93226 (681261)
Текст из файла
Реферат
на тему: "Полиомиелит: патологическая анатомия и
локализация морфологических изменений в нервной системе"
Патологическая анатомия
Патолого-анатомические изменения при полиомиелите характеризуются ранним появлением в центральной нервной системе и чрезвычайно быстрым темпом их развития, часто при отсутствии клинических симптомов.
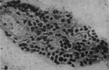
Изучение изменений в центральной нервной системе обезьян, зараженных вирусом полиомиелита, указывает, что уже в последние 1-2 дня препаралитического периода отчетливо выражены характерные для полиомиелита воспалительные изменения (рис. 1). Лишь после того как эти изменения достигают значительной выраженности, начинают появляться параличи.
Изменения, развивающиеся в нервной клетке, связаны с внедрением в нее вируса, что происходит еще в препаралитической стадии. Они выражаются нарушением углеводного и белкового обмена нервных клеток (А.Л. Шабадаш). Применение гистохимических и некоторых физических методов исследования позволило обнаружить в нервной клетке, инфицированной вирусом полиомиелита, тонкие структурные изменения, свидетельствующие о нарушении в ней обмена нуклеиновых кислот.
Применение метода Браше показало, что при полиомиелите параллельно с повышением титра вируса в организме происходит обеднение двигательных клеток спинного мозга и ствола рибонуклеиновой кислотой, содержащейся в тигроиде (А.А. Авакьян, Л.М. Попова, 1956; М.М. Буснюк, В.Д. Лотте, 1958).
Применение люминесцентной микроскопии в острой стадии полиомиелита человека и экспериментального полиомиелита обезьян (А.А. Авакьян, Л.И. Бурак и М.Д. Скобельский, 1956; Л.М. Попова и А.А. Авакьян, 1956) позволило обнаружить резкое обеднение нервной клетки рибонуклеопротеидами. Раньше те же данные были получены Хиденом (Н. Нуйеп, 1947) с помощью ультрафиолетовой адсорбционной микроскопии.
Ранним и наиболее постоянным признаком поражения нейрона является нарушение строения тигроида. Тигролиз появляется чаще в центре клетки (рис.2). Тигроид теряет при этом способность воспринимать основные краски.
По мере растворения тигроида цитоплазма принимает бледный гомогенный вид. Тигролиз ясно выражен и в клетках, ядра которых остаются неповрежденными. Наиболее ранимы и наиболее часто поражаются при полиомиелите крупные двигательные клетки спинного мозга и ствола, особенно богатые тигроидом. Неврофибриллярный аппарат сохраняется дольше, и растворение внутриклеточных фибриллей происходит только в клетках, подвергающихся тяжелой деструкции. Митохондрии также обладают большей устойчивостью к действию вируса.
При тяжелых необратимых изменениях в нервных клетках цитоплазма их становится бесструктурной, подвергается расплавлению ядро-рексису. Отчетливые изменения прослеживаются в ядрышке. Теряет свои четкие контуры, слабо окрашивается основными красками, уменьшено в размере, распадается на мелкие глыбки и, наконец, исчезает. В распадающиеся нервные клетки внедряются фагоциты, способствующие их расплавлению. Однако реакция фагоцитов отсутствует вокруг значительного количества погибающих нервных клеток. Тяжелые деструктивные изменения нейронов развиваются быстро - уже с начала паралитического периода в спинном мозге.
В двигательных клетках спинного мозга и ствола, не подвергшихся грубым деструктивным изменениям, обнаруживаются круглой формы мелкие образования - внутриядерные включения, величиной от 0,8 до 2,4 мм, расположенные в окружности ядра [Херст, Бодиан, Сейбин (А.8аЫп, 1944); Л.М. Попова и А.А. Авакьян, 1953; М.П. Фролова, 1960].
Рис.1. Воспалительные изменения в переднем роге спинного мозга в препаралитическом периоде (экспериментальный полиомиелит обезьян): выпадение нервных клеток и крупные сливающиеся невронофагические узлы (I).
Эти образования оксифильны, иной раз и базофнльны. Эозинофильные включения, окрашенные эозином, особенно четко выступают благодаря зеленому свечению при фазоконтрастной микроскопии.
При полиомиелите большую роль играют циркуляторные нарушения в пораженных отделах мозга. Сосудистая сеть паретически расширена, переполнена кровью. Стенки сосудов набухшие, разволокненные, проницаемость их повышена. Глубокая деструкция сосудистых стенок отмечается редко. Наблюдаются плазморрагия, множественные очаги кровоизлияния в серое вещество спинного мозга и в ствол, чаще диапедезного характера (рис.2). Вещество мозга отечно.
Рис.2. Очаг кровоизлияния в дне IV желудочка: сегментарный ангионекроз.
С начала паралитического периода выражены экссудативные и пролиферативные компоненты воспалительного процесса, периваскулярные и интраадвентициальные инфильтраты (реже деструктивно-продуктивные васкулиты) и диффузная и очаговая инфильтрация ткани мозга с участием гематогенных и гистиогенных элементов. Вначале выступают экссудативные явления - эмиграция полиморфноядерных лейкоцитов в ткань мозга и участие их в построении невронофагических узелков. Эта лейкоцитарная фаза, как показывают экспериментальные исследования, наиболее ярко выражена в конце препаралитического периода, когда нейтрофильные лейкоциты преобладают в воспалительном инфильтрате. С первых дней паралитического периода возникают явления пролиферации со стороны мезенхимальных элементов сосудистых стенок.
Нейтрофильные лейкоциты через 48 часов, не позже 4-5 суток после появления параличей, реже в более поздние дни, подвергаются распаду и исчезают из мозгового вещества. После этого меняется клеточный состав периваскулярного инфильтрата. В нем начинают преобладать лимфоидные элементы, они сохраняются в мозговой ткани длительное время, в течение ряда месяцев. Лимфоидные элементы, по мнению некоторых авторов, играют роль в иммунологических реакциях организма, в создании местного тканевого иммунитета и стоят в связи с повышением титра антител в пораженных участках мозга по сравнению с более низким титром их в сыворотке. После исчезновения лейкоцитов выраженная уже в острой стадии полиомиелита пролиферативная реакция микроглии становится особенно значительной, резко увеличивается в мозговой ткани, особенно в нейронофагических узелках, количество полибластов, происшедших из клеток Ортеги и из гистиоцитов сосудистой стенки. Диффузная тканевая инфильтрация начинает преобладать над очаговой.
Особенностью реакции микроглии при полиомиелите является неодинаковая степень пролиферации микроглии в различных поражаемых при полиомиелите отделах мозга. Выраженность микроглиальной реакции и тяжесть поражения нервных клеток находятся между собой нередко в обратных отношениях. В некоторых участках мозга (черное вещество, задние рога спинного мозга) микроглиальная реакция особенно интенсивна. Обращает на себя внимание несоответствие между ее выраженностью и незначительным поражением нейронов. Колебания интенсивности микроглиальной реакции в различных отделах мозга представляют, по-видимому, проявление неодинаковой выраженности защитных приспособлений и особенностей местного тканевого иммунитета (Хораньи-Хехст, 1935; И.А. Робинзон, 1955-1957).
В наиболее тяжело протекающих случаях в спинном мозге и в стволе мозга наблюдается расплавление мозговой ткани вследствие поражений не только нервных клеток, но и глиальной стромы. Столь резкое поражение мозговой ткани может зависеть или от непосредственного влияния на ткань высокопатогенного вируса, или от действия нейтрофилов, вызывающих иногда расплавление мозговой ткани с образованием микроабсцессов, или от циркуляторных нарушений функционального характера, ведущих к ишемии мозговой ткани
Рис.3. Инфильтрат, состоящий из лимфоидных элементов и гистиоцитов, в расширенном периваскулярном пространстве сосуда дна
IV желудочка.
В некоторых случаях развивается геморрагический некроз.
Воспалительные изменения мягких мозговых оболочек наблюдаются постоянно, уже с первых дней появления параличей. Как показали экспериментальные исследования, они отчетливо выражены уже в препаралитической стадии. В мягких мозговых оболочках отмечается большое кровенаполнение артериальных и венозных сосудов, инфильтрация ткани оболочек и сторюк сосудов нейтрофилами, лимфоидными элементами, гистиоцитами, непостоянно плазматическими клетками. Нейтрофилы сохраняются в инфильтрате в большинстве случаев только в точение первых дней болезни (у человека), хотя в поясничном отделе спинного мозга встречаются и дольше. Воспалительный процесс наиболее выражен в мягкой мозговой оболочке спинного мозга, преимущественно вдоль передней спинальной борозды, преобладает в поясничном отделе. Те же изменения наблюдаются в оболочках ствола, в области мозжечка, интерпедункулярной области и хиазмы. На выпуклой поверхности полушарий воспалительные изменения оболочек распространены в разных отделах, по особенно значительны в области передней центральной извилины.
Воспалительные изменения в мягкой мозговой оболочке и поражение паренхимы развиваются независимо друг от друга. Поражение мягких мозговых оболочек иногда очень незначительно или даже вовсе не выражено при глубоких паренхиматозных и воспалительных изменениях в соответствующих сегментах спинного мозга. Наблюдаются, однако, и обратные отношения, когда воспалительные изменения в мягких мозговых оболочках очень значительны в области малоизмененных сегментов спинного мозга и распространены в участках оболочек, удаленных от полиомиелитических очагов.
Восстановительный период начинается с конца первой недели, когда кончается нарастание параличей. Вирус к этому времени теряет свою активность. Восстановление утраченных функций обусловлено рядом физиологических и морфологических факторов. Среди последних большое значение имеет восстановление целости нарушенных структур, регенерация сохранившихся, хотя структурно и измененных, нервных клеток. Имеет также значение ликвидация последствий, вызванных воспалительными явлениями - отеком, сосудистыми изменениями, распадом мозговой ткани. Впервые Херст (1930), а позже Бодиан (1948) обратили внимание на то, что клетки передних рогов спинного мозга способны к регенерации. Восстановление целости нейронов происходит, начиная с 6-8-го дня болезни, на протяжении 1 - 172 месяцев. В течение этого срока происходит регенерация тигроида (сначала на периферии нервной клетки, а затем во всем клеточном теле), обусловленная ресинтезом рибонуклеиновой кислоты. Установлен известный параллелизм между восстановлением утраченной двигательной функции и регенерацией двигательных нейронов спинного мозга. Показано, что у обезьян нормальная функция может еще осуществляться при гибели одной трети всех нейронов, принимающих участие в данной конечности. Восстановление функции невозможно при разрушении ТО"о нейронов (Боднан, 1948). Длительность репаративных явлений около 2 месяцев. Отдельные морфологические изменения репаративного характера встречаются и позже - до 6 месяцев, а иногда до 1 года и дольше. На протяжении первых двух недель проявляется главным образом резорбтивная функция. В ней принимают участие мезенхимные производные, клетки Ортеги, полибласты, несущие макрофагальную функцию и превращающиеся в "зернистые шары" (рис.3). В это же время, с конца второй недели, становятся выраженными первые изменения, связанные с замещением дефекта, - начинается пролиферация астроцитарной глин. В начало второго месяца появляются астроциты, обладающие пластической функцией. С этого времени начинается глиозноволокнистая пролиферация - продукция глиофибрилл. Формирование глиозного рубца происходит в течение 2-3 месяцев.
Врезидуальной стадии на месте дефекта в сморщенной разреженной порозной ткани, полностью или частично лишенной нервных клеток, глиозные фибриллы образуют то более, то менее густую сеть тонких волокон. В петлях глиозных волокон расположены астроциты со слаборазвитой протоплазмой. Чаще формируются отдельные мелкие, четко очерченные глиозные рубцы. Мезенхимные элементы в формировании такого рубца не принимают особого участия. Разрастание соединительнотканных волокнистых структур происходит главным образом в стенках сосудов. Аргирофильные волокна образуют сетчатые структуры в расширенных пространствах Вирхова - Робена, но проникновения аргирофильных волокон за пределы сосудистой стенки и разрастания их в мозговой ткани обычно не наблюдается.
В других случаях процесс заканчивается образованием полостей, на что обратил внимание еще в 1905 г.А.И. Абрикосов. Подобный исход наблюдается в очагах полного разрушения и расплавления мозговой ткани, стромы мозга, глиальных элементов. Вокруг подобных очагов наблюдается формирование смешанного рубца (глиомезенхимного) с участием в его образовании тонкой аргирофильной волокнистости, иногда и коллагеновой. Глиоанный ретикулум в стенке кисты в этих случаях имеет рыхлое строение, в петлях его расположены макрофаги, содержащие нередко железный пигмент.
Клиническая практика и некоторые физиологические данные указывают на возможность в некоторых случаях частичного восстановления функции, утраченной в течение уже нескольких лет. Имеются основания полагать, что в остаточной стадии в пораженной ткани мозга сохраняются клетки, своеобразно измененные, находящиеся в особом функционально недеятельном, но восстановимом состоянии. Восстановление функции этих клеток, находящихся в состоянии парабиоза (Ю.М. Уфлянд, 1952), происходит под влиянием фармакологических и физиотерапевтических воздействий, направленных на перестройку метаболизм нейронов и восстановление их синаптической передачи.
Локализация морфологических изменений в нервной системе. Полиомиелит нельзя рассматривать как избирательное заболевание спинного мозга. Поражается серое вещество не только спинного, но и головного мозга, особенно его ствола. Изменения в последнем распространяются от промежуточного мозга, кончая нижним отделом продолговатого мозга. Закономерно поражается также двигательная область коры. Изменения носят характер очагового рассеянного полноэнцефаломиелита. При спинальных формах полиомиелита стволовые отделы головного мозга оказываются вовлеченными в патологический процесс, хотя и в меньшей степени, а при бульбарных формах изменения распространяются и на спинной мозг.
Морфологические изменения при полиомиелите, будучи широко распространенными в центральной нервной системе, не всегда имеют соответствующее клиническое выражение. Это несоответствие объясняется большими компенсаторными возможностями нервной системы. В одних случаях наступает компенсация за счет непораженных систем, в других - за счет сохранившихся нейронов пораженных областей.
Приведенные факты имеют большое значение для понимания сущности непаралитического полиомиелита. Широко развернувшееся изучение аттенуированных (вакцинальных) штаммов (Сейбин, 1955, 1957 и др.) дало возможность ближе познакомиться с морфологией апаралитического полиомиелита. На большом материале показано, что экспериментальная инфекция, вызванная заражением обезьян аттенуированными штаммами, сохранившими лишь пониженную невротропную активность, характеризуется наличием в большом числе случаев отчетливых морфологических изменений в спинном мозге и в стволе без нарушения двигательной функции. Можно считать, что и в основе непаралитического полиомиелита человека лежат структурные изменения - поражения головного и спинного мозга, которые клинически остаются невыясненными.
Характеристики
Тип файла документ
Документы такого типа открываются такими программами, как Microsoft Office Word на компьютерах Windows, Apple Pages на компьютерах Mac, Open Office - бесплатная альтернатива на различных платформах, в том числе Linux. Наиболее простым и современным решением будут Google документы, так как открываются онлайн без скачивания прямо в браузере на любой платформе. Существуют российские качественные аналоги, например от Яндекса.
Будьте внимательны на мобильных устройствах, так как там используются упрощённый функционал даже в официальном приложении от Microsoft, поэтому для просмотра скачивайте PDF-версию. А если нужно редактировать файл, то используйте оригинальный файл.
Файлы такого типа обычно разбиты на страницы, а текст может быть форматированным (жирный, курсив, выбор шрифта, таблицы и т.п.), а также в него можно добавлять изображения. Формат идеально подходит для рефератов, докладов и РПЗ курсовых проектов, которые необходимо распечатать. Кстати перед печатью также сохраняйте файл в PDF, так как принтер может начудить со шрифтами.
















