9544 (645759), страница 5
Текст из файла (страница 5)
Известны аномалии М. У межвидовых гибридов все хромосомы, а у анеуплоидов непарные хромосомы не способны конъюгировать и остаются в виде унивалентов; у автополиплоидов образуются объединения более чем из 2 хромосом - т. н. мультиваленты. В каждом из этих случаев невозможна правильная редукция числа хромосом в анафазе I; образующиеся гаметы (с несбалансированными наборами хромосом) либо сами нежизнеспособны, либо дают нежизнеспособное или уродливое потомство. Отсутствие хиазм (ахизматия) обычно приводит к тем же результатам, однако у самцов некоторых видов мух, в том числе у дрозофилы, хиазмы всегда отсутствуют, хотя гаметы образуются нормальные. Причины перехода клеток от деления путём митоза к М. в жизненном цикле каждого организма, а также молекулярные механизмы конъюгации гомологичных хромосом и кроссинговера исследуются.
Животная и растительная клетки. Сравнение.
Перед тем как начать сравнение надо еще раз упомянуть (хотя об этом уже не раз говорилось), что и растительные и животные клетки объединяются (вместе с грибами) в надцарство эукариот, а для клеток данного надцарства типично наличие мембранной оболочки, морфологически обособленного ядра и цитоплазмы (матрикс) содержащей различные органоиды и включения.
Итак, сравнение животной и растительной клеток:
Общие признаки:
1. Единство структурных систем — цитоплазмы и ядра.
2. Сходство процессов обмена веществ и энергии.
3. Единство принципа наследственного кода.
4. Универсальное мембранное строение.
5. Единство химического состава.
6. Сходство процесса деления клеток.
| Растительная клетка | Животная клетка | |
| Размер (ширина) | 10 – 100 мкм | 10 – 30 мкм |
| Форма | Однообразная – кубическая или плазматическая. | Форма разнообразная |
| Клеточная стенка | Характерно наличие толстой целлюлозной клеточной стенки, углеводный компонент клеточной оболочки сильно выражен и представлен целлюлозной клеточной оболочной. | Имеют, как правило тонкую клеточную стенку, углеводный компонент относительно тонок (толщина 10 – 20 нм), представлен олигосахаридными группами гликопротеинов и гликолипидов и называется гликокаликсом. |
| Клеточный центр | У низших растений. | Во всех клетках |
| Центриоли | нет | есть |
| Положение ядра | Ядра у высокодифференцированных растительных клеток, как правило, оттеснены клеточным соком к периферии и лежат пристеночно. | У животных клеток они чаще всего занимают центральное положение. |
| Пластиды | Характерны для клеток фотосинтезирующих организмов (растения фотосинтезирующие – организмы). В зависимости от окраски различают три основных типа: хлоропласты, хромопласты и лейкопласты. | нет |
| Вакуоли | Крупные полости, заполненные клеточным соком — водным раствором | Сократительные, пищеварительные, выделительные вакуоли. Обычно мелкие |
| Включения | Запасные питательные | Запасные питательные |
| Способ деления | Цитокинез путем образования посередине клетки фрагмопласта. | Деление путем образования перетяжки. |
| Главный резервный питательный углевод | Крахмал | Гликоген |
| Способ питания | Автотрофный (фототрофный, хемотрофный) | Гетеротрофный |
| Способность к фотосинтезу | есть | нет |
| Синтез АТФ | В хлоропластах, митохондриях | В митохондриях |
Рис.1
Эукариотическая клетка
Рис. 1. Схема строения эукариотической клетки:
1 — ядро;
2 — ядрышко;
3 — поры ядерной оболочки;
4 — митохондрия;
5 — эндоцитозное впячивание;
6 — лизосома;
7 — агранулярный эндоплазматический ретикулум;
8 — гранулярный эндоплазматический ретикулум с полисомами;
9 — рибосомы;
10 — комплекс Гольджи;
11 — плазматическая мембрана.
Стрелки указывают направление потоков при эндо- и экзоцитозе.
Рис. 2
Схема строения плазматической мембраны:
Рис. 2. Схема строения плазматической мембраны:
1 — фосфолипиды;
2 — холестерин;
3 — интегральный белок;
4 — олигосахаридная боковая цепь.
Рис.3
Электронограмма клеточного центра (две центриоли в конце G1-периода клеточного цикла):
Рис. 5. Электронограмма клеточного центра (две центриоли в конце G1-периода клеточного цикла):
1 — центриоли в поперечном сечении;
2 — центриоли в продольном сечении.
Рис. 4
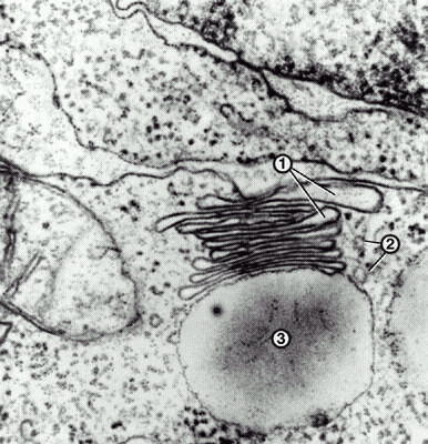
Комплекс Гольджи:
Рис. 3. Комплекс Гольджи:
1 - цистерны;
2 - везикулы (пузырьки);
3 - крупная вакуоль.
Растительная и животная клетки.
(см. рис. 1 для более подробного ознакомления со структурой эукариотической клетки)
Рис. 5 Растительная клетка
Хлоропласт
ЯДРО
РИБОСОМЫ
МИТОХОНДРИИ
Рис. 6 Животная клетка
АППАРАТ ГОЛЬЖИ
ЦЕНТРИОЛЬ
Список источников информации:
-
Биология для поступающих в ВУЗы. Москва «Высшая школа» 1998 год.
-
Большая Советская Энциклопедия (Электронный вариант).
-
Малая Медицинская Энциклопедия (Электронный вариант).
-
Биология «Человек» 9 класс, Москва, «Дрофа», 2001 год.
30
















