otvety_na_ekzamenatsionnye_preparaty_v_v ide_shpargalki (1) (834913), страница 2
Текст из файла (страница 2)
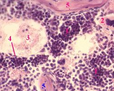
| № 8 Спинно-мозговой узел Слева от снимка должен находиться спинной мозг (не попавший в препарат);внизу снимка - передний корешок (1) спинного мозга (по которому из мозга выходят аксоны мотонейронов и преганглионарные волокна вегетативной нервной системы); вверху - задний корешок (2) спинного мозга и в нём -спинномозговой узел (3), образующий в этом корешке утолщение; справа - бифуркация, где передний и задний корешки объединяются в спинномозговой нерв (который далее распадается на несколько смешанных нервов). Снаружи спинномозговой узел покрыт соединительнотканной капсулой (6), в которой находятся кровеносные сосуды. Прослойки соединительной ткани (вместе с сосудами) проникают и внутрь узла. В спинномозговом узле находятся тела чувствительных нейронов (4).При этом они располагаются группами на периферии узла.В центре узла (между группами нейронов) проходят нервные волокна (5), содержащие отростки чувствительных нейронов. В составе этих волокон к телам нейронов подходят (на снимке - справа) дендриты, начинающиеся чувствительными окончаниями в соме и внутренних органах и затем идущие к узлу в составе смешанных нервов; а от тел нейронов отходят (на снимке - влево) аксоны, которые идут в задних корешках к спинному мозгу и могут оканчиваться в задних рогах спинного мозга (для замыкания наиболее короткой рефлекторной дуги), оканчиваться в промежуточной зоне спинного мозга (откуда идут пути к мозжечку),не прерываясь, подниматься до продолговатого мозга (до нежного и клиновидного ядер, откуда идут пути через таламус к коре больших полушарий). Чувствительные нейроциты спинномозговых (да и прочих чувствительных) узлов являются псевдоуниполярными. Это значит, что места отхождения аксона и дендрита от тела клетки близки. При большом увеличении у этих нейронов можно видеть лишь крупное округлое тело (7), а в центре последнего - относительно небольшое ядро (8) с плотным ядрышком. Вокруг тела каждого нейрона последовательно располагаются: клетки-сателлиты (9), или глиоциты ганглиев, или мантийные глиоциты - с мелкими овальными ядрами, базальная мембрана, соединительнотканная капсула (10); образующие её фибробласты отличаются узкими ядрами. То же видно и здесь: часть тела (1) чувствительного нейрона; клетки-сателлиты (2) и фибробласты (3). | № 9 Спинной мозг Вначале укажем элементы, не составляющие ткань мозга: среди них - мягкая мозговая оболочка (прилежит непосредственно к спинному мозгу, повторяя его рельеф, и образована рыхлой соединительной тканью); глубокая срединная вырезка (10) на передней поверхности мозга, центральный спинномозговой канал (11). Серое вещество (1) занимает внутреннее положение, на поперечном срезе имеет форму бабочки (или буквы Н), содержит тела нейронов (и окружающие глиальные элементы), чем и определяется его цвет задние рога (2) - относительно узкие и длинные выступы, расходящиеся кнаружи; передние рога (3) - более широкие и короткие выступы, направленные немного кнутри; Белое вещество (5) занимает в спинном мозгу периферическое положение, представляет собой совокупность миелиновых (в основном) нервных волокон, идущих вдоль оси мозга и образующих проводящие пути, и подразделяется (рогами серого вещества и глиальными перегородками) на три пары канатиков: задние (6) (между ними находится срединная перегородка (9), боковые (7) и передние (8) (разделённые срединной вырезкой (10)). Нейроны (1), лежащие ближе к центральному каналу, образуют медиальное промежуточное ядро, аксоны которого тоже поднимаются к мозжечку (по боковым канатикам той же стороны). нейроны (2) образуют латеральное промежуточное ядро - центральный отдел симпатической или парасимпатической нервной системы. Белое вещество: проводящие пути. Задние канатики (6) - восходящие пути, которые содержат аксоны чувствительных нейронов и идут к ядрам (нежному и клиновидному) продоловатого мозга. Боковые канатики (7): в задней части - восходящие пути (от собственного и грудного ядер спинного мозга - к мозжечку, среднему мозгу и таламусу); в передней части - нисходящие пути (от коры - боковой пирамидный тракт, - а также от ствола головного мозга) к мотонейронам передних рогов. Передние канатики (8): нисходящие пути (от коры больших полушарий - передний пирамидный тракт, - а также от ствола головного мозга) к мотонейронам передних рогов. | № 10 Мозжечок На разрезе мозжечка видны многочисленные борозды (1) и узкие извилины (2). При этом в извилинах обнаруживаются: кора (3) - поверхностный слой серого вещества, а в центре - узкие прослойки белого вещества (4), связанные с белым веществом в срединной части мозжечка. Слои коры: Здесь поле зрения пересекается бороздой. Тёмная неровная нить внутри борозды - срез мягкой мозговой оболочки. По обе стороны от борозды - поверхности соседних извилин. В коре выделяют 3 слоя (перечисляем, начиная с поверхностного): молекулярный (1), ганглионарный (2) и зернистый (3). Клеточный состав слоёв коры таков. Молекулярный слой (1) -звёздчатые клетки (в поверхностной части слоя) и корзинчатые клетки (1Б) (в нижней трети слоя, более крупные), их аксоны образуют своего рода корзинки (1А), оплетающие клетки следующего слоя. Ганглионарный слой - всего один вид нейронов: грушевидные клетки (2А), или клетки Пуркинье.Зернистый слой (3): клетки-зёрна (1В) (наиболее многочисленные и мелкие), большие звёздчатые нейроны (клетки Гольджи), веретеновидные горизонтальные клетки. Среди клеток коры основными являются грушевидные нейроны: они принимают (прямо или через клетки-зёрна) поступающие в кору сигналы, перерабатывают их и формируют ответный сигнал (идущий в подкорковые ядра). Вторые (по значению) - клетки-зёрна: на них, как уже сказано, тоже оканчиваются приходящие в кору нервные волокна, аксоны же клеток-зёрен идут в молекулярный слой и там контактируют с дендритами всех остальных клеток коры (в т.ч. грушевидных клеток), при этом клетки-зёрна - единственные в коре нейроны возбуждающего типа. |
| № 11 Кора больших полушарий По внешнему виду (макроскопически) данный препарат похож на препарат коры мозжечка: имеются извилины (1) и борозды (2), а поверхностный слой мозгового вещества является более тёмным:это кора, образованная серым веществом. В коре же больших полушарий подразделение на слои - не столь чёткое, но зато в нескольких слоях видны характерные пирамидные нейроны. Всего в коре больших полушарий различают 6 слоёв. Самый поверхностный - молекулярный слой (I): клеток мало; это, главным образом, небольшие по размеру тормозные нейроны; но много нервных волокон, которые идут параллельно (тангенциально) поверхности. Следующие слои: наружный зернистый (II), пирамидный (III), или слой средних пирамид, внутренний зернистый (IV), ганглионарный (V), или слой крупных пирамид, слой полиморфных клеток (VI). Основными клетками коры в больших полушариях являются пирамидные нейроны разного размера; они содержатся, по крайней мере, в четырёх слоях из 6 (кроме слоёв I и IV, где их почти нет). Кроме этих клеток, в коре содержатся два вида звёздчатых нейронов (в слоях II и IV), которые возбуждают пирамидные клетки, и несколько видов тормозных нейронов (в пяти слоях, кроме слоя IV): корзинчатые, аксоаксональные и др. клетки; большинство из них тормозят пирамидные клетки, а один вид - тормозит другие тормозные клетки, что приводит к возбуждению пирамид. Пирамидные нейроны (как мы видим на примере крупных пирамид V слоя) имеют ряд характерных признаков: у тела (1) - пирамидная (на разрезе треугольная) форма; вершина пирамиды обращена к поверхности коры, а основание - к белому веществу. Функции пирамидных клеток: крупные и гигантские пирамиды - их аксоны образуют т.н. пирамидные пути, идущие к передним рогам спинного мозга; средние и мелкие пирамиды: их аксоны связывают отдельные участки коры -либо в пределах одного полушария (ассоциативные нейроны), либо принадлежащие двум различным полушариям (комиссуральные нейроны). Кроме нейронов, в коре больших полушарий имеются и глиальные клетки( не видны): астроциты и микроглиоциты (выполняют опорную, трофическую и защитную функции); олигодендроциты (формируют оболочки нервных волокон). | №12 Задняя стенка глаза На препарате видны соответствующие части всех трёх оболочек глаза: склера (I) - часть самой наружной фиброзной оболочки (вторая часть этой оболочки - роговица); собственно сосудистая оболочка, (II) - часть сосудистой оболочки (другие компоненты последней - цилиарное тело и радужка); сетчатка (III). Склера (I) образована плотной волокнистой соединительной тканью. Поэтому в ней содержится мало клеток, а в межклеточном веществе волокнистый компонент преобладает над аморфным. Подлежащая под склерой собственно сосудистая оболочка (II) значительно тоньше. В её основе - рыхлая волокнистая соединительная ткань.В этой ткани, помимо обычных элементов, особенно много пигментных клеток и кровеносных сосудов.По содержанию сосудов и пигментоцитов сосудистую оболочку подразделяют на 4 слоя (снаружи внутрь). Вот их перечисление: надсосудистая пластинка (1) - на границе со склерой, сосудистая пластинка (2) - здесь проходят многочисленные артерии и вены;сосудисто-капиллярная пластинка (3) - содержит капилляры, связывающие сосуды вышележащей пластинки; базальный комплекс, (4) - очень узкая светлая полоска с внутренней стороны; в отличие от предыдущих слоёв, она состоит из плотной волокнистой ткани и лишена пигментных клеток. Сетчатка (III) образована не соединительной, а нервной тканью. Она втрое толще сосудистой оболочки (II).В сетчатке различают 10 слоёв.7 слоям относятся три ядерных слоя (где находятся ядросодержащие части нейронов) и четыре слоя, образованных отростками нейронов. Остальные три слоя - это слой пигментного эпителия (примыкающий к сосудистой оболочке) и два слоя (т.н. пограничные мембраны), образованные отростками глиальных клеток. | № 13 Вкусовые почки (листовидные сосочки языка) Листовидные сосочки (1), покрытые многослойным плоским неороговевающим эпителием.Между сосочками - узкие просветы (2).Стенки и основание каждого такого просвета, естественно, тоже выстланы многослойным плоским эпителием. В толще же этого эпителия - но не в основании, а лишь в боковых стенках межсосочковых просветов - находятся светлые округлые или овальные образования - вкусовые почки (3).Клетки вкусовой почки. В состав почек входят следующие клетки эпителиального происхождения. Рецепторные вкусовые (т.н. светлые) клетки: их ядра (1) (вытянутой формы) образуют в почке верхний ряд ядер, на апикальной поверхности клеток (в области вкусовой поры) имеются микроворсинки с рецепторными белками, а с базальными частями клеток контактируют окончания афферентных нервных волокон. Поддерживающие клетки: ядра (2) имеют округлую форму и составляют второй ряд ядер в почке; сами клетки простираются на всю высоту вкусовой почки, при этом они синтезируют адсорбент, который окружает рецепторные микроворсинки во вкусовой поре и необходим для концентрирования здесь вкусовых веществ. Базальные эпителиоциты: прилежат к базальной мембране почки, образуя нижний ряд ядер (3) |
















