10375 (565841)
Текст из файла
Лабораторная работа №1
Правила работы в микробиологической лаборатории.
Методы изучения морфологии микроорганизмов и строения клеток
Задание
1. Изучить правила работы в микробиологической лаборатории и методы изучения морфологии микроорганизмов.
2. Ознакомиться с устройством микроскопа. Установить свет по Келеру. Выбрать объектив, промикроскопировать и зарисовать полученные изображения фиксированных препаратов:
а) Эвглена Зелёная;
б) Плесень Мукор;
в) Бактериальная клетка.
1. Правила работы в микробиологической лаборатории и методы изучения морфологии микроорганизмов
1.1 Правила работы в микробиологической лаборатории
Работа в микробиологической лаборатории требует строгого соблюдения специальных правил, что определяется двумя основными положениями.
Первое - в микробиологической практике используют, главным образом, чистые культуры микроорганизмов, т. е. популяции микроорганизмов одного вида, часто являющихся потомством одной клетки.
Поскольку в воздухе, на поверхности окружающих нас предметов, на одежде, руках, волосах всегда имеется большое количество разнообразной микрофлоры, то для обеспечения стерильности исследований и избежания загрязнения культур работа должна проводиться с соблюдением правил асептики.
Второе - при исследованиях с не идентифицированными микроорганизмами, при их выделении из объектов окружающей среды и техногенных потоков, могут быть выделены патогенные и условно патогенные микроорганизмы.
Кроме того, клетки как сапрофитных, так и патогенных микроорганизмов могут являться аллергенами для определенных индивидуумов. Таким образом, для получения достоверных результатов исследований, для обеспечения личной безопасности и безопасности окружающих необходимо соблюдение определенных правил.
Подготовка помещения для проведения микробиологических работ включает мокрую уборку и тщательную вентиляцию с последующим облучением ультрафиолетовыми лучами бактерицидных ламп. Поверхность стола, где непосредственно проводится работа с культурами микроорганизмов, следует дезинфицировать путем протирания 3% раствором хлорамина или 70% раствором изопропилового или этилового спиртов.
Подготовку лаборатории к занятиям проводит лаборант; студенты, выполняя задания, должны соблюдать следующие правила.
1. Каждый студент в микробиологической лаборатории работает на постоянном месте, выполняя задания индивидуально.
2. На рабочем месте не должно быть посторонних предметов (в том числе портфелей и сумок).
3. Студент должен работать только в чистых халатах, волосы должны быть подобраны, не падать на плечи.
4. При работе с культурами микроорганизмов необходимо соблюдать все правила микробиологической техники. На пробирках, колбах, чашках Петри, матрацах должна быть сделана надпись, содержащая родовые и видовые названия культуры, дату засева, фамилию студента и номер группы.
5. Все предметы, использованные при работе с живыми культурами, должны быть обеззаражены либо обжиганием в пламени горелки (петли, иглы), либо погружены в дезинфицирующий раствор (предметные и покровные стекла, пипетки, шпатели).
6. Все засеянные пробирки, чашки помешаются в термостат или сдаются лаборанту. Отработанный материал (пробирки, чашки Петри) также помещается в определенные емкости по указанию лаборанта для их дальнейшего обеззараживания.
7. В лаборатории запрещается курение, прием пищи, лишнее хождение по лаборатории.
8. В конце занятия студент должен привести в порядок рабочее место, вымыть руки. Необходимо иметь индивидуальное полотенце, салфетки для вытирания рук.
1.2 Методы изучения морфологии микроорганизмов
При изучении морфологии микробных клеток используют различные виды микроскопии, поскольку глаз человека устроен так, что не может отчетливо разглядеть мелкие предметы.
Невооруженным глазом рассматриваются предметы чаще всего с расстояния так называемого лучшего видения ~ 250 мм. При нормальной остроте зрения глаз может на этом расстоянии различать детали размером не менее 0,15 мм. Размеры микробных клеток могут быть менее 0,1 мм. Для наблюдения более мелких деталей необходимо использование специальных средств. Такими средствами являются лупа и микроскоп.
2. Устройство микроскопа
2.1 Микроскопия в светлом поле. Устройство микроскопа
Микроскопия в светлом поле осуществляется в проходящем свете. При выполнении заданий настоящего практикума каждый студент работает с микроскопом (рис. 1).
Рис. 1. Микроскоп
В микроскопе различают механическую, оптическую и осветительную части.
Механическая часть включает штатив, предметный столик, тубус и систему винтов для передвижения элементов микроскопа. Штатив состоит из основания и неподвижно привинченного тубусодержателя. В верхней части штатива расположены тубус 2, куда вставляется окуляр 3, и револьверное устройство 4, состоящее из двух пластин. Нижняя пластина вращается и имеет гнезда для объективов 5, верхняя закреплена неподвижно.
Предметный столик 6 передвигается в вертикальном направлении с помощью макро- микровинта 7. Следует отметить, что пользоваться этим винтом надо очень осторожно, поскольку в микроскопе макро- и микрофокусировки совмещены. Диапазон перемещения грубой наводки составляет 20мм, что соответствует 4,5 оборота макро- микровинта. Механизм точной наводки можно привести в действие в любом положении грубой наводки с помощью изменения направления вращения того же винта.
На предметном столике имеется объектоводитель для предметного стекла 8. С помощью висящих коаксиальных кнопок, расположенных слева под предметным столиком, осуществляется перемещение объектоводителя в продольном и поперечном направлениях. Рядом с макро-микровинтом расположен винт конденсора 9, обеспечивающий его расположение на нужной высоте.
В микроскопе имеются объективы, дающие увеличение в 3,2, 10 и 40 раз, предназначенные для работы с сухими системами, и объектив с черной полосой для иммерсионной системы, дающей увеличение в 100 раз.
При работе с иммерсионным объективом, после установки света, при малом увеличении выбирают участок на препарате, на выбранное место наносят каплю кедрового масла и осторожно погружают в нее фронтальную линзу объектива 100х. По окончании работы остатки масла с этой линзы удаляют, тщательно протирая ее мягкой тканью.
Осветительный аппарат находится под предметным столиком и включает (см. рис. 1):
- источник света в виде миньона. Данная лампочка вмонтирована внутри подставки, ее яркость можно регулировать при помощи реостата 10, расположенного на задней панели, там же расположен тумблер включения микроскопа в сеть;
- конденсор Аббе; апертуру конденсора можно регулировать, открывая и закрывая диафрагму конденсора при помощи рычажка 12. Конденсор Аббе состоит из двух линз, заключенных в металлическую оправу и предназначенных для собирания лучей света, идущих от зеркала;
- отражающее зеркало, которое можно увидеть в окошко 13. Количество лучей, попадающее на зеркало, можно регулировать при помощи диафрагмы светового поля. Рычажок диафрагмы обозначен позицией 14.
2.2 Установка света по Келеру
Наилучшие результаты при работе с микроскопом могут быть получены лишь при условии правильного освещения объекта. Лучший способ освещения основан на системе Келера. Последняя включает следующие основные приемы: а) получение резкого изображения источника света (спирали лампы на диафрагме конденсора; б) получение резкого изображения ирисовой диафрагмы осветителя в плоскости препарата.
Порядок установки света по Келеру:
1. Включить в сеть.
2. Включить тумблер лампы.
3. Поднять конденсор вверх до упора винтом конденсора 9.
4. Отвести лампу широких полей и нейтральный светофильтр.
5. Увеличить яркость лампы реостатом 10.
6. Закрыть апертурную диафрагму конденсора 12.
7. Открыть диафрагму светового поля до упора (установочный рычаг 14).
8. Проверить симметричность изображения светового пятна на нижней стороне апертурной диафрагмы конденсора (при правильной ориентации лампового патрона изображение светящегося пятна на нижней стороне апертурной диафрагмы в виде спирали и зеркальное изображение расположены параллельно друг другу, если такое условие не выполняется, нужно поднять микроскоп и поворотом кольца поправить ориентацию).
9. Поставить объектив 10х.
10. Уменьшить яркость лампы реостатом 10.
11. Установить препарат.
12. Открыть апертурную диафрагму конденсора на 2/3 (рычажок 12).
13. Сфокусировать микрообъект с помощью механизма наводки (макро-микровинт 7). Для этого расположить объектив на расстоянии 1 см от препарата и, глядя в окуляр, медленно опустить препаратный столик, находя изображение.
14. Закрыть полевую и апертурную диафрагму. В поле зрения видно нерезкое изображение краев диафрагмы светового поля.
15. Сфокусировать изображение светового поля с помощью конденсора.
16. Отцентрировать световое пятно с помощью центровочных винтов.
17. Открыть диафрагму светового поля, чтобы края светлого пятна чуть заходили на поле зрения (на 2/3 диаметра).
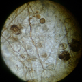
2.3 Изображения фиксированных препаратов
В результате исследования метода изучения морфологии и строения клеток методом микроскопии были исследованы 3 фиксированных препарата.
1. Эвглена Зелёная
2. Плесень Мукор
3. Бактериальная клетка
Получены следующие изображения:
Выводы: В ходе данной лабораторной работы были изучены все правила работы в микробиологической лаборатории и методы изучения морфологии микроорганизмов. Ознакомились с устройством микроскопа. Научились устанавливать свет по Келеру, выбирать объектив для каждого препарата и микроскопировать фиксированные препараты.
Характеристики
Тип файла документ
Документы такого типа открываются такими программами, как Microsoft Office Word на компьютерах Windows, Apple Pages на компьютерах Mac, Open Office - бесплатная альтернатива на различных платформах, в том числе Linux. Наиболее простым и современным решением будут Google документы, так как открываются онлайн без скачивания прямо в браузере на любой платформе. Существуют российские качественные аналоги, например от Яндекса.
Будьте внимательны на мобильных устройствах, так как там используются упрощённый функционал даже в официальном приложении от Microsoft, поэтому для просмотра скачивайте PDF-версию. А если нужно редактировать файл, то используйте оригинальный файл.
Файлы такого типа обычно разбиты на страницы, а текст может быть форматированным (жирный, курсив, выбор шрифта, таблицы и т.п.), а также в него можно добавлять изображения. Формат идеально подходит для рефератов, докладов и РПЗ курсовых проектов, которые необходимо распечатать. Кстати перед печатью также сохраняйте файл в PDF, так как принтер может начудить со шрифтами.
















