166660 (625074), страница 3
Текст из файла (страница 3)
Величину сорбции [29] рассчитывали по формуле:
,
где C0 – исходная концентрация полимера в растворе, моль/л; Ct - равновесная концентрация полимера, оставшегося в растворе в момент времени t, моль/л; V – общий объем раствора, л; m – масса сорбента, г.
Для обработки кинетики сорбции геллана использовали три модели, описывающие процессы адсорбции на границе раздела фаз “твердое тело - жидкость”.
Изотерму адсорбции на неоднородной поверхности определяли по Фрейндлиху [30]:
где СF – концентрация сорбированного полимера;
Ct - равновесная концентрация полимера, оставшегося в растворе в момент времени t;
KF и 1/n – константы, определяемые отрезком на оси ординат, отсекаемым касательной, проведенной к начальному участку кривой, и углом наклона, соответственно.
Изотерма Темкина [30] описывает линейную зависимость:
,
где А и B – константы Темкина.
Изотерма Лэнгмюра [30] для мономолекулярного слоя описывается следующей формулой:
где b – максимальное количество адсорбированного полимера;
KL – константа, определяемая из угла наклона начального участка изотермы.
2.2 Результаты и их обсуждения
Для определения количества адсорбированного полимера на кернах использована реакция комплексообразования между комплементарными макромолекулами.
При этом состав образующихся полимер-полимерных комплексов определен кондуктометрическим титрованием одного полимера другим.
Полимер-полимерные комплексы содержат цепи, состоящие из комплементарных макромолекул, и являются устойчивыми макромолекулярными соединениями, свойства которых отличаются от свойств исходных полимеров.
Рисунок 6 – Кондуктометрическое титрование 20 мл геллана (С = 1,5·10-3 М) растворами полимеров
Из рисунка 6 видно, что точка перегиба кривой приходится на объем ПАК V=2,5 мл, то есть для того, чтобы оттитровать 1 мл геллана требуется 2,5 мл 2,5·10-2 моль/л ПАК. Это, в свою очередь, свидетельствует об образовании комплекса состава [ПАК]:[геллан]=1:1. В дальнейшем, исходя из состава поликомплекса по формуле:
, где V1 и N1 объем (мл) и концентрация (моль/л) полимера-1, V2 и N2 объем (мл) и концентрация (моль/л) полимера-2 ушедшего на титрование определяли концентрацию полимера-2. Разница между исходной концентрацией полимера и найденной кондуктометрическим титрованием концентрацией дает концентрацию адсорбированного полимера. Керн представляет собой цилиндрическую колонку плотной горной породы. На рисунке 7 представлены фотографии цельных (а) и измельченных керновых материалов (б, в).
а б в
Рисунок 7 – Внешний вид керновых материалов
Данные по качественному и количественному составу кернов показывают, что керн из месторождения Харасан содержит оксида кремния SiO2 80-90%. Помимо оксида кремния в составе керна встречаются и другие соединения, но в меньших количествах: Ca(OH)2, Al2O3, Al2SiO5, FeO, MgO, Mg2Si2O6, Na[AlSi3O8], KFeO и другие.
С помощью сканирующего электронного микроскопа проведен элементный анализ всех исходных кернов (Рисунок 8).
Рисунок 8 – Элементный анализ исходного керна с месторождения Бакланий Северный
Как видно из рисунка 8, состав керна состоит в основном из кремния и кислорода в виде оксида кремния (IV). В состав керна также входят соединения оксидов алюминия, магния и кальция.
Для керна с месторождения Харасан проведены аналогичные исследования. Обнаружено, что основным соединением, составляющим керн, является диоксид кремния. Также в состав керна входят соединения алюминия, натрия, углерода и в небольших количествах обнаружены железо, калий.
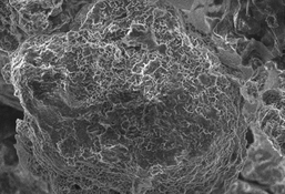
На рисунке 9 приведены микрофотографии керна месторождения Харасан до и после процесса адсорбции геллана. Видно, что после адсорбции поверхность керна покрыта колониями геллана.
Рисунок 9 – Микрофотографии структуры поверхности предварительно необработанного керна с месторождения Харасан «до» (А) и «после» (Б) адсорбции геллана (увеличение в 700 раз)
Рисунок 10 – Микрофотографии структуры поверхности керна с месторождения Бакланий Северный «до» (А) и «после» (Б) активации поверхности горячей 1 н HCl
Изменения в структуре и составе керна после промывки его горячей соляной кислотой подтверждаются и данными рентгенофазового анализа. Из рисунка 11 видно появление новых, и уменьшение интенсивности других фаз. Это, по-видимому, обусловлено удалением из поверхности частиц керна пленок и различных микропримесей, а также химической модификацией поверхности.
Рисунок 11 – Рентгеновская дифрактограмма керна из месторождения Харасан «до» (779) и «после» (793) активации поверхности горячей HCl
Известно, что адсорбция полимеров на поверхности обуславливается как электростатическими, так и специфическими химическими силами [31]. На рисунке 12 представлены графики зависимости концентрации адсорбированного на кернах полимеров от времени контакта.
Скорость адсорбции полимеров зависит от молекулярной массы полимера и типа адсорбента. Для непористых адсорбентов характерно быстрое установление равновесия. Поскольку используемые в работе керны не содержат пор, а только лишь шероховатости на поверхности, то и в нашем случае адсорбция протекает очень быстро – в течение нескольких минут.
На рисунке 12 видно, что на предварительно активированном HCl керне сорбируется большее количество геллана, поскольку создание дополнительных активных центров способствует лучшей адсорбции полимера.
Рисунок 12 – Кинетика адсорбции геллана на поверхности кернов. СGel=1,5·10-3 моль/л, Т=298К
Также наблюдается некоторое падение значения концентрации адсорбированного полимера после насыщения.
Из литературных данных известно [30], что с кинетической точки зрения адсорбция является обратимым процессом, то есть одновременно с адсорбцией происходит и десорбция.
В начале процесса скорость адсорбции больше, чем скорость десорбции.
По мере насыщения поверхности адсорбента устанавливается состояние адсорбционного равновесия, которое характеризуется равенством скоростей адсорбции и десорбции.
При адсорбции геллана на 125 фракциях десорбция не наблюдается. Из этого следует, что геллан прочнее держится на более крупных частичках керна, что связано, с его высокой молекулярной массой и строением звена. Тогда как с более мелких частичек смыть полимер гораздо легче.
На рисунке 13 приведены адсорбционные емкости обработанного керна месорождения Харасан.
Адсорбционная емкость керна показывает, какое количество полимера адсорбируется на 1 г керна. Из графика видно, что 125 фракция Харасана проявляет большую способность адсорбировать геллан.
Рисунок 13 – Сорбционные емкости керна с месторождения Харасан
Адсорбция геллана на поверхности керна из месторождения Харасан протекает эффективнее, чем на поверхности керна месторождения Бакланий Северный. Это, по-видимому, связано с большим содержанием оксида кремния (80-90%) на поверхности керна из месторождения Харасан, чем керн из месторождения Бакланий Северный (30-40%).
Поскольку единой теории, достаточно корректно описывающей все виды адсорбции на разных поверхностях раздела фаз, пока не существует, то для обработки кинетических кривых адсорбции нами использованы некоторые наиболее распространенные теории, описывающие отдельные типы адсорбции на поверхности раздела «твердое тело – раствор».
Модели Фрейндлиха и Темкина учитывают, что поверхность керна неоднородна, между адсорбированными частицами имеет место взаимодействие, а активные центры не являются полностью независимыми друг от друга [32]. Тогда как в теории мономолекулярной адсорбции Лэнгмюра имеется ряд допущений, которые в значительной степени идеализируют и упрощают процессы, протекающие при адсорбции.
На рисунках 14-16 приведены графики, полученные с использованием вышеприведенных уравнений. Все точки изотерм Фрейндлиха лежат в одной области, поэтому на графике приведены только изотермы для модифицированных поверхностей. Из изотерм Фрейндлиха хорошо видно, что количество адсорбированного геллана больше для модифицированной поверхностей Харасана для 45 фракции и для Баклания Северного для 125 фракции. Все точки в этих моделях хорошо ложатся на прямую линию. Следует отметить, что все три модели изотерм адсорбции также подтверждают утверждение о лучшей адсорбционной способности керна месторождения Харасан.
Рисунок 14 – Изотермы адсорбции геллана, полученные по уравнению Фрейндлиха, для модифицированных поверхностей кернов.
Рисунок 15 – Изотермы адсорбции геллана, полученные по уравнению Лэнгмюра.
Наклон изотерм Лэнгмюра говорит сам за себя: полученные прямые доказывают, что данная модель не применима для описания процессов адсорбции геллана на керновых материалах.
Рисунок 16 – Изотермы адсорбции геллана, полученные по уравнению Темкина, для модифицированных поверхностей кернов.
Таким образом, была изучена адсорбция геллана на непористых сорбентах неорганического происхождения. Полученные константы уравнениий Лэнгмюра, Фрейндлиха и Темкина приведены ниже в таблице.
Таблица 1 – Константы изотерм Фрейндлиха, Лэнгмюра и Темкина для геллана.
| Наименование керна | Наименование модели и константы | ||||||
| Фрейндлих | Темкин | Лэнгмюр | |||||
| KF, мг/л | 1/n | KL, мг/л | b, мг/л | В, мг/л | А, л/мг | ||
| НХ 45 мкм | 312,71 | 88,5374 | 88,5374 | 536,22 | 312,71 | 0,01129 | |
| ОХ 45 мкм | 583,81 | 89,3448 | 89,3448 | 927 | 583,81 | 0,01119 | |
| НБС 45 мкм | 434,3 | 89,0079 | 89,0079 | 549 | 434,3 | 0,01123 | |
| ОБС 45 мкм | 455,23 | 88,6386 | 88,6386 | 894 | 455,23 | 0,01128 | |
| НХ 125 мкм | 269,65 | 88,2936 | 88,2936 | 602 | 269,65 | 0,01133 | |
| ОХ 125 мкм | 726,44 | 88,2623 | 88,2623 | 926,8 | 726,44 | 0,01133 | |
| НБС 125 мкм | 204,07 | 86,2645 | 86,2645 | 755 | 204,07 | 0,01159 | |
| ОБС 125 мкм | 551,24 | 89,4410 | 89,4410 | 867 | 551,24 | 0,01118 | |
Полученные результаты представляют интерес для дальнейшей работы по изучению полимер-протектированных катализаторов на основе геллана.
ЗАКЛЮЧЕНИЕ
-
Методом сканирующей электронной микроскопии и рентгенодифрактометрии установлен качественный и количественный состав кернов.
-
Опробирована новая методика определения количества адсорбированных полимеров на поверхности кернов, суть которой заключается в проведении интерполимерных реакций между комплементарными макромолекулами. Методом кондуктометрического титрования определены составы интерполимерных комплексов.
-
Показано влияние предварительной активации поверхности на кинетику адсорбции полимера. Обнаружено, что предварительное промывание керновых материалов месторождений Бакланий Северный и Харасан горячей соляной кислотой увеличивает адсорбцию полимеров.
-
Получены кинетические кривые адсорбции полимеров на поверхности керновых материалов. Установлено, что наибольшей сорбционной емкостью обладает керн месторождения Харасан с размером частиц 125 мкм.
-
Определены изотермы адсорбции и константы уравнений Фрейндлиха, Темкина и Лэнгмюра. Установлено, что изотермы адсорбции полимеров на поверхности кернов хорошо описывается уравнением Фрейндлиха и Темкина.
СПИСОК ИСПОЛЬЗОВАННОЙ ЛИТЕРАТУРЫ















