Е.А. Бессолицына - Общая гистология (1112219), страница 4
Текст из файла (страница 4)
Питание костной ткани осуществляется за счет сосудов, идущих от надкостницы. В надкостнице кроме волокнистой соединительной ткани и сосудов присутствует три вида клеток: камбиальные клетки веретенообразной формы, преостеобласты - клетки с высокой пролиферативной активностью и остеобласты.
КРОВЬ И ЛИМФА
Кровь и лимфа являются особыми разновидностями тканей мезенхимного происхождения, образующими внутреннюю среду организма (вместе с рыхлой соединительной тканью).
Кровь – это жидкая ткань, циркулирующая по сосудам, осуществляющая транспорт различных веществ в пределах организма и обеспечивающая питание и обмен веществ всех клеток тела. Красный цвет крови придает гемоглобин, содержащийся в эритроцитах.
Основные функции крови.
-
Дыхательная – перенос кислорода от легких к тканям и углекислого газа от тканей к легким.
-
Трофическая – доставка питательных веществ, витаминов, минеральных солей и воды от органов пищеварения к тканям.
-
Экскреторная – удаление из тканей конечных продуктов метаболизма, лишней воды и минеральных солей.
-
Терморегуляторная – регуляция температуры тела путем охлаждения энергоемких органов и согревания органов, теряющих тепло.
-
Гомеостатическая – поддержание стабильности показателей гомеостаза: рН, осмотического давления и т.д.
-
Регуляция водно-солевого обмена между кровью и тканями.
-
Защитная – участие в клеточном и гуморальном иммунитете, в свертывании крови для остановки кровотечения.
-
Гуморальная регуляция – перенос гормонов, медиаторов и других биологически активных веществ.
Общее количество крови в организме взрослого человека в норме составляет 6-8% массы тела и равно примерно 4,5-6 л. В кровеносной системе находится 60-70% крови. Это так называемая циркулирующая кровь. Другая часть крови (30-40%) содержится в специальных кровяных депо. Это депонированная, или резервная, кровь.
Кровь состоит из жидкой части – плазмы и взвешенных в ней клеток – форменных элементов. На долю форменных элементов в циркулирующей крови приходится 40-45%, на долю плазмы – 55-60%. В депонированной крови наоборот: форменных элементов – 55-60%, плазмы – 40-45%. Объемное соотношение форменных элементов и плазмы называется гематокритом. Относительная плотность (удельный вес) цельной крови равен 1,050-1,060 г/мл, а плазмы – 1,025-1,034 г/мл. Вязкость цельной крови по отношению к воде составляет около 5. Вязкость крови обусловлена наличием белков и эритроцитов.
Плазма содержит 90-92% воды и 8-10% сухого остатка, главным образом, белков (7-8%) и минеральных солей (1%). Белки плазмы (их более 30) включают 3 основные группы: альбумины (около 4,5%) связывают лекарственные вещества, витамины, гормоны, пигменты; глобулины (2-3%) обеспечивают транспорт жиров, глюкозы, меди, железа, выработку антител, а также агглютининов крови; фибриноген (0,2-0,4%) участвует в свертывании крови.
Небелковые азотсодержащие соединения плазмы включают аминокислоты, полипептиды, мочевину, продукты распада нуклеиновых кислот и т.д. В плазме находятся также безазотистые органические вещества: глюкоза (0,11%), нейтральные жиры, липиды. Минеральные вещества плазмы составляют около 1% (катионы Na+, K+, Са++, анионы С1-, НСОз-, НР04-). В плазме содержится также более 50 различных гормонов и ферментов.
К форменным элементам крови относятся эритроциты, лейкоциты и тромбоциты (кровяные пластинки).
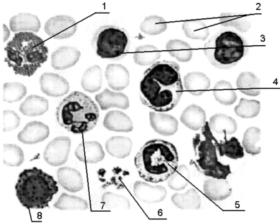
Рис. 15. Мазок крови человека
1 – эозинофил; 2 – эритроциты;
3 – лимфоцит; 4 – моноцит;
5 – палочкоядерный нейтрофил;
6 – тромбоциты
7 – сегментоядерный нейтрофил; 8 - базофил,

Эритроциты – безъядерные клетки, неспособные к делению. Количество эритроцитов в 1 л крови колеблется у взрослых мужчин: от 3,9 до 5,5 х 1012, у женщин: от 3,7 до 4,9х1012 Большинство эритроцитов имеет форму двояковогнутого диска (дискоциты). Форма диска обеспечивает наибольшую поверхность контакта с плазмой. Общая площадь поверхности всех эритроцитов взрослого человека составляет 3000-3800 м2, что в 1500-1900 раз превышает поверхность тела. Дисковидная форма также обеспечивает и обратимую деформацию (сгибание) эритроцита при прохождении через узкие капилляры.
З начительная вариабельность форм эритроцитов называется пойкилоцитозом, что характерно для тяжелых формах анемий. Диаметр большинства эритроцитов составляет 7,2 мкм. Колебания размеров эритроцитов от 7,16 до 7,98 мкм считаются нормой – это нормоциты.
В
Рис. 16. Эритроцит
стречаются микроциты, размеры которых 6 мкм и меньше и макроциты размерами свыше 8,5 мкм. Повышенная вариабельность размеров эритроцитов называется анизоцитозом и развивается при отравлениях органическими веществами (например, тринитротолуолом). Плазмолемма эритроцитов имеет толщину около 20 нм и обеспечивает активный перенос О2, СО2, ионов натрия, калия и других веществ. Основной объем эритроцита - 96% сухого остатка - приходится на долю гемоглобина. Гемоглобин обеспечивает дыхательную функцию крови за счет переноса О2 от легких к тканям и СО2 от клеток к легким. По химической структуре гемоглобин является сложным белком, состоящим из четырех белковых молекул глобина и четырех молекул небелковой группы - гема. Гем имеет в своем составе атом железа, способный присоединять и отдавать молекулу кислорода. При этом валентность железа не изменяется, т.е. Fе остается двухвалентным.У мужчин в норме содержится гемоглобина 130-160 г/л, у женщин – (120-140 г/л. Общее количество гемоглобина в пяти литрах крови у человека составляет 700-800 г. Один грамм гемоглобина связывает 1,34 мл кислорода. Разница в содержании эритроцитов и гемоглобина у мужчин и женщин объясняется стимулирующим действием на кроветворение мужских половых гормонов и тормозящим влиянием женских половых гормонов. Гемоглобин синтезируется эритробластами костного мозга. При разрушении эритроцитов гемоглобин после отщепления гема превращается в желчный пигмент – билирубин.
В норме гемоглобин содержится в крови в виде трех физиологических соединений:
-
оксигемоглобин (НЬО2) – гемоглобин, присоединивший О2; находится в артериальной крови, придает ей ярко-алый цвет;
-
восстановленный, или редуцированный, гемоглобин (Hb), отдавший О2, находится в венозной крови, которая имеет более темный цвет, чем артериальная;
-
карбгемоглобин (НЬСО2) – соединение гемоглобина с углекислым газом; содержится в венозной крови.
Средняя продолжительность жизни эритроцитов – 120 дней. Их образование идет в красном костном мозге. Увеличение количества эритроцитов в единице объема крови называется эритроцитозом (полиглобулией, полицитемией), уменьшение - эритропенией.
Таким образом, эритроцит выполняет следующие функции:
-
дыхательную – за счет гемоглобина, присоединяющего к себе 02 и СО2;
-
питательную – адсорбирование на своей поверхности аминокислот и доставка их к клеткам организма;
-
защитную – связывание токсинов находящимися на их поверхности антитоксинами и участие в свертывании крови;
-
ферментативную – перенос различных ферментов: угольной ангидразы (карбоангидразы), истинной холинэстеразы и др.;
-
буферную – поддержание с помощью гемоглобина рН крови в пределах 7,36-7,42;
Лейкоциты. У взрослого человека в 1 литре крови насчитывается 3,8-9х109 лейкоцитов. Увеличение числа лейкоцитов в крови называется лейкоцитозом, а снижение – лейкопенией. Все лейкоциты являются ядерными клетками, способными к активному перемещению. По наличию специфической зернистости в цитоплазме лейкоциты подразделяются на зернистые – гранулоциты и незернистые – агранулоциты. Гранулоциты характеризуются наличием сегментированного ядра, псевдоподий и зернистости в цитоплазме. Гранулоциты по окрашиванию зерен подразделяют на эозинофильные (ацидофильные), базофильные и нейтрофильные* (* – отмечены данные по особенностям методов окраски препаратов, которые приведены в конце пособия). Все зернистые лейкоциты, особенно нейтрофилы, способны к фагоцитозу. Незернистые лейкоциты отличаются несегментированным ядром, отсутствием видимой при световой микроскопии зернистости в цитоплазме. Незернистые лейкоциты менее подвижны, способны к делению. К агранулоцитам относят лимфоциты и моноциты.
Нейтрофилы составляют 65-75% от общего числа лейкоцитов. Различают сегментоядерные, палочкоядерные нейтрофилы и метамиелоциты (юные нейтрофилы). Подавляющую часть лейкоцитов составляют сегментоядерные нейтрофилы – 60-65%. Их диаметр в мазке крови равен 9-12 мкм. Ядра имеют 2-5 сегментов, связанных перемычкой. От одного из сегментов ядра нейтрофила может отходить небольшой вырост, имеющий форму барабанной палочки – это тельце полового хроматина (неактивная Х хромосома). В цитоплазме имеется зернистость двух типов: крупные гранулы,
видимые в световой микроскоп – это лизосомы с гидролитическими ферментами; и мелкие гранулы, видимые только в электронный микроскоп, заполненные бактерицидными веществами.
Палочкоядерные нейтрофилы составляют 3-5%. Ядра этих клеток имеют вид изогнутой палочки или буквы S. Метамиелоциты содержат бобовидное ядро. В крови встречаются редко (0-0,5%).
В лейкоцитарной формуле слева записывают число метамиелоцитов, правее – палочкоядерных нейтрофилов и еще правее – сегментоядерных нейтрофилов. Поэтому увеличение числа молодых форм нейтрофильных гранулоцитов называют «сдвигом формулы влево» Он свидетельствует об усилении кроветворения, что наблюдается при наличии в организме воспалительного процесса, когда из красного костного мозга выходят молодые формы нейтрофильных гранулоцитов. Основная функция нейтрофилов – уничтожение патогенных микроорганизмов путем фагоцитоза. Они разрушают и переваривают также поврежденные клетки и ткани.
Э
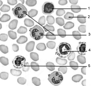
Рис. 17. Мазок крови человека.
1 – лимфоцит, 2 – эритроцит,
3 – сегментоядерные нейтрофилы,
4 – палочкоядерный нейтрофил,
5 - метамиелоцит .

Рис. 18. Гранулоциты
(вверху - схема, внизу -
электронная микрофотография )
А - нейтрофильные,
Б - эозинофильные,
В - базофильные.
озинофильные гранулоциты – эозинофилы составляют 1-5% от общего числа лейкоцитов (120-350 эозинофилов в 1 мм3). Диаметр эозинофилов – 12-14 мкм. Ядра, как правило, имеют два сегмента, иногда больше. В цитоплазме содержатся крупные гранулы округлой формы (овальной или полигональной). Оксифильность гранул обусловлена наличием в них основного белка, богатого аминокислотой аргинином. В гранулах эозинофилов имеются электроноплотные структуры, характер которых имеет видовую специфичность (у человека в одной грануле может быть один или несколько кристаллов различной формы, у кошки эозинофильная гранула содержит один кристалл цилиндрической формы). В крови эозинофилы находятся 3-8 часов, в соединительной ткани – несколько дней.