91024 (679629), страница 2
Текст из файла (страница 2)
Транзиторная стадия клинически характеризуется периодическими подъемами артериального давления. Они обусловлены спазмом артериол, во время которого стенка самого сосуда испытывает кислородное голодание, вызывающее в ней дистрофические изменения. Спазм сменяется параличом артериол, кровь в которых застаивается, и гипоксия стенок сохраняется. В результате повышается проницаемость стенок артериол. Они пропитываются плазмой крови (плазморрагия), которая выходит и за пределы сосудов, обуславливая периваскулярный отек.
После нормализации артериального давления и восстановления микроциркуляции плазма крови из стенок артериол и периваскулярных пространств удаляется, а попавшие в стенки сосудов вместе с плазмой крови преципитируют. В связи с повторяющимся повышением нагрузки на сердце развивается компенсаторная гипертрофия его левого желудочка. Если в транзиторной стадии ликвидировать условия, вызывающие психо-эмоциональное напряжение, и провести соответствующее лечение больных, начинающуюся гипертоническую болезнь можно излечить, так как в этой стадии еще отсутствуют необратимые морфологические изменения.
Стадия распространенных изменений артерий клинически характеризуется стойким повышением артериального давления. Это объясняется глубокими нарушениями регуляции сосудистой системы и ее морфологическими изменениями. Переход транзиторного повышения артериального давления в устойчивое связан с действием нескольких нейроэндокринных механизмов, среди которых наибольшее значение имеют рефлекторный, почечный и эндокринный. Часто повторяющиеся подъемы артериального давления приводят к снижению чувствительности барорецепторов дуги аорты, которые в норме обеспечивают ослабление активности симпатико-адреналовой системы и понижение артериального давления. Усиление влияний этой системы регуляции и спазм артериол почек стимулируют выработку ими фермента ренина. Последний приводит к образованию в плазме крови ангиотензина, который стабилизирует артериальное давление на высоком уровне. Помимо того, ангиотензин усиливает образование и выход из коркового вещества надпочечников минералокортикоидов, которые еще более повышают артериальное давление и также способствуют его стабилизации на высоком уровне.
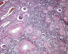
Повторяющиеся с нарастающей частотой спазмы артериол, усиливающаяся плазморрагия и возрастающее количество преципитированных белковых масс в их стенках приводят к гиалинозу или артериолосклерозу. Стенки артериол уплотняются, теряют эластичность, значительно увеличивается их толщина и соответственно уменьшается просвет сосудов (см.1)
Рис.1 Гиалиноз артериолы мозга при гипертонической болезни
Постоянное высокое артериальное давление значительно повышает нагрузку, падающую на сердце, в результате чего развивается его компенсаторная гипертрофия. При этом масса сердца достигает 600-800 г. Постоянное высокое артериальное давление увеличивает нагрузку и на крупные артерии эластического и мышечно-эластического типа, в результате чего атрофируются мышечные клетки, стенки сосудов теряют эластичность. В сочетании с изменениями биохимического состава крови, накоплением в ней холестерина и крупномолекулярных белков создаются предпосылки для развития атеросклеротического поражения крупных артерий. Причем выраженность этих изменений значительно больше, чем при атеросклерозе, не сопровождающемся повышением кровяного давления.
Стадия изменений органов, обусловленных изменениями артерий. Изменения в органах носят вторичный характер. Их выраженность, а так же клинические проявления зависят от степени повреждения артериол и осложнений, связанных с этими изменениями сосудов. В основе хронических изменений органов лежат нарушение их кровоснабжения, нарастающее кислородное голодание и обусловленный им склероз органа со снижением функции. Осложнения гипертонической болезни, проявляющиеся спазмом, тромбозом артериол и артерий или их разрывом, приводят к инфарктам или кровоизлияниям.
Клинико-морфологические формы гипертонической болезни
В зависимости от преобладания поражения тех или иных органов выделяют сердечную, мозговую и почечную клинико-морфологические формы гипертонической болезни.
Сердечная форма, как и сердечная форма атеросклероза, составляет сущность ишемической болезни сердца и рассматривается отдельно как самостоятельное заболевание.
Мозговая форма – одна из наиболее частых форм гипертонической болезни. Обычно она связана с разрывом гиалинизированного сосуда и развитием массивного кровоизлияния в мозг (геморрагический инсульт) по типу гематомы (см.рис 2).
Рис.2 Кровоизлияние в левом полушарии
Рис. 3 Первично-сморщенная почка головного мозга
Прорыв крови в желудочки мозга всегда заканчивается смертью больного. Если больной пережил геморрагический инсульт, то на месте кровоизлияния образуется киста. Ишемические инфаркты мозга тоже могут возникнуть при гипертонической болезни, хотя значительно реже, чем при атеросклерозе. Их развитие связано с тромбозом или спазмом атеросклеротически измененных средних мозговых артерий или артерий основания мозга.
Почечная форма может развиваться остро или хронически и характеризуется развитием почечной недостаточности. Острое поражение почек связано с инфарктом при тромбозе или тромбоэмболии почечной артерии.
При хроническом течении гипертонической болезни развивается атеросклеротический нефросклероз, связанный с гиалинозом приносящих артериол. Уменьшение притока крови приводит к атрофии и гиалинозу соответствующих клубочков. Их функцию выполняют сохранившиеся клубочки, и они гипертрофируются. Поэтому поверхность почек приобретает зернистый вид: гиалинизированные клубочки и атрофированные, склерозированные, нефроны западают, а гипертрофированные клубочки выступают на поверхность почек. Постепенно склеротические процессы начинают преобладать и развиваются первично-сморщенные почки (см.рис 3). При этом нарастает хроническая почечная недостаточность, которая завершается уремией.
Гипертонические кризы
Гипертонический криз – внезапное повышение АД у пациентов с артериальной гипертензией, сопровождается нарушениями вегетативной нервной системы и усилением расстройств мозгового, коронарного и почечного кровообращения. Не всякое повышение артериального давления клинически соответствует гипертоническому кризу. Лишь внезапное повышение артериального давления до индивидуально высоких цифр, сопровождающееся определенной симптоматикой и приводящее к нарушению кровообращения в жизненно важных органах (мозг, сердце, почки), можно отнести к гипертоническому кризу.
Кризы первого типа. Развиваются обычно в I стадии гипертонической болезни. Протекают с выраженной вегетативной симптоматикой (головные боли, тошнота, сердцебиение, пульсация и дрожь во всем теле, тремор рук, появление пятен на коже лица, шеи, возбуждение и т.д)
Кризы второго типа. Протекают значительно тяжелее, более продолжительны, чем кризы первого типа. Они связаны с выбросом в кровь норадреналина. Развиваются обычно в поздние стадии гипертонической болезни. Симптомы: резчайшая головная боль, головокружение, переходящее нарушение зрения, слуха, сжимающие боли в области сердца, тошнота, рвота, парестезии, спутанность сознания.
Отличительные признаки гипертонических кризов
| Признаки | I тип | II тип |
| Развитие | Быстрое | Постепенное |
| Продолжительность | От нескольких минут до 3-4 часов | От 3-4 часов до 4-5 дней |
| Преобладающая симптоматика | Вегетативная головная боль, возбуждение, сердцебиение, пульсация и дрожь во всем теле, тремор рук, появление пятен на коже лица, шеи, сухость во рту. | Резчайшая головная боль, головокружение, переходящее нарушение зрения, слуха, сжимающие боли в области сердца, тошнота, рвота, парестезии, спутанность сознания. |
| Объективные данные | Повышение САД больше, чем ДАД, увеличение пульса АД, тоны сердца громкие. | Повышение ДАД больше, либо, так же как и САД, урежение пульса, резкое уменьшение пульсового давления АД. |
| ЭКГ | Может отмечаться снижение ST, сглаженный T. | Снижение ST, отрицательный T, уширение QRS |
| Лабораторные данные | Увеличение концентрации глюкозы и адреналина, повышение свертываемости крови в течение 2-3 дней, лейкоцитоз | Протеинурия, измененные эритроциты и гиалиновые цилиндры в моче |
Диагностика гипертонической болезни
-
Сбор анамнеза:
У пациенты с впервые выявленной АГ необходимо выяснить:
1.длительность существования артериальной гипертензии и уровни повышения АД в анамнезе, а также результаты применявшегося ранее лечения антигипертензивными средствами, наличие в анамнезе гипертонических кризов.
2. данные о наличии симптомов ишемической болезни (ИБС), сердечной недостаточности, заболеваний центральной нервной системы (ЦНС), поражений периферических сосудов, сахарного диабета, подагры, нарушения липидного обмена, бронхообструктивных заболеваний, заболеваний почек, сексуальных расстройств и другой патологии, а так же сведения о лекарственных препаратах, используемых для лечения этих заболеваний, особенно тех, которые могут способствовать повышению АД.
3. выявление специфических симптомов, которые давали бы основание предполагать вторичный характер АН (молодой возраст, тремор, потливость, тяжелая, резистентная к лечению АГ, тяжелая ретинопатия).
4. у женщин – гинекологический анамнез: связь повышения АД с беременностью, менопаузой, приемом гормональных контрацептивов, гормонально-заместительной терапией.
5. тщательная оценка образа жизни, включая потребление жирной пищи, поваренной соли, алкогольных напитков, количественную оценку курения и физической активности, а так же данные о изменении массы тела в течение жизни.
6. личностные и психологические особенности, а так же факторы окружающей среды, которые могли повлиять на течение и исход лечения гипертонической болезни, включая семейное положение, ситуацию на работе и в семье, уровень образования.
7. семейный анамнез АГ, сахарного диабета, нарушения липидного обмена ишемической болезни сердца, инсульта или заболеваний почек.
2.Оценка объективных данных:
1. Измерения роста и массы тела с вычислением индекса массы тела.
2. Оценка состояния сердечнососудистой системы, в особенности, размеров сердца, наличия патологических шумов, проявлений сердечной недостаточности, выявление пульса на периферических артериях и симптомов коарктации аорты.
3. Выявление патологических шумов в проекции почечных артерий, пальпации почек, выявление других объемных образований.
3. Минимальный стандарт обследования пациентов с артериальной гипертензией:
1.Проба по Зимницкому
2.Анализ мочи по Нечипоренко
3.ЭКГ
4.Сахар крови
5.Узи сердца
6.Осмотр глазного дна
7. Рентгенография грудной клетки
Лечение артериальной гипертензии
Цели терапии:
Основной задачей лечения пациента с ГБ является достижение максимальной степени снижения общего риска сердечнососудистой заболеваемости и смертности. Это предполагает воздействие на все выявленные обратимые факторы риска, такие, как курение, высокий уровень холестерина.
Целевым уровнем АД является уровень Ад менее 140 и 90 мм рт.ст. У больных сахарным диабетом необходимо снижать Ад ниже 130/85 мм рт.мт., при ХПН с протеинурией более 1г/сут. – менее 125/75 мм рт.ст. Достижение целевого АД должно быть постепенным и хорошо переносимым пациентом.
Немедикаментозные методы лечения (должны применяться на любой стадии болезни):
При низкой степени риска АГ пациенты в течение 1 года находятся под наблюдением врача, проводя только немедикаментозные методы лечения.
1.Наиболее патогенетически обоснованной при ГБ является гипонатриевая диета.
2.Постоянные динамические физические нагрузки.
3.Психорелаксация, рациональная психотерапия.
















