11876 (600636), страница 4
Текст из файла (страница 4)
Объекты иизученя: готовые микропрепараты «Высокий призматический эпителий почки кролика», «Низкий призматический эпителий почки кролика», «Роговица глаза коровы», «Мерцательный эпителий кишечника беззубки», «Однослойный эпителий».
Оборудование: цифровой микроскоп.
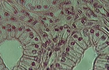
Клетки микропрепарата окрашены розовым цветом, ядра сиреневым. При изучении микропрепарата обращают внимание на форму клеток, их тесное соприкосновение. Микропрепарат рассматривают под микроскопом при увеличении 80х и 200х.
При увеличении 80х наблюдают рыхлую соединительную ткань, состоящую из одноядерных округлых клеток и межклеточного вещества. На фоне соединительной ткани наблюдают срезы множества поперечных канальцев. В зависимости от диаметра просвета канальцев, они выстланы изнутри кубическими или призматическими клетками однослойного эпителия.
При увеличении 200х выбирают участок микропрепарата с хорошо различными клетками канальца. Ядра этих клеток крупные, расположены приблизительно в центре или ближе к базальной части клетки. Базальные концы эпителиальных клеток обращены к соединительной ткани и расположены на так называемой базальной мембране. Противоположные (апикальные) концы клеток, обращены в просвет канальца и скреплены замыкательными пластинками, которые препятствуют проникновению тканевой жидкости из канальцев в межклеточное пространство рыхлой соединительной ткани.
Препарат зарисовывают. После проведения наблюдений, используя материал учебника, заполняют таблицу «Эпителиальные ткани» по форме: начале урока учитель знакомлю учащихся с понятием ткани, основываясь на знаниях о
Микропрепарат «Высокий призматический эпителий почки кролика»
Микропрепарат «Низкий призматический эпителий почки кролика»
На микропрепарате «Высокий призматический эпителий почки кролика» при увеличении 200х наблюдают однослойный высокопризматический железистый эпителий. Обращают внимание на форму клеток и их тесное соприкосновение. Это высокие и узкие цилиндрические клетки. Благодаря такой форме на единицу площади эпителия приходится больше цитоплазмы. В каждой клетке наблюдают ядро, расположенное ближе к базальной части клеток. Базальные концы эпителиальных клеток обращены к соединительной ткани и расположены на базальной мембране. Противоположные (апикальные) концы клеток, обращены в просвет канала. Цилиндрический эпителий выстилает стенки желудка; слизь, выделяемая железистыми клетками, защищает слизистую желудка от воздействия его кислого содержимого и от переваривания ферментами.
Микропрепарат «Роговица глаза коровы»
На микропрепарате «Роговица глаза коровы» при увеличении 80х наблюдают несколько слоев эпителиальных клеток. На базальной мембране лежит слой клеток, которые активно размножаются — базальный слой. Выше этого слоя, по мере продвижения к свободной поверхности ткани, они уплощаются. Такие клетки называют чешуйками. На микропрепарате они неороговевшие, защищают нижележащие ткани от механических повреждений. Эпителий подстилает оболочка из соединительной ткани и строма.
Находят многослойный эпителий и перемещая микропрепарат, располагают его в верхней части поля зрения микроскопа. Находят строму, базальную мембрану, клетки базального, шиповатого и плоского слоев, обращая внимание на количество слоев клеток и форму ядер.
Препарат «Мерцательный эпителий кишечника беззубки».
Предлагаю ученикам зарисовать микропрепарат при увеличении 200х. На микропрепарате «Мерцательный эпителий кишечника беззубки» изучают однослойный многорядный мерцательный эпителий. Клетки разной высоты, все лежат на базальной мембране, ядра располагаются на разных уровнях. Клетки несут на своих свободных поверхностях многочисленные реснички.
Микропрепарат «Однослойный эпителий»
На микропрепарате «Железистый эпителий. Зеленая железа рака» (разветвленные альвеолярно-трубчатые железы) среди эпителиальных клеток могут находиться отдельные секреторные клетки, такие, как бокаловидные клетки, или скопления секреторных клеток, образующих многоклеточную железу. Существует два типа секреторных клеток — зкзокринные и эндокринные. Экзокринные клетки выделяют секрет на свободную поверхность эпителия. Продукты многоклеточных экзокринных желез выводятся на поверхность через протоки. Эндокринными называют железы, секрет которых выделяется непосредственно в кровоток. Эндокринные железы не имеют протоков; их называют также железами внутренней секреции.
На микропрепарате находят группы светло окрашенных секреторных отделов, имеющих форму округлых или вытянутых мешочков. От них в сторону просвета отходят узкие эпителиальные трубки - выводные протоки
После проведения наблюдений микропрепаратов ученикам заполняют таблицу «Эпителиальные ткани» следующего вида.
Размещено на Allbest.ru
















