10257 (761129)
Текст из файла
Особенности возникновения и протекания беременности
Женщина рождается с двумя яичниками, в каждом из которых содержится около 200 тысяч незрелых яйцеклеток. К периоду половой зрелости полного развития и созревания достигают 400-500 яйцеклеток.
Примерно один раз в месяц у женщины детородного возраста происходит овуляция. Яйцеклетка выходит из яичника и попадает в брюшную полость, где захватывается воронкой маточной трубы. В маточной трубе яйцеклетка встречается со сперматозоидом. В оплодотворении участвует лишь один сперматозоид, ядро которого сливается с ядром яйцеклетки. С этого момента оплодотворения и начинается беременность.
Продвижению оплодотворенного яйца в маточной трубе способствуют ее перистальтические движения, движения реснитчатого эпителия. Оплодотворенная яйцеклетка делится, продвигается по маточным трубам. На 7-8 день от момента зачатия яйцеклетка попадает в полость матки, где внедряется в слизистую оболочку, содержащую всю необходимые питательные вещества для развития зародыша. Наиболее благоприятным временем для оплодотворения яйцеклетки и наступления беременности считается середина менструального цикла - период овуляции. Иногда возникает многоплодная беременность, когда развивается более одного зародыша. В последнее время, в связи с бурным развитием новых методов лечения бесплодия, число многоплодных беременностей заметно увеличилось.
Однояйцовые близнецы развиваются из одной яйцеклетки. Это происходит, когда несколько сперматозоидов оплодотворяют многоядерную яйцеклетку, либо при разделении зародыша на две части при дроблении оплодотворенного яйца, когда из каждой части получается отдельный эмбрион. Однояйцовые близнецы растут в матке вместе и имеют общие оболочки и плаценту. У них общее кровообращение. Так как генетика у однояйцовых близнецов одинаковая, то они всегда рождаются однополыми и очень похожими друг на друга. Обычно одна из плодных оболочек все же находится между плодами. Если ее нет, то возможно сращение тканей и образование сиамских близнецов. Разнояйцовых близнецов объединяет только общее место жительства. Они по-соседски живут в матке. У каждого своя плацента, независимая система кровообращения, собственные оболочки. Гибель одного, как правило, облегчает жизнь другому. Двуяйцовые близнецы получаются при одновременном оплодотворении нескольких яйцеклеток разными сперматозоидами. Генетика у таких близнецов разная, они могут быть разнополыми и не похожими друг на друга. Почему же двойни, тройни рождаются чаще у пар, которые лечились от бесплодия? Это связано с тем, что при лечении используют вещества, стимулирующие овуляцию. У женщин происходит созревание сразу нескольких (до десяти) яйцеклеток. При другом методе лечения бесплодия - экстракорпоральном оплодотворении - в матку подсаживают сразу несколько эмбрионов. И хотя обычно приживается только один, но могут сохраниться и несколько. Благодаря этим методам иногда развиваются супермногоплодные беременности, когда рождается сразу четверо и более детей.
Всем известно, что беременность длится 9 месяцев. Однако в медицине принято отсчитывать сроки вынашивания и рождения малыша по неделям. Весь путь от зарождения новой жизни до появления ребенка на свет занимает 40 недель, или 10 лунных месяцев, продолжительность которых равна классическому менструальному циклу — 28 дней.
И именно поэтому календарь беременности включает не 9 привычных, а 10 лунных месяцев. Так женщине удобнее следить за изменениями, происходящими в ее организме, следовать рекомендациям специалистов и подсчитывать, сколько времени осталось до кульминационного момента — рождения малыша.
Бременность условно разделяют на три этапа. Первый – построение тела плода и органов, поддерживающих его жизнеобеспечение. Второй – закладка и настройка всех систем организма маленького человечка. Третий – подготовка к появлению на свет.
Как происходит процесс оплодотворения
Прежде чем мужская клетка встретится с женской, проходит от 3 до 6 часов. Продвигаясь вперед, многочисленные сперматозоиды не останавливаются ни на секунду. На своем пути они встречают множество преград, придуманных природой, в результате чего отсеиваются слабые и нежизнеспособные. В итоге до заветной цели добирается несколько самых сильных и выносливых сперматозоидов. Для процесса оплодотворения яйцеклетки избранным будет один, все остальные обречены. Как только мужская клетка пробилась сквозь покрытие женской яйцеклетки, по всему организму разносится весть о том, что оплодотворение произошло. Начинается молниеносная перестройка, необходимая для сохранения беременности. Изменяются химические реакции, по-другому распределяется иннервация матки, понижается иммунитет, чтобы не произошло отторжения, и организм не принял оплодотворенную яйцеклетку за опасное новообразование. Во время оплодотворения из двух родительских клеток с половинным набором хромосом образуется одна — зигота. Это полноправное образование, со своим неповторимым генетическим кодом, определяющим пол будущего ребенка, его характер, цвет глаз и форму ушей. Зигота находится в фаллопиевой трубе. Лишь на седьмые сутки она опускается в матку, где начинает «присматривать» местечко для прикрепления. Оправляясь в дальний путь, запасливая яйцеклетка прихватывает с собой еду (желтое тело), поэтому в первую неделю не так уж принципиально, что входит в рацион будущей мамы. А вот после того как зародышевое яйцо прикрепилось к стенке матки, очень важно, как женщина питается и какой ведет образ жизни. Теперь развитие эмбриона целиком и полностью зависит от маминого душевного и физического состояния. Эмбриончик, как пиявка, присасывается к стенке матки и «зарывается» в нее. На этом этапе, который называется имплантацией и длится около 40 часов, наружные клетки делятся и внедряются в слизистую оболочку матки, где быстро разрастаются. Внутри разветвлений образуются кровеносные сосуды, со временем они преобразуются в плаценту, и будут питать новый организм до самого рождения. Из зародышевого узелка формируется тело будущего человека, а из поверхностных клеток — внезародышевые части (околоплодный пузырь, пуповина, плацента), необходимые для обеспечения безопасного существования малыша.
Беременность условно разделяют на три этапа. Первый - построение тела плода и органов, поддерживающих его жизнеобеспечение. Второй - закладка и настройка всех систем организма маленького человечка. Третий — подготовка к появлению на свет. Околоплодный пузырь (амнион) представляет собой мешочек, наполненный околоплодными водами — бесцветной жидкостью, сладковатой на вкус. Воды защищают нежное создание от неравномерного давления стенок матки, перепадов температуры, ударов и шума, а также способствуют обмену веществ. Плацента, или детское место, — уникальный, неповторимый орган, настоящий источник жизни. Плацента переносит свежую обогащенную кислородом кровь от матери в пуповинную вену малыша и одновременно забирает из артерий шлаки и продукты распада и выводит их. Она также выполняет для ребенка функции легких, почек и органов пищеварения, более того, действует как фильтр, создавая заслон вредным веществам и бактериям. Помимо этого в плаценте образуются гормоны и биологически активные элементы, которые играют важную роль в процессе развития плода. Пуповина, или пупочный канатик, соединяет тело ребенка с плацентой. По ее сосудам кровь течет от матери к малышу и обратно. Итак, будущий человечек устроил уютное гнездышко и начал стремительно развиваться. Беременность — это целое приключение, где есть и чудеса, и опасности. «Не стоит преувеличивать», — скажете вы. Так вот, никакого преувеличения в таком сравнении нет.
Процесс оплодотворения яйцеклетки
Сперматозоиды атакуют яйцеклетку. Зрелище фантастическое! Спермии синхронно бьют хвостами, заставляя яйцеклетку медленно вращаться против часовой стрелки. Внутрь попадет только один из них.
Зигота: ДНК сперматозоида уже внутри яйцеклетки. Скоро произойдет слияние отцовской и материнской половин генетической программы и начнется первое деление клетки. Так происходит оплодотворение.
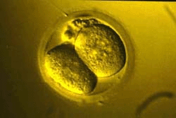
Первые сутки после зачатия. У яйцеклетки уже две дочери.
Вторые сутки после зачатия. Деление продолжается.
Вторые - начало третьих суток после зачатия. Бластомеров уже восемь. При искусственном оплодотворении (ребенок "из пробирки") в матку женщины подсаживают именно такой зародыш.
Это бластоциста. Похожа на тутовую ягоду?
«Дурное дело нехитрое» гласит народная мудрость, и применяют ее, зачастую, говоря о том, как легко можно «залететь». Но когда знакомишься с процессом оплодотворения во всех деталях, представляется чудом, что все эти биологические функции в большинстве случаев исполняются четко и желанная беременность наступает, а небольшой сбой в любой из частей механизма зачатия ведет к годам хождений по врачам и упорной борьбе за свое материнское счастье. Каковы же условия успешного зачатия?
Первое - для зачатия ребенка необходимо много здоровых, подвижных сперматозоидов
Подвижность сперматозоидов является одним из наиболее важных качественных показателей спермы и условий наступления беременности. Хорошая подвижность сперматозоидов может компенсировать малое их количество. Сперма, в которой 50% сперматозоидов имеют хорошую способность к передвижению, считается нормальной. Образец спермы, в котором менее 40 % сперматозоидов имеют хорошую способность к продвижению, считается патологическим. В норме движение сперматозоидов прямолинейное, в одном направлении. Если семенные нити имеют колебательные или круговые движения на одном месте (маятникообразные или манежные), то такие сперматозоиды рассматриваются как малоподвижные.
Второе условие наступления беременности - здоровая, зрелая яйцеклетка
Яйцеклетка в 550 раз больше сперматозоида и вообще является самой большой клеткой в организме. Она защищена внешней мембраной и структурами, которые называются метахондриями - они производят энергию. Внутри крошечного ядра яйцеклетки находятся 23 хромосомы, которые содержат генетический материал, хранящийся в ДНК. С возрастом яйцеклетки, как и все клетки в организме и ДНК, становятся менее стабильными, поэтому яйцеклетки у молодых женщин более здоровые. Количество яйцеклеток определено с рождения, в течение жизни их не становится больше, но лишь одна высвобождается для зачатия ежемесячно во время репродуктивного периода.
Известно, что королеву делает хорошей ее окружение. Так и качество созревающей в организме женщины яйцеклетки зависит от множества факторов: это и различные внешние воздействия (температура, биохимический состав среды, клеточное окружение), и точное функционирование внутриклеточных механизмов, которые работают на сложном пути созревания яйцеклетки. Изначально стволовая половая клетка (предшественник яйцеклетки) носит в себе двойной набор хромосом, что свойственно всем остальным клеткам организма, и только претерпевая два редукционных деления (в которых происходит уменьшение числа хромосом в два раза), она становится настоящей половой клеткой - ооцитом. В течение этого периода созревающая яйцеклетка дважды останавливается в своем развитии (I и II блоки созревания), и "разбудить" ее могут только следующие события: I блок снимается пиком ЛГ, предшествующим овуляции, а II блок - в процессе оплодотворения. Если на этом уровне клеточной организации происходят какие-либо нарушения, то процесс созревания ооцита может остановиться на стадиях I или II блоков. Помимо процессов созревания ядерного аппарата, в самой цитоплазме яйцеклетки также происходят структурные и биохимические преобразования: идет активный синтез и накопление необходимых для развития ооцита и будущего эмбриона веществ - белков, молекул-источников энергии, молекул РНК, а также распределение по цитоплазме клеточных органелл. Например, митохондрии - "энергетические станции" клетки - распределяются в цитоплазме определенным образом, вследствие этого митохондриальная активность во всех участках цитоплазмы различна. Было показано, что существует прямая связь между увеличением возраста женщины и уменьшением митохондриальной активности в цитоплазме ооцитов и клетках эмбрионов. Следствием этого является снижение вероятности наступления беременности. Итак, зрелая яйцеклетка содержит в себе необходимый для развития эмбриона набор веществ и в момент овуляции находится на стадии II блока созревания, который снимается при оплодотворении сперматозоидом. Морфологическими признаками зрелой яйцеклетки являются наличие первого полярного тельца (образуется после снятия I блока созревания) и отсутствие клеточного ядра (зародышевого пузырька). Косвенным признаком степени зрелости ооцита может быть состояние кумулюса (оболочки, состоящей из части клеток, которые окружали и питали яйцеклетку, когда она росла). По ходу созревания яйцеклетки кумулюс становится более рыхлым, вязким.
Третье - для оплодотворения необходимо удачное расположение спермы рядом с шейкой
Внутри влагалище переходит в шейку, узкое основание матки. Это волокнистое кольцо ткани длиной до четырех сантиметров с отверстием (цервикальный канал), которое позволяет семенной жидкости попадать в матку, а крови выходить из нее во время менструации. В шейке находятся железы, выделяющие различные виды слизи, в зависимости от вида гормонов, вырабатываемых женским организмом.
Характеристики
Тип файла документ
Документы такого типа открываются такими программами, как Microsoft Office Word на компьютерах Windows, Apple Pages на компьютерах Mac, Open Office - бесплатная альтернатива на различных платформах, в том числе Linux. Наиболее простым и современным решением будут Google документы, так как открываются онлайн без скачивания прямо в браузере на любой платформе. Существуют российские качественные аналоги, например от Яндекса.
Будьте внимательны на мобильных устройствах, так как там используются упрощённый функционал даже в официальном приложении от Microsoft, поэтому для просмотра скачивайте PDF-версию. А если нужно редактировать файл, то используйте оригинальный файл.
Файлы такого типа обычно разбиты на страницы, а текст может быть форматированным (жирный, курсив, выбор шрифта, таблицы и т.п.), а также в него можно добавлять изображения. Формат идеально подходит для рефератов, докладов и РПЗ курсовых проектов, которые необходимо распечатать. Кстати перед печатью также сохраняйте файл в PDF, так как принтер может начудить со шрифтами.















