VDV-1469 (664230), страница 5
Текст из файла (страница 5)
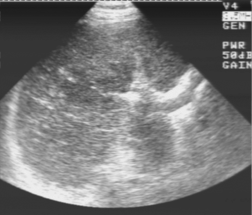
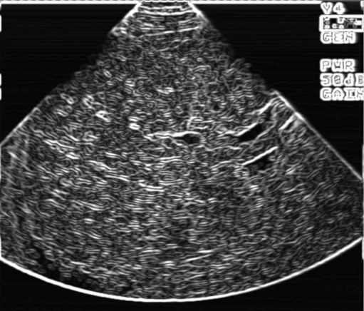
Изменение изображения при использовании данного фильтра показано на рис. 5.
рис. 5 Фильтр сглаживания.
Фильтр усредненного сглаживания
Фильтр усредненного сглаживания используется для того, чтобы устранить дефекты изображения, могущие появиться в процессе оцифровки. Одним из самых распространенных дефектов является появление в темной области светлого пикселя или наоборот. Данный дефект устраняется при помощи алгоритма:
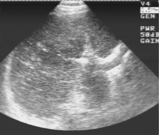
Пример использования данного фильтра представлен на рис. 6.
рис. 6 Фильтр усредненного сглаживания.
Фильтр подчеркивания контуров
Фильтр подчеркивания контуров на основе матрицы 3*3 пикселя используется для отображения на изображении областей имеющих «ярко выраженную» границу с другими областями. Алгоритм, использующийся для получения данных областей:
Пример использования данного фильтра показан на рис. 7.
рис. 7 Фильтр подчеркивания контуров.
Фильтр обработки полутонов
Фильтр обработки полутонов используется для построения псевдорельефа. Алгоритм используемый в данном фильтре:
Результат применения данного фильтра к изображению показан на рис. 8.
рис. 8 Фильтр обработки полутонов.
Последовательное использование фильтров
Часто встречается ситуация, когда использование одного фильтра не дает желаемого результата. В таких случаях бывает необходимо последовательное использование нескольких фильтров для получения желаемого результата. В данном разделе мы рассмотрим две комбинации последовательного использования фильтров представленных на рис. 9 и рис. 10. На рис. 6 рассматривается комбинация фильтров: сглаживания – усредненного сглаживания – подчеркивания контуров. На рис. 7 рассматривается комбинация фильтров: сглаживания – усредненного сглаживания – обработки полутонов.
рис. 9 Smooth - Mean - Contour.
рис. 10 Smooth - Mean - Shading.
Заключение
Реформа системы здравоохранения обеспечила рывок в развитии диагностических служб региональных клиник, но одновременно и привела к утере ряда несомненных достижений советского здравоохранения. В частности практически полностью разрушена целостность системы, в результате чего жители регионов не в состоянии получить высококвалифицированную помощь, которая осталась сосредоточенной в центральных московских клиниках. Развитие проекта «Телемедицина» направлено на сохранение и усиление положительных аспектов реформ и на нивелирование возникших негативных последствий.
Объединение клиник страны в медицинскую информационную сеть позволит организовать взаимодействие опытных специалистов центра с начинающими докторами регионов. Работа в этом направлении уже начата, однако до сих пор внутригоспитальные сети, позволяющие обмениваться информацией о больном, находятся на уровне научных разработок. До сих пор не существует единый стандарт формирования пакета медицинской информации, включая изображения (рентген, УЗИ, КТ и т.п.). Только единичные клиники работают над построением сетей, собирающих информацию.
Дипломная работа посвящена решению задачи подключения к сети ультразвукового медицинского диагностического аппарата ALOKA SSD - 650, на выходе которого появляется изображение (УЗИ). Главной задачей работы была передача изображения через локальную сеть в другую часть института. Были разработаны и реализованы алгоритмы предварительной обработки изображений. На момент начала исследования в Институте хирургии им. А. В. Вишневского была начата работа по прокладке оптоволоконного кабеля между двумя зданиями: главным корпусом (в котором расположены диагностические службы) и лаб. Кибернетики (в которой расположены вычислительные мощности и внешние коммуникации). На сегодняшний день фрагмент сети, обеспечивающий передачу изображений, построен, испытан и реально функционирует.
В результате проведенного исследования получены следующие выводы и результаты.
Выводы и результаты:
-
Построена система передачи изображения из ультразвуковой диагностической установки в ПК с последующей передачей по компьютерной сети;
-
Полученные и переданные изображения были оценены медицинскими экспертами как адекватные;
-
Установлено, что пропускная способность коммуникационного канала на удаленных моделях связи должна быть не менее
64 кб/с; -
Установлено, что разрешающая способность при регистрации изображения должна составлять не менее 768 * 586, при отображении серого клина разрешение должно составлять не менее 10 бит.
Список литературы
-
A CASE OF GASTROSCHISIS, Dr. German Quevedo P, Santa Cruz de la Sierra, Bolivia, June 1 st, 1997.
-
ELEMENTS OF SUCCESS IN TELEMEDICINE PROJECTS, Mary Moor, Ph.D., October, 1996.
-
EUROPEAN COMMITTE FOR STANDARDIZATION.
-
Implementing a Telemedicine Programm Across the Mexican-U.S. Border, 1996.
-
TELEMEDICINE: ITS PLACE ON THE INFORMATION HIGHWAY, Frederic Williams and Mary Moor, 1995.
-
V.D. The Virtual Doctor - медицинские ресурсы Internet в Санкт-Петербурге.
-
Видеоконференции в российских клиниках. Е. Тимин, В. Столяр, А. Сильков. Журнал «Открытые Системы» Изд: «Открытые Системы», 1999г.
-
Журнал «Медицинская визуализация», Выпуски 1 – 4, издательство "ВИДАР" 1999.
-
Журнал Американского Международного Союза Здравоохранения, "Наше Здоровье", Том 5, Выпуск 1, Зима 1997, Раздел "Развитие информационных технологий", Марион Болл и Джудит Дуглас, Статья "Медицинская информатика: там, где встречаются технология и медицина", с. 18.
-
Журнал Американского Международного Союза Здравоохранения, "Наше Здоровье", Том 5, Выпуск 2, Весна 1997, Раздел "Активное сотрудничество", Статья "Бишкек-Канзас-Сити", с. 39.
-
Информационные технологии в охране здоровья, Санкт-Петербург, 1997.
-
Комплекс ИНФОРМАЦИОННО-ВЫЧИСЛИТЕЛЬНЫХ СЕТЕЙ "Телемедицина", Проект "КИВС-МСЧ. ТП", редакция 1, Санкт-Петербург, Февраль 1997.
-
Программа первоочередных мероприятий по реализации программы создания системы телемедицинских услуг в Российской Федерации («Телемедицина»); Главный информационно-аналитический центр при Минздраве РФ, Управление информатизации Федерального Фонда ОМС. Москва 1998г.
-
ТЕЛЕКОНФЕРЕНЦИЯ GlobChat, Copyright © 1997, Julius Edlavitch M.D., В. Теплинский, Ноябрь 1997.
-
ТЕЛЕМЕДИЦИНА - INTERNET, Copyright © 1997, Марк Стори, В. Теплинский, Январь 1997.
-
ТЕЛЕМЕДИЦИНА - АМСЗ, Copyright © 1997, В. Теплинский, Февраль, 1997.
-
Телемедицина. Новые информационные технологии на пороге XXI века; Р. М. Юсупов, Р. И. Полонников. – СПб.:СПИИРАН, 1998. – 486с.
-
ФЕДЕРАЛЬНАЯ ЦЕЛЕВАЯ ПРОГРАММА «ТЕЛЕМЕДИЦИНА»: Министерство здравоохранения Российской Федерации. Министерство науки и технологий Российской Федерации. Москва 1997г.
-
Физика визуализации изображений в медицине; т. 2 под. ред. С. Уэбба. Москва, «Мир», 1991.
Приложение 1
Формат информационного поля файла изображения
| Позиция | Название | Значение | Описание |
| 0 | n | 360 | Число проекций |
| 1 | m | 512 | Число отсчетов в проекции |
| 2 | nx | 512 | Число элементов в строке изображения |
| 3 | ny | 512 | Число строк в изображении |
| 4 | fi | 360 | Угол сканирования |
| 5 | fi0 | 0 | Начальный угол сканирования |
| 6 | r0 | 125 | Радиус зоны обследования |
| 7 | ri | 150 | Радиус зоны реконструкции |
| 8 | xi | 0 | X-координата центра зоны реконструкции |
| 9 | yi | 0 | Y-координата центра зоны реконструкции |
| 10 | l | 110 | Уровень окна отображения |
| 11 | w | 250 | Ширина окна отображения |
| 12 | ko | 185 | Номер объекта реконструкции |
| 13 | ks | 1 | Номер среза реконструкции |
| 14 | no | 877 | Номер объекта визуализации |
| 15 | ns | 5 | Номер среза визуализации |
| 16 | alm | 5000 | Мантисса ALFA*1000 |
| 17 | alex | -7 | Экспонента ALFA |
| 18 | pp | 400 | Порядок регуляризации * 100 |
| 19 | mk | 9 | m*2 = 2**mk |
| 20 | 0 | Тип: 0-CTSYS, 1- СРТ-1000М, 2- СТ1010 | |
| 21 | lstp | 5 | Шаг изменения по уровню окна |
| 22 | wstp | 20 | Шаг изменения по ширине окна |
| 23 | scrl | 2 | Шаг при сдвиге изображения по вертикали |
| 24 | ybig | 0 | Начальный номер строки отображения |
| 25 | rd | 0 | Расстояние от центра до фокуса в мм/10 |
| 26 | nj | 480 | Число измеряемых проекций |
| 27 | mj | 384 | Число измеряемых отсчетов |
| 28 | nkad | 32 | Число кадров в фильме |
| 29 | nsl | 100 | Число срезов для 3D визуализации |
| 30 | xw1 | 20 | Левая X-координата |
| 31 | yw1 | 65 | Верхняя Y-координата |
| 32 | xw2 | 147 | Правая X-координата |
| 33 | yw2 | 192 | Нижняя Y-координата |
| 34 | hz | 10 | Шаг между слоями в мм |
| 35 | max | 8000 | Максимум |
| 36 | min | 80 | Минимум |
| 40 | surf | 20 | Порог плотности для выделения 3d-поверхности |
| 41 | tr | 3500 | Время повторения |
| 42 | te | 150 | неизменяемый параметр |
| 43 | ti | 0 | Время инверсии |
| 44 | nsli | 9 | Количество срезов на томограмме |
| 45 | acc | 4 | Количество накоплений |
| 46 | fov | 300 | Поле обзора |
| 47 | matx | 252 | X матрицы |
| 48 | maty | 252 | Y матрицы |
| 49 | 1 | ||
| 50 | 7 | ||
| 51 | pmin | -140 | Минимум для обрезки перед упаковкой |
| 52 | pmax | 220 | Максимум для обрезки перед упаковкой |
| 53 | ncic | 0 | Количество полос длинной картинки минус 1 |
| 54 | yloc | 0 | Количество строк полной полосы |
| 60 | sh2s | 180 | Сдвиг для второго слоя в микронах |
| 61 | sfd | 6 | Число сдвигов для прямого БПФ |
| 62 | nfd | 1 | (*10) Делитель для спектра |
| 63 | nfl | 480 | (*10) Делитель спектр*фильтр |
| 64 | sfi | 6 | Число сдвигов обратного БПФ |
| 65 | nfi | 7 | (*10) Делитель свернутых проекций |
| 66 | imgn | 300 | (*10) Делитель для изображения |
| 67 | ? | 360 | Так надо ??? |
| 70 | hx0 | x0 - координаты прямоугольника обрезки (печать) | |
| 71 | hy0 | 13 | y0 |
| 72 | hx1 | 47 | x1 |
| 73 | hy1 | 217 | y1 |
| 74 | 242 | ||
| 75 | 128 | ||
| 76 | 40 | ||
| 77 | 128 | ||
| 78 | 40 | ||
| 79 | 12 | ||
| 80 | 88 | ||
| 81 | 230 | ||
| 82 | 190 | ||
| 83 | 128 | ||
| 84 | 125 | ||
| 85 | 128 | ||
| 86 | sque | 142 | Параметр квадрата |
| 89 | 3 | Нач. отсчет (для теста каналов) | |
| 90 | 568 | Кон. отсчет (для теста каналов) | |
| 91 | 6 | Число отсчетов в калибровочных зонах | |
| 92 | 39 | Рабочая зона детектора 1 и 9 | |
| 93 | 46 | 2 и 10 | |
| 94 | 53 | 3 и 11 | |
| 95 | 60 | 4 и 12 | |
| 96 | 67 | 5 и 13 | |
| 97 | 74 | 6 и 14 | |
| 98 | 81 | 7 и 15 | |
| 99 | 88 | 8 и 16 | |
| 100 | 527 | Калибровочная зона детектора 1 | |
| 101 | 534 | 2 | |
| 102 | 541 | 3 | |
| 103 | 548 | 4 | |
| 104 | 9 | 5 | |
| 105 | 16 | 6 | |
| 106 | 23 | 7 | |
| 107 | 30 | 8 | |
| 108 | 513 | Темновая зона детектора 1 | |
| 109 | 520 | 2 | |
| 110 | 527 | 3 | |
| 111 | 534 | 4 | |
| 112 | 542 | 5 | |
| 113 | 549 | 6 | |
| 114 | 556 | 7 | |
| 115 | 563 | 8 | |
| 116 | 28 | mA | |
| 117 | 0 | Угол топограммы (0-359) | |
| 118 | 0 | Длина топограммы (512/256) | |
| 119 | 4590 | Полная доза, mAs | |
| 120 | 120 | Число пикселей в 10 см. | |
| 121 | 4620 | Время сканирования (сек.*10) | |
| 122 | 60 | Доза, mAs | |
| 123 | 120 | Напряжение ,kV | |
| 124 | 4 | Наклон плоскости сканирования в градусах | |
| 125 | 8 | Толщина слоя в мм. | |
| 126 | 22 | Позиция стола пациента в мм. от начала | |
| 127 | 410 | Тип системы |
Приложение 2
Модуль формирования фильтров изображений (С++)
#include
















