VDV-1469 (664230), страница 4
Текст из файла (страница 4)
Таблица 1 Комплектация компьютера первичного пользователя.
| Основная комплектация: | |
| Корпус | ATX 80List (InWin A500) |
| Processor | Pentium II 400 |
| Matherboard | ASUS P2B - D |
| Ram | 256 Mb |
| HDD first | SCSI WDE 4550 – 0025 |
| HDD second | SCSI Wde 18300 – AV0038 |
| SCSI controller | ADAPTEC AHA – 8945 |
| VideoCard | I740 |
| Network Card | Fast EthernLink XL PCI TX – 3C9005B – TX |
| Monitor | ViewSonic “GA655” |
| Mouse | Стандартная мышь PS/2 |
| Видеоконференции: | |
| Плата | miroVideo DC30 plus |
| Камера | MUSTEK VidCam |
| Дополнительное оборудование: | |
| Frame Grabber | IMAGRAPH HI*DEF Plus LF |
Локальная вычислительная сеть
Особенности построения компьютерной сети для института хирургии им. А. В. Вишневского
Локальная вычислительная сеть представляет собой высокоскоростное соединение различных устройств, таких как сервера, рабочие станции и периферийные устройства (принтеры, модемы и т.п.), с общей средой передачи. Что позволяет распределять информацию и ресурсы ЛВС между пользователями.
Выбор топологии и типа ЛВС, а так же сетевых стандартов зависит от задач предъявляемых к ЛВС института хирургии.
Локальная сеть института предназначена для:
-
Обеспечения общего доступа к базам данных и другой медицинской информации;
-
Передача и обработка видеоинформации;
-
Обеспечение аудиовизуального взаимодействия сотрудников института в реальном времени. с помощью системы видеоконференций;
-
Предоставление доступа к ресурсам Интернет;
-
Предоставление услуг электронной почты.
Отличительной особенностью данной сети является необходимость передачи видеоинформации и взаимодействие сотрудников с помощью видеоконференций. Данные приложения предъявляют жесткие требования к пропускной способности и скорости передачи, создавая значительную нагрузку на локальную сеть.
Изображение в аналоговом видео состоит из 625 для PAL/SECAM (525 для NTSC) строк и состоит из 2 полей по 312,5 (262,5). За 1 секунду передаются 25 (30) кадров или 50 (60) полей. Полоса, занимаемая видеосигналом, достигает 6 МГц.
В цифровом ТВ принято разбиение одного ТВ кадра на пиксели, что наиболее удобно для дальнейшей цифровой обработки. Каждый ТВ кадр разбивается на 768 точек по горизонтали и 576 точек по вертикали для сигналов PAL/SECAM (640 на 480 для NTSC) при стандартном для ТВ соотношении ширины к высоте изображения равным 4:3. Таким образом, получается два полукадра (поля) с разрешением 384Х288 (320Х240 для NTSC) при частоте 50(60) полей или 25(30) кадров в секунду. Для передачи цвета используется принцип сложения основных цветов: красного(R), синего(B) и зеленого(G) цветов. Цветной ТВ сигнал состоит из яркостной (Y) и двух цветоразностных (R-Y и B-Y) составляющих. Для этого используя специальные схемы суммирования из трех составляющих (Y, R-Y и B-Y) восстанавливают исходные составляющие цвета красный (R), синий (B) и зеленый (G) цвета, которые подаются на соответствующие электронные пушки кинескопа.
Для полного восприятия информации о яркости и цвете необходимо каждую точку изображения передавать как минимум 256 уровнями или 8 битным кодированием. Каждая точка цветного видеоизображения должна кодироваться 24 разрядным словом (8 бит Х 3 составляющие) или по компьютерной терминологии 24 бит/пиксель (24bpp). Таким образом, перемножив 24х768х576х25 получаем цифровой поток в 265420800 бит/сек или около 265 Мбит/сек для сигналов PAL/SECAM (221 Мбит/сек NTSC).
Практически кодирование ТВ сигнала происходит несколько иначе, учитывая, что для передачи ТВ изображения используется формат Y, R-Y, B-Y, то по сигналу Y производится полное кодирование (8 бит по 768х576 pics), а по сигналам R-Y и B-Y кодируется либо половина (8 бит по 384х288 pics), либо четверть (8 бит по 192х144 pics) для каждого из сигналов R-Y и B-Y. Для простоты используется запись в виде дроби 4:2:2 (иногда 8:4:4) или 4:1:1 (8:2:2). Следует иметь в виду, что данная дробная запись говорит о количественном соотношении кодируемых точек. Разрядность кодирования каждой точки всегда равна 8, иногда и больше. Перемножив полученные данные, получаем цифровой поток до 177 Мбит/сек для разрешения 4:2:2 и около 111 Мбит/сек для 4:1:1 (Все данные приведены для разрешения PAL/SECAM 768х576х25 кадр/сек).
Для ограничения цифрового потока видеоданных используют алгоритмы сжатия(компрессии). В основном используется два вида очень схожих между собой метода компрессии. Это метод M-JPEC, основанный на графическом формате JPEG, и MPEG (в разных вариациях). Оба метода основаны на дискретно-косинусном преобразовании (DCT) изображения разбитого на блоки. Разница этих методов заключается в исключении избыточной информации из исходного видеоизображения. Если M-JPEG использует только внутрикадровую избыточность (так называемую пространственную), то формат MPEG дополнительно использует и межкадровую избыточность (временную). Сжатие характеризуется коэффициентом компрессии - качественным соотношением между исходным и полученным кадром исходя из необходимости сохранения качества исходного изображения и ограничения цифрового потока видеоданных. На практике применяются коэффициенты от 1:1 (без сжатия) до 20:1 (сжатие исходного кадра в 20 раз). Это соответствует качеству ТВ сигнала от эталона (1:1) до стандарта VHS (20:1).
С учетом сжатия видеосигнала, формату видеозаписи VHS(стандарт PAL, оцифровка 768х576, 384х576 или 384х288, 8 бит 4:2:2) соответствует цифровой поток до 24 Мбит/сек.
Формату видеозаписи SVHS или DV/DVCAM (Стандарт PAL, оцифровка 768х576 8 бит 4:2:2 для SVHS и 4:1:1 или 4:2:0 для DV/DVCAM/DVCPRO) соответствует цифровой поток от 24 Мбит/сек.
Система видеоконференций с разрешением 640х480х25(30) кадров/сек дает цифровой поток 128-512 кбит/с (0,12 – 0,5 Мбит/сек). Рекомендуется для проведения видеоконференций уровня предприятия использовать полосу пропускания 384 кбит/с (0,4 Мбит/сек).
Соответственно, общий цифровой поток ~ 25 Мбит/сек.
Локальная вычислительная сеть способна обеспечить высокую пропускную способность, а следовательно, высокое качество изображения и звука. Однако традиционные ЛВС представляют собой сети с разделяемой средой передачи, т.е. когда одно из устройств передает данные в сеть, все остальные должны ждать окончания передачи, не делая попыток передать в сеть свои данные(доступ сетевых устройств к среде передачи регулируется сетевыми стандартами). Однако широкая полоса пропускания используется и для передачи других потоков данных, а соответственно, возможны задержки передачи, к которым видеопотоки крайне чувствительны, поэтому оптимальным решением является коммутируемая ЛВС. Преимущества коммутации заключаются в сегментировании сетей - делении их на более мелкие фрагменты со значительным снижением числа станций в каждом сегменте. Изоляция трафика в небольшом сегменте приводит к многократному расширению доступной каждому пользователю полосы, а поддержка виртуальных ЛВС (VLAN) значительно повышает гибкость системы. Для обеспечения передачи цифрового потока без задержек необходима полоса пропускания 100/1000 Мбит/сек. Оптимальным решением является сеть Fast Ethernet(10/100Base-TX)/Gigabit Ethernet (1000Base-SX). На уровне сегмента обеспечивается скорость передачи 100 Мбит/сек, на уровне здания 1000 Мбит/сек.
Данная сеть характеризуется следующими параметрами:
-
Топология сети – “звезда”;
-
Архитектура сети: “Клиент - Сервер/Файл – Сервер”;
-
Основной сетевой протокол TCP/IP;
-
Физическая среда передачи – кабель на основе неэкранированной витой пары (UTP 5 категории) и многомодовый оптоволоконный кабель.
-
Коммутаторы с высокоскоростной шиной и разделяемой памятью.
-
Возможность объединения сетей Fast Ehernet и ATM
Программное обеспечение и сетевое оборудование
1. Программное обеспечение для управления и работы с серверами и рабочими станциями:
-
Сетевая ОС - Windows NT Server 4.0
-
Клиентская ОС - Windows NT Workstation 4.0
-
Сервер БД - MS SQL Server 7.0
-
Почтовый сервер - MS Exhange Server 5.5
В качестве программного обеспечения для работы с базами данных и сетью можно использовать пакет MS Back Office - 4.0 (Включает в себя NT Server, SQL Server 7.0 Exhange Server 5.5, SMS 2.0, IIS, SNA Server)
2. Программное обеспечение для управления сетью.
-
MS SMS 2.0 - Мониторинг сети и рабочих станций, управление рабочими станциями, установка ПО по сети
-
Программное обеспечение фирмы 3Сom - Transcend Network Control Services(включает сл. продукты Transcend Enterprise Manager и Transcend Workgroup Manager), Traffix Manager - позволяют управлять сетевыми устройствами, анализировать трафик и статистику приложений, управлять работой сети(реализуется редствами протокола RMON/RMON2). Все программное обеспечение работает под управлением Windows NT Server, Transcend Network Control так же работает под управлением Sun Solstice Domain Manager.
-
Сетевое оборудование фирмы 3Com: Коммутаторы серии: SuperStack II 3300 для Ehernet 10/100 Base-TX (витая пара 5 категории, разъем RJ 45), SuperStack II 9000/9300 для Ehernet 100/100 Base-SX (многомодовое оптоволокно).
Персональный компьютер консультанта
Персональный компьютер консультанта использует конфигурацию, аналогичную той, которая была использована для персонального компьютера первичной обработки данных. За исключением установки в ПК сетевой карты для работы с компьютерным рентгеновским томографом и увеличением быстродействия для более детальной и оперативной обработки принимаемой информации, а так же работы с базой данных. Рекомендуемая конфигурация представлена в таблице 2.
Таблица 2 Комплектация персонального компьютера консультанта.
| Корпус | ATX 80List (InWin A500) |
| Processor | Pentium II 500 |
| Matherboard | ASUS P2B - D |
| Ram | 256 Mb |
| HDD first | SCSI WDE 4550 – 0025 |
| HDD second | SCSI Wde 18300 – AV0038 |
| SCSI controller | ADAPTEC AHA – 8945 |
| VideoCard | I740 |
| Network Card | Fast EthernLink XL PCI TX – 3C9005B – TX |
| Monitor | ViewSonic “GA771” |
| Mouse | Стандартная мышь PS/2 |
| Видеоконференции: | |
| Плата | miroVideo DC30 plus |
| Камера | MUSTEK VidCam |
Использование фильтров
Для эффективной работы с полученными из УЗИ изображениями необходимо применять программные средства, которые бы обеспечили возможность обработки изображения и при этом не требовали высокой квалификации обслуживающего их персонала. Данная программа была разработана в РНЦ «Курчатовский институт» и называется CTsoft. В создании этого программного продукта и приняла участие и наша группа дипломников. В размерах данного проекта были предоставлены алгоритмы обработки изображения, позволяющие преобразовывать полученные картинки по специализированным алгоритмам – фильтрам. Данные фильтры предназначены для сглаживания и выделения областей на изображении. Рассматривалось четыре вида фильтров:
-
Фильтр сглаживания – Smooth;
-
Фильтр усредненного сглаживания – Mean;
-
Фильтр подчеркивания контуров на основе матрицы размером 3*3 пикселей – Contour;
-
Фильтр обработки полутонов – Shading.
Все вышеуказанные фильтры работают по алгоритмам на базе матрицы размером 3*3 пикселей. Для описания алгоритмов фильтрации используем условные обозначения для каждого элемента данной матрицы см. таблицу 3.
Таблица 3 Матрица пикселей, использованная для построения фильтров.
| A | B | C |
| D | E | F |
| G | H | J |
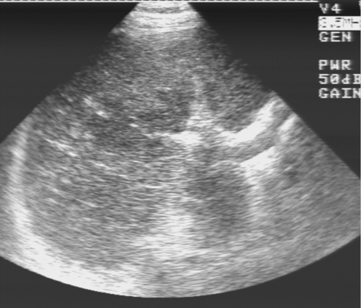
Для того, чтобы можно было бы сравнить действия этих фильтров, далее будут показано изображение, полученное путем передачи данных из УЗИ в персональный компьютер. Исходное изображение показано на рис. 4. И в конце данного раздела будет показано действие нескольких фильтров для отображения определенных областей на данном изображении.
рис. 4 Исходное изображение.
Фильтр сглаживания
Фильтр сглаживания используется для уменьшения общей контрастности изображения. Основной алгоритм, использующийся в данном фильтре:
















