Микропрепараты к практическому занятию. Учение об опухолях. Эпителиальные опухоли (859055)
Текст из файла
МИКРОПРЕПАРАТЫ К ПРАКТИЧЕСКОМУ ЗАНЯТИЮ "УЧЕНИЕ ОБ ОПУХОЛЯХ. ЭПИТЕЛИАЛЬНЫЕ ОПУХОЛИ"
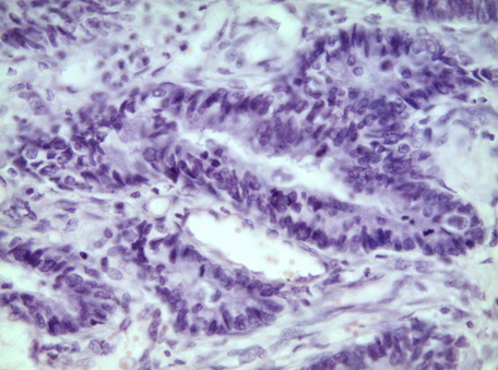
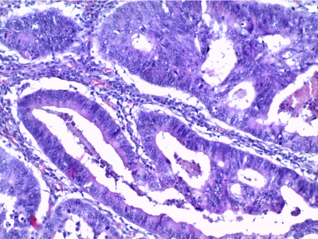
Препарат № 100.
АДЕНОКАРЦИНОМА ТОЛСТОЙ КИШКИ
Окраска: гематоксилин-эозин
В одной части препарата обнаруживаем нормальное строение слизистой оболочки. На большем протяжении слизистая представлена опухолевой тканью, паренхима ее состоит из причудливых ветвящихся железистых трубочек, эпителий которых полиморфный; ядра крупные, сочные, гиперхромные с множеством митозов. Такие же железистые образования видны в подслизистом и мышечном слоях стенки. В строме опухоли воспалительные инфильтраты, очаговые кровоизлияния.
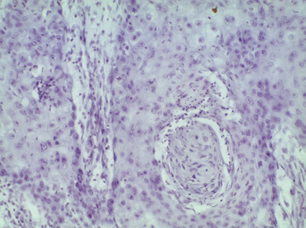
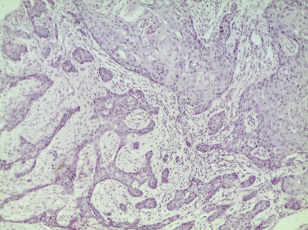
Препарат № 139.
ПЛОСКОКЛЕТОЧНЫЙ ОРОГОВЕВАЮЩИЙ РАК (ПИЩЕВОДА)
Окраска: гематоксилин-эозин
Пласты и тяжи атипичного плоского эпителия врастают в подлежащую соединительную ткань и в мышечную оболочку пищевода. В центре пластов происходит ороговение эпителия – образуются так называемые «раковые жемчужины». В строме опухоли инфильтрация преимущественно лейкоцитами и плазматическими клетками. Обратить внимание, что в имеющихся в препарате небольших лимфоузлах метастазов еще нет.
Отметить:
1. Атипичные эпителиальные пласты
2. Лимфоузел
3. «Раковые жемчужины».
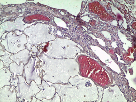
Препарат № 380.
МЕТАСТАЗ МУЦИНОЗНОЙ АДЕНОКАРЦИНОМЫ В ЛЕГКОЕ
Окраска: гематоксилин-эозин
В ткани легкого – опухолевый узел слизеобразующей (муцинозной) аденокарциномы.
Отметить:
1. Метастаз аденокарциномы
2. Слизь.
Препарат № 381
АДЕНОКАРЦИНОМА В ВОРСИНЧАТОЙ АДЕНОМЕ ТОЛСТОЙ КИШКИ
Окраска: гематоксилин-эозин
Полиповидное опухолевое образование толстого кишечника из пролиферирующего железистого эпителия с признаками дисплазии, покрывающего ворсинчатые выросты – аденома. В опухоли определяются очаги инвазивной внутрислизистой аденокарциномы в виде плохо сформированных сливающихся железистых комплексов из атипичного эпителия. В крае препарата сохранена нормальная слизистая толстой кишки.
Отметить:
1. Ворсинчатая аденома
2. Аденокарцинома
3. Нормальная слизистая.
Характеристики
Тип файла документ
Документы такого типа открываются такими программами, как Microsoft Office Word на компьютерах Windows, Apple Pages на компьютерах Mac, Open Office - бесплатная альтернатива на различных платформах, в том числе Linux. Наиболее простым и современным решением будут Google документы, так как открываются онлайн без скачивания прямо в браузере на любой платформе. Существуют российские качественные аналоги, например от Яндекса.
Будьте внимательны на мобильных устройствах, так как там используются упрощённый функционал даже в официальном приложении от Microsoft, поэтому для просмотра скачивайте PDF-версию. А если нужно редактировать файл, то используйте оригинальный файл.
Файлы такого типа обычно разбиты на страницы, а текст может быть форматированным (жирный, курсив, выбор шрифта, таблицы и т.п.), а также в него можно добавлять изображения. Формат идеально подходит для рефератов, докладов и РПЗ курсовых проектов, которые необходимо распечатать. Кстати перед печатью также сохраняйте файл в PDF, так как принтер может начудить со шрифтами.
















