Для студентов СГМУ по предмету Патологическая анатомияМикропрепараты к практическому занятию. Учение об опухолях. Эпителиальные опухолиМикропрепараты к практическому занятию. Учение об опухолях. Эпителиальные опухоли
2021-11-142021-11-14СтудИзба
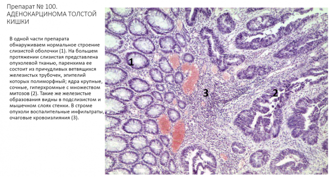
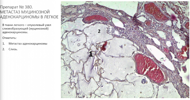
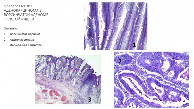
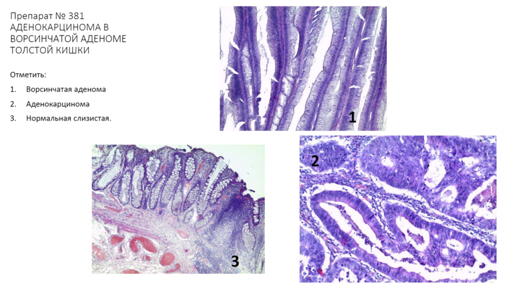
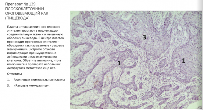
Другое: Микропрепараты к практическому занятию. Учение об опухолях. Эпителиальные опухоли
Описание
Характеристики учебной работы
Тип
Предмет
Учебное заведение
Семестр
Просмотров
56
Качество
Идеальное компьютерное
Размер
1003,45 Kb
Список файлов
Комментарии
Нет комментариев
Стань первым, кто что-нибудь напишет!
СГМУ
Spes

















