95215 (613212)
Текст из файла
КАФЕДРА ТЕРАПИИ
КУРСОВАЯ РАБОТА
«Наблюдение и уход за больными с деформирующим остеоартрозом»
Пенза 2010
содержание
ВВЕДЕНИЕ
ЭТИОЛОГИЯ
ПАТОГЕНЕЗ
КЛИНИЧЕСКАЯ КАРТИНА
МЕТОДЫ ДИАГНОСТИКИ
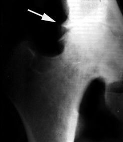
Рентгенодиагностика остеоартроза
Магнитно-резонансная томография (МРТ)
Сонография (УЗИ)
Артроскопия
ЛЕЧЕНИЕ
Лечебная физическая культура (ЛФК)
Фармакотерапия
Внутрисуставная оксигенотерапия
Лазерная терапия
Санаторно-курортное лечение
Эндопротезирование суставов
Оперативное вмешательство
Уход за больными с деформирующим остеоартрозом
ЛИТЕРАТУРА
РЕСУРСЫ ИНТЕРНЕТА
Введение
Деформирующий остеоартроз — хроническое прогрессирующее дегенеративное заболевание суставов, характеризующееся деградацией суставного хряща с последующими изменениями в субхондральной кости и развитием краевых остеофитов, приводящее к потере хряща и сопутствующему поражению других компонентов сустава (синовиальная оболочка, связки).
При проведении Международной декады заболеваний костей и суставов (2000–2010) выделены следующие заболевания, имеющие наиболее важное медико-социальное значение для общества: остеоартроз, остеопороз, боль в нижней части спины, ревматоидный артрит, травматические повреждения. Частота остеоартроза прогрессирующе увеличивается с возрастом. В связи с существенным постарением населения, в том числе и украинской популяции, вопросы профилактики и лечения этого заболевания приобретают особую актуальность.
Остеоартроз — наиболее распространенная форма суставной патологии. Рентгенологические признаки остеоартроза встречаются у большинства лиц старше 65 лет и приблизительно у 80% людей старше 75 лет. 11 % лиц старше 60 лет имеют симптоматический (с клиническими проявлениями) остеоартроз коленных суставов. Среди жителей США старше 30 лет симптоматический остеоартроз коленных суставов встречается приблизительно у 6%, а симптоматический остеоартроз тазобедренного сустава — приблизительно у 3% населения.
Распространенность заболевания изучена при проведении эпидемиологических исследований. Частота остеоартроза увеличивается с возрастом, при этом очевидны половые различия. До 50-летнего возраста распространенность остеоартроза в большинстве случаев выше у мужчин, чем у женщин. После 50 лет остеоартроз коленных суставов, суставов кисти и стопы чаще наблюдается у женщин. В популяционных исследованиях частота и распространенность заболевания увеличивается в 2-10 раз за период от 30 до 65 лет и продолжает увеличиваться с возрастом.
Остеоартроз развивается преимущественно в среднем и пожилом возрасте, в молодом возрасте может встречаться после перенесенных травм суставов, воспалительных процессов, у пациентов с врожденной патологией опорно-двигательного аппарата. Так, если в возрасте до 29 лет болеет 8,4 человека на 1000 населения, в 30-39 лет — 42,1; 40-49 лет — 191,9; 50-59 лет — 297,2; то в 60-69 лет — 879,7 на 1000 человек. В большинстве исследований остеоартроз тазобедренного сустава (коксартроз) более чем в 2 раза чаще наблюдается у мужчин, при этом женщины чаще страдают остеоартроз коленного сустава (гонартроз). Хотя развитие остеоартроз и не влияет на жизненный прогноз, заболевание является одной из основных причин преждевременной потери трудоспособности и инвалидности, хронического болевого синдрома, значительно снижающего качество жизни пациентов.
Этиология
Остеоартроз является результатом действия механических и биологических факторов, которые нарушают процессы образования клеток суставного хряща и субхондральной кости. Он может быть инициирован многими факторами, включая генетические, эволюционные, метаболические и травматические.
Остеоартроз поражает все ткани синовиальных суставов. Заболевание проявляется морфологическими, биохимическими, молекулярными и биомеханическими изменениями в клетках и матриксе, которые приводят к размягчению, разволокнению, изъязвлению и уменьшению толщины суставного хряща, а также к остеосклерозу с резким утолщением и уплотнением кортикального слоя субхондральной кости, формированию остеофитов и развитию субхондральных кист.
Принято выделять первичный и вторичный остеоартроз.
Первичным (идиопатическим) остеоартроз называют в тех случаях, когда не удается выявить непосредственную причину его возникновения. К первичному относят, в частности, остеоартроз суставов кистей, при котором имеются основания предполагать существование генетически детерминированной аномалии структуры хрящевой ткани. Вторичный остеоартроз является следствием различных заболеваний, травм и аномалий развития опорно-двигательного аппарата. При этом поражаются преимущественно крупные суставы нижних конечностей (коленные и тазобедренные), а также первые плюснефаланговые суставы. Одними из наиболее частых причин вторичного остеоартроза являются травмы суставов, а также различные аномалии развития суставов и образующих их костей: врожденная дисплазия тазобедренных суставов, варусное (О-образное) или вальгусное (Х-образное) отклонение оси голени по отношению к оси бедра, дефекты развития или положения надколенника (дисплазия, высокое стояние и др.), стоп (короткая или длинная первая плюсневая кость, полая или плоская стопа) и др. Вторичный остеоартроз может быть следствием хронических заболеваний суставов различной этиологии (ревматоидный артрит, пирофосфатная артропатия и др.), деформаций суставных концов костей или системных метаболических заболеваний, при которых преимущественно страдает хрящевая ткань (охроноз). Известен также эндемический остеоартроз (болезнь Кашина-Бека), наблюдающийся в определенных местностях и обусловленный краевыми особенностями минерального состава пищевых продуктов и воды.
Возникновение и течение деформирующего хронического остеоартроза связывается в настоящее время с влиянием целого ряда факторов, одни из которых рассматриваются как необходимые и достаточные для развития болезни, другие - как необходимые, но сами по себе недостаточные, третьи - как предрасполагающие, но не обязательные. Определенное значение повышенного физического напряжения и частой травматизации сустава в развитии заболевания сейчас уже не подлежит сомнению и убедительно аргументируется следующими фактами:
-
Деформирующий остеоартроз чаще поражает суставы нижних конечностей, которые являются наиболее нагруженными;
-
Отмечаются случаи возникновения болезни вслед за прямой одиночной травмой сустава;
-
Весьма подвержены остеоартрозам представители наиболее тяжелых профессий - горняки, грузчики;
-
Так называемые профессиональные остеоартрозы поражают именно те суставы, которые принимают наиболее активное участие в том или ином виде труда: локтевые суставы − у работающих с пневматическими молотками, ключично-акромиальные суставы − у бурильщиков, пястно-фаланговый сустав большого пальца кистей − у столяров, шляпных мастеров и др., лучезапястные суставы − у маляров, плечевые − у кузнецов и т. д.;
-
Относительно часто развивается остеоартроз нижних конечностей у тучных людей;
-
При поражении полиомиелитом одной конечности нередко развивается остеоартроз в области другой, здоровой конечности, на которую приходится повышенная нагрузка;
-
Особенно выраженные дегенеративно-деструктивные изменения при остеоартрозе развиваются в наиболее нагруженных участках суставных поверхностей;
-
Прямое травмирование суставов и, в частности, суставного хряща в эксперименте приводило к развитию остеоартроза;
Накладывают отпечаток на развитие и прогрессирование остеоартроза негенетические (ненаследуемые) множественные факторы, такие как:
-
возраст, остеопороз;
-
избыточная масса тела;
-
нарушение эндокринного баланса организма, в том числе снижение секреции эстрогенов (постменопаузальный период);
-
метаболические нарушения в организме;
-
дефицит в организме микроэлементов;
-
нарушение развития (дисплазия) и приобретенные заболевания костей и суставов;
-
нейродистрофические проявления патологического процесса в пояснично-крестцовом (синдром пояснично-подвздошной мышцы), или в шейном отделе позвоночника (плече-лопаточный периартрит);
-
воспалительный процесс в суставе.
Следующие факторы риска остеоартроза — факторы окружающей среды:
-
переохлаждение;
-
нарушение экологического равновесия;
-
действие химических токсинов;
-
травма сустава, повторяющиеся микротравмы;
-
операции на суставах (например, менискэктомия);
-
род занятий и физическая активность на работе.
Патогенез
В основе патогенеза остеоартроза лежат нарушения молекулярной структуры гиалинового хряща. Суставной хрящ представляет собой высокоспециализированную ткань, в которой происходят процессы ремоделирования, включающие как деградацию, так и синтез экстрацеллюлярного матрикса, составляющего основу хрящевой ткани. Особое значение для нормального функционирования хряща имеет соотношение в ткани коллагена, протеогликанов, неколлагеновых гликопротеинов и воды.
Ключевая роль при этом отводится хондроцитам — высокодифференцированным клеткам хрящевой ткани, которые по невыясненным до конца причинам при остеоартрозе начинают продуцировать «неполноценные» низкомолекулярные белки матрикса (соединительной ткани хряща), что снижает амортизационные свойства хряща. Хондроцит обладает значительной чувствительностью к содержанию протеогликанов в окружающем матриксе хряща и быстро реагирует на их изменения. Состояние хряща зависит от равновесия анаболических и катаболических процессов, причем интенсивность катаболических процессов усиливают цитокины (интерлейкин-1, фактор некроза опухоли-α), циклооксигеназа-2, металлопротеиназы (коллагеназа, стромелизин), продуцируемые как хондроцитами, так и клетками синовиальной оболочки и субхондральной кости. С другой стороны, для восстановления хрящевой ткани важна синтетическая репаративная активность хондроцитов. Здесь большое значение придается факторам роста, особенно инсулиноподобному и трансформирующему, а также морфогенетически измененным костному и хрящевому белкам.
При прогрессировании остеоартроза в результате происходящих дегенеративных процессов хрящ размягчается, разрыхляется. В нем появляются трещины, простирающиеся до кости.
Костные суставные поверхности, лишенные амортизации из-за деструкции хрящевой ткани, испытывают повышенную и неравномерную механическую нагрузку. В субхондральной кости появляются зоны динамической перегрузки, которые вызывают перераспределительные нарушения микроциркуляции. Это способствует возникновению субхондрального остеосклероза, кистовидной перестройки, изменению кривизны суставных поверхностей и образованию краевых костно-хрящевых разрастаний — остеофитов.
Особая роль в патогенезе остеоартроза отводится синовиту, морфологически характеризующемуся умеренно выраженными пролиферативными и экссудативными реакциями (гиперплазией синовиальной оболочки и ее мононуклеарной инфильтрацией), наиболее выраженными в местах прикрепления синовии к хрящу с последующим исходом в склероз и липоматоз (повышенное отложение жира в клетках и тканях). В субхондральной кости выявляются микропереломы, утолщение костных трабекул и остеофитоз. Экссудативно-пролиферативные реакции как в субхондральной кости, так и в синовиальной оболочке протекают на фоне нарушений региональной гемодинамики и микроциркуляции с развитием тканевой гипоксии. В последующем прогрессирование болезни принимает, по сути, необратимый характер.
Большое значение в развитии остеоартроза имеют иммунные нарушения. Разрушение протеогликанов хряща сопровождается развитием иммунных реакций клеточного и гуморального типа. Сенсибилизация продуктами распада Т- и В-лимфоцитов проявляется повышенной выработкой лимфокинов и образованием иммунных комплексов, а также, возможно, образованием аутоантител к хрящевой ткани, ткани синовиальной оболочки. Это приводит к прогрессивному фиброзу синовиальной оболочки, патологическому изменению синовиальной жидкости, нарушению питания хряща. Выработка неполноценной синовиальной жидкости поддерживает прогрессирование дегенеративных изменений в суставном хряще.
Еще одним важным фактором, ведущим к более частому развитию остеоартроза, являются избыточные нагрузки на суставы. Так установлено, что чаще болеют лица, занятые тяжелым физическим трудом на протяжении более 5 лет. Чаще всего при остеоартрозе в процесс вовлекаются нагрузочные суставы (коленные, тазобедренные), мелкие суставы кистей (дистальные и проксимальные межфаланговые суставы кистей) и позвоночник. Профессиональные нагрузки, связанные со сгибанием коленных суставов, сидением на корточках и хождением по лестницам являются высоким риском развития остеоартроза коленного сустава, в то время как поднятие тяжестей, тяжелая физическая работа связаны с риском развития коксартроза. Однако оздоровительные физические упражнения, такие как бег, не увеличивают риск развития остеоартроза при отсутствии биомеханических нарушений в суставах.
У людей с избыточной массой тела наблюдается высокая частота остеоартроза коленных суставов. Потеря веса при ожирении может уменьшать риск развития остеоартроза. В Фрименгеймском исследовании женщины, снизившие свой вес в среднем на 11 фунтов, уменьшили риск развития остеоартроза коленных суставов на 50%. Взаимосвязь увеличенной массы тела с остеоартрозом тазобедренных суставов менее выражена, чем при остеоартрозе коленных суставов. Как правило одностороннее поражение тазобедренного сустава не связано с избыточным весом, в отличие от двухсторонней локализации.
Характеристики
Тип файла документ
Документы такого типа открываются такими программами, как Microsoft Office Word на компьютерах Windows, Apple Pages на компьютерах Mac, Open Office - бесплатная альтернатива на различных платформах, в том числе Linux. Наиболее простым и современным решением будут Google документы, так как открываются онлайн без скачивания прямо в браузере на любой платформе. Существуют российские качественные аналоги, например от Яндекса.
Будьте внимательны на мобильных устройствах, так как там используются упрощённый функционал даже в официальном приложении от Microsoft, поэтому для просмотра скачивайте PDF-версию. А если нужно редактировать файл, то используйте оригинальный файл.
Файлы такого типа обычно разбиты на страницы, а текст может быть форматированным (жирный, курсив, выбор шрифта, таблицы и т.п.), а также в него можно добавлять изображения. Формат идеально подходит для рефератов, докладов и РПЗ курсовых проектов, которые необходимо распечатать. Кстати перед печатью также сохраняйте файл в PDF, так как принтер может начудить со шрифтами.















