Magnetic resonance imaging (779740)
Текст из файла
Magnetic resonance imaging
From Wikipedia, the free encyclopedia
(Redirected from MRI)
Jump to: navigation, search
"MRI" redirects here. For other uses, see MRI (disambiguation).
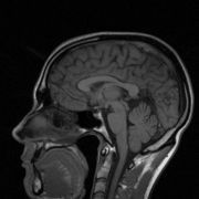
Magnetic resonance image showing a median sagittal cross section through a human head.
Magnetic resonance imaging (MRI), formerly referred to as magnetic resonance tomography (MRT) and, in scientific circles and as originally marketed by companies such as General Electric, nuclear magnetic resonance imaging (NMRI) or NMR zeugmatography imaging, is a non-invasive method using nuclear magnetic resonance to render images of the inside of an object. It is primarily used in medical imaging to demonstrate pathological or other physiological alterations of living tissues. MRI also has uses outside of the medical field, such as detecting rock permeability to hydrocarbons and as a non-destructive testing method to characterize the quality of products such as produce and timber.[1]
MRI should not be confused with the NMR spectroscopy technique used in chemistry, although both are based on the same principles of nuclear magnetic resonance. In fact MRI is a series of NMR experiments applied to the signal from nuclei (typified by the hydrogen nuclei in water) used to acquire spatial information in place of chemical information about molecules. The same equipment, provided suitable probes and magnetic gradients are available, can be used for both imaging and spectroscopy.[2]
The scanners used in medicine have a typical magnetic field strength of 0.2 to 3 Teslas. Construction costs approximately US$ 1 million per Tesla and maintenance an additional several hundred thousand dollars per year.
MRI units can operate up to 21.1 Teslas (in the case of a 900 MHz unit; see the magnetogyric ratio and Larmor frequency).
| |
[edit] Background
[edit] Nomenclature
Magnetic resonance imaging was developed from knowledge gained in the study of nuclear magnetic resonance. In its early years MRI was referred to as nuclear magnetic resonance imaging (NMRI), but the word nuclear has been associated with ionizing radiation exposure, which is not used in an MRI, so to prevent patients from making a negative association between MRI and ionizing radiation, the word has been almost universally removed. Scientists still use the term NMR when discussing non-medical devices operating on the same principles.
One of the inventors of MRI, Paul Lauterbur, originally named the technique zeugmatography, a Greek term meaning "that which is used for joining".[3] The term referred to the interaction between the static and the gradient magnetic fields necessary to create an image, but the nomenclature never caught on.
[edit] Principle
Modern 3 Tesla clinical MRI scanner.
Medical MRI most frequently relies on the relaxation properties of excited hydrogen nuclei in water and lipids. When the object to be imaged is placed in a powerful, uniform magnetic field, the spins of atomic nuclei with a resulting non-zero spin have to arrange in a particular manner with the applied magnetic field according to quantum mechanics. Nuclei of hydrogen atoms (protons) have a simple spin 1/2 and therefore align either parallel or antiparallel to the magnetic field.
The spin polarization determines the basic MRI signal strength. For protons, it refers to the population difference of the two energy states that are associated with the parallel and antiparallel alignment of the proton spins in the magnetic field and governed by Boltzmann statistics. In a 1.5 T magnetic field (at room temperature) this difference refers to only about one in a million nuclei since the thermal energy far exceeds the energy difference between the parallel and antiparallel states. Yet the vast quantity of nuclei in a small volume sum to produce a detectable change in field. Most basic explanations of MRI will say that the nuclei align parallel or anti-parallel with the static magnetic field; however, because of quantum mechanical reasons, the individual nuclei are actually set off at an angle from the direction of the static magnetic field. The bulk collection of nuclei can be partitioned into a set whose sum spin are aligned parallel and a set whose sum spin are anti-parallel.
The magnetic dipole moment of the nuclei then precesses around the axial field. While the proportion is nearly equal, slightly more are oriented at the low energy angle. The frequency with which the dipole moments precess is called the Larmor frequency. The tissue is then briefly exposed to pulses of electromagnetic energy (RF pulses) in a plane perpendicular to the magnetic field, causing some of the magnetically aligned hydrogen nuclei to assume a temporary non-aligned high-energy state. Or in other words, the steady-state equilibrium established in the static magnetic field becomes perturbed and the population difference of the two energy levels is altered. The frequency of the pulses is governed by the Larmor equation to match the required energy difference between the two spin states.
[edit] Image formation
In order to selectively image different voxels (volume picture elements) of the subject, orthogonal magnetic gradients are applied. Although it is relatively common to apply gradients in the principal axes of a patient (so that the patient is imaged in x, y, and z from head to toe), MRI allows completely flexible orientations for images. All spatial encoding is obtained by applying magnetic field gradients which encode position within the phase of the signal. In one dimension, a linear phase with respect to position can be obtained by collecting data in the presence of a magnetic field gradient. In three dimensions (3D), a plane can be defined by "slice selection", in which an RF pulse of defined bandwidth is applied in the presence of a magnetic field gradient in order to reduce spatial encoding to two dimensions (2D). Spatial encoding can then be applied in 2D after slice selection, or in 3D without slice selection. Spatially-encoded phases are recorded in a 2D or 3D matrix; this data represents the spatial frequencies of the image object. Images can be created from the matrix using the discrete Fourier transform (DFT). Typical medical resolution is about 1 mm³, while research models can exceed 1 µm³.
[edit] Scanner construction and operation
Schematic of construction of a cylindrical superconducting MR scanner
The three systems described above form the major components of an MRI scanner: a static magnetic field, an RF transmitter and receiver, and three orthogonal, controllable magnetic gradients.
[edit] Magnet
The magnet is the largest and most expensive component of the scanner, and the remainder of the scanner is built around it. Just as important as the strength of the main magnet is its precision. The straightness of magnet lines within the centre or, as it is known as, the iso-centre of the magnet, need to be almost perfect. This is known as homogeneity. Fluctuations or, non-homogeneities in the field strength, within the scan region, should be less than three parts-per-million (3 PPM). Three types of magnet have been used:
-
Permanent magnet: Conventional magnets made from ferromagnetic materials (e.g., steel) can be used to provide the static magnetic field. These are extremely bulky (the magnet can weigh in excess of 100 tonnes), but once installed require little costly maintenance. Permanent magnets can only achieve limited field strength (usually < 0.4 T) and have limited stability and precision. There are also potential safety issues, as the magnetic field cannot be removed in case of entrapment.
-
Resistive electromagnet: A solenoid wound from copper wire is an alternative to a permanent magnet. The advantages are low cost, but field strength is limited, and stability is poor. The electromagnet requires considerable electrical energy during operation which can make it expensive to operate. This design is essentially obsolete.
-
Superconducting electromagnet: When a niobium-titanium alloy is cooled by liquid helium at 4K (-269°C, -452°F) it becomes superconducting where it loses all resistance to flow of electrical current. By building an electromagnet from superconducting wire, it is possible to develop extremely high field strengths, with very high stability. The construction of such magnets is extremely costly, and the cryogenic helium is expensive and difficult to handle. However, despite its cost, helium cooled superconducting magnets are the most common type found in MRI scanners today.
Most superconducting magnets have their coils of superconductive wire immersed in liquid helium, inside a vessel called a Cryostat. Despite thermal insulation, ambient heat causes the helium to slowly boil off. Such magnets, therefore, require regular topping-up with helium. Generally a Cryocooler, also known as a Coldhead is used to recondense some helium vapour back into the liquid helium bath. Several manufacturers now offer 'cryogenless' scanners, where instead of being immersed in liquid helium the magnet wire is cooled directly by a cryocooler.
Magnets are available in a variety of shapes. However, permanent magnets are most frequently 'C' shaped, and superconducting magnets most frequently cylindrical. However, C-shaped superconducting magnets and box-shaped permanent magnets have also been used.
Magnetic field strength is an important factor determining image quality. Higher magnetic fields increase signal-to-noise ratio, permitting higher resolution or faster scanning. However, higher field strengths require more costly magnets with higher maintenance costs, and have increased safety concerns. 1.0 - 1.5 T field strengths are a good compromise between cost and performance for general medical use. However, for certain specialist uses (e.g., brain imaging), field strengths up to 3.0T may be desirable.
[edit] RF system
The RF transmission system consists of a RF synthesizer, power amplifier and transmitting coil. This is usually built into the body of the scanner. The power of the transmitter is variable, but high-end scanners may have a peak output power of up to 35 kW, and be capable of sustaining average power of 1 kW. The receiver consists of the coil, pre-amplifier and signal processing system. While it is possible to scan using the integrated coil for transmitting and receiving, if a small region is being imaged then better image quality is obtained by using a close-fitting smaller coil. A variety of coils are available which fit around parts of the body, e.g., the head, knee, wrist, or internally, e.g., the rectum.
A recent development in MRI technology has been the development of sophisticated multi-element phased array coils which are capable of acquiring multiple channels of data in parallel. This 'parallel imaging' technique uses unique acquisition schemes that allow for accelerated imaging, by replacing some of the spatial coding originating from the magnetic gradients with the spatial sensitivity of the different coil elements. However the increased acceleration also reduces the signal-to-noise ratio and can create residual artifacts in the image reconstruction. Two frequently used parallel acquisition and reconstruction schemes are SENSE[4] and GRAPPA[5]. A detailed review of parallel imaging techniques can be found here: [6]
[edit] Gradients
Magnetic gradients are generated by three orthogonal coils, oriented in the x, y and z directions of the scanner. These are usually resistive electromagnets powered by sophisticated amplifiers which permit rapid and precise adjustments to their field strength and direction. Typical gradient systems are capable of producing gradients from 20 mT/m to 100 mT/m (i.e. in a 1.5 T magnet, when a maximal z-axis gradient is applied the field strength may be 1.45 T at one end of a 1m long bore, and 1.55 T at the other). It is the magnetic gradients that determine the plane of imaging - because the orthogonal gradients can be combined freely, any plane can be selected for imaging.
Scan speed is dependent on performance of the gradient system. Stronger gradients allow for faster imaging, or for higher resolution; similarly, gradients systems capable of faster switching can also permit faster scanning. However, gradient performance is limited by safety concerns over nerve stimulation.
In order to understand MRI contrast, it is important to have some understanding of the time constants involved in relaxation processes that establish equilibrium following RF excitation. As the high-energy nuclei relax and realign they emit energy at rates which are recorded to provide information about the material they are in. The realignment of nuclear spins with the magnetic field is termed longitudinal relaxation and the time required for a certain percentage of the tissue's nuclei to realign is termed "Time 1" or T1, which is typically about 1 second. T2-weighted imaging relies upon local dephasing of spins following the application of the transverse energy pulse; the transverse relaxation time is termed "Time 2" or T2, typically < 100 ms for tissue. A subtle but important variant of the T2 technique is called T2* imaging. T2 imaging employs a spin echo technique, in which spins are refocused to compensate for local magnetic field inhomogeneities. T2* imaging is performed without refocusing. This sacrifices some image integrity (resolution) but provides additional sensitivity to relaxation processes that cause incoherence of transverse magnetization. Applications of T2* imaging include functional MRI (fMRI) or evaluation of baseline vascular perfusion (e.g. cerebral blood flow (CBF)) and cerebral blood volume (CBV) using injected agents; in these cases, there is an inherent trade-off between image quality and detection sensitivity. Because T2*-weighted sequences are sensitive to magnetic inhomogeneity (as can be caused by deposition of iron-containing blood-degradation products), such sequences are utilized to detect subtle areas of recent or chronic intracranial hemorrhage ("Heme sequence").
Характеристики
Тип файла документ
Документы такого типа открываются такими программами, как Microsoft Office Word на компьютерах Windows, Apple Pages на компьютерах Mac, Open Office - бесплатная альтернатива на различных платформах, в том числе Linux. Наиболее простым и современным решением будут Google документы, так как открываются онлайн без скачивания прямо в браузере на любой платформе. Существуют российские качественные аналоги, например от Яндекса.
Будьте внимательны на мобильных устройствах, так как там используются упрощённый функционал даже в официальном приложении от Microsoft, поэтому для просмотра скачивайте PDF-версию. А если нужно редактировать файл, то используйте оригинальный файл.
Файлы такого типа обычно разбиты на страницы, а текст может быть форматированным (жирный, курсив, выбор шрифта, таблицы и т.п.), а также в него можно добавлять изображения. Формат идеально подходит для рефератов, докладов и РПЗ курсовых проектов, которые необходимо распечатать. Кстати перед печатью также сохраняйте файл в PDF, так как принтер может начудить со шрифтами.
















