледнение — результат ограниченного нарушения артериального кровоснабжения, например, одной стопы — при тромбозе артерии, кончиков пальцев — при синдроме Рейно (изолированный спазм местных артерий).
Гиперемия обусловлена расширением подкожных сосудов или повышенным содержанием гемоглобина в крови:
- преходящая диффузная гиперемия — при лихорадке, волнении, после ванны, горячего питья, приема алкоголя, при перегревании организма, физическом напряжении, климактерических «приливах», введении никотиновой кислоты, атропина и др.;
- стойкая диффузная гиперемия — при эритремии, эритроцитозе, гипертонической болезни, хроническом алкоголизме;
- местная гиперемия — следствие воспалительных процессов в коже и подлежащих образованиях (суставы, вены).
Синюшный оттенок (цианоз) обусловлен повышенным содержанием в крови восстановленного гемоглобина, гипоксией:
- распространенный (диффузный) цианоз называется центральным, легочным, или «теплым» (так как конечности на ощупь теплые) — при хронических заболеваниях легких и бронхов;
- акроцианоз локализован на губах, кончике носа, ушных раковинах, щеках, концевых фалангах пальцев рук и ног, называется сердечным, периферическим, или «холодным» (конечности на ощупь холодные) — при сердечной недостаточности (замедление кровотока на периферии);
- местный цианоз — при расширении, тромбозе или сдавлении извне вены и ограниченном нарушении венозного оттока.
Желтушная окраска (желтуха, иктеричность) обусловлена повышенным содержанием билирубина вследствие затрудненного выведения желчи в кишечник, расстройства функции печеночных клеток или повышенного распада эритроцитов:
- обтурационная (механическая) желтуха — зеленоватого оттенка — при закупорке общего желчного протока камнем (желчнокаменная болезнь) или сдавлении его извне (опухоль головки поджелудочной железы и др.);
- паренхиматозная желтуха — оранжевого оттенка — при заболеваниях печени (гепатит, цирроз печени);
- гемолитическая — лимонно-желтого оттенка, сочетается с бледностью — при усиленном распаде эритроцитов;
- ложная (слизистые не окрашиваются) — желтого цвета — при приеме в больших дозах некоторых лекарств (акрихин, хинин и др.), пищевых продуктов (морковь, цитрусовые, тыква).
Землистая окраска — при онкологических заболеваниях.
Бронзовая (цвета загара) окраска — гиперпигментация при хронической надпочечниковой недостаточности.
2) Кожа здорового человека чистая (имеется в виду не гигиеническое состояние, а отсутствие каких-либо патологических элементов).
Высыпания, часто встречающиеся при болезнях внутренних органов:
- волдыри (крапивница) — зудящие округлые возвышающиеся над поверхностью кожи плотноватые образования бледно-розового цвета, напоминающие ожог от крапивы, — проявление аллергии (рис. 4а);
Рис. 4а Волдырь
- везикулы — пузырьки, наполненные серозным или кровянистым содержимым, наблюдаются при герпесе. Герпетическая сыпь чаще локализуется на губах, крыльях носа, нередко встречается при крупозной пневмонии, гриппе (рис. 4б).
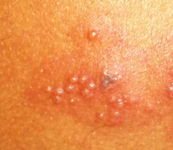
- пустулы — пузырьки, наполненные гноем, наблюдаются при стрептококковой инфекции кожи, может развиваться на фоне сахарного диабета; (рис 4в)
Рис. 4в Пустулы при пиодермии
-
узелки — плотные ограниченные образования в коже (рис. 5а и 5б)),
Рис. 5а Эпидермальный узелок (плокая бородавка)
Рис. 5б Подкожные ревматоидные узелки
-
эритема — обширный участок однородного покраснения кожи с четкими границами — при системной красной волчанке, повышенной чувствительности к некоторым пищевым продуктам, медикаментам, при рожистом воспалении и др.
Кольцевидная эритема встречается при ревматизме, системной красной волчанке, может быть связана с эндокринными расстройствами, иммунными нарушениями, непереносимостью лекарственных препаратов, новообразованиями (аденокарцинома, лимфома, острый лейкоз и др.).
Узловатая эритема в виде болезненных, красноватых узлов на голенях встречаются при саркоидозе, после ангины или через 10-14 дней после приема антибиотиков. (рис. 6)
Рис. 6а. Узловатая эритема Рис. 6б Эритематозная сыпь
Рубцы — свидетельство перенесенных операций, ожогов, ранений, травм, туберкулеза лимфоузлов; белесые рубчики (стрии) встречаются при ожирении, отеках, после беременности; багровые стрии — при гиперкортицизме. Расчесы могут быть при зуде (холестаз, цирроз печени, сахарный диабет, уремия, крапивница и др.). Пролежни могут появиться у больных, вынужденных длительно неподвижно лежать на спине.Рис. 6в
Геморрагии (кожные кровоизлияния) — могут быть точечными (петехии) при геморрагическом васкулите, мелкими (пурпура) при тромбоцитопении (рис. 7а), крупными (экхимозы) при гемофилии (рис. 7б).
а б
Рис. 7. Кровоизлияния на коже (Лис М.А. и др., 2011; Струтынский А.В. и др., 1997).
«Сосудистые звездочки» (телеангиэктазии) — пульсирующие ангиомы с разветвляющимися мелкими сосудистыми веточками, похожие на ножки паука или звездочку — диагностический признак заболеваний печени (циррозы).
Рис. 8. Сосудистые звездочки (Струтынский А.В. и др., 1997).
.
Ксантомы (внутрикожные бляшки на нижних и верхних конечностях, в подмышечных областях) вызваны нарушением липидного обмена в организме. Ксантелазмы (желтые мягкие бляшки в области век) – ранний признак атеросклероза при хронических заболеваниях печени, сахарном диабете, атеросклерозе и др. (рис. 9).
Рис. 9. Ксантелазмы (Энциклопедия клинического обследования больного, 2001).
3) Влажность кожи определяют при осмотре и с помощью пальпации (поглаживание тыльной стороной ладони в области предплечий, грудины, между лопатками):
- нормальная по влажности кожа имеет блеск, при пальпации не дает ощущения влаги на поверхности — у здорового человека (степень потоотделения зависит от индивидуальных особенностей организма);
- сухая кожа (гипогидроз) почти без блеска, шероховатая на ощупь, часто с шелушением — при потере большого количества жидкости (диарея, рвота, сахарный и несахарный диабет, микседема, хронический нефрит, гиповитаминоз и др.);
- влажная кожа (гипергидроз) (видны капли пота, отчетливо ощущается влага на поверхности): при сильных болях, страхе, лихорадке, острой сосудистой недостаточности, гнойных процессах, приступах удушья, тиреотоксикозе, туберкулезе и др.).
4) Тургор кожи (наполнение водой) определяется сдавлением кожи пальцами в области тыльной поверхности кисти, тургор кожи оценивается по тому сопротивлению, которое ощущается при сдавливании (рис. 10а). Повышение тургора указывает на скрытые отеки, снижение – обезвоживание.
Для определения эластичности кожу (обычно брюшной стенки, тыльной стороны кисти или разгибательной поверхности руки) двумя пальцами захватывают в складку, слегка оттягивают, затем пальцы разжимают и оценивают быстроту расправления кожи (рис. 10б):
- нормальная эластичность — складка кожи расправляется сразу после снятия пальцев;
- сниженная эластичность — кожная складка расправляется медленно — у пожилых людей, при обезвоживании (упорная рвота, понос), истощающих заболеваниях, нарушении обмена веществ и др.
а б
Рис. 10. Тургор и эластичность кожи.
5) При осмотре волос следует охарактеризовать и оценить:
-
свойства волос,
-
тип оволосения,
-
степень оволосения:
- ломкие, тусклые, сухие волосы могут быть при гипотиреозе, анемии, гиповитаминозах, других нарушениях обмена веществ;
- отсутствие растительности у мужчин на лице, у женщин в подмышечных впадинах - свидетельство недостатка половых гормонов;
- чрезмерная волосатость у женщин в сочетании с ростом усов и бороды (гирсутизм) наблюдается при болезни Иценко-Кушинга, опухолях и кистах яичников;
- облысение (алопеция):
-
диффузное — при лучевой болезни, анемии, кахексии, гипотиреозе, гиповитаминозах, некоторых инфекционных заболеваниях и др.;
-
очаговое (гнездное) — при сифилисе, грибковых поражениях волос и др.
Ногти обычно умеренно выпуклые, слегка блестящие, розового цвета. Изменения ногтей могут наблюдаться при трофических нарушениях, эндокринных расстройствах. Тонкие, ломкие, расслаивающиеся, вогнутые (ложкообразные) — при железодефицитной анемии, B12 гиповитаминозе, гипофункции щитовидной железы (рис. 11а). Выпуклые, в виде «часовых стекол» (рис. 11б) — при бронхоэктатической болезни, легочно-сердечной недостаточности, септическом эндокардите.















