Методика проведения ультразвукового исследования печени
3.2.1.3.
ТЕМА: Методика проведения ультразвукового исследования печени.
(автор – доцент, д.м.н. Кушнеров А.И.)
УЧЕБНЫЕ ВОПРОСЫ:
1. 1.Показания и подготовка больного к исследованию.
2. Техника исследования.
3. Техника получения подреберного среза печени.
4. Техника получения продольного среза печени.
Рекомендуемые материалы
5. Техника получения поперечного среза печени.
6. Сегментарное строение печени при ультразвуковом исследовании.
7. Оценка состояния печени в условиях серой шкалы.
8. Оценка печеночной гемодинамики.
9. Техника сканирования желчного пузыря.
1.Показания и подготовка больного.
Показания для УЗИ печени:
· Подъем значений печеночных проб.
· Желтуха.
· Увеличение кровотока (т.е. портальная гипертензия).
· Боли в животе или в его правом верхнем квадранте.
· Определение размера, формы и структуры печени.
· Подозрение на первичный рак или метастатическое поражение.
· Диагностика и наблюдение при поликистозе у взрослых.
Для сканирования печени не требуется специальной подготовки, но так как при исследовании печени обычно проводят тщательный анализ состояния и других органов верхнего отдела брюшной полости (например, желчного пузыря, системы выведения желчи), перед исследованием настоятельно рекомендуется 6—8-часовое голодание.
При этом желчный пузырь растягивается, а диаметр воротной вены уменьшается до обычного в состоянии покоя. Кроме того, уменьшается количество газов в желудочно-кишечном тракте.
2. Техника исследования.
Позиции для сканирования печени. Исследование проводится в положении больного вначале на спине, а затем в положении на левом боку. Последний вариант часто улучшает визуализацию правой доли, выводя ее в брюшную полость из-под ребер. Можно выполнять сканирование в положении больного полусидя, а также со спины (особенно у пациентов с асцитом). Заведение правой руки больного за голову расширяет межреберные промежутки и улучшает контакт передатчика.Такое полипозиционное исследование позволяет лучше изучить внутреннее строение печени.
Датчики для визуализации печени. Используются датчики с частотой 3—5 МГц. В зависимости от размеров тела пациента следует использовать датчик максимальной частоты, которая обеспечит проникновение на необходимую глубину. При исследовании левой доли можно использовать более высокие частоты, так как эта доля меньше.Изогнутые линейные матрицы дают хорошее разрешение при исследовании левой доли (ближнее поле), справа следует использовать субкостальный доступ. Для сканирования межреберных промежутков часто необходим секторный датчик.Временное усиление и суммарное усиление следует подстраивать таким образом, чтобы они обеспечивали адекватное проникновение внутрь правой доли печени и гладкую гомогенную картину паренхимы печени, имеющую одинаковую яркость на всех глубинах.
Плоскости для сканирования печени. Целью ультразвукового исследования является изучение всей печени и ее краев, включая купол. Это выполняется при использовании нескольких направлений сканирования, включая сагиттальное, поперечное, венечное (корональное) и косое. Сагиттальный вид по среднеключичной линии дает информацию о длине печени. Сагиттальная плоскость по средней линии или несколько влево должна включать аорту и нижнюю полую вену, при смещении вправо появляется изображение нижней полой вены по длинной оси. Дополнительные изображения в сагиттальной или парасагиттальной плоскостях должны демонстрировать общий желчный проток, главный ствол воротной вены и паренхиму печени, которую сравнивают с правой почкой. Поперечные изображения должны содержать нижнюю полую вену и печеночные вены, левую долю с воротной веной и правую долю с правой воротной веной.
Техническая последовательность действий следующая.
3.Техника получения подреберного среза печени. Помещаем датчик под правый нижний реберный край (рис. 3) и, легко нажимая на кожу, производим веерообразные движения сверху вниз и снаружи кнутри (рис. 4). Когда мы направляем датчик вверх, то видим печеночные вены (рис. 5) и изучаем сегментарное строение печени. Затем, направляя датчик немного вниз, можно увидеть вены воротной системы (рис. 6).
|
|
|
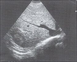
4.Техника получения продольного среза печени. Плотно устанавливаем датчик на кожу под мечевидный отросток и направляем его вверх (рис. 7), затем смещаем в латеральном направлении (параллельно исходной позиции) так, чтобы осмотреть всю печень (рис. 8). Этот срез идеален для исследования левой доли печени.
|
|
5.Техника получения поперечного среза печени. Поперечный срез печени может быть получен поворотом датчика на 90° от продольного положения и проведением его через печень (рис. 9). Эти срезы значительно помогают при оценке дилатации внутрипеченочных желчных протоков, которая отчетливо видна на поперечных срезах правой доли.
|
Заканчиваем абдоминальную ультрасонографию печени, устанавливая датчик в 7-10 межреберье для исследования свода правой доли печени, который порой не удается ясно визуализировать, особенно у тучных больных. Кроме того, межреберный доступ может помочь при осмотре сосудов и желчного пузыря.
6.Сегментарное строение печени при ультразвуковом исследовании. Сегментарное строение печени - важная часть ультразвукового исследования, поскольку информация о том, в каком сегменте органа располагается поражение имеет большое значение. Печень может быть разделена печеночными венами следующим образом: правая вена делит правую долю на два сегмента - задний и передний (рис. 10) и левая вена разделяет левую долю на латеральный и медиальный сегменты (рис. 11). Теперь, если мы проведем продольные плоскости через левую, среднюю и правую главные воротные вены (рис. 12), то печень будет разделена на восемь сегментов (рис. 13).
|
|
7. Оценка состояния печени в условиях серой шкалы. Оцениваются: передне-задний размер правой и левой долей (норма 12,5 и 7,0 см, соответственно); состояние капсулы и контуров, структура и эхогенность органа; диаметры вен печени; желчные протоки и холедох. Обращается внимание на состояние круглой связки печени (на предмет выявления просвета параумбиликальной вены).
Измерение диаметра печеночных вен проводится на уровне 2 см от места их впадения в нижнюю полую вену. Основной ствол воротной вены измеряется в положении больного на левом боку, при этом датчик располагается перпендикулярно реберной дуге. Для измерения выбирается участок основного ствола воротной вены в области ворот печени (на уровне края печени). Холедох обычно имеет равномерный диаметр на всем протяжении и измеряется в этой же позиции. При неравномерности его диаметра измерения проводятся в нескольких точках (с минимальным и максимальным диаметром). Отмечается состояние внутрипеченочных желчных протоков. Обращается внимание на наличие или отсутствие свободной жидкости в брюшной полости при исследовании ее отлогих мест.
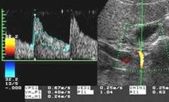
8.Оценка печеночной гемодинамики включает исследование основных сосудов печени - печеночных вен, воротной вены и печеночной артерии, а также их крупных ветвей. Предпочтительно использовать режим ЦДК, позволяющий уточнить не только наличие, но и направление кровотока. Помимо сосудов печени в режиме ультразвуковой ангиографии исследуются круглая связка печени и передняя брюшная стенка - вдоль белой линии живота с использованием линейного датчика, что позволяет более точно выявить наличие кровотока в параумбиликальной вене. ЦДК является высокоинформативным методом в определении обратного (гепатофугального) кровотока в воротной вене и наличия кровотока в порто-кавальных коллатералях. Используя ЦДК, можно быстро определить - является ли визуализируемая трубчатая структура сосудом, оценить наличие и направление кровотока в нем. При ЦДК во внутрипеченочной части воротной вены и в ее ветвях отмечается красный сигнал спектра, соответствующий обычному (гепатопетальному) направлению кровотока при стандартных настройках аппарата. В печеночных венах в норме регистрируется синий сигнал спектра, соответствующий кровотоку от печени, к нижней полой вене и правым отделам сердца.
Определение количественных показателей гемодинамики печени. Больной исследуется в положении лежа на левом боку. Сканирование проводится из доступа через межреберные промежутки (интеркостальный доступ) или из правого подреберья (субкостальный доступ) в зависимости от оптимальной видимости исследуемого сосуда и его хода по отношению к углу инсонации. Задержка дыхания производится больным вне фазы глубокого вдоха или выдоха, что снижает влияние фаз дыхания на характер кровотока в исследуемых сосудах. При определении скоростей кровотока сканирование проводится таким образом, чтобы направление распространения ультразвуковых волн максимально совпадало с продольным ходом сосуда и не превышало 60 градусов по отношению к нему. Величина пробного объема, помещаемого в середину просвета сосуда, составляет приблизительно одну его треть. При измерении таких уголнезависимых величин, как индекс резистентности (RI) и пульсационный индекс (PI), коррекция угла инсонации имеет меньшее значение. При исследовании кровотока во внутрипеченочной части основного ствола воротной вены Nishihara (1994) отметил наилучшие результаты при сканировании из межреберного доступа. Он помещал контрольный объем в основной ствол воротной вены за 1-2 см до ее бифуркации на левую и правую долевые ветви. С учетом данных литературы и своего личного опыта мы считаем указанную выше позицию оптимальной для определения скоростных показателей воротного кровотока (см. рис.).

Бесплатная лекция: "О диалектике военного дела" также доступна.
В норме воротный кровоток имеет типичный венозный спектр, зависящий от фаз дыхания и располагающийся над базовой линией, что соответствует его обычному (гепатопетальному) направлению. Исследование скоростных показателей в основном стволе печеночной артерии проводится в области вертикально направленной части, в точке, наиболее удаленной от бифуркации чревного ствола при сканировании из правого подреберья. В норме скорость кровотока в ней не превышает 60-70 см/сек, RI обычно равен 0,65-0,7.

Визуализация печеночных вен не представляет существенной трудности как из интеркостального, так и из субкостального доступов. При исследовании печеночных вен по методике, предложенной Bolondi (1991), контрольный объем, составлявший 1/3 просвета сосуда, помещается в среднюю печеночную вену на расстоянии 3-6 см от места впадения ее в нижнюю полую вену, что позволяет исключить влияние последней на форму допплеровского спектра. В норме спектр кровотока в печеночных венах трехфазный и зависит от фаз сердечного цикла (см. рис).

9.Техника сканирования желчного пузыря. Пациента необходимо положить на спину или в левое заднее косое положение, а исследование проводить в подреберной или межреберной проекции. Желчный пузырь должен быть обследован минимум в двух положениях — на спине и на боку и в двух плоскостях, по длинной оси и в поперечной плоскости. Пациента также можно исследовать в вертикальном положении или с наклоном кпереди для выявления подвижности камней. Необходимо использовать передатчик максимальной частоты, который обеспечивал бы проникновение в правый левый квадрант живота. Обычно выбирают датчик частотой 3,5 МГц или выше. По возможности следует использовать гармонические методики.
Рекомендуемые лекции
- О диалектике военного дела
- Разработка бюджета рекламной кампании
- Теория трех основных структурно-функциональных блока А.Р. Лурия
- 11 Ветеринарно-санитарная экспертиза туш и органов животных при инфекционных болезнях, передающихся и не передающихся человеку через мясо и мясопродукты
- 16 Конфликты между руководителями и подчиненными







































