Диссертация (1140612), страница 7
Текст из файла (страница 7)
Группа 3 включала 50 пациентов с ХГП, которым в комплексное лечение пародонтита была включена местная антимикробная обработка пародонта методом фотодинамической терапии. По степени тяжести пародонтита распределение было аналогичным распределению в группе 2.
Таблица 1. Распределение участников исследования по группам
| Группы | Диагноз | Количество пациентов | Проведенное лечение |
| группа 1 (контрольная) | интактный пародонт | n=50 | лечение не проводилось |
| группа 2 (основная) n=50 | ХГП средней степени ХГП тяжелой степени | n=25 n=25 | комплексное лечение пародонтита с местным применением геля «Метрогил-Дента» («Юник Фармасьютикал Лабораториз», Индия) |
| группа 3 (основная) n=50 | ХГП средней степени ХГП тяжелой степени | n=25 n=25 | комплексное лечение пародонтита с антимикробной фотодинамической терапией (фотосенсибилизатор - гель «Гелеофор», источник света – аппарат АФС «Спектр» производства ООО «Лазер-медцентр», Россия) |
Учитывая, что пол и возраст оказывают существенное влияние на состояние тканей пародонта, при формировании контрольной и двух основных групп строго соблюдали принцип однородности по полу и возрасту.
Для достижения цели и выполнения задач работы всем лицам, включенным в исследование, было проведено первичное клиническое стоматологическое обследование, рентгенологическое исследование (ортопантомография), исследование методом ПЦР в реальном времени на предмет наличия в содержимом десневой бороздки / пародонтальных карманов общей бактериальной ДНК, пяти пародонтопатогенов и двух потенциальных пародонтопротекторов (Таблица 2). Пациентам с ХГП клиническое и молекулярно-генетическое исследование проводили еще дважды (в сроки 30 и 90 дней после лечения, а ортопантомографию – через 90 дней после лечения). Для контроля проводили фотографирование полости рта пациента до лечения и на этапах комплексной терапии. В процессе лечениия ни один пациент не был исключен из исследования.
Данные клинических, рентгенологических и молекулярно–генетических исследований накапливали в форме таблиц Excel, формируя базу данных для выполнения статистической обработки.
Таблица 2. Общее количество проведенных исследований
| № п/п | Методы исследования | Материал исследования и сроки | Количество исследований |
| 1. | Клиническое стоматологическое обследование по стандартной схеме с определением индекса гигиены Green–Vermillion, степени кровоточивости десны по Műhlemann-Cowell, средней глубины пародонтальных карманов, степени подвижности зубов по шкале Miller–Fleszar | 50 лиц с интактным пародонтом – однократно в начале исследования, 100 пациентов с ХГП - трижды: до лечения, через 30 и 90 дней после лечения | 350 |
| 2. | Цифровая ортопантомография на аппарате Orthophos XG 5 («Sirona», Германия) | 50 лиц с интактным пародонтом – однократно в начале исследования, 100 пациентов с ХГП - дважды: до лечения и через 90 дней после лечения | 250 |
| 3. | Молекулярно-генетическое исследование с определением в содержимом десневой броздки/ пародонтальных карманов общей бактериальной массы, ДНК–маркеров 5 пародонтопатогенов (A. actinomycetemcomitans, P. gingivalis, P.intermedia, T. denticola, T. forsythia) и двух потенциальных пародонтопротекторов (V. parvula и S. snaguinis) методом ПЦР в реальном времени (по 4 образца от одного участника при каждом исследовании и 8 реакций для каждого образца) | 50 лиц с интактным пародонтом – однократно в начале исследования, 100 пациентов с ХГП - трижды: до лечения, через 30 и 90 дней после лечения | 1400 образцов микрофлоры, 11200 исследований методом ПЦР в реальном времени |
2.2. Клинические методы обследования пациентов
Клиническое стоматологическое обследование проводили по стандартной схеме.
При сборе анамнеза особое внимание уделяли наличию или отсутствию наследственной отягощенности по заболеваниям пародонта со стороны отца и матери. При наличии сопутствующей соматической патологии, оценивали ее возможное влияние на состояние тканей пародонта. У пациентов с ХГП оценивали характер проведенного ранее лечения и его эффективность, количество ежегодных обострений.
При внешнем осмотре пациентов оценивали конфигурацию лица, пропорциональность верхней, средней, нижней трети лица, выраженность носогубных и подбородочных складок.
Регистрировали данные объективного исследования полости рта: состояние прикуса, количество зубов, наличие ортопедических конструкций в полости рта, состояние тканей пародонта (глубину пародонтальных карманов, наличие гнойного отделяемого, степень рецессии десны, величину гигиенического индекса Green–Vermillion, степень кровоточивости десны по шкале Műhlemann-Cowell, степень подвижности зубов по шкале Miller–Fleszar).
Осмотр полости рта начинали с определения глубины преддверия и уровня прикрепления уздечек верхней и нижней губ, изучения состояния слизистой оболочки, фенотипа десны. Определяли количество зубов, наличие пломб, шинирующих и ортопедических конструкций.
Глубину пародонтальных карманов измеряли с помощью калиброванного пародонтального зонда (Hu-Friedy, США), рассчитывая среднее значение.
Для определения уровня гигиены полости рта рассчитывали индекс Грин–Вермиллиона (Green J.C., Vermillion J.R., 1964), визуально оценивая количество зубного налета и зубного камня в области 6 зубов «Рамфьёрда»: вестибулярные поверхности зубов 1.6, 1.1, 2.6, 3.1; язычные поверхности 3.6, 4.6. Для лучшей визуализации налета поверхности зубов окрашивали раствором Шиллера–Писарева.
Наличие налета на зубах оценивали по следующей шкале
-
0 – отсутствие налета,
-
1 – налет покрывает не более 1/3 поверхности коронки зуба,
-
2 – налетом покрыто до 2/3 поверхности коронки зубов,
-
3 – налет покрывает более 2/3 поверхности коронки зубов.
Для оценки зубного камня использовалась эта же оценочная шкала, но красители не применялись.
Для цифрового выражения индекса гигиены сумму показателей зубного налета и зубного камня в области всех зубов делили на количество обследованных зубов, т.е. на 6.
Для оценки степени кровоточивости десны использовали индекс Мюллемана (Műhlemann, 1971) в модификации Коуэлл (Cowell I., 1975). Для этого кончиком специального зонда проводили вдоль стенки десневой бороздки.
Оценочная шкала:
-
0 – в ходе исследования кровоточивость отсутствует;
-
1 – кровоточивость появляется не раньше, чем через 30 с;
-
2 – кровоточивость возникает сразу после проведения исследования или в пределах 30 с;
-
3 – со слов пациента кровоточивость отмечается при приёме пищи или чистке зубов.
Цифровое значение индекса рассчитывали путем деления суммы показателей на общее количество обследованных зубов.
Оценку подвижности зубов проводили по степени их смещения с помощью пинцета с использованием шкалы Миллера–Флезаpa (Miller M., Fleszar Р., 1980):
-
0 – устойчивый зуб, имеется только физиологическая подвижность;
-
1 – смещение зуба относительно вертикальной оси несколько больше, но не превышает 1 мм;
-
2 – зуб смещается на 1−2 мм в щечно–язычном направлении, функция не нарушена;
-
3 – подвижность резко выражена, при этом зуб движется не только в щечно–язычном направлении, но и по вертикали, функция его нарушена.
2.3. Рентгенологические методы исследования
Для уточнения диагноза и оценки состояния костных структур тканей пародонта использовали цифровую ортопантомографию.
В отделении рентгенологии ФГБУ «ЦНИИС и ЧЛХ» Минздрава РФ используется ортопантомограф Orthophos XG 5 («Sirona», Германия), который мы применяли для наших исследований (Рисунок 1).
Рисунок 1. Ортопантомограф Orthophos XG 5 («Sirona», Германия).
Метод позволяет определить наличие, характер, распространенность и степень патологических изменений в костной ткани челюстей.
2.4. Молекулярно–генетические методы исследования
2.4.1. Получение образцов биологического материала
В задачи исследования входило изучение состава микрофлоры, обитающей в десневой бороздке лиц с интактным пародонтом и содержимом пародонтальных карманов пациентов с ХГП. С помощью ПЦР в реальном времени» проводили определение общей бактериальной массы, представленности в ней пяти пародонтопатогенов (A. actinomycetemcomitans, P. gingivalis, P. intermedia, T. denticola, T. forsythia) и двух видов – кандидатных пародонтопротекторов (V. parvula и S. sanguinis).
Забор биоматериала для молекулярно-генетического исследования у лиц контрольной группы 1 проводили однократно в ходе клинического стоматологического обследования, а у пациентов основных групп 2 и 3 получение содержимого пародонтальных карманов осуществляли трижды: до лечения, через 30 и 90 дней после последней лечебной процедуры.
Всех участников исследования заранее инструктировали по условиям забора биоматериала. За 30 минут до процедуры пациентам рекомендовали воздержаться от чистки зубов, приема пищи и каких–либо жидкостей.
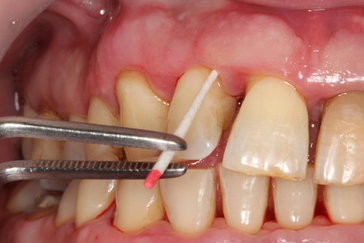
Содержимое десневой бороздки или пародонтальных карманов извлекали с помощью стерильных бумажных эндодонтических штифтов Absorbent Paper Points №25 (Dispodent Euronda, Малайзия). Для получения более достоверных результатов у каждого пациента отбирали 4 образца одновременно: по два образца на верхней челюсти (справа и слева) и два – на нижней. У пациентов с ХГП образцы микрофлоры были взяты из самого глубокого кармана в каждом квадранте (Рисунок 2).
Рисунок 2. Забор содержимого пародонтального кармана у пациента с ХГП.
Штифты с полученными образцами биоматериала помещали в стерильные пробирки типа Эппендорф объемом 1,5 мл с физиологическим раствором. Все пробирки маркировали с помощью цифровых кодов, которые регистрировали в индивидуальной карте пациента. Хранение образцов осуществлялось в холодильнике при температуре – 2ºС, а транспортировка в лабораторию – в специальных термоконтейнерах при температуре 4°С.
2.4.2. Методика выделения ДНК
Одним из первых и очень важных этапов молекулярно–генетического исследования является обработка биологического материала для экстракции из него нуклеиновых кислот. В процессе выделения ДНК необходимо обеспечить тщательную гомогенизацию образцов, чтобы разрушить имеющиеся в них клетки, а затем отделить ДНК от сопутствующих ей белков и прочих соединений для получения препарата с чистотой, пригодной для постановки ПЦР. С этой целью применяются различные методы экстракции: термическая обработка, растворение биологического материала с помощью хаотропных агентов или органических растворителей.
В нашем исследовании для выявления ДНК инфекционных агентов и оценки количества геномной ДНК пациента (в качестве нормировочного показателя) проводили экстракцию ДНК из биологических образцов с помощью специального комплекта реагентов «Проба–ГС» (ООО «НПО ДНК–Технология», Россия), который основан на лизисе клеток сильными хаотропными агентами. «Проба–ГС» с высокой эффективностью разрушает клетки бактерий независимо от строения их клеточной стенки, а также подходит и для экстракции геномной ДНК человека. Выделенный препарат ДНК хранили при температуре +2–8°С не более 7 суток или при температуре –20°С не более 6 мес.
Для определения качественного и количественного соотношения пародонтопатогенных бактерий в исследуемых образцах использовали метод полимеразной цепной реакции «в реальном времени» (ПЦР «в реальном времени»). Супернатант, содержащий выделенную ДНК, вносили в реакционную смесь для ПЦР–амплификации. В качестве матрицы для проведения одной ПЦР–реакции использовали 5 мкл полученного препарата.
2.4.3. Проведение ПЦР в режиме реального времени
ПЦР проводили с помощью детектирующего амплификатора «ДТ–96» (ООО «НПО ДНК–Технология», Россия), а регистрацию результатов – с помощью специального программного обеспечения к этому прибору (Рисунок 3).















