Главная » Просмотр файлов » otvety_na_ekzamenatsionnye_preparaty_v_v ide_shpargalki (1)

otvety_na_ekzamenatsionnye_preparaty_v_v ide_shpargalki (1) (834913), страница 3

Файл №834913 otvety_na_ekzamenatsionnye_preparaty_v_v ide_shpargalki (1) (Гистология ответы на билеты) 3 страницаotvety_na_ekzamenatsionnye_preparaty_v_v ide_shpargalki (1) (834913) страница 32021-04-06СтудИзба
Просмтор этого файла доступен только зарегистрированным пользователям. Но у нас супер быстрая регистрация: достаточно только электронной почты!

Текст из файла (страница 3)

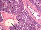
22 Тимус

Тимус, как и красный костный мозг, относится к центральным органам кроветворения. В нём происходят заключительные стадии антигеннезависимого созревания Т-лимфоцитов. С поверхности тимус покрыт капсулой (1) из плотной волокнистой соединительной ткани. От неё отходят перегородки (2), разделяющие тимус на дольки (3). В каждой дольке различают две области: на периферии - корковое вещество (4), более тёмное на препарате (поскольку густо заселено лимфоцитами); в центре дольки - светлое мозговое вещество (5).В свою очередь, в каждой области имеются два тканевых компонента: лимфоидный и стромальный.

Корковое вещество: лимфоидный компонент

В подкапсулярной области коры находятся интенсивно делящиеся Т-лимфобласты (1) - клетки класса IV - более крупные и светлые, чем зрелые лимфоциты. Они образуются из предшественников Т-лимфоцитов, поступающих сюда из красного костного мозга.

Оставшиеся зрелые Т-лимфоциты попадают в мозговое вещество тимуса и поступают в кровеносные капилляры, находящиеся на границе коркового и мозгового вещества.

Корковое вещество - стромальный компонент

Дольки тимуса разделены междольковой соединительной тканью (2). В самих же дольках роль стромы играют ретикулоэпителиальные, или эпителиоретикулярные клетки (1).

Данные клетки подразделяются на 3 вида: опорные клетки - составляют каркас коркового вещества; часть этих клеток окружают сосуды и участвуют в формировании гематотимусного барьера; секреторные клетки - выделяют факторы, стимулирующие Т-лимфоцитопоэз; клетки-"няньки" - имеют глубокие инвагинации, в которых и происходит развитие Т-клеток. В коре тимуса имеются также вспомогательные (акцессорные) клетки макрофагического ряда (моноцитарного происхождения): макрофаги, дендритные клетки.

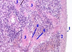
23 Селезенка

В селезёнке можно выделить 4 основные компонента: капсулу и трабекулы, белую пульпу, красную пульпу и специфическую сосудистую систему.

С поверхности селезёнка покрыта серозной оболочкой, включающей мезотелий (1 на снимке а) и соединительнотканную основу с сосудами и нервами. Глубже располагается капсула (2), от которой вглубь органа отходят многочисленные трабекулы (3).Капсула и трабекулы содержат: плотную волокнистую соединительную ткань (высокое содержании в ней коллагеновых волокон обуславливает оксифилию межклеточного вещества трабекул); большое количество гладких миоцитов (4 на снимке б), обеспечивающих при необходимости выброс из селезёнки депонированной в ней крови; трабекулярные вены (1 на снимке е) - вены безмышечного типа, чья наружная оболочка оболочка сращена с соединительной тканью трабекул, трабекулярные артерии , имеющие миоциты в t. media. Белая пульпа - лимфоидная ткань, включающая 2 компонента: периартериальные влагалища - скопления Т-лимфоцитов вокруг пульпарных артерий, и лимфатические узелки, или фолликулы, содержащие и В-, и Т-клетки. На препаратах селезёнки обычно видны не сами периартериальные влагалища,а их продолжения в область фолликулов - периартериальные зоны (3) вокруг центральных артерий (2) узелков (которые являются, в свою очередь, продолжением пульпарных артерий). Красная пульпа (2) - содержимое пространства между трабекулами (1) и лимфоидной тканью. Внешне она отличается от белой пульпы меньшей концентрацией лимфоидных элементов и наличием других элементов крови - прежде всего, эритроцитов. В красной пульпе - два компонента. - селезёночные тяжи: здесь в ретикулярной строме расположены форменные элементы крови, макрофаги (разрушающие старые эритроциты и тромбоциты), а также плазмоциты. Второй компонент - венозные синусы: это многочисленные широкие сосуды, начинающие венозную систему селёзёнки и тоже заполненные клетками крови (которые могут переходить через стенку синусов как в одну, так и в другую сторону).

24 Гипофиз человека

Г ипофиз имеет три доли: переднюю (I), очень узкую промежуточную (II),которая вместе с предыдущей составляет аденогипофиз, а также заднюю долю (III), или нейрогипофиз.При используемой здесь окраске ядра клеток окрашиваются в оранжевый цвет, а коллагеновые волокна - в синий.

все три доли имеют различное строение: в передней (I) преобладают клетки, в промежуточной (II) - обширные прослойки соединительной ткани (и псевдофолликулы), Питуициты (1) - мелкие глиальные клетки с многочисленными отростками, образующие строму задней доли. 2. Многочисленные кровеносные сосуды (2), среди которых преобладают капилляры.3. а) Аксоны (3) нейросекреторных клеток гипоталамуса:

а в задней доле (III) относительно мало и клеток, и стромы.

Передняя доля: компоненты. Соединительнотканная строма. С поверхности гипофиз покрыт капсулой из плотной волокнистой соединительной ткани.От неё вглубь передней доли отходят узкие прослойки рыхлой соединительной ткани (2).В этих прослойках находятся многочисленныесинусоидные капилляры (3).

Последние (наряду с капиллярами средней доли) составляют вторичную капиллярную сеть портальной системы гипофиза, с помощью которой либерины и статины гипоталамуса попадают к своим клеткам-"мишеням" - клеткам железистого эпителия аденогипофиза, а гормональные продукты этого эпителия выходят в кровь.

клетки железистого эпителия (1), или секреторные клетки, - основной компонент передней доли.

Средняя доля вырабатывает 2 гормона: меланоцитостимулирующий гормон и липотропин.

После этого секрет выделяется в пространство между клеток, что приводит к образованию характерных структур - псевдофолликулов, или фолликулоподобных кист (1).Стенки последних образованы слоем секреторных клеток (1.А). Между псевдофолликулами расположены обширные прослойки соединительной ткани (2).

В задней доле гипофиза нет секреторных клеток. это лишь место, куда спускаются аксоны из супраоптического и паравентрикулярных ядер гипоталамуса и где гормоны этих ядер (АДГ и окситоцин) через аксовазальные синапсы попадают в кровь большого круга кровообращения. Имеются же следующие три компонента.- Питуициты (1) - мелкие глиальные клетки с многочисленными отростками, образующие строму задней доли. Многочисленные кровеносные сосуды (2), среди которых преобладают капилляры.Аксоны (3) нейросекреторных клеток гипоталамуса:

25 Щитовидная железа

Щ итовидная железа состоит из нескольких долей. Снаружи железа покрыта соединительнотканной капсулой, от которой отходят прослойки, делящие железу на дольки. В дольках же находятся железистые (секреторные) клетки, которые образуют структуры двух видов. - Фолликулы (1): это преобладающие структуры железы; их стенку составляет один слой клеток на базальной мембране, внутри фолликулов содержится гомогенный коллоид (2).Экстрафолликулярный эпителий (3): это компактные скопления клеток вне фолликулов. нередко в препарате щитовидной железы оказывается и паращитовидная железа (I) - одна или несколько. Эндокриноциты: Первый тип клеток - фолликулярные эндокриноциты, или тироциты: они составляют большинство железистых клеток; в фолликуле образуют всю внутреннюю поверхность его стенки; продуцируют йодсодержащие гормоны (тироксин и трийодтиронин). Второй тип клеток - парафолликулярные эндокриноциты, или кальцитониноциты: их доля в общем числе железистых клеток невелика; если они находятся в фолликуле, то тоже (как и тироциты) прилегают к базальной мембране, но не достигают своей апикальной частью просвета фолликула; образуют кальцитонин - гормон, понижающий содержание Са2+ в крови.

26 Околощитовидная железа

У человека - 4 паращитовидные железы, каждая из которых покрыта соединительнотканной капсулой. От капсулы отходят прослойки рыхлой соединительной ткани (1); они составляют строму железы и содержат многочисленные кровеносные сосуды, среди которых преобладают капилляры. Клетки железистого эпителия называются паратироцитами (3). Паратироциты образуют тяжи и группы, лежащие между указанными прослойками соединительной ткани. Выделяют два вида секреторных клеток (3).

Главные паратироциты: имеют базофильную цитоплазму; образуют паратгормон, повышающий содержание Са2+ в крови; в зависимости от содержания секреторных гранул, могут быть светлыми (гранул мало) и тёмными.

Оксифильные паратироциты: по одной версии, эти клетки - лишь одно из функциональных состояний главных паратироцитов; по другой версии, в них образуется антагонист паратгормона - кальцитонин, понижающий содержание Са2+ в крови (и образующийся также в щитовидной железе.

27 Надпочечник

С наружи надпочечник покрыт соединительнотканной капсулой (1). От неё отходят тонкие прослойки вглубь железы. В капсуле и прослойках находятся кровеносные сосуды.

Под капсулой в органе различают две части: корковое вещество (2А-2В) - здесь образуются гормоны стероидной природы (кортикостероиды) и мозговое вещество (3), где синтезируются адреналин и норадреналин.

кора надпочечников подразделяется на три зоны : клубочковую (2А) (самую поверхностную), пучковую (2Б) и сетчатую (2В), которая прилежит к мозговому веществу.

Кора надпочечников

Клубочковая зона (2А): клетки образуют округлые скопления - клубочки, а синтезируют мннералокортикоидный гормон - альдостерон.

Пучковая зона клетки организованы в длинные пучки, ориентированные перпендикулярно поверхности;

Сетчатая зона клетки более мелкие, чем в пучковой зоне; образуют рыхлую сеть вблизи мозгового вещества, продуцируют андрогенный гормон - андростендиол.

Мозговое вещество отличается от соседней сетчатой зоны коры следующими признаками: железистые клетки - крупней и более базофильны, между ними - много синусоидных капилляров и относительно крупных венул.

28 Язык (нитевидные сосочки)

З десь в поле зрения - верхняя поверхность языка и в ней - сосочки двух видов: нитевидный (1) и грибовидный (2). Сосочки покрыты многослойным плоским эпителием (3), который на поверхности нитевидного сосочка является частично ороговевающим и обычно образует длинный роговой стержень.

В толще эпителия грибовидных (а также желобоватых и листовидных) сосочков находятся вкусовые почки.

Под эпителием расположена собственная пластинка (4) слизистой оболочки,
представленная рыхлой волокнистой соединительной тканью. В области каждого сосочка эта пластинка образует выросты - соединительнотканные сосочки, среди которых имеется один первичный вырост (сосочек) и несколько мелких вторичных. На верхней поверхности языка подслизистой основы нет. Поэтому непосредственно под слизистой оболочкой здесь находятся мышцы (5) языка.

29 Развитие зуба 1 (эмалевый орган)

З уб развивается из двух источников: из эпителия ротовой полости - эмаль и её кутикула,из мезенхимы - остальные ткани зуба:дентин, пульпа, цемент. На этой стадии зубной зачаток имеет два основных компонента: эмалевый орган (3) - производное эпителия и зубной сосочек (7) - производное мезенхимы. Эмалевый орган происходит из эпителия ротовой полости (1). У эмбриона этот эпителий уже является многослойным, но состоит ещё из крупных светлых клеток, богатых гликогеном. От эпителия идёт эмалевый тяж (2) - узкий тяж эпителиальных клеток. Именно его передняя расширенная часть и представляет собой эмалевый орган (3), имеющий вид светлой двустенной чаши. В эмалевом органе имеются 3 компонента. - Наружный эмалевый эпителий (4): внешний слой "чаши",представленный плоскими клетками. Пульпа эмалевого органа (5):светлая центральная часть "чаши",образована отростчатыми клетками (имеющими, как и весь эмалевый орган, эпителиальное происхождение).В этом отличие эмалевой пульпы от пульпы сформированного зуба, развивающейся из мезенхимы).Внутренний эмалевый эпителий (6): составляет дно и внутреннюю стенку "чаши",содержит предшественники тех клеток (адамантобластов, или энамелобластов), которые на последующей стадии будут образовывать эмаль. Теперь обратимся к производным мезенхимы. Одно из них - зубной сосочек (7): он вдаётся в эмалевый орган, и впоследствии, как отмечалось, из него образуются дентин и пульпа зуба. Второе производное мезенхимы - зубной мешочек (8): он окружает зубной зачаток снаружи, а затем из него будет развиваться цемент зуба. Кроме зубного зачатка, на препарате обычно видны также костные трабекулы (9) развивающейся челюсти зародыша.

30 Развитие зуба 2 (Гистогенез, развитие кости из мезенхимы)

З уб развивается из двух источников: из эпителия ротовой полости происходят эмаль и её кутикула, из мезенхимы - остальные ткани зуба: дентин, пульпа, цемент.

На данном препарате представлена вторая, или поздняя, стадия развития зуба, обозначаемая как стадия гистогенеза зуба. На этой стадии из образованных ранее компонентов зубного зачатка формируются ткани зуба: из эмалевого органа (5-7) - эмаль (8) и кутикула, из зубного сосочка (впячивания мезенхимы в эмалевый орган) - дентин (10) и пульпа зуба (11), а из зубного мешочка (слоя мезенхимы вокруг зубного зачатка) - цемент зуба.

многослойный эпителий (1) полости рта эмбриона; идущий от него к эмалевому органу узкий эпителиальный тяж (4), костные трабекулы (2) формирующейся челюсти и мезенхиму (3).

В ЭМАЛЕВОМ ОРГАНЕ имеются те же три компонента, что и на предыдущей стадии развития зуба: наружный эмалевый эпителий (5), эмалевая пульпа (6), внутренний эмалевый эпителий (7).

внутренний эпителий теперь представлен зрелыми адамантобластами (7).Это высокие клетки призматической формы, ориентированные перпендикулярно поверхности зубного сосочка.

Кутикула же образуется из наружного эмалевого эпителия (5) и эмалевой пульпы (6).

Одонтобласты. Наружный слой клеток зубного сосочка на данной стадии представлен одонтобластами (или дентинобластами) (9). Они (как и весь зубной сосочек) имеют мезенхимное происхождение. Тем не менее, они во многом похожи на эпителиальные клетки адамантобласты (7): тоже являются высокими и призматическими, ориентированы перпендикулярно поверхности сосочка. Продукт деятельности одонтобластов - ДЕНТИН (10).Он формируется со стороны апикальной поверхности одонтобластов. Вначале одонтобласты выделяют (через свои отростки) органические компоненты будущего дентина,
которые образуют матрицу дентина - предентин. Затем секретируются минеральные вещества; они пропитывают матрицу.

Пульпа зуба. Под одонтобластами, в глубине зубного сосочка, мезенхимные клетки постепенно превращаются в соединительнотканные клетки ПУЛЬПЫ ЗУБА (11). В определённое время эти клетки начинают с повышенной скоростью продуцировать аморфное вещество ткани.Поэтому в пульпе возрастает давление, стимулирующее прорезывание зуба. IV. Цемент, образуется из зубного мешочка, окружающего зачаток зуба.

31 Околоушная железа

О колоушные железы относятся к крупным слюнным железам. По морфологии околоушная железа - сложная разветвлённая альвеолярная, т.е. у неё разветвлены выводные протоки (отсюда - термин "сложная"),
разветвлены концевые отделы (отсюда - термин "разветвлённая"),а по форме концевые отделы - альвеолярные.Снаружи каждая железа покрыта плотной соединительнотканной капсулой.От последней отходят прослойки, которые разделяют железу на 7 долек.

фрагменты двух долек околоушной железы, разделённых соединительнотканной перегородкой (4). В подобных перегородках проходят междольковые выводные протоки (5), артерии (6) и вены (7).В дольках же расположены концевые отделы, или ацинусы (1), и внутридольковые выводные протоки (2-3).

В околоушной железе все концевые отделы являются серозными (белковыми): содержат единственный вид железистых клеток - сероциты (1А): небольшие клетки с округлым ядром и базофильной цитоплазмой, образующие белковый секрет. На периферии ацинусов (между базальной мембраной и сероцитами) имеются также миоэпителиальные клетки (1Б): уплощённые, охватывающие своими отростками концевой отдел и обладающие сократительной способностью (что облегчает выделение секрета).

Внутридольковые протоки подразделяются на 2 типа. - 1. Вставочные протоки (2): начинаются непосредственно от концевых отделов, имеют небольшой просвет, образованы кубическими эпителиоцитами с базофильной цитоплазмой.

Вставочные протоки продолжаются в исчерченные протоки (3), которые больше по размерам (общему диаметру и просвету), образованы эпителиоцитами с призматической формой,оксифильной цитоплазмой и базальной исчерченностью (на обычных препаратах обычно не заметной).

междольковые протоки (5) расположены междольковых прослойках соединительной ткани (4). Эти протоки имеют широкий просвет, образованы двуслойным эпителием и окружающим слоем рыхлой соединительной ткани.

Дальше они сливаются в проток околоушной железы -с многослойным эпителием и соединительнотканной оболочкой.

32 Подчелюстная железа (смешанная)

П одчелюстные железы относятся к крупным слюнным железам. По морфологии подчелюстная железа - сложная разветвлённая альвеолярно-трубчатая, т.е. у неё разветвлены выводные протоки (отсюда - термин "сложная"), разветвлены концевые отделы (отсюда - термин "разветвлённая"),а по форме концевые отделы бывают двух типов - альвеолярные.и трубчатые.Снаружи каждая железа покрыта плотной соединительнотканной капсулой. От последней отходят прослойки, которые разделяют железу на 10 долек.видны часть дольки подчелюстной железы и междольковая соединительнотканная перегородка (5). В подобных перегородках проходят междольковые выводные протоки (6), артерии (7А) и вены (7Б).В дольке же расположены концевые отделы, или ацинусы (1-3), и внутридольковые выводные протоки (3-4).В подчелюстной железе содержатся концевые отделы двух типов: редкие - белковые (серозные) ацинусы (1), тёмные на препарате, и значительно преобладающие по числу смешанные (слизисто-белковые) концевые отделы (2), светлые на препарате. Внутридольковые протоки подразделяются на 2 типа (вставочные и исчерченные), но среди них вставочные протоки (3) встречаются реже, чем в околоушной железе, - поскольку, как было сказано, отходят только от серозных концевых отделов; а исчерченные протоки (4) представлены с той же частотой, что и в околоушной железе.

Междольковые протоки (6), как и в околоушной железе, имеют широкий просвет, образованы двуслойным эпителием и окружающим слоем рыхлой соединительной ткани. Дальше они сливаются в проток подчелюстной железы - с многослойным эпителием и соединительнотканной оболочкой.

33 Миндалина

Н ёбные миндалины относятся к лимфоидной системе слизистых оболочек, а в этой системе - к глоточному лимфоидному кольцу. Каждая миндалина представляет собой несколько складок слизистой оболочки с углублениями (криптами) (1) между ними. В толще слизистой оболочки находятся многочисленные лимфатические фолликулы (4) и лежащие между ними парафолликулярные скопления лимфоцитов.

строма представлена рыхлой соединительной тканью.

В области миндалин (как и в прочих участках ротовой полости и глотки) слизистая оболочка покрыта многослойным плоским неороговевающим эпителием (2). Причём, в просвете крипты часто находятся слущенные эпителиоциты (3). Эпителий миндалин имеет, по крайней мере, две особенности: в некоторых местах он инфильтрирован лимфоцитами (6), а также зернистыми лейкоцитами (последние фагоцитируют микробы); кроме того, в его составе находятся дендритные клетки, которые представляют антигены лимфоцитам.

Лимфатические фолликулы миндалин - В-зона

в лимфатических узелках (4) миндалины тоже можно различить следующие области: реактивный центр (5), включающий 3 зоны: тёмную (где стимулированные В-клетки - центробласты - находятся в состоянии мутагенеза).

34 Пищевод

в стенке пищевода имеются следующие части: слизистая оболочка (I), подслизистая основа (II), мышечная оболочка (III), адвентициальная оболочка (IV), которая в брюшном отделе заменяется на серозную оболочку.

Слизистая оболочка (I) (благодаря наличию подслизистой основы (II)) образует на внутренней поверхности пищевода 7-10 продольных складок. Слизистую оболочку составляют: многослойный плоский неороговевающий эпителий (1). собственная пластинка (2), образованная рыхлой соединительной тканью; и мышечная пластинка (3): в верхней трети пищевода это лишь отдельные продольные пучки гладких миоцитов; ниже - они сливаются в единую пластинку.

В двух отделах пищевода в собственной пластинке слизистой оболочки находятся кардиальные железы пищевода.

Железы - простые трубчатые (как в желудке);содержат не только экзокринные, но и эндокринные клетки.

Подслизистая основа (II) образована рыхлой волокнистой соединительной тканью с большим содержанием адипоцитов. Характерная особенность пищевода - наличие в собственной основе сообственных желёз пищевода (4).По морфологии это сложные разветвлённые альвеолярно-трубчатые железы;железы являются слизистыми.

Мышечная оболочка (III) пищевода содержит 2 слоя: внутренний (6) - у человека циркулярный, а у собаки (см. препарат) - продольный; наружный (7) -
у человека - продольный,у собаки (см. препарат) - циркулярный.

Тип мышечной ткани в мышечной оболочке зависит от уровня пищевода.

Адвентициальная (серозная) оболочка

Основа оболочки - рыхлая волокнистая соединительная ткань,содержащая много сосудов и нервов. В брюшном отделе оболочка покрыта ещё мезотелием.

35 Переход пищевода в желудок

Н а данном препарате одновременно видны абдоминальный отдел пищевода (на снимке слева) и кардиальный отдел желудка (справа).

Слизистая оболочка

Внутренняя поверхность: у пищевода она гладкая, а в слизистой оболочке желудка имеются ямки (1Б).

Эпителий: в пищеводе - многослойный плоский неороговевающий (2А), в желудке - однослойный цилиндрический железистый (2Б).

Собственная пластинка слизистой оболочки (3): в пищеводе на препарате здесь нет желёз (хотя, в принципе, здесь могут располагаться кардиальные железы пищевода, подобные желудочным); в желудке же в указанной пластинке всегда находятся кардиальные железы (3Б), открывающиеся в желудочные ямки.

Мышечная пластинка слизистой оболочки (4): в пищеводе она включает 2 слоя гладких миоцитов, в желудке - 3 слоя.

Подслизистая основа (5): в пищеводе здесь содержатся собственные железы пищевода (5.А) - сложные альвеолярно-трубчатые, а по характеру секрета - слизистые; в подслизистой основе желудка желёз нет.

Мышечная оболочка: в пищеводе она включает 2 слоя гладких миоцитов (наружный продольный и внутренний циркулярный),в желудке - 3 слоя: кнутри от циркулярного слоя находится ещё один - косой.

36 Дно желудка

В стенке желудка имеются следующие оболочки: слизистая,
подслизистая основа, мышечная и серозная оболочки.

Внутренняя поверхность желудка имеет сложный рельеф из-за наличия складок, полей и
ямок. Складка: её образуют слизистая оболочка (занимает основную часть поля зрения) и подслизистая основа (лежит в центре складки, а также под самой складкой).

желудочные ямки (1А) - многочисленные маленькие углубления в слизистой оболочке.

Слизистая оболочка: эпителий - однослойный призматический железистый (1.Б). Железистым он называется потому, что все его клетки - секреторные (экзокриноциты): они образуют слизеподобный секрет, покрывающий внутреннюю поверхность желудка.

собственная пластинка (2.А) слизистой оболочки, представленная рыхлой соединительной тканью.) собственные (или фундальные) железы желудка (2.Б).простые, неразветвлённые и трубчатые

В секреторных отделах данных желёз содержатся экзокриноциты трёх типов: париетальные клетки (1) - крупные, оксифильные, расположены на периферии концевых отделов, продуцируют HCl; главные клетки - базофильные, с круглым ядром, продуцируют пепсиноген; слизистые клетки - светлые, с уплощёнными ядрами в базальной части.

Мышечная пластинка (3) слизистой оболочки - включает 3 слоя гладкомышечной ткани: внутренний циркулярный, средний продольный, наружный циркулярный.

Подслизистая основа: состоит из рыхлой неоформленной соединительной ткани, богатой жировыми клетками, и содержит артериальное, венозное и нервное сплетения, а также лимфатическую сеть.

Мышечная оболочка - содержит 3 слоя: внутренний продольный (или косонаправленный), средний циркулярный, наружный продольный

серозная оболочка - висцеральная брюшина, выстланная снаружи мезотелием.

37 Пилорический отдел желудка

В любой области желудка его стенка имеет следующие оболочки: слизистую, подслизистую основу, мышечную и серозную оболочки.При этом характерными структурами слизистой оболочки желудка являются ямки (1) и железы (2).

Ямки слизистой оболочки Первым ключевым признаком является глубина желудочных ямок мышечная оболочка (III) (три слоя гладкомышечной ткани - внутренний косой, циркулярный и наружный продольный), серозная оболочка (IV), покрытая мезотелием (IVA).

(1). Здесь многие ямки доходят более, чем до половины толщины слизистой оболочки.

эпителия (1А), выстилающего ямки (1) и прочие участки поверхности, то он, как и везде в желудке, является однослойным призматическим железистым: все его клетки продуцируют слизистый секрет. Под эпителием, как обычно, находится собственная пластинка слизистой оболочки (3).

Железы слизистой оболочки их концевые отделы (2) являются разветвлёнными (тогда как фундальные желёзы - неразветвлённые). Это проявляется в том, что между соседними соединительнотканными перегородками находится по несколько концевых отделов.Во-вторых, эти отделырасположены реже и имеют более широкие просветы, чем фундальные железы.

мышечная пластинка слизистой оболочки (3 слоя гладких миоцитов), подслизистая основа (рыхлая неоформленная соединительная ткань),мышечная оболочка (III) (три слоя гладкомышечной ткани - внутренний косой, циркулярный и наружный продольный), серозная оболочка (IV), покрытая мезотелием (IVA).

38 Тонкая кишка

С тенка тонкой кишки имеет те же, что и другие участки пищеварительной трубки, оболочки: слизистую, подслизистую основу, мышечную и серозную оболочки.

Слизистая оболочка: ворсинки.Первая характерная черта тонкой кишки - наличие на её внутренней поверхности ворсинок (1А). Последние представляют собой выпячивания всех слоёв слизистой оболочки.их покрывает однослойный цилиндрический каёмчатый эпителий (1В), строму образует рыхлая ткань собственной пластинки (2) слизистой оболочки, а в ней находятся отдельные гладкие миоциты (3А)

Слизистая оболочка: крипты. Вторая особенность слизистой оболочки - наличие в ней крипт (1Б). Это трубчатые углубления в собственной пластинке, которые открываются в просвет между ворсинками.

Слизистая оболочка: эпителий ворсинок и крипт. В составе эпителия - клетки нескольких типов.

Основной тип - столбчатые клетки: они осуществляют всасывание продуктов переваривания и, в связи с этим, имеют на апикальной поверхности микроворсинки.

О собственной пластинке слизистой оболочки уже говорилось: она образует строму ворсинок, а ниже в ней находятся крипты. Под криптами, как уже тоже отмечалось, лежит основная часть мышечной пластинки: она содержит 2 (а не 3, как в желудке) слоя гладкомышечной ткани: внутренний циркулярный (3.А), и наружный продольный (3.Б).

Подслизистая основа (II), как и везде, образована рыхлой волокнистой соединительной тканью, а в последней находятся нервные ганглии (4) и многочисленные сосуды (5). Дуоденальные железы (только в двенадцатиперстной кишке): они, подобно железам пищевода, залегают в подслизистой основе, по характеру секрета - слизистые, а по морфологии - сложные разветвлённые трубчатые.

В мышечной оболочке тонкой кишки - опять-таки 2 (а не 3, как в желудке) слоя гладкомышечной ткани: внутренний циркулярный (III.В) (более мощный по толщине) и наружный продольный (III.Г).

серозная оболочка (IV); она включает: мезотелий (IV.А), рыхлую соединительную ткань (IV.Б), жировые клетки (IV.В).

39 Толстая кишка

С тенка толстой кишки содержит следующие оболочки: слизистую (I), подслизистую основу (II), мышечную (III) и серозную оболочки.Слизистая оболочка толстой кишки не образует ворсинок (в отличие от слизистой оболочки тонкой кишки). но имеет крипты (1А) - трубчатые углубления. По сравнению с тонкой кишкой, эти крипты глубже и шире.

Эпителий, выстилающий внутреннюю поверхность (включая крипты), как и в тонкой кишке, - однослойный цилиндрический каёмчатый.

Так, преобладают здесь бокаловидные клетки (1Б) - светлые и округлые.

Вторыми по представительству идут столбчатые клетки (1.В), осуществляющие всасывание.

Собственная пластинка (2) образует тонкие соединительнотканные прослойки между криптами.Под криптами - мышечная пластинка (3) из двух слоёв - внутреннего циркулярного, наружного продольного.В подслизистой основе (II) - кроме рыхлой волокнистой соединительной ткани, -сосуды (5) и нервные сплетения, жировые клетки,
одиночные лимфоидные узелки (проникающие из слизистой оболочки).

Мышечная оболочка включает два слоя внутренний циркулярный и наружный продольный,

Что касается серозной оболочки (IV), то она, как обычно, содержит рыхлую соединительную ткань, покрытую мезотелием.

40 Печень человека

С поверхности печень покрыта соединительнотканной капсулой, которая срастается с висцеральной брюшиной. Печень подразделяется на две доли, а те, в свою очередь, - на дольки, Дольки разделены соединительнотканными прослойками.

Сосудистая и желчевыводящая системы печени.

триады междолькового уровня (I), которые обычно находятся на стыке соседних долек, и центральной вены (1), расположенной в центре каждой дольки.

В составе триад идут совместно ветви трёх трубчатых систем: ветви печеночной артерии, ветви портальной вены (несут кровь от вен желудка, кишечника и селезёнки), желчные протоки (по которым вырабатываемая печенью желчь оттекает в желчный пузырь и далее в двенадцатиперстную кишку). вена безмышечного типа:
она содержит только слой эндотелия (1.А) и очень тонкий слой соединительной ткани (1.Б).За пределами дольки центральная вена переходит в поддольковую вену (2).Печёночные клетки (гепатоциты), разделяющие в дольках синусоидные капилляры, образуют т.н. балки

гепатоциты (4): по размеру - крупные, нередко бывают двухядерными и часто содержат полиплоидные ядра, выполняют очень разнообразные функции (желчеобразование, синтез многих компонентов плазмы крови, детоксикацию веществ, депонирование гликогена и др.),

В стенке синусоидных капилляров (3) обнаруживаются два вида клеток с уплощёнными ядрами: эндотелиоциты и звёздчатые макрофаги (клетки Купера)

Вокруг капилляров (между ними и окружающими клетками) имеется узкое вокругсинусоидное пространство (пространство Диссе).Непосредственно за ним расположены не только гепатоциты, но и ряд других клеток: перисинусоидальные липоциты (клетки Ито) - содержат мелкие капли жира, депонирующие жирорастворимые витамины, и синтезируют коллаген III, формирующий ретикулярные волокна, которые подерживают стенку капилляров; т.н. ямочные (pit-) клетки - NK-киллеры (разновидность лимфоцитов), которые уничтожают собственные видоизменённые клетки организма.

41 Поджелудочная железа

П оджелудочная железа снаружи покрыта тонкой соединительнотканной капсулой, а с передней поверхности - ещё и висцеральным листком брюшины.

В паренхиме железы имеются соединительнотканные перегородки (1), которые подразделяют её на дольки. Кроме того, поджелудочная железа содержит 2 части - экзокринную (основная часть массы) и эндокринную. Причём, обе они присутствуют в каждой дольке.

Экзокринная часть включает панкреатические ацинусы (2) и выводные протоки (3).Эндокринная же часть представлена островками Лангерганса (или панкреатическими островками) (4).

в поджелудочной железе встречаются следующие структуры: промежуточные секреторные клетки, тельца Фатер-Пачини, или пластинчатые тельца (6) - разновидность инкапсулированных рецепторных окончаний, реагирующая на сильное давление; кровеносные сосуды (5).

Экзокринная часть: панкреатические ацинусы.

В состав панкреатических ацинусов (1) включают не только секреторные отделы (как, например, в слюнных железах), но и вставочные протоки.

42 Трахея

В стенке трахеи имеются следующие оболочки: слизистая оболочка (I), подслизистая основа (II), фиброзно-хрящевая оболочка (III) и адвентициальная оболочка (IV).

Слизистую оболочку (I) выстилает изнутри многорядный мерцательный эпителий (1). Это разновидность однослойного эпителия, т.е. все входящие в него клетки контактируют с базальной мембраной

Среди основных типов клеток - реснитчатые клетки: ядра (3) образуют верхний ряд ядер, а на апикальной поверхности имеются реснички (3.А).Поэтому и весь эпителий называется реснитчатым, или мерцательным.

Другие основные типы клеток эпителия: а) бокаловидные клетки (4) -имеют грушевидную форму и светлую цитоплазму, продуцируют слизь; ядра лежат в верхнем или среднем ряду; базальные, или короткие вставочные, клетки - являются камбиальными, образуют нижний ряд ядер (1); длинные вставочные клетки - ядра (2) лежат в среднем ряду, эндокриноциты - секретируют в кровь норадреналин, серотонин и пр. вещества; клетки Лангерганса (и, возможно, М-клетки) - будучи производными макрофагов, перерабатывают антигены и представляют продукты переработки лимфоцитам. Под эпителием в трахее расположены две пластинки слизистой оболочки: собственная пластинка (2), образованная рыхлой соединительной тканью с большим количеством эластических волокон, и мышечная пластинка (3), представленная редкими и циркулярно ориентированными миоцитами. подслизистая основа (II). Её особенность - наличие в ней концевых отделов (4) слизисто-белковых желёз трахеи. Фиброзно-хрящевую оболочку (III) трахеи образуют крупные и не замкнутые сзади кольца из гиалинового хряща, а также покрывающая их со всех сторон надхрящница. Адвентициальная оболочка (IV) трахеи образована рыхлой соединительной тканью, в которой много сосудов (5) и жировых клеток (6).

43 Легкое

Стенка крупного бронха состоит из нескольких оболочек. Самая внутренняя из них - слизистая оболочка; она включает: многорядный мерцательный эпителий (I.A), собственную пластинку (I.Б) (богатую эластическими волокнами) и выраженную мышечную пластинку (I.В).Вот клеточный состав эпителия крупных бронхов: реснитчатые клетки - ядра лежат в верхнем ряду, бокаловидные клетки - светлые, секретируют слизь; длинные вставочные клетки - средний ряд ядер; базальные (стволовые) клетки - нижний ряд ядер, а также клетки, присутствующие в небольших количествах, - эндокриноциты, клетки Лангерганса. Вторая оболочка крупного бронха - подслизистая основа (II): здесь в рыхлой соединительной ткани находятся слизисто-белковые железы (II.A). Третья оболочка - фиброзно-хрящевая (III). В крупных бронхах её образуют отдельные, но достаточно крупные пластинки гиалинового хряща, окружённые надхрящницей (III.A).Между хрящами надхрящница переходит в фиброзные пластинки из плотной оформленной соединительной ткани.Наружная оболочка - адвентициальная (IV). Она непосредственно переходит в соединительную ткань лёгочной паренхимы. Средний бронх.Слизистая оболочка.Эпителий (I.A) - вновь многорядный мерцательный. Собственная пластинка (I.Б) - без особенностей, зато мышечная пластинка (I.B) выражена лучше, чем в крупном бронхе. В подслизистой основе (II) по-прежнему расположены железы (II.A),только теперь они расположены не только перед хрящевыми пластинками,
но и между ними. фиброзно-хрящевая оболочка (III) представлена в данном бронхе лишь мелкими островками гиалинового или эластического хряща. Адвентициальная оболочка - обычная;Мелкий бронх. нет двух внутренних оболочек -подслизистой основы с железами и фиброзно-хрящевой оболочки (т.е. совсем нет хрящевых островков). Остаются лишь две другие оболочки: слизистая и адвентициальная (IV). Во-вторых, эпителий (I.A) слизистой оболочки является не многорядным, а двухрядным мерцательным.Терминальная бронхиола. эпителий является не двухрядным, а однорядным мерцательным; в его составе уже нет бокаловидных клеток, а вместо них появляются клетки Клара - крупные клетки, которые обезвреживают токсические вещества и секретируют ферменты, предупреждающие слипание стенок бронхиол; мышечная пластинка и складчатость внутренней поверхности;выражена слабо, адвентициальная оболочка - очень тонкая. Респираторные отделы лёгкого (ацинусы).однорядный кубический реснитчатый эпителий (I.A), тонкий слой рыхлой соединительной ткани, отдельные гладкие миоциты (I.Б).Состав эпителия: екреторные клетки Клара; реснитчатые клетки , каёмчатые (щёточные) клетки.альвеолы: имеют вид тонкостенных пузырьков разнообразной формы.Состав стенки: однослойный плоский эпителий (на базальной мембране).

44 Толстая кожа (кожа пальца)

К ожа любой локализации включает два основных компонента: многослойный плоский ороговевающий эпителий, называемый эпидермисом, и соединительнотканную основу, или дерму.

эпидермисе "толстой" кожи различают 5 слоёв: базальный (1), шиповатый (2), зернистый (3), блестящий (4), роговой (5).

Базальный слой эпидермиса

Все клетки этого слоя (1) лежат на базальной мембране. Последняя на препарате не видна, но отличается резко извилистым ходом - вследствие того, что соединительная ткань дермы вдаётся в эпидермисмногочисленными сосочками.

Клеточный состав рассматриваемого слоя (1) - наиболее разнообразен. - Около 70% приходится на базальные кератиноциты.Другие клетки этого слоя (заметим, что при обычной окраске они не отличимы ни друг от друга, ни от кератиноцитов). - Меланоциты:, десмосомных контактов с соседними клетками не образуют, по форме - многоотростчатые, содержат в цитоплазме меланосомы - мембранные органеллы с гранулами меланина.Клетки Лангерганса (внутриэпителиальные макрофаги): происходят из моноцитов, тоже не образуют десмосомных контактов и имеют многоотростчатый вид; простираются до шиповатого слоя, а отростками - и до зернистого, видимо, играют в эпителии формообразующую функцию, а кроме того, представляют антигены лимфоцитам.Осязательные клетки Меркеля: имеют невральное происхождение, в особенно большом количестве содержатся в коже пальцев; обычно объединяются в осязательные диски Меркеля и воспринимают тактильные раздражения, которые затем передаются окончаниям дендритов чувствительных нервов.

Шиповатый слой эпидермиса.В этом и последующих слоях клетки представлены практически только кератиноцитами.

Зернистый слой (3) - наиболее окрашенный на препарате. Составляющие его кератиноциты расположены в 3-4 слоя,

Блестящий слой (4): кератиноциты вновь расположены в 3-4 ряда, но сильно уплощены и лишены ядер, а также почти всех других органелл,

Роговой слой (5) - является в коже пальца самым толстым.Он состоит из 15-20 слоёв ороговевших безъядерных клеток - роговых чешуек (по форме - светлых призматических ячеек). Последние имеют толстую (роговую) оболочку из кератолинина В дерме различают два слоя: сосочковый (6) - лежит непосредственно под эпидермисом, вдаваясь в него сосочками, и сетчатый слой (7) - более глубокий.

Сосочковый слой образован рыхлой неоформленной соединительной тканью.Поэтому он содержитотносительно много клеток (среди которых - фибробласты, макрофаги, тучные клетки и др.) Сетчатый слой (7) образован другой тканью - плотной неоформленной соединительной.В силу этого, в нём мало клеток (в основном, это фибробласты), а основное пространство занимают толстые пучки коллагеновых волокон (отчего ткань - плотная),
причём, ориентированных в разных направлениях (что делает ткань неоформленной).Присутствуют и эластические волокна.

45 Тонкая кожа (кожа с волосом)

О на включает два основных компонента: многослойный плоский ороговевающий эпителий, называемый эпидермисом, и соединительнотканную основу, или дерму. Эпидермис. - его составе имеются только 4 слоя (а не 5, как в "толстой" коже): базальный (1),шиповатый (2), зернистый (3) и очень тонкий роговой (4).(Таким образом, здесь нет блестящего слоя.)

Дерма. В строении дермы - меньше особенностей. -В ней, как и в "толстой" коже, - 2 слоя того же тканевого состава: непосредственно под эпидермисом - сосочковый слой (5), образованный рыхлой соединительной тканью,и более глубоко - сетчатый слой (6), образованный плотной неоформленной соединительной тканью. Другая особенность, и она уже является принципиальной, - наличие в тонкой коже волос исвязанных с ними сальных желёз, а также мышц, поднипмающих волос., потовые железы.

Эпидермис: клеточный состав.Во всех четырёх слоях (1-4) эпидермиса основным или даже единственным типом клеток являются кератиноциты, которые, перемещаясь от базального слоя к роговому, подвергаются терминальной дифференцировке.Кроме них, в базальном слое (1) присутствуют и другие клетки меланоциты - многоотростчатые клетки, содержащие меланосомы - мембранные органеллы с гранулами меланина; клетки Лангерганса (внутриэпителиальные макрофаги) - тоже многоотростчатые клетки, которые простираются до шиповатого слоя, а отростками - до зернистого, и, видимо, играют в эпителии формообразующую функцию, а кроме того, представляют антигены лимфоцитам; и, наконец, осязательные клетки Меркеля,

Кератиноциты: Базальные кератиноциты (1), Шиповатые кератиноциты (2), Зернистые кератиноциты (3), Роговые кератиноциты (корнеоциты, или роговые чешуйки) (4).

46 Почка

мозговое вещество корковое вещество

Почка окружена фиброзной капсулой (1). В составе последней -не только соединительная ткань,
но и гладкие миоциты, которые, видимо, способствуют фильтрации плазмы в почках и выведению из них образующейся мочи.В паренхиме почки различают корковое вещество (2 на снимке а), мозговое вещество (7) и внутрипочечные мочевыводящие пути: чашечки (10) - малые и большие, а также лоханку.

Наиболее яркий признак коркового вещества - наличие почечных (мальпигиевых) телец (3)

мозговое вещество (7) во-первых, лежит под корковым и организовано в т.н. почечные пирамиды; а кроме того, пронизывает корковое вещество тонкими мозговыми лучами (6).

Пирамиды выступают своими верхушками (сосочками (9)) в почечные чашечки (10).

мозговое вещество во-первых, образует мозговые тяжи (6), пронизывающие кору, и, во-вторых, составляет основу почечных пирамид.В мозговом веществе - три типа прямых канальцев: обе ветви петли Генле - нисходящая (тонкий каналец) и восходящая (дистальный прямой каналец), а также собирательные трубочки (5) (которые уже к нефрону не относятся).

Тонкие канальцы (1). Имеют малый диаметр и очень тонкую стенку (что придаёт мозговому веществу ячеистую структуру). Эпителиоциты - плоские,

Дистальные прямые канальцы (2): по структуре и функции очень похожи на дистальные извитые канальцы: эпителий - низкий призматический, с базальной исчерченностью клеток; внутренний просвет - широкий и ровный;

Собирательные трубочки: По диаметру - самые крупные среди всех канальцев почки. Эпителий - как и в нефроне, однослойный: кубический на уровне коры и высокий призматический в пирамидах.Здесь тоже происходит пассивная реабсорбция воды

47 Мочевой пузырь

В стенке мочевого пузыря - 4 оболочки: слизистая (1-2), подслизистая основа (3), мышечная (4) и наружная оболочки. Слизистая оболочка пустого пузыря образует много складок - кроме треугольной области у места впадения мочеточников.Складки формируются благодаря наличию подслизистой основы, но сама эта основа в состав складок не входит. Слизистая оболочка включает два компонента: переходный эпителий (1) и собственную пластинку из рыхлой соединительной ткани. Мышечной пластинки нет.

Переходный эпителий - разновидность многослойного эпителия. В нём различают три слоя клеток: базальный слой (1) - небольшие клетки с овальными ядрами; промежуточный слой (2) - клетки полигональной формы; поверхностный слой (3) - крупные клетки куполообразной формы; причём, некоторые из них являются двухядерными.

Подслизистая основа (3), как и собственная пластинка (2) слизистой оболочки, образована рыхлой волокнистой соединительной тканью. Из-за отсутствия в слизистой оболочке мышечной пластинки, чёткой границы между этой оболочкой и подслизистой основой нет.

Мышечная оболочка (4) образована пучками гладких миоцитов. В этой оболочке - 3 слоя,
причём, клетки в слоях расположены спиралевидно -

Наружная оболочка (5) почти везде является адвентициальной, т.е образована соединительной тканью.

48 Мочеточник

В стенке мочеточника - 4 оболочки: слизистая (2-3), подслизистая основа (4), мышечная (5) и наружная (6) оболочки. При этом слизистая оболочка образует глубокие продольные складки.Слизистая оболочка включает два компонента: переходный эпителий (2) и собственную пластинку (3) из рыхлой соединительной ткани. Мышечной пластинки нет. Что касается переходного эпителия (2), то это разновидность многослойного эпителия.С базальной мембраной контактирует только нижний, базальный слой клеток.

Кроме этого слоя, имеются ещё два: промежуточный слой и поверхностный. Подслизистая основа (4), как и собственная пластинка (3) слизистой оболочки, образована рыхлой волокнистой соединительной тканью.Мышечная оболочка (5) образована пучками гладких миоцитов. В этой оболочке до середины мочеточников - 2 слоя, а ниже - 3 слоя. Наружная оболочка (6) является адвентициальной, т.е образована только рыхлой соединительной тканью.

49 Семенник

Я ичко окружено большим числом оболочек. Из них самой внутренней является белочная оболочка, состоящая из плотной волокнистой соединительной ткани.Эта оболочка, продолжаясь в ткань яичка, формирует средостение яичка - неполную вертикальную перегородку и лучеобразные перегородки, расходящиеся из средостения как из центра. Перегородки делят яичко примерно на 250 долек.В каждой дольке содержится от 1 до 4 извитых семенных (или сперматогенных) канальцев (1).Концы петель каждого семенного канальца сливаются друг с другом и с рядом соседних канальцев, продолжаясь в канальцы другого типа. Отсюда начинаются семявыносящие пути. Вот те их части, которые находятся в самом яичке: прямые канальцы яичка - непосредственные продолжения семенных канальцев; канальцы сети яичка - расположены в толще средостения; образуют сеть, в которую с одной стороны впадают прямые канальцы, а с другой стороны которой отходят выносящие канальцы яичка.Но имеется и ещё один важный компонент: в соединительной ткани (III), расположенной между канальцами (т.е. в интерстиции), находятся интерстициальные клетки (клетки Лейдига), продуцирующие мужской половой гормон тестостерон. Снаружи семенной каналец имеет тонкую собственную оболочку (I).В её состав входят: наружный слой фибробластоподобных клеток и образуемый ими слой коллагеновых волокон,также внутренний слой миоидных клеток и образуемая ими базальная мембрана.Под собственной оболочкой находится сперматогенный "эпителий" (II),или (более правильно)
эпителиосперматогенный слой, В его составе - всего один вид эпителиальных клеток (2), имеющий целый ряд названий: клетки Сертоли, сустентоциты (поддерживающие клетки), фолликулярные клетки; а также сперматогенные клетки (3-5) - стволовые и созревающие.

На разных этапах своего развития они имеют разные названия: сперматогонии , сперматоциты , сперматиды , сперматозоиды.

50 Предстательная железа

О на представляет собой совокупность отдельных желёзок (1),
окружённых мышечно - эластической стромой (2).

Простатическая часть уретры. Просвет уретры (4) - узкий, звёздчатой формы. Его стенка содержит три оболочки - слизистую, подслизистую основу и мышечную оболочку.

Слизистая оболочка включает переходный эпителий (как и предыдущие мочевыводящие пути) и собственную пластинку, в которой, в частности, расположены мелкие слизистые железы (Литре). В подслизистой основе содержится ещё одна сеть венозных сосудов - более широких. И, наконец, в мышечной оболочке - 2 слоя гладких миоцитов: продольный и циркулярный. Строма (2) расходится от уретры прослойками: крупные прослойки разделяют простату на дольки, а мелкие проникают внутрь долек, окружая отдельные железы.

в ней - два основных компонента: пучки гладких миоцитов (2) и рыхлая волокнистая соединительная ткань (5) с большим содержанием эластических волокон. Многочисленные железы простаты являются по характеру секрета - слизистыми, а по форме концевых отделов (1) - альвеолярно-трубчатыми.

Характеристики

Тип файла
Документ
Размер
1,66 Mb
Тип материала
Предмет
Учебное заведение
Неизвестно

Список файлов книги

Свежие статьи
Популярно сейчас
Почему делать на заказ в разы дороже, чем купить готовую учебную работу на СтудИзбе? Наши учебные работы продаются каждый год, тогда как большинство заказов выполняются с нуля. Найдите подходящий учебный материал на СтудИзбе!
Ответы на популярные вопросы
Да! Наши авторы собирают и выкладывают те работы, которые сдаются в Вашем учебном заведении ежегодно и уже проверены преподавателями.
Да! У нас любой человек может выложить любую учебную работу и зарабатывать на её продажах! Но каждый учебный материал публикуется только после тщательной проверки администрацией.
Вернём деньги! А если быть более точными, то автору даётся немного времени на исправление, а если не исправит или выйдет время, то вернём деньги в полном объёме!
Да! На равне с готовыми студенческими работами у нас продаются услуги. Цены на услуги видны сразу, то есть Вам нужно только указать параметры и сразу можно оплачивать.
Отзывы студентов
Ставлю 10/10
Все нравится, очень удобный сайт, помогает в учебе. Кроме этого, можно заработать самому, выставляя готовые учебные материалы на продажу здесь. Рейтинги и отзывы на преподавателей очень помогают сориентироваться в начале нового семестра. Спасибо за такую функцию. Ставлю максимальную оценку.
Лучшая платформа для успешной сдачи сессии
Познакомился со СтудИзбой благодаря своему другу, очень нравится интерфейс, количество доступных файлов, цена, в общем, все прекрасно. Даже сам продаю какие-то свои работы.
Студизба ван лав ❤
Очень офигенный сайт для студентов. Много полезных учебных материалов. Пользуюсь студизбой с октября 2021 года. Серьёзных нареканий нет. Хотелось бы, что бы ввели подписочную модель и сделали материалы дешевле 300 рублей в рамках подписки бесплатными.
Отличный сайт
Лично меня всё устраивает - и покупка, и продажа; и цены, и возможность предпросмотра куска файла, и обилие бесплатных файлов (в подборках по авторам, читай, ВУЗам и факультетам). Есть определённые баги, но всё решаемо, да и администраторы реагируют в течение суток.
Маленький отзыв о большом помощнике!
Студизба спасает в те моменты, когда сроки горят, а работ накопилось достаточно. Довольно удобный сайт с простой навигацией и огромным количеством материалов.
Студ. Изба как крупнейший сборник работ для студентов
Тут дофига бывает всего полезного. Печально, что бывают предметы по которым даже одного бесплатного решения нет, но это скорее вопрос к студентам. В остальном всё здорово.
Спасательный островок
Если уже не успеваешь разобраться или застрял на каком-то задание поможет тебе быстро и недорого решить твою проблему.
Всё и так отлично
Всё очень удобно. Особенно круто, что есть система бонусов и можно выводить остатки денег. Очень много качественных бесплатных файлов.
Отзыв о системе "Студизба"
Отличная платформа для распространения работ, востребованных студентами. Хорошо налаженная и качественная работа сайта, огромная база заданий и аудитория.
Отличный помощник
Отличный сайт с кучей полезных файлов, позволяющий найти много методичек / учебников / отзывов о вузах и преподователях.
Отлично помогает студентам в любой момент для решения трудных и незамедлительных задач
Хотелось бы больше конкретной информации о преподавателях. А так в принципе хороший сайт, всегда им пользуюсь и ни разу не было желания прекратить. Хороший сайт для помощи студентам, удобный и приятный интерфейс. Из недостатков можно выделить только отсутствия небольшого количества файлов.
Спасибо за шикарный сайт
Великолепный сайт на котором студент за не большие деньги может найти помощь с дз, проектами курсовыми, лабораторными, а также узнать отзывы на преподавателей и бесплатно скачать пособия.
Популярные преподаватели
Добавляйте материалы
и зарабатывайте!
Продажи идут автоматически
7279
Авторов
на СтудИзбе
243
Средний доход
с одного платного файла
Обучение Подробнее