Главная » Просмотр файлов » otvety_na_ekzamenatsionnye_preparaty_v_v ide_shpargalki (1)

otvety_na_ekzamenatsionnye_preparaty_v_v ide_shpargalki (1) (834913)

Файл №834913 otvety_na_ekzamenatsionnye_preparaty_v_v ide_shpargalki (1) (Гистология ответы на билеты)otvety_na_ekzamenatsionnye_preparaty_v_v ide_shpargalki (1) (834913)2021-04-06СтудИзба
Просмтор этого файла доступен только зарегистрированным пользователям. Но у нас супер быстрая регистрация: достаточно только электронной почты!

Текст из файла

1 Мазок крови человека

Эритроциты отличаются характерной морфологией: лишены ядер, имеют на препарате округлую форму и относительно постоянный диаметр, в центре - более светлые, что объясняется формой клеток - в виде двояковогнутого диска. Примерно 25% объёма эритроцита занимают молекулы гемоглобина, с которыми связана основная функция эритроцитов - перенос кислорода от лёгких к тканям.

С егментоядерный нейтрофил (1) (65-70 % от всех лейкоцитов). Ядро состоит из нескольких (обычно 3-4) связанных друг с другом сегментов. В цитоплазме - трудно различимая мелкая зернистость. Её образуют гранулы двух видов: специфические содержащие антибактериальные вещества, и неспецифические (производные лизосом). Нейтрофилы являются микрофагами: убивают и затем фагоцитируют микроорганизмы.


Палочкоядерный нейтрофил (1) (3-5% от всех лейкоцитов). Ядро ещё не сегментировано, имеет форму изогнутой палочки.


Базофильный гранулоцит (1) (0,5-1,0% от всех лейкоцитов). В цитоплазме - гранулы двух типов: мелкие неспецифические и базофильные (фиолетово-вишнёвого цвета), содержащие медиатор воспаления гистамин и противосвёртывающее в-во гепарин. Базофилы способствуют развитию воспалительных и аллергических реакций.


Эозинофильный гранулоцит (1) (2-4% от всех лейкоцитов). Его ядро обычно состоит из двух сегментов. В цитоплазме вновь - гранулы 2-х видов: неспецифические, а также специфические оксифильные, окрашенные эозином в розовый цвет. Эозинофилы обладают двумя видами активности: антигистаминной (т.е. противовоспалительной и антиаллергической), а также противопаразитарной.

Л имфоцит (1) (20-30% от всех лейкоцитов). Имеет небольшие размеры, крупное ядро, занимающее основную часть клетки, узкий ободок базофильной цитоплазмы. На плазмолемме лимфоцитов содержатся специфические иммуноглобулины, благодаря которым клетки участвуют в иммунных реакциях. Лимфоциты подразделяются на несколько популяций: В-клетки, Т-хелперы (резко усиливающие ответ В-клеток), Т-киллеры (убивающие чужеродные клетки).


Моноцит(6-8% от всех лейкоцитов): они более, чем вдвое, крупнее окружающих эритроцитов; ядро - бобовидное, а цитоплазма имеет вид светлого широкого ободка. Моноциты в тканях превращаются в макрофаги.В качестве макрофагов они участвуют в фагоцитозе и в иммунных реакциях.

2 Зародыш птицы на стадии образования туловищных и амниотических складок

Осевые зачатки органов, складки (туловищные (14) и амниотические (20)), образующиеся в результате сворачивания прежде плоского зародыша.

Осевые зачатки

а) производные эктодермы - кожная эктодерма (1) и нервная трубка (2);

б) производные мезодермы -хорда (3),

сомиты, которые уже разделяются на плотный дерматом (4), срединно расположенный миотом (5) и прилегающий к хорде склеротом (6), нефрогонотомы (7), спланхнотомы с висцеральным (8) и париетальным (9) листками и целомической полостью (10) между ними, мезенхима, из которой, в частности, образованы аорта (11) и клетки крови (12).

энтодермы (13) начинается формирование первичной кишки.

Туловищные складки образуются в результате того, что зародыш начинает сворачиваться вдоль продольной оси.

Эти складки формируются всеми 4-мя листками (эктодермой, висцеральной и париетальной мезодермой, энтодермой), причём, кнаружи от складок начинается внезародышевая часть каждого листка.Здесь (снаружи от складок) листки расходятся и участвуют в образовании разных внезародышевых органов.

Два листка - внезародышевая энтодерма (15) и висцеральный листок внезародышевой мезодермы (16) - формируют стенку желточного мешка.В данной стенке видны многочисленные кровеносные сосуды с содержащимися в них клетками крови (17).

Два других листка - париетальный листок внезародышевой мезодермы (18) и внезародышевая эктодерма (19), образуют амниотические складки (20). При развитии млекопитающих первичная амниотиотическая полость формируется иным способом (путём деламинации, амниотические складки (в отличие от туловищных) не образуются).

3 Эластический хрящ

С поверхности хрящ покрыт надхрящницей (1), которая содержит (в рыхлой соединительной ткани) кровеносные сосуды (питающие хрящ) и хондробласты (небольшие уплощённые клетки). В самом хряще видны хондроциты (2): они - крупные, овальные, со светлой цитоплазмой; образуют изогенные группы в виде цепочек, ориентированных перпендикулярно к поверхности.

В межклеточном веществе хряща - эластические волокна (3), окрашенные орсеином в тёмно-вишнёвый цвет и идущие во всех направлениях. Имеются также коллагеновые волокна, но они при данной окраске не выявляются. Кровеносных сосудов, как и в прочих хрящевых тканях, нет.

4 Сухожилие

Как и во всех видах соединительной ткани, здесь хорошо выражено межклеточное вещество. Но последнее в данном случае представлено, главным образом, коллагеновыми волокнами (1), которые тесно прилегают друг к другу (отчего ткань является плотной) и расположены параллельно друг другу (отчего ткань называется оформленной).Между волокнами видны фиброциты (2), обозначаемые также как тендиноциты, или сухожильные клетки: узкие, длинные, с плотным палочковидным ядром.

Они окружены небольшим количеством неокрашенного аморфного компонента.Кроме того, в поле зрения - прослойка рыхлой соединительной ткани с кровеносным сосудом (3). В сухожилии коллагеновые волокна объединяются в пучки: пучки первого порядка, разделённые тендиноцитами (2), пучки второго порядка, складывающиеся из предыдущих пучков и разделённые эндотенонием (3) - тонкими прослойками рыхлой волокнистой соединительной ткани; пучки третьего порядка, окружённые более толстым слоем рыхлой волокнистой соединительной ткани.

5. Декальцинированная трубчатая кость.

Диафиз трубчатой кости образован, в основном, компактным костным веществом.В этом веществе имеются пластинки 3-х типов: общие (генеральные) - окружают всю кость, остеонные - лежат концентрическими слоями вокруг сосуда, образуя т.н. остеоны; вставочные - находятся между остеонами. Наружные генеральные пластинки (1): они лежат под надкостницей (2) и окружают всю кость. Внутренние генеральные пластинки (1). Они прилегают к эндосту (2) и вместе с ним охватывают костномозговую полость.

Средний, или остеонный слой кости. В центре каждого остеона - кровеносный сосуд (1),вокруг последнего -несколько концентрических слоёв костных пластинок (2), называемых остеонными. Остеоны отграничены резорбционной (спайной) линией (3). Между остеонами лежат вставочные костные пластинки (4),которые представляют собой остатки прежних генераций остеонов.

Костные пластинки включают клетки (остеоциты), коллагеновые волокна и основное вещество, богатое минеральными соединениями.При этом волокна в межклеточном веществе неразличимы, а само межклеточное вещество имеет твёрдую консистенцию.

Остеоциты имеют длинные и узкие отростки.Тела остеоцитов лежат в костных лакунах (1), а многочисленные отростки - в костных канальцах (2).

Центральный канал остеона, в котором проходит кровеносный сосуд (1).В этих каналах обычно содержатся также стволоые остеогенные клетки, остеобласты и остеокласты.

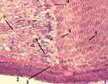
6 Развитие кости из мезенхимы.

Челюсть - плоская кость и поэтому образуется путём прямого остеогенеза, т.е. непосредственно из мезенхимы. В соответствии с этим, в челюсти зародыша мы видим мезенхиму (1) и трабекулы (балки) образующейся кости (2), окрашенные в ярко-розовый цвет.В прямом остеогенезе участвуют четыре типа клеток: мезенхимные (1), остеобласты (4), остеоциты (5) и остеокласты (6). Мезенхимные клетки (1) - небольшие, вытянутой формы, со слабо базофильной цитоплазмой. На первой стадии прямого остеогенеза эти клетки, интенсивно размножаясь, формируют остеогенный островок, который к тому же прорастает сосудами. В данном случае на месте островка уже образовались костные балки, в них самих сосудов ещё нет, но возле балок видны кровеносные сосуды (3) - результат васкуляризации скелетогенного островка.

Остеобласты (4) образуются из остеогенных клеток мезенхимы, расположены на поверхности костных балок, имеют полигональную форму и резко базофильную цитоплазму; и синтезируют компоненты межклеточного вещества кости.Так, на второй (остеоидной) стадии остеогенеза остеобласты активно образуют органическую матрицу кости, или оссеомукоид (коллагеновые волокна, гликопротеины).На третьей стадии (стадии минерализации) от остеобластов отпочковываются матриксные пузырьки, накапливающие кальций и неорганический фосфат.

Остеоциты (5) образуются из остеобластов, "замуровавших" себя продуктами своего синтеза; поэтому находятся в глубоких слоях трабекулы, где заключёны в костные лакуны. Отростки остеоцитов ещё полностью не сформировались и при данном методе окраски не видны.

Остеокласты (6) образуются из моноцитов крови, как и остеобласты, находятся на периферии трабекулы, но являются крупными многоядерными клетками с оксифильной цитоплазмой.

Разрушая костное вещество, они способствуют перестройке отдельных костных балок и первичной кости в целом. Благодаря этому, грубоволокнистая костная ткань (из каковой состоят костные трабекулы) заменяется впоследствии на пластинчатую.

7 Развитие кости на месте хряща.

Трубчатая кость - характерен непрямой остеогенез, при котором вначале образуется модель будущей кости из гиалинового хряща и лишь затем хрящ замещается костной тканью -сперва - грубоволокнистой, а впоследствии - пластинчатой.

При этом образование грубоволокнистой костной ткани происходит одновременно двумя способами - путём перихонрального (вокруг хряща) и энхондрального (внутри хряща) окостенения.

эпифиз (1) - справа,
диафиз (2) - слева.

В эпифизе на достаточном удалении от пограничной области находится неизменённый гиалиновый хрящ (6) и в его составе - хондроциты (9), которые имеют обычную овальную форму и
лежат в лакунах, иногда образуя изогенные группы. Между хондроцитами расположено базофильное межклеточное вещество (10). Метафиз (пограничная область между эпифизом и диафизом). Вначале неизменённый гиалиновый хрящ переходит в зону столбчатого хряща (5), где продолжается рост хряща и размножающиеся клетки выстраиваются в колонки вдоль длинной оси кости. Эта зона, в свою очередь, переходит в зону пузырчатого хряща (4) - на самой границе с окостеневающим диафизом. Здесь нарушено питание хондроцитов, отчего они находятся в набухшем, вакуолизированном состоянии, т.е. имеют пузырчатую форму. В диафизе, как уже отмечалось, происходит пери- и энхондральное окостенение. Перихондральное окостенение начинается с появления в надхрящнице остеобластов. Тем самым надхрящница превращается в надкостницу (11).По ходу разрастающихся сосудов остеобласты формируют грубоволокнистую костную ткань - в виде костной манжетки (3) вокруг хряща, которая и является результатом перихондрального окостенения.

Диафиз: энхондральное окостенение. В свою очередь, костная манжетка нарушает питание хряща. Это приводит его к дистрофическим изменениям -набуханию клеток, минерализации матрикса (омелению), прорастанию сосудами и полному разрушению врастающими остеокластами. Затем на этом месте формируются костные балки.



Характеристики

Тип файла
Документ
Размер
1,66 Mb
Тип материала
Предмет
Учебное заведение
Неизвестно

Тип файла документ

Документы такого типа открываются такими программами, как Microsoft Office Word на компьютерах Windows, Apple Pages на компьютерах Mac, Open Office - бесплатная альтернатива на различных платформах, в том числе Linux. Наиболее простым и современным решением будут Google документы, так как открываются онлайн без скачивания прямо в браузере на любой платформе. Существуют российские качественные аналоги, например от Яндекса.

Будьте внимательны на мобильных устройствах, так как там используются упрощённый функционал даже в официальном приложении от Microsoft, поэтому для просмотра скачивайте PDF-версию. А если нужно редактировать файл, то используйте оригинальный файл.

Файлы такого типа обычно разбиты на страницы, а текст может быть форматированным (жирный, курсив, выбор шрифта, таблицы и т.п.), а также в него можно добавлять изображения. Формат идеально подходит для рефератов, докладов и РПЗ курсовых проектов, которые необходимо распечатать. Кстати перед печатью также сохраняйте файл в PDF, так как принтер может начудить со шрифтами.

Список файлов книги

Свежие статьи
Популярно сейчас
Как Вы думаете, сколько людей до Вас делали точно такое же задание? 99% студентов выполняют точно такие же задания, как и их предшественники год назад. Найдите нужный учебный материал на СтудИзбе!
Ответы на популярные вопросы
Да! Наши авторы собирают и выкладывают те работы, которые сдаются в Вашем учебном заведении ежегодно и уже проверены преподавателями.
Да! У нас любой человек может выложить любую учебную работу и зарабатывать на её продажах! Но каждый учебный материал публикуется только после тщательной проверки администрацией.
Вернём деньги! А если быть более точными, то автору даётся немного времени на исправление, а если не исправит или выйдет время, то вернём деньги в полном объёме!
Да! На равне с готовыми студенческими работами у нас продаются услуги. Цены на услуги видны сразу, то есть Вам нужно только указать параметры и сразу можно оплачивать.
Отзывы студентов
Ставлю 10/10
Все нравится, очень удобный сайт, помогает в учебе. Кроме этого, можно заработать самому, выставляя готовые учебные материалы на продажу здесь. Рейтинги и отзывы на преподавателей очень помогают сориентироваться в начале нового семестра. Спасибо за такую функцию. Ставлю максимальную оценку.
Лучшая платформа для успешной сдачи сессии
Познакомился со СтудИзбой благодаря своему другу, очень нравится интерфейс, количество доступных файлов, цена, в общем, все прекрасно. Даже сам продаю какие-то свои работы.
Студизба ван лав ❤
Очень офигенный сайт для студентов. Много полезных учебных материалов. Пользуюсь студизбой с октября 2021 года. Серьёзных нареканий нет. Хотелось бы, что бы ввели подписочную модель и сделали материалы дешевле 300 рублей в рамках подписки бесплатными.
Отличный сайт
Лично меня всё устраивает - и покупка, и продажа; и цены, и возможность предпросмотра куска файла, и обилие бесплатных файлов (в подборках по авторам, читай, ВУЗам и факультетам). Есть определённые баги, но всё решаемо, да и администраторы реагируют в течение суток.
Маленький отзыв о большом помощнике!
Студизба спасает в те моменты, когда сроки горят, а работ накопилось достаточно. Довольно удобный сайт с простой навигацией и огромным количеством материалов.
Студ. Изба как крупнейший сборник работ для студентов
Тут дофига бывает всего полезного. Печально, что бывают предметы по которым даже одного бесплатного решения нет, но это скорее вопрос к студентам. В остальном всё здорово.
Спасательный островок
Если уже не успеваешь разобраться или застрял на каком-то задание поможет тебе быстро и недорого решить твою проблему.
Всё и так отлично
Всё очень удобно. Особенно круто, что есть система бонусов и можно выводить остатки денег. Очень много качественных бесплатных файлов.
Отзыв о системе "Студизба"
Отличная платформа для распространения работ, востребованных студентами. Хорошо налаженная и качественная работа сайта, огромная база заданий и аудитория.
Отличный помощник
Отличный сайт с кучей полезных файлов, позволяющий найти много методичек / учебников / отзывов о вузах и преподователях.
Отлично помогает студентам в любой момент для решения трудных и незамедлительных задач
Хотелось бы больше конкретной информации о преподавателях. А так в принципе хороший сайт, всегда им пользуюсь и ни разу не было желания прекратить. Хороший сайт для помощи студентам, удобный и приятный интерфейс. Из недостатков можно выделить только отсутствия небольшого количества файлов.
Спасибо за шикарный сайт
Великолепный сайт на котором студент за не большие деньги может найти помощь с дз, проектами курсовыми, лабораторными, а также узнать отзывы на преподавателей и бесплатно скачать пособия.
Популярные преподаватели
Добавляйте материалы
и зарабатывайте!
Продажи идут автоматически
6963
Авторов
на СтудИзбе
264
Средний доход
с одного платного файла
Обучение Подробнее
{user_main_secret_data}