ТР3 Рудова А (991031)
Текст из файла
I. ОСОБЕННОСТИ КОМПОЗИЦИОННЫХ РЕЗИСТОРОВ
Резистивным элементом в КР являются полупроводящие материалы, получаемые путем механического смешивания порошкообразных полупроводников и металлов с диэлектриками. Особенностью композиционных резистивных материалов является большое удельное объемное сопротивление, которое может достигать 1010 ом*см и более, т. е. значений, свойственных диэлектрикам.
Однако, в отличие от диэлектриков, полупроводящие композиции при известных условиях могут быть получены с малой зависимостью сопротивления от температуры и напряжения. Это дает возможность получения высокоомных резисторов при большом сечении резистивного элемента, что обеспечивает их надежность и устойчивость к перегрузкам, в особенности при объемной конструкции.
Наряду с этим следует отметить ряд технологических и принципиальных преимуществ композиционных материалов, а именно:
а) возможность получения резистивного элемента любой формы в виде массивного тела или в виде однородной пленки на любой по форме и величине поверхности, что не всегда достижимо методом осаждения;
б) сравнительно простая технология производства, не требующая в большинстве случаев сложного оборудования, дорогостоящих материалов, высокотемпературных или вакуумных процессов;
в) возможность управления (в определенных пределах) путем изменения состава композиций электрическими свойствами резисторов, в частности, варьирования величины и знака температурного коэффициента.
Общим недостатком композиционных резисторов является некоторая зависимость сопротивления от напряжения и сравнительно большой уровень токовых шумов, в особенности для высокоомных резисторов. Одной из причин этого является сравнительно грубая дисперсность проводящих компонентов.
Резисторы, содержащие органические связующие материалы (смолы), сравнительно легко подвержены воздействию влаги и повышенной температуры. Предельные рабочие температуры не превышают 150° С. При использовании неорганических связующих (стекло, керамика), хотя и могут быть достигнуты высокая теплостойкость и влагостойкость резисторов, но пределы достижимых величин удельного сопротивления значительно снижаются, увеличиваются нелинейность и токовые шумы.
II. СТРУКТУРА И СВОЙСТВА ПРОВОДЯЩИХ КОМПОЗИЦИЙ
Композиционный проводник представляет собой гетерогенную систему из двух или нескольких фаз, из которых одна является проводящей.
В качестве компонентов проводящей фазы используются порошкообразные полупроводники с малой энергией активации в мелкодисперсном состоянии, иногда в сочетании с металлами.
Непроводящими компонентами являются:
а) связующие диэлектрические материалы, назначением которых
является механическое скрепление композиции в твердое непористое тело;
б) инертные, порошкообразные (большей частью минеральные)
наполнители, вводимые для придания композиции требуемой структуры и механических свойств.
Для того чтобы электрические свойства композиции приближались к свойствам проводящей фазы, необходимо, чтобы непроводящие компоненты не участвовали в общей проводимости, что возможно при соблюдении двух условий:
-
проводящая фаза должна быть непрерывной;
-
проводимость непроводящей фазы должна быть значительно меньше общей проводимости композиции.
Последнее условие обеспечивается выбором связующих материалов с достаточно хорошими изоляционными свойствами.
Непрерывность проводящей фазы осуществима в том случае, если ее объемная концентрация в композиции превышает некоторый минимум, при котором возникает вероятность образования непрерывных (хотя и не прямых) цепей из контактирующих частиц проводника, диспергированного в композиции.
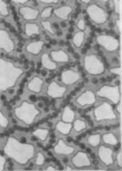
Образование такой «цепной» структуры проводника облегчается при вытянутой форме его частиц, в частности при использовании в качестве проводника некоторых видов саж, частицы которых самопроизвольно агрегируются в более или менее вытянутые цепочки (структурируются), как показано на рис. 8-1.
Рис. 8-1. Электронная фотография структурообразующей диффузионной газовой сажи.
Образование цепной проводящей структуры возможно также при введении в композицию сравнительно крупного непроводящего наполнителя, который, замещая некоторый объем связующего материала, как бы увеличивает относительную концентрацию распределенного в нем проводящего компонента и «принудительно» создает цепную структуру при невытянутой форме проводящих зерен (рис. 8-2).
Рис. 8-2. Структурная схема композиции с инертным наполнителем.
Черные зерна — проводник, белые — наполнитель.
Т
ипичные кривые зависимости проводимости композиций от объемной концентрации проводящих компонентов с различной степенью структурирования К показаны на рис. 8-3.
Рис. 8-3. Типичные зависимости проводимости композиций от объемной концентрации проводящих компонентов с различной степенью структурирования.
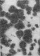
Здесь так же, как при осаждении пленок углерода или металлов, имеется критическое количество проводника, при котором начинается резкий рост проводимости. Разница заключается в том, что в данном случае образование проводящей структуры происходит не на поверхности, а во всем объеме композиции. Критическая концентрация проводника тем меньше, чем больше фактор структурообразования К, и составляет в некоторых случаях всего единицы процентов от общего объема композиции. При этом только часть проводника из данного количества включена в проводящую структуру. Другая, иногда значительная часть, может располагаться в связующей среде в виде отдельных изолированных частиц или их агрегатов, как показано на рис. 8-4.
Рис. 8-4. Электронная фотография неструктурирующейся сажи.
Однако, если такие частицы или агрегаты разделены тонкими прослойками воздушной или связующей среды, то они не могут считаться полностью изолированными, так как проводимость тонких прослоек может быть значительной.
Электрические свойства прерывных цепей, включающих в себя толстые диэлектрические прослойки, приближаются к свойствам диэлектриков, неприемлемым в свете существующих требований к резисторам. Поэтому практическое значение могут иметь лишь композиции с преобладающей (не по числу цепей, а по величине суммарной проводимости) цепной структурой.
Величина сопротивления. Сопротивление композиции может рассматриваться как совокупность сопротивлений контактов между проводящими зернами. Удельное объемное сопротивление композиции = АП-m, где величина т всегда больше 1 и увеличивается с уменьшением объемной концентрации проводника П.
Р
ис.8-5. Зависимость величины сопротивления пленок от объемной концентрации различных саж (1-ацетиленовая, 2-канальная).
Для показанных на рис. 8-5 экспериментальных кривых изменение величины сопротивления на несколько порядков происходит при сравнительно малом изменении количества проводящего компонента.
Величина показателя степени т определяет крутизну кривых = f(П). Как видно из рис. 8-5, величины сопротивлений, полученные в одинаковых условиях из различных по структуре проводящих материалов с одинаковым удельным сопротивлением (в данном случае различные виды саж, очищенные от примесей, имеющие одинаковые значения удельного сопротивления), мало различаются при большом значении П.
При уменьшении П, когда специфические структурные свойства проводящих компонентов могут проявляться в большей мере, величина т резко увеличивается, причем с различной скоростью для разных проводящих компонентов. В связи с этим получение заданной величины сопротивления затрудняется по мере его увеличения.
С уменьшением количества проводящих цепей N увеличивается флуктуация их количества и ухудшается воспроизводимость величин сопротивления. Для обеспечения удовлетворительной воспроизводимости величин сопротивления необходимо наличие некоторого минимального количества проводящих цепей в общем сечении композиции Nмин. Для данного значения Nмин можно определить предельную величину сопротивления, которая может быть получена на единицу длины композиционного проводника (независимо от площади его поперечного сечения):
Rmax=rkn/Nмин=rk/NминD,
где rк — сопротивление единичного контакта, п — их количество на 1 см, D — размер зерен проводника.
Решающее значение (при прочих равных условиях) имеет степень дисперсности проводника и давление в композиции, определяющее величину rк. Последнее зависит от условий формирования композиции, объемной усадки связующей основы при спекании и ее твердости. Этим могут быть объяснены трудности получения высокоомных прессованных композиций, в особенности содержащих связующее, дающие большую усадку при спекании.
Температурная зависимость. Зависимость сопротивления композиций от температуры обусловлена в основном тремя факторами:
1) температурным коэффициентом сопротивления проводящих компонентов ТКр0;
2) изменением контактных поверхностей между проводящими зернами в результате их упругой деформации;
3) изменением величины зазоров (если таковые существуют) между проводящими зернами.
В общем случае суммарный температурный коэффициент сопротивления композиции
ТКС = ТКро + ТКСр + ТКС,
где — относительная доля проводимости островковой части системы.
Величины ТКСр и ТКС и их знак определяются соотношением коэффициентов теплового расширения проводящих компонентов и связующей основы. Эти величины положительны, если преобладает эффект расширения связующей основы, что специфично для органических связующих материалов. При неорганических связующих имеет место обратное положение.
Величина ТКСр уменьшается с увеличением давления в композиции, а величина ТКС— с уменьшением размера проводящих зерен. Для плотных контактов (зазоры отсутствуют, TKС= 0) при большом давлении в композиции величина ТКСр может быть так мала, что
TKC=ТКр0.
В общем случае величина TKC может иметь любой знак, причем в композициях с органическим связующим величина ТКС всегда более положительна, чем ТКр0, а при неорганическом связующем — более отрицательна. Величина и знак ТКС могут изменяться также в зависимости от интервала температур, поскольку величины и ТКр0, (а иногда и знак ТКр0) могут зависеть от температуры.
На рис. 8-6 показаны зависимости температурного коэффициента лакопленочных композиций от ТКр0 сажи и давления в композиции, изменяемого варьированием режима спекания пленки.
Рис. 8-6. Зависимость ТКС лакосажевых композиций от ТКС сажи
1- композиции с 12% газовой сажи; 2 —то же, после дополнительного спекания пленки.
Возможности компенсации ТКр0 ограничены определенным интервалом температур, в котором ТКр0 и практически постоянны. В действительности же ТКр0 саж (как и других полупроводниковых материалов) с понижением температуры растет, а коэффициент расширения некоторых органических материалов уменьшается.
В связи с этим ТКС композиционных резисторов с углеродом и органическим связующим при низких температурах имеет отрицательный знак, независимо от знака ТКС в области положительных температур.
Типичные кривые температурной зависимости сопротивления лакосажевых пленочных композиций показаны на рис. 8-7.
Рис. 8-7. Температурная зависимость лакосажевых композиций с сажами, различающимися величиной ТКС
Характеристики
Тип файла документ
Документы такого типа открываются такими программами, как Microsoft Office Word на компьютерах Windows, Apple Pages на компьютерах Mac, Open Office - бесплатная альтернатива на различных платформах, в том числе Linux. Наиболее простым и современным решением будут Google документы, так как открываются онлайн без скачивания прямо в браузере на любой платформе. Существуют российские качественные аналоги, например от Яндекса.
Будьте внимательны на мобильных устройствах, так как там используются упрощённый функционал даже в официальном приложении от Microsoft, поэтому для просмотра скачивайте PDF-версию. А если нужно редактировать файл, то используйте оригинальный файл.
Файлы такого типа обычно разбиты на страницы, а текст может быть форматированным (жирный, курсив, выбор шрифта, таблицы и т.п.), а также в него можно добавлять изображения. Формат идеально подходит для рефератов, докладов и РПЗ курсовых проектов, которые необходимо распечатать. Кстати перед печатью также сохраняйте файл в PDF, так как принтер может начудить со шрифтами.















