11232 (646945)
Текст из файла
СОДЕРЖАНИЕ
Введение 3
Глава 1. Аппарат Гольджи: структура и функции 5
1.1. Гольджи аппарат: структура 5
1.2. Гольджи аппарат: функции 8
Глава 2. Анализ деятельности аппарата Гольджи в клетке 10
2.1. Анализ деятельности аппарата Гольджи в клетке 10
2.2. Фибриллярные структуры 12
2.3. Аппарат Гольджи: сортировка белков и передача сигнала 14
2.3. Аппарат Гольджи: молекулярный механизм функционирования 15
Заключение 18
Список литературы 21
Введение
Структуру, известную как комплекс Гольджи, впервые обнаружил в клетках животных в 1898 г. Камилло Гольджи, итальянский врач и цитолог. Детальное исследование данной структуры сделано позже с помощью электронного микроскопа.
Аппарат Гольджи содержится в цитоплазме почти всех эукариотических клеток, особенно в секреторных клетках животных. У дрожжей комплекс Гольджи выражен несколько хуже, обычно в виде особого отдела эндоплазматического ретикулума. Комплекс Гольджи представляет собой стопку уплощенных мембранных мешочков, так называемых цистерн, и связанную с ними систему пузырьков, называемых пузырьками Гольджи. На одном конце стопки мешочков постоянно образуются новые цистерны путем слияния пузырьков, отпочковывающихся, от гладкого эндоплазматического ретикулума. На другом конце стопки, на внутренней стороне завершается созревание цистерн и они вновь распадаются на пузырьки. Таким образом, цистерны в стопке постепенно перемещаются от наружной стороны к внутренней.
Функцией аппарата Гольджи является транспорт и химическая модификация поступающих в него веществ. Исходным субстратом для ферментов являются белки, поступающие в аппарат Гольджи из эндоплазматического ретикулума. После модификации и концентрирования, ферменты в пузырьках Гольджи переносятся к «месту назначения», например к месту образования новой почки. Наиболее активно этот перенос осуществляется с участием цитоплазматических микротрубочек.
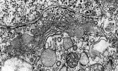
Аппарат Гольджи является компонентом всех эукариотических клеток (практически единственное исключение - эритроциты млекопитающих). Он представляет собой важнейшую мембранную органеллу, управляющую процессами внутриклеточного транспорта . Основными функциями аппарата Гольджи являются модификация, накопление, сортировка и направление различных веществ в соответствующие внутриклеточные компартменты, а также за пределы клетки. Он состоит из набора окруженных мембраной уплощенных цистерн , напоминающих стопку тарелок. Каждая стопка Гольджи (у растений называемая диктиосомой ) обычно содержит от четырех до шести цистерн, имеющих, как правило, диаметр около 1мкм ( рис. 8-36 ). Число стопок Гольджи в клетке в значительной степени зависит от ее типа: некоторые клетки содержат одну большую стопку, тогда как в других имеются сотни очень маленьких стопок.
Со стопками Гольджи всегда ассоциирована масса мелких (диаметром приблизительно 60 нм) ограниченных мембраной пузырьков. Полагают, что эти пузырьки (пузырьки Гольджи ) переносят белки и липиды в аппарат Гольджи, транспортируют их из него и между остальными цистернами. Многие пузырьки являются окаймленными и покрыты клатрином или другим специфическим белком. Часто можно видеть, как такие окаймленные пузырьки отшнуровываются от цистерн Гольджи.
Аппарат Гольджи имеет две разные стороны: формирующуюся, или цис-сторону и зрелую, или транс-сторону Цис-сторона тесно связана с переходными элементами ЭР; транс-сторона расширяется, образуя трубчатый ретикулум, называемый транс-сетью Гольджи . Белки и липиды в составе небольших пузырьков попадают в стопку Гольджи с цис-стороны, а покидают ее, направляясь в различные компартменты, вместе с пузырьками, образующимися на транс-стороне. Переходя из одной стопки Гольджи в другую, эти молекулы претерпевают последовательные серии модификаций.
Глава 1. Аппарат Гольджи: структура и функции
1.1. Гольджи аппарат: структура
Описание структуры аппарата Гольджи тесно связано с описанием егоосновных биохимических функций, поскольку подразделение этогоклеточного компартмента на отделы производится преимущественно на основе локализации ферментов, расположенных в том или ином отделе.
Чаще всего в аппарате Гольджи выделяют четыре основных отдела: цис- Гольджи , медиал-Гольджи , транс-Гольджи и транс-Гольджи сеть ( TGN )
Кроме того к аппарату Гольджи иногда относят так называемыйпромежуточный компартмент, представляющий собой скопление мембранных пузырьков между эндоплазматическим ретикулумом и цис-Гольджи. Аппарат Гольджи является очень полиморфной органеллой; в клетках разных типов и даже на разных стадиях развития одной и той же клетки он может выглядеть по-разному. Основные его характеристики таковы:
1) наличие стопки из нескольких (обычно 3-8) уплощенных цистерн, более или менее плотно прилегающих друг к другу. Такая стопка всегда бывает окружена некоторым (иногда очень значительным) количеством мембранных пузырьков. В животных клетках чаще можно встретить одну стопку, в то время как в растительных клетках их обычно бывает несколько; каждую из них в таком случае называют диктиосомой. Отдельные диктиосомы могут быть связаны между собой системой вакуолей, образуя трехмерную сеть;
2) композиционная гетерогенность, выражающаяся в том, что постоянные (resident) ферменты неоднородно распределены по органелле;
3) полярность, то есть наличие цис-стороны, обращенной к эндоплазматическому ретикулуму и ядру, и транс-стороны,обращенной к поверхности клетки (это особенно характерно для секретирующих клеток);
4) ассоциация с микротрубочками и областью центриоли. Разрушение микротрубочек деполимеризующими агентами приводит к фрагментации аппарата Гольджи, однако его функции при этом существенно не затрагиваются. Аналогичная фрагментация наблюдается и в естественных условиях, во время митоза . После восстановления системы микротрубочек разбросанные по клетке элементы аппарата Гольджи собираются (по микротру-бочкам) в область центриоли,и реконструируется нормальный комплекс Гольджи.
Аппарат Гольджи (комплекс Гольджи) — мембранная структура эукариотической клетки, в основном предназначенная для выведения веществ, синтезированных в эндоплазматическом ретикулуме. Комплекс Гольджи был назван так в честь итальянского ученого Камилло Гольджи, впервые обнаружившего его в 1898 году.
Комплекс Гольджи представляет собой стопку дискообразных мембранных мешочков (цистерн), несколько расширенных ближе к краям и связанную с ними систему пузырьков Гольджи. В растительных клетках обнаруживается ряд отдельных стопок (диктиосомы), в животных клетках часто содержится одна большая или несколько соединенных трубками стопок.
В цистернах Аппарата Гольджи созревают белки предназначенные для секреции, трансмембранные белки плазматической мембраны, белки лизосом и т.д. Созревающие белки последовательно перемещаются по цистернам органеллы, в которых происходит их окончательное сворачивание, а также модификации — гликозилирование и фосфорилирование.
Аппарат Гольджи ассиметричен — цистерны располагающиеся ближе к ядру клетки (цис-Гольджи) содержат наименее зрелые белки, к этим цистернам непрерывно присоединяются мембранные пузырьки — везикулы, отпочковывающиеся от гранулярного эндоплазматического ретикулума (ЭР), на мембранах которого и происходит синтез белков рибосомами.
Разные цистерны Аппарата Гольджи содержат разные резидентные каталитические ферменты и, следовательно, с созревающими белками в них последовательно происходят разные процессы. Понятно, что такой ступенчатый процесс должен как-то контролироваться. Действительно, созревающие белки «маркируются» специальными полисахаридными остатками (преимущественно маннозными), по-видимому, играющими роль своебразного «знака качества».
Не до конца понятно, каким образом созревающие белки перемещаются по цистернам Аппарата Гольджи, в то время как резидентные белки остаются в большей или меньшей степени ассоциированы с одной цистерной. Существуют две взаимонеисключающие гипотезы, объясняющие этот механизм. Согласно первой (1), транспорт белков осуществляется при помощи таких же механизмов везикулярного транспорта, как и путь транспорта из ЭР, причем резидентные белки не включаются в отпочковывающуюся везикулу. Согласно второй (2), происходит непрерывное передвижение (созревание) самих цистерн, их сборка из пузырьков с одного конца и разборка с другого конца органеллы, а резидентные белки перемещаются ретроградно (в обратном направлении) при помощи везикулярного транспорта.
В конце концов от противоположного конца органеллы (транс-Гольджи) отпочковываются пузырьки, содержащие полностью зрелые белки.
В комплексе Гольджи происходит
-
О-гликозилирование, к белкам присоединяются сложные сахара через атом кислорода.
-
Фосфорилирование (присоединение к белкам остатка ортофосфорной кислоты).
-
Образование лизосом.
-
Образование клеточной стенки (у растений).
-
Участие в везикулярном транспорте (формирование трехбелкового потока):
-
созревание и транспорт белков плазматической мембраны;
-
созревание и транспорт секретов;
-
созревание и транспорт ферментов лизосом.
Аппарат Гольджи. Аппарат Гольджи (комплекс Гольджи) – это специализированная часть эндоплазматического ретикулума, состоящая из собранных в стопки плоских мембранных мешочков. Он участвует в секреции клеткой белков (в нем происходит упаковка секретируемых белков в гранулы) и поэтому особенно развит в клетках, выполняющих секреторную функцию. К важным функциям аппарата Гольджи относится также присоединение углеводных групп к белкам и использование этих белков для построения клеточной мембраны и мембраны лизосом. У некоторых водорослей в аппарате Гольджи осуществляется синтез волокон целлюлозы.
1.2. Гольджи аппарат: функции
Функцией аппарата Гольджи является транспорт и химическая модификация поступающих в него веществ. Исходным субстратом для ферментов являются белки, поступающие в аппарат Гольджи из эндоплазматического ретикулума. После модификации и концентрирования, ферменты в пузырьках Гольджи переносятся к «месту назначения», например к месту образования новой почки. Наиболее активно этот перенос осуществляется с участием цитоплазматических микротрубочек.
Функции аппарата Гольджи очень многообразны. К ним можно отнести:
1) сортировку, накопление и выведение секреторных продуктов;
2) завершение посттрансляционной модификации белков ( гликозилирование , сульфатирование и т.д.);
3) накопление молекул липидов и образование липопротеидов ;
4) образование лизосом ;
5) синтез полисахаридов для образования гликопротеидов, восков, камеди, слизей, веществ матрикса клеточных стенок растений
(гемицеллюлоза, пектины) и т.п.
6) формирование клеточной пластинки после деления ядра в растительных клетках;
7) участие в формировании акросомы ;
8) формирование сократимых вакуолей простейших.
Этот список, без сомнения, неполон, и дальнейшие исследования не только позволят лучше понять уже известные функции аппарата Гольджи, но и приведут к открытию новых. Пока самыми изученными с биохимической точки зрения остаются функции, связаные с транспортом и модификацией новосинтезированных белков.
Глава 2. Анализ деятельности аппарата Гольджи в клетке
2.1. Анализ деятельности аппарата Гольджи в клетке
Лизосомы – это маленькие, окруженные одинарной мембраной пузырьки. Они отпочковываются от аппарата Гольджи и, возможно, от эндоплазматического ретикулума. Лизосомы содержат разнообразные ферменты, которые расщепляют крупные молекулы, в частности белковые. Из-за своего разрушительного действия эти ферменты как бы «заперты» в лизосомах и высвобождаются только по мере надобности. Так, при внутриклеточном пищеварении ферменты выделяются из лизосом в пищеварительные вакуоли. Лизосомы бывают необходимы и для разрушения клеток; например, во время превращения головастика во взрослую лягушку высвобождение лизосомных ферментов обеспечивает разрушение клеток хвоста. В данном случае это нормально и полезно для организма, но иногда такое разрушение клеток носит патологический характер. Например, при вдыхании асбестовой пыли она может проникнуть в клетки легких, и тогда происходит разрыв лизосом, разрушение клеток и развивается легочное заболевание.
Митохондрии и хлоропласты. Митохондрии – относительно крупные мешковидные образования с довольно сложной структурой. Они состоят из матрикса, окруженного внутренней мембраной, межмембранного пространства и наружной мембраны. Внутренняя мембрана сложена в складки, называемые кристами. На кристах размещаются скопления белков. Многие из них – ферменты, катализирующие окисление продуктов распада углеводов; другие катализируют реакции синтеза и окисления жиров. Вспомогательные ферменты, участвующие в этих процессах, растворены в матриксе митохондрий.
В митохондриях протекает окисление органических веществ, сопряженное с синтезом аденозинтрифосфата (АТФ). Распад АТФ с образованием аденозиндифосфата (АДФ) сопровождается выделением энергии, которая расходуется на различные процессы жизнедеятельности, например на синтез белков и нуклеиновых кислот, транспорт веществ внутрь клетки и из нее, передачу нервных импульсов или мышечное сокращение. Митохондрии, таким образом, являются энергетическими станциями, перерабатывающими «топливо» – жиры и углеводы – в такую форму энергии, которая может быть использована клеткой, а следовательно, и организмом в целом.
Растительные клетки тоже содержат митохондрии, но основной источник энергии для yих клеток – свет. Световая энергия используется этими клетками для образования АТФ и синтеза углеводов из диоксида углерода и воды. Хлорофилл – пигмент, аккумулирующий световую энергию, – находится в хлоропластах. Хлоропласты, подобно митохондриям, имеют внутреннюю и наружную мембраны. Из выростов внутренней мембраны в процессе развития хлоропластов возникают т.н. тилакоидные мембраны; последние образуют уплощенные мешочки, собранные в стопки наподобие столбика монет; эти стопки, называемые гранами, содержат хлорофилл. Кроме хлорофилла, в хлоропластах имеются и все другие компоненты, необходимые для фотосинтеза.
Некоторые специализированные хлоропласты не осуществляют фотосинтез, а несут другие функции, например обеспечивают запасание крахмала или пигментов.
Относительная автономия. В некоторых отношениях митохондрии и хлоропласты ведут себя как автономные организмы. Например, так же, как и сами клетки, которые возникают только из клеток, митохондрии и хлоропласты образуются только из предсуществующих митохондрий и хлоропластов. Это было продемонстрировано в опытах на растительных клетках, у которых образование хлоропластов подавляли антибиотиком стрептомицином, и на клетках дрожжей, где образование митохондрий подавляли другими препаратами. После таких воздействий клетки уже никогда не восстанавливали отсутствующие органеллы. Причина в том, что митохондрии и хлоропласты содержат определенное количество собственного генетического материала (ДНК), который кодирует часть их структуры. Если эта ДНК утрачивается, что и происходит при подавлении образования органелл, то структура не может быть воссоздана. Оба типа органелл имеют свою собственную белок-синтезирующую систему (рибосомы и транспортные РНК), которая несколько отличается от основной белок-синтезирующей системы клетки; известно, например, что белок-синтезирующая система органелл может быть подавлена с помощью антибиотиков, тогда как на основную систему они не действуют.
ДНК органелл ответственна за основную часть внехромосомной, или цитоплазматической, наследственности. Внехромосомная наследственность не подчиняется менделевским законам, так как при делении клетки ДНК органелл передается дочерним клеткам иным путем, нежели хромосомы. Изучение мутаций, которые происходят в ДНК органелл и ДНК хромосом, показало, что ДНК органелл отвечает лишь за малую часть структуры органелл; большинство их белков закодированы в генах, расположенных в хромосомах.
Характеристики
Тип файла документ
Документы такого типа открываются такими программами, как Microsoft Office Word на компьютерах Windows, Apple Pages на компьютерах Mac, Open Office - бесплатная альтернатива на различных платформах, в том числе Linux. Наиболее простым и современным решением будут Google документы, так как открываются онлайн без скачивания прямо в браузере на любой платформе. Существуют российские качественные аналоги, например от Яндекса.
Будьте внимательны на мобильных устройствах, так как там используются упрощённый функционал даже в официальном приложении от Microsoft, поэтому для просмотра скачивайте PDF-версию. А если нужно редактировать файл, то используйте оригинальный файл.
Файлы такого типа обычно разбиты на страницы, а текст может быть форматированным (жирный, курсив, выбор шрифта, таблицы и т.п.), а также в него можно добавлять изображения. Формат идеально подходит для рефератов, докладов и РПЗ курсовых проектов, которые необходимо распечатать. Кстати перед печатью также сохраняйте файл в PDF, так как принтер может начудить со шрифтами.
















