240-1553 (676867)
Текст из файла
1
-
Вступление
По данным некоторых ученых 70% всех сведений человек получает из окружающего мира с помощью зрения, другие полагают, что цифра должна быть увеличена до 90%. Недаром А. М. Горький, которому пришлось несколько дней во время болезни пробыть с повязкой на глазах, писал о своем состоянии так: «Ничто не может быть страшнее, как потерять зрение,— это невыразимая обида, она отнимает у человека девять десятых мира».
Основная функция зрения состоит в различении яркости, цвета, формы, размеров наблюдаемых объектов. Наряду с другими анализаторами зрение играет большую роль в регуляции положения тела и в определении расстояния до объекта.
2. Зрительная система.
2.1 Вспомогательные образования глаза
К вспомогательным образованиям глаза относятся веки с ресницами, слезная железа, с помощью которой осуществляется увлажнение поверхности глаза и удаление инородных мелких частиц, а также мышцы, прикрепляющиеся к наружной поверхности глазного яблока, обеспечивающие его движение.
Веки располагаются спереди глазного яблока. Различают верхнее и нижнее веко. Основу век составляет хрящ, с наружной поверхности он покрыт кожей, а с внутренней - конъюктивой век. Коньюктива покрывает внутреннюю поверхность век и состоит из двуслойного или многослойного цилиндрического эпителия с бокаловидными клетками, рыхлой соединительной ткани, в которой находятся сплетения лимфоцитов, а также многочисленные кровеносные сосуды. В области края роговицы конъюктива проходит в ее эпителий.
Рис. 2 Слезная железа.
-
слезная железа.
2-выводные канальцы.
3-медиальный угол глаза.
Слезный аппарат состоит из слезной железы, выводных протоков и слезоотводящих путей. Слезная железа имеет альвеолярно-трубчатое строение и находится в боковом углу глазницы.
Рис.2
Слезный аппарат.
1 - слезный сосочек, 2 - слезное озеро: 3 - слезный каналец: 4 -слезный мешок: 5 - носослезный проток: 6 - свод слезного мешка;
7 - глазное яблоко; 8 - медиальный угол глаза.
Ее выводные протоки в количестве от 6 до 14 открываются в верхний коньюктивальный мешок. Слеза, вырабатываемая железой, омывает внешнюю поверхность роговицы тонким слоем слезной жидкости, за счет чего улучшаются оптические свойства этой поверхности. Далее слезная жидкость направляется в слезное озеро, откуда берут начало слезоотводящие пути. Их образуют слезные канальцы, слезный мешок и носослезный проток. Слезный мешок находится в нижнемедиальном углу глазницы, он имеет длину примерно 1.5 см. ширину - 0.5 см. Книзу слезный мешок переходит в носослезный проток, который открывается в нижний носовой ход. Парасимпатические волокна увеличивают, а симпатические тормозят секрецию слезной жидкости. Слезная жидкость увлажняет роговицу и конъюктиву, смывая механические частицы пыли. В ней также находится бактерицидное вещество лизоцим. Увеличение выделения слезной жидкости происходит при защитном мигательном рефлексе.
2.2 Строение глаза и движения глазных яблок.
Строение глаза
Глазное яблоко располагается в глазничной впадине лицевой части черепа.
Форму глазного яблока определяет наружная белочная оболочка глаза - склера, переходящая спереди в роговицу.
За роговицей располагается хрусталик, к которому прилегает радужка. Пространство между хрусталиком и роговицей заполнено жидкостью. Это пространство называют передней камерой глаза. Глазное яблоко заполнено стекловидным телом - прозрачной массой студенистой консистенции.
Рис. 3 Схематический разрез глазного яблока. 1 - роговица: 2 - передняя камера; 3 - задняя камера: 4 - радужка; 5 - хрусталик:
6 - ресничная мышца: 7 - склера: 8 - сосудистая оболочка; 9 - сетчатка; 10 - стекловидное тело: 11 - сосок зрительного нерва: 12 - мышца века; 13 -конъюктива: 14 - хрящ нижнего века: 15 - железы хряща века; 16- мышца, однимающая верхнее веко: 17-ресницы: 18 - жировое тело глазницы; 19 -верхний конъюктивальный мешок.
Расположение отдельных частей глаза почти всегда неизменно. Такая устойчивость поддерживается как жесткой склерой, так и постоянным уровнем внутриглазного давления. Водянистая влага передней камеры глаза образуется благодаря процессу фильтрации из кровеносных капилляров цилиарного тела. Фильтрат
поступает в заднюю камеру глаза - пространство между радужной оболочкой и хрусталиком, и из него жидкость переходит в переднюю камеру. По краю камеры в месте соединения радужной оболочки и роговицы водянистая влага поступает в слезовой канал и венозную систему. Внутриглазное давление сохраняется постоянным, если количество выводимой через шлемов канал жидкости точно соответствует количеству жидкости, образующейся в цилиарном теле. Если же отток затруднен, то повышается внутриглазное давление, и возникает глаукома.
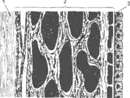
Рис. 4 Микроскопическое строение роговицы
1-передний эпителий. Пятислойный плоский неороговевающий эпителий покрывает переднюю поверхность роговицы и делает ее Идеально ровной.
2- базальная мембрана перед-
него эпителия;
3 – собственное вещество.
Оно не имеет сосудов и сос -
тоит из накладывающихся
пластинок коллагеновых во-
локон. Степень набухания во-
локон определяет прозрачность
роговицы;
4 – базальная мембрана заднего
роговичного эпителия
5 – однослойный плоский эпителий, покрывающий заднюю поверхность роговицы.
Под склерой находится сосудистая оболочка и кровеносные сосуды, которые питают сетчатку Сосудистая оболочка переходит в ресничное или цилиарное тело, в котором находятся гладкие мышечные волокна, образующие ресничную мышцу.
Рис. 5 Сосудистая оболочка.
1 - склера. Состоит из беспорядочно расположенных коллагеновых волокон; 2 - собственно сосудистая оболочка: 3 - пигментные клетки.
Самый передней отдел сосудистой оболочки образует радужную, регулирующую размер зрачка. В радужной оболочке имеются два рода мышц: кольцевые и радиальные. Наружный слой сетчатки, примыкающий к сосудистому слою, образован пигментными клетками. Внутренняя оболочка глазного яблока – сетчатка.
Она состоит из фоторецептивных клеток: колбочек и палочек. В месте пересечения сетчатки с оптической осью глаза располагается область наилучшего видения - желтое пятно, образованное громадным числом колбочек. Участок сетчатки, где сходятся отростки чувствительных нейронов, образующих зрительный нерв, лишен колбочек и палочек. Это место называют слепым пятном.
Движение глазных яблок
Движения глаз происходят при рассматривании как движущихся, так и неподвижных предметов. Глазное яблоко из положения, когда взгляд направлен прямо, может повернуться наружу на 42', внутрь - на 45°, вверх - на 54° и вниз - на 57°.
Движение глазных яблок всегда осуществляется содружественно. При рассмотрении близких предметов зрительные оси сходятся, а более далеких - расходятся. Сведение осей при рассматривании близких предметов называется конвергенцией, а разведение - дивергенцией. Движения глазного яблока осуществляются шестью мышцами: двумя косыми - верхней и нижней и четырьмя прямыми мышцами - наружной, внутренней, верхней, нижней (см. III, IV, VI пары ч.м.н.)
Рис. 6 Мышцы глазного яблока: А - вид сбоку, Б - вид сверху.
1 - прямая верхняя мышца; 2 - прямая нижняя мышца; 3 - нижняя косая мышца: 4 - верхняя косая мышца; 5 - прямая наружная мышца; 6 -прямая внутренняя мышца; 7 - мышца, поднимающая верхнее веко, 8 - блок фиброзно-хрящевой петли
1
2 3
глаз
4
5 6
н
ос
Рис. 7 Схема движений глазного яблока. 1 - верхняя прямая; 2 - нижняя прямая; 3 - нижняя косая; 4 -верхняя косая; 5 - наружная прямая; 6 - внутренняя прямая
Формирование изображения на сетчатке
Благодаря одновременному движению обоих глазных яблок получается четкое изображение на сетчатке. В случае нарушения содружественных движений глаз возникает косоглазие, и происходит расстройство бинокулярной фиксации предмета, т.к. изображение от разных глаз на сетчатке будет занимать на ней разное место.
При разглядывании предмета обоими глазами изображение от предметов попадает в идентичные участки сетчатки обоих глаз и поэтому изображения от двух глаз сливаются в одно. Если же изображение попадает на разные участки сетчатки, то оно будет представляться раздвоенным. В этом легко убедиться, надавливая слегка на один глаз сбоку, в результате чего будет "двоиться" в глазах.
При взгляде на любой предмет глаза совершают небольшие быстрые колебательные движения. Продолжительность отдельного такого перемещения равна сотым долям секунды, а между такими скачками существует время фиксации взора от 0.2-0.6 сек. При рассматривании любых объектов происходит как бы ощупывание контуров рассмотрения. Причем интерес наблюдателя к объекту, также как и его значение для человека влияют на частоту фиксации.
Зрачковые рефлексы
В норме зрачки обоих глаз круглые, и их диаметр одинаков. При снижении общей освещенности зрачок рефлекторно расширяется. Следовательно, расширение и сужение зрачка - это реакция на снижение и увеличение общей освещенности. Диаметр зрачка также зависит от расстояния до фиксируемого предмета. При переводе взгляда от дальнего предмета к ближнему зрачки сужаются.
Рис. 8. Схема иннервации радужной оболочки и ресничной мышцы.
1 - ресничный ганглий, (цилиарный): 2 -короткие ресничные нервы; 3 - верхний шейный симпатический ганглий; 4 -симпатические нервы, (цилиарная); 5 -ресничная мышца 6 - волокна капсулы хрусталика: 7 - радужная оболочка: 8 -роговая оболочка.9 – хрусталик. 10 -кольцевая мускулатура радужной оболочки.11 - радиальная мускулатура радужной оболочки.
В радужной оболочке имеется два вида мышечных волокон, окружающих зрачок: кольцевые, иннервируемые парасимпатическими волокнами глазодвигательного нерва, к которым подходят нервы от ресничного узла. Радиальные мышцы иннервируются симпатическими нервами, отходящими от верхнего шейного симпатического узла. Сокращение первых вызывает сужение зрачка (миоз), а сокращение вторых - расширение (мидриаз).
Характеристики
Тип файла документ
Документы такого типа открываются такими программами, как Microsoft Office Word на компьютерах Windows, Apple Pages на компьютерах Mac, Open Office - бесплатная альтернатива на различных платформах, в том числе Linux. Наиболее простым и современным решением будут Google документы, так как открываются онлайн без скачивания прямо в браузере на любой платформе. Существуют российские качественные аналоги, например от Яндекса.
Будьте внимательны на мобильных устройствах, так как там используются упрощённый функционал даже в официальном приложении от Microsoft, поэтому для просмотра скачивайте PDF-версию. А если нужно редактировать файл, то используйте оригинальный файл.
Файлы такого типа обычно разбиты на страницы, а текст может быть форматированным (жирный, курсив, выбор шрифта, таблицы и т.п.), а также в него можно добавлять изображения. Формат идеально подходит для рефератов, докладов и РПЗ курсовых проектов, которые необходимо распечатать. Кстати перед печатью также сохраняйте файл в PDF, так как принтер может начудить со шрифтами.














