Диссертация (1140612), страница 9
Текст из файла (страница 9)
Пациентам основной группы 2 в первое посещения после обследования и профессиональной гигиены полости рта проводили антимикробную обработку пародонтальных карманов гелем «Метрогил-дента», осуществляя экспозицию препарата в течение 30 минут (Рисунок 7). Затем эту процедуру проводили ежедневно в течение 7 дней.
| Рисунок 7. После удаления зубных отложений пациентам основной группы 2 проводили обработку пародонтальных карманов гелем Метрогил-дента. |
2.5.3. Методика фотодинамической терапии
Основной целью антимикробной ФДТ является избирательное воздействие на патогенные микроорганизмы без тепловой коагуляции тканей в зоне светового облучения. Суть метода заключается в воздействии световой энергии на фотосенсибилизатор, предварительно введенный в участок воспалительного процесса (Рисунок 8). Под действием световой энергии происходит активация фотосенсибилизатора с последующим образованием свободных радикалов, таких, как супероксид-анион, гидроксильные радикалы, перекись водорода (реакция 1 типа) и синглетного кислорода (реакция 2 типа), разрушающих мембрану микробной клетки. Это приводит к гибели микроорганизмов и ликвидации воспалительного процесса [Странадко Е.Ф. с соавт., 2010; Braham P. et al., 2009; Maisch T., 2009].
Рисунок 8. Общая схема клинического применения фотодинамической терапии (ФС-фотосенсибилизатор).
Немаловажными факторами, определяющими эффективность антимикробной ФДТ, являются свойства фотосенсибилизатора и его способность взаимодействовать с теми или иными компонентами бактериальной клетки. Большое значение имеют также характеристики светового излучения, способные обеспечить высокую эффективность фотохимических процессов [Странадко Е.Ф. с соавт., 2011; Наседкин А.Н. с соавт., 2012; Azarpazhooh A. et al., 2010].
Для активации фотосенсибилизатора при ФДТ необходим источник света низкой мощности видимого света с определенной длины волны. От длины волны зависит глубина проникновения света. Большинство фотосенсибилизаторов активируется красным светом с длиной волны от 630 до 700 нм, что соответствует глубине проникновения света от 0,5 см до 1,5 см [Плетенева Т.В. с соавт., 2009; Salva K.A., 2002].
В настоящей работе для проведения ФДТ использовали гель-фотосенсибилизатор тканей к световому излучению «Гелеофор» отечественного производства (ООО «Лазер-медцентр») (Рисунок 9). Препарат представляет собой гель темно–зеленого цвета, изготовленный из биомассы культивированных микроводорослей Spirulina platensis в соответствии с ТУ 9398-001-78551707-2012. Основным активным компонентом фотосенсибилизатора является хлорин е6.
Рисунок 9. Гель-фотосенсибилизатор тканей к световому излучению «Гелеофор» (ООО «Лазер-медцентр», Россия).
«Гелеофор» предназначен для фотодинамической терапии и имеет разрешение к применению в клинической практике на территории РФ (регистрационное удостоверение № ФСР 2012/14063 от 23.10.2013 г.). Форма выпуска – 2,0 мл геля в одноразовом шприце с пластмассовым колпачком в упаковке (1 мл геля содержит 5 мг активного вещества «Гелеофора»). Для активации препарата могут применяться различные источники световой энергии, но максимальная эффективность воздействия достигается при длине волны 662 н/м.
Для активации геля-фотосенсибилизатора в нашем исследовании применяли фототерапевтический светодиодный аппарат красного излучения АФС «Спектр» (ООО «Лазер-медцентр», регистрационное удостоверение № ФСР 2011/10396 от 23.10.2013 г.) В этом аппарате используется полупроводниковый светодиодный элемент, излучающий красный свет с максимальной длиной волны 662 нм (Рисунок 10).
Рисунок 10. Аппарат фототерапевтический светодиодный красного излучения АФС «Спектр» (ООО «Лазер-медцентр», Россия).
Излучение светодиодов данного прибора образует на облучаемой поверхности световое пятно в виде прямоугольника размером: 1,5×4,0 см. Полная мощность оптического излучения системы составляет от 1,0 Вт до 4,5 Вт, а плотность мощности – не менее 200 мВт/см2. Встроенный таймер позволяет устанавливать время проведения процедуры.
После проведения мероприятий по профессиональной гигиене полости рта пациентам проводили обработку поверхности десны и пародонтальных карманов гелем «Гелеофор» в дозировке 0,1 мл/см2 (Рисунок 11).
Рисунок 11. После удаления зубных отложений пациентам основной группы 3 проводили обработку пародонтальных карманов гелем «Гелеофор».
Обработанные участки десны с нанесенным фотосенсибилизатором изолировали от слюны и проводили световую активацию препарата в течение 10 минут (Рисунок 12). После процедуры несвязавшийся препарат удаляли многократным полосканием рта водой.
Каждый пациент получал три сеанса фотодинамической терапии с интервалом 2 суток. Световая доза при каждом сеансе составляла 6 Дж/см2 (время облучения 10 минут на каждую пораженную область).
Рисунок 12. Обработанные участки десны с нанесенным фотосенсибилизатором облучали с помощью светодиодного аппарата АФС «Спектр».
2.6. Методы статистического анализа
Статистическую обработку данных проводили с помощью пакета Statistica 8,0 для Windows, по стандартным методикам вариационной статистики.
Для сравнения достоверности различий между группами по исследуемым параметрам использовали непараметрические критерии Краскела–Уоллиса и Манна–Уитни.
Критерий Краскела–Уоллиса предназначен для проверки равенства медиан нескольких выборок. Данный критерий является многомерным обобщением критерия Уилкоксона–Манна–Уитни.
U–критерий Манна–Уитни – статистический критерий, используемый для оценки различий между двумя независимыми выборками по уровню какого–либо признака, измеренного количественно. Позволяет выявлять различия в значении параметра между малыми выборками.
В ходе проведения работы были использованы интернет ресурсы:
– Сервер NCBI (National Center for Biotechnology Information) Национальный центр информации по биотехнологии США (http:www.ncbi.nlm.nih.gov).
– GenBank – база данных генетических последовательностей, поддерживаемая NIH (National Institutes of Health), содержащая коллекцию общедоступных последовательностей ДНК, РНК и белков (http:www.ncbi.nlm.nih.gov/Genbank/index.html).
ГЛАВА 3. РЕЗУЛЬТАТЫ ИССЛЕДОВАНИЯ
3.1. Результаты клинической оценки эффективности фотодинамической терапии в сравнении с применением геля «Метрогил-дента» в составе комплексного лечения пациентов с ХГП
Для клинической оценки эффективности комплексного лечения пациентов с ХГП средней и тяжелой степеней проводили осмотр пациентов в сроки 30 и 90 дней после лечения, изучая жалобы пациентов и сравнивая данные объективного обследования в динамике.
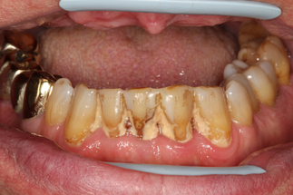
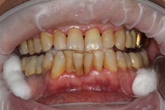
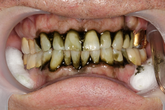
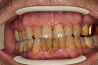
В основной группе 2 на фоне проводимого комплексного лечения с использованием геля «Метрогил-дента» отмечали улучшение как субъективных, так и объективных проявлений заболевания: уменьшались болезненность и кровоточивость десен, галитоз. Через 30 дней после лечения пациенты обеих групп отмечали значительное снижение болезненности, отека и кровоточивости десен, исчезновение неприятного запаха изо рта, некоторое снижение подвижности зубов, появление уверенности при жевании, улучшение общего состояния. При объективном обследовании отмечали уплотнение десневого края за счет уменьшения отека, существенное улучшение гигиенического состояния полости рта, прекращение выделения экссудата из пародонтальных карманов (Рисунок 13).
| до лечения | через 30 дней после лечения |
| Рисунок 13. Динамика состояния тканей пародонта у пациента с ХГП тяжелой степени через 30 дней после комплексного консервативного лечения с местным применением препарата «Метрогил-Дента» . | |
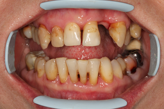
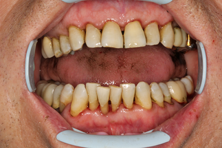
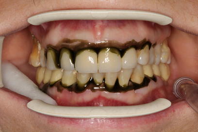
В основной группе 3 проводили фотодинамическую терапию с помощью препарата «Гелеофор» и светодиодного аппарата АФС «Спектр». По сравнению с традиционной антимикробной терапией с применением геля «Метрогил-Дента», противовоспалительный эффект которой наблюдался лишь после завершения всего курса лечения, пациенты группы 3 почувствовали улучшение своего состояния непосредственно на стоматологическом приеме после проведения фотодинамической терапии. После первого сеанса 24,0% пациентов отмечали снижение дискомфорта и болевых ощущений в полости рта, на которые жаловались до лечения. После второго сеанса ФДТ уже 62,0% пациентов субъективное улучшение. После третьего сеанса практически все пациенты (92,0%) отмечали улучшение состояния пародонта, снижение кровоточивости при чистке зубов, уменьшение воспаления десны и болевых ощущений. Улучшение состояния тканей пародонта подтверждалось и при объективном обследовании полости рта (Рисунок 14).
| Клиническая картина до лечения | Ортопантомограмма до лечения |
| Проведена профессиональная гигиена | Обработка ПК гелем «Гелеофор» |
| Активация фотосенсибилизатора | Состояние после первого сеанса ФДТ |
| Состояние после второго сеанса ФДТ | Состояние после третьего сеанса ФДТ |
| Рисунок 14. Динамика состояния тканей пародонта у пациента с ХГП тяжелой степени группы 3 в ходе проведения курса фотодинамической терапии. | |
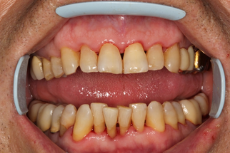
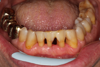
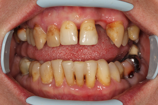
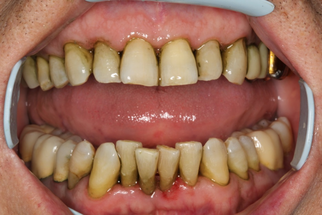
Через 30 дней после комплексного лечения с применением фотодинамической терапии у пациентов основной группы 3 отмечена выраженная положительная динамика состояния тканей пародонта по сравнению с исходным уровнем (Рисунок 15). Все пациенты отмечали снижение кровоточивости десен при чистке зубов, исчезновение неприятного запаха изо рта, гноетечения из ПК. Объективное обследование показало, что у всех пациентов отсутствовали признаки активного воспаления в тканях пародонта (отек и гиперемия), существенно снизилась степень кровоточивости десны, прекратилась активная экссудация из пародонтальных карманов.
| до лечения | через 30 дней после лечения |
| Рисунок 15. Динамика состояния тканей пародонта у пациента с ХГП тяжелой степени через 30 дней после комплексного консервативного лечения с применением фотодинамической терапии. | |
Осмотр пациентов через 90 дней после проведенного лечения показал, что у пациентов обеих групп отсутствовали признаки активного воспалительного процесса в тканях пародонта, не наблюдалось отделяемого гнойного характера из пародонтальных карманов. Признаки обострения ХГП отсутствовали и при анализе ортопантомограмм, полученных через 90 дней после проведенного комплексного лечения.















