Методичка (2) (1135305), страница 3
Текст из файла (страница 3)
Хрусталик состоит из хрусталиковых волокон, спереди от которых располагается однослойный эпителий хрусталика. Снаружи хрусталик окружен капсулой хрусталика, представляющей собой утолщенную базальную мембрану.
Сетчатка состоит из тонкого пигментного слоя и нервного слоя, составляющего основную ее часть. Нервный слой содержит 6 типов нейронов:
-
палочковые нейросенсорные клетки,
-
колбочковые нейросенсорные клетки,
-
биполярные нейроны,
-
горизонтальные нейроны,
-
амакриновые нейроны,
-
мультиполярные нейроны.
Нейросенсорный, биполярный и мультиполярный нейроны образуют цепь из трех нейронов, в которой нейросенсорная клетка воспринимает раздражение и через биполярный нейрон передает импульс на мультиполярный (ганглинарный) нейрон. Аксон мультиполярного нейрона уходит из глазного яблока в составе зрительного нерва. Горизонтальный и амакриновый нейроны играют роль тормозных.
Тела нейронов и их отростки образуют слои сетчатки. Выделяют 10 слоев сетчатки.
-
Пигментный эпителий, располагается на границе с сосудистой оболочкой и своими отростками проникаеи в фотосенсорный слой.
-
Фотосенсорный слой образован палочками и колбочками – наружными сегментами дендритов палочковых и колбочковых нейросенсорных клеток.
-
Наружная глиальная пограничная мембрана – темная полоска, отделяющая фотосенсорный слой от наружного ядерного.
-
Наружный ядерный слой состоит из тел нейросенсорных клеток.
-
Н
аружный сетчатый слой состоит из аксонов нейросенсорных клеток и их синапсов с дендритами нейронов следующего внутреннего ядерного слоя. -
В состав внутреннего ядерного слоя входят тела биполярных, горизонтальных и амакриновых нейронов.
-
Внутренний сетчатый слой состоит из аксонов биполярных нейронов и их синапсов с дендритами мультиполярных нейронов.
-
Тела мультиполярных нейронов образуют ганглионарный слой.
-
А
Рис. 1. 11. Строение сетчатки
I - слой пигментных клеток, II – V – слои рецепторных клеток – палочек и колбочек, VI – X – слои вставочных клеток
ксоны мультиполярных нейронов образуют слой нервных волокон, и, собираясь вместе, формируют зрительный нерв. -
Внутренняя глиальная пограничная мембрана – образована основаниями мюллеровых клеток и их базальной мембраны.
М
есто выхода зрительного нерва называется слепым пятном, так как не содержит светочувствительных элементов. Палочки и колбочки имеют наружный сегмент, состоящий из мембранных дисков и внутренний сегмент, содержащий эндоплазматическую сеть и митохондрии. Наружный сегмент составляет светочувствительную часть. В мембране дисков содержится зрительный пигмент родопсин, в состав которого входит белок и альдегид витамина А. Родопсин разлагается под влиянием света с изменением ионной проницаемости мембран и возникновением электрического сигнала в следствие гиперполяризации рецепторов. Родопсин регенерирует в темноте в результате энергоемкого процесса.
Диски постоянно обновляются за счет их образования в проксимальных участках наружных сегментов и смещения в дистальные, где они фагоцитируются пигментным эпителием.
Витамин А необходим для обновления дисков – в его отсутствии они разрушаются, вызывая «куриную слепоту». Палочковые нейросенсорные клетки располагаются в периферических отделах сетчатки, воспринимают световые сигналы низкой интенсивности (сумеречное зрение) и отвечают за черно-белое зрение. Общее количество этих клеток в сетчатке человека равно 70 -140 млн.
Колбочковые нейросенсорные клетки по строению сходны с палочковыми. Наружные сегменты их периферического отростка (колбочки) – конической формы, содержат мембранные диски. В мембранах дисков содержится зрительный пигмент иодопсин, который в функционально различных типах клеток разлагается под действием красного, зеленого или синего цвета. Колбочковые нейросенсорные клетки располагаются в центральных отделах сетчатки и особенно многочисленны в центральной ямке желтого пятна (область наилучшего зрения). Общее их количество в сетчатке человека равно 6-7 млн. отсутствие колбочковых клеток тех или иных функциональных типов обуславливает цветовую слепоту – наследственно обусловленное заболевание – дальтонизм.
1.6.2. Орган равновесия
Рецепторные клетки органа слуха и равновесия локализованы в перепончатом лабиринте, который располагается в костном лабиринте. Рецепторные клетки органа слуха находятся в улитковом лабиринте, а орган равновесия - в вестибулярном лабиринте.
В
вестибулярном лабиринте имеются два расширения: сферический мешочек и маточка или эллиптический мешочек. С маточкой связаны полукружные каналы, которые также имеют расширение - перепончатые ампулы.
В ампулах располагаются ампулярные гребешки. В мешочке находится пятно сферического мешочка, в маточке - пятно эллиптического мешочка. В пятнах различают волосковые сенсорные клетки и поддерживающие эпителиоциты. Волосковые сенсорные клетки бывают двух типов: грушевидные эпителиоциты (I типа) и столбчатые эпителиоциты (II типа). От апикальной поверхности волосковой клетки отходит 40–60 жестких волосков (специализированных микроворсинок) - стереоцилий и одна ресничка - киноцилия. Волоски погружены в лежащую над ними студенистую отолитовую мембрану, на поверхности которой расположены кристаллы карбоната кальция – отолиты или статоконии. Пятна мешочка и маточки воспринимают гравитацию и линейные ускорения, под действием которых мембрана смещается относительно волосков рецепторных клеток. Сгибание волосков порождает импульс, передающийся на нервное окончание, которое на грушевидных рецепторных клетках имеет форму чаши, а на столбчатых - несколько мелких окончаний. Пятно сферического мешочка воспринимает, кроме того, вибрацию.
В перепончатых ампулах полукружных каналов располагаются ампуллярные гребешки. Они состоят из таких же клеток, как и пятна. Волоски рецепторных клеток погружены в студенистый купол, который отклоняется при движении эндолимфы относительно стенки полукружковых каналов. Ампуллярные гребешки регистрируют угловые ускорения, т.е. повороты тела или головы.
1.6.3. Орган слуха
Рецепторный аппарат органа слуха или кортиев орган лежит на дне улиткового канала.
У
литковый канал перепончатого лабиринта заполнен эндолимфой и окружен двумя каналами, содержащими перилимфу – барабанной и вестибулярной лестницы. Совместно с обеими лестницами он заключен в костную улитку, образующую 2,5 витка вокруг центрального костного стержня (оси улитки). Канал имеет на разрезе треугольную форму, при чем его наружная стенка, образованная сосудистой полоской, срастается со стенкой костной улитки. Он отделен от лежащей над ним вестибулярной лестницы вестибулярной мембраной, а от расположенной под ним барабанной лестницы – базилярной пластинкой.
Сосудистая полоска образована пластом многослойного эпителия, лежащего на спиральной связке и пронизанного густой капиллярной сетью. Она является участком перепончатого лабиринта, в котором происходит образование эндолимфы, обеспечивающей транспорт питательных веществ и кислорода к кортиевому органу, поддержание ионного состава среды, оптимального функционирования рецепторов. Ее эпителий содержит клетки трех типов:
-
краевые клетки – выстилают поверхность полоски и контактируют с эндолимфой. Их уплощенная апикальная поверхность покрыта короткими микроворсинками, а базальные отростки содержат большое количество митохондрий. Мембранные ионные насосы базальной части этих клеток обеспечивают транспорт Na+ капилляры и его замещение К+, в результате чего эндолимфа содержит высокие концентрации К+;
-
промежуточные клетки – звездчатой формы, их отростки охватывают капилляры и проникают между другими клетками;
-
базальные клетки – уплощенные или неправильной формы, их апикальные отростки проникают между отростками промежуточных и краевых клеток, а базальные отростки взаимодействуют с соседними базальными клетками и подлежащими фибробластами.
Вестибулярная мембрана (Рейнера) – тонкая двухслойная пластинка, протягивающаяся от спирального гребня (лимба) до спиральной связки и участвующая в транспорте воды и электролитов между пери– и эндолимфой. Поверхность мембраны, обращенная в улитковый канал, выстлана однослойным эпителием с большим числом микропиноцитозных пузырьков в цитоплазме.
Базилярная пластинка образует дно улиткового хода и со стороны барабанной лестниц выстлана однослойным плоским эпителием. Пластинка состоит их аморфного вещества, в которое погружены пучки коллагеновых микрофибрилл, образующие около 20 тыс. слуховых струн, натянутых от спиральной связки до спиральной костной пластинки. Струны в зависимости от положения в улитке имеют разную длину и реагируют на колебания различной частоты (16-20 000 Гц)
Спиральный (кортиев) орган образован рецепторными сенсорно-эпителиальными (волосковыми) клетками и разнообразными опорными клетками.
Сенсорно-эпителиальные (волосковые) клетки разделяются на два типа:
Внутренние волосковые клетки – крупные, грушевидной формы, располагаются в один ряд и со всех сторон полностью окружены внутренними фаланговыми клетками. Общее количество клеток равно 3,5 тыс. по строению они сходны с волосковыми клетками I типа органа равновесия; на их апикальной поверхности содержится 50-70 стереоцилий, расположенных линейно.
Наружные волосковые клетки – призматической формы, лежат в чашевидных вдавлениях наружных фаланговых клеток. Располагаются в 3-5 рядов и соприкасаются с поддерживающими клетками только в области базальной и апикальной поверхности; средняя часть этих клеток омывается эндолимфой, что, как предполагают, делает их более чувствительными, чем внутренние клетки, к воздействию токсических веществ. Общее количество этих клеток равно 12-20 тыс. по строению они сходны с волосковыми клетками II типа вестибулярного аппарата, на их апикальной поверхности находится 100 –300 стереоцилий, расположенных в 3-4 ряды в виде буквы V или W. Концы стереоцилий погружены в желеобразную покровную мембрану.
Покровная мембрана продуцируется клетками вестибулярной губы спирального лимба, содержит гликопротеины и состоит из фибрилл, погруженных в плотное аморфное вещество. Она нависает над всем спиральным органом.
П
оддерживающие клетки подразделяются на пять типов: клетки-столбы, фаланговые клетки (Дейтерса), пограничные клетки Гензена, наружные поддерживающие клетки (Клаудиуса), клетки Беттхера.
Рецепция звука обеспечивается сложными механизмами. Звуковые волны вызывают колебания барабанной перепонки, которые приводят в движение слуховые косточки, передающие их на перилимфу и базилярную мембрану. Колебания последней, усиленные в участках улитки, содержащих струны определенной длины, приводят к деформации стереоцилий волосковых клеток, погруженных в покровную мембрану. При этом возникает электрический потенциал, который передается на окончания дендритов биполярных клеток спирального ганглия, их аксоны образуют улитковый нерв. Более 90% афферентных нервных волокон подходят к внутренним волосковым клеткам, а к значительно более многочисленным наружным клеткам – лишь 10%.
1
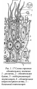
.6.4 Орган обоняния
Орган обоняния представлен обонятельным эпителием на поверхности верхней и части средней носовых раковин. Обонятельный эпителий состоит из обонятельных нейросенсорных клеток, поддерживающих эпителиацитов и базальных эпителиоцитов. Последние являются камбиальными. Дендрит обонятельный нейросенсорной клетки заканчивается луковицей дендрита, от которой отходят реснички.
Секрет трубчато-альвеолярных желез, лежащих в собственной пластинке слизистой оболочки, увлажняет поверхность слизистой и растворяют вещества, которые раздражают реснички обонятельных клеток. Аксоны обонятельных клеток объединяются в пучки - обонятельные нити, которые через отверстия решетчатой кости направляются в обонятельные луковицы мозга.
аружный сетчатый слой состоит из аксонов нейросенсорных клеток и их синапсов с дендритами нейронов следующего внутреннего ядерного слоя. 















