94367 (682020), страница 2
Текст из файла (страница 2)
Чаще стал обнаруживаться амилоидоз у лиц старческого возраста (по секционным данным).
Наибольшее распространение получили три теории патогенеза амилоидоза: 1) теория диспротеиноза, согласно которой амилоид является продуктом извращенного белкового обмена; 2) клеточная теория, рассматривающая амилоидную субстанцию как продукт извращенного синтеза белка клетками системы мононуклеарных фагоцитов (ретикулоэндотелиальной системы), а не как преципитат белков из сыворотки крови; 3) иммунологическая теория, получившая в последние годы большое распространение. Сторонники ее считают, что амилоид образуется в результате реакции антиген — антитело, протекающей при условии недостаточной выработки антител и избытке антигена.
Наиболее раннее и преимущественное выпадение амилоида в органах и тканях, богатых ретикулоэндотелием, объясняют тем, что именно последний является местом образования антител,
В последнее время установлено снижение показателей клеточного иммунитета уже на ранних стадиях амилоидоза, что также имеет известное патогенетическое значение.
В настоящее время схема морфогенеза амилоидоза представляется следующим образом: клеточная трансформация в системе мононуклеарных фагоцитов с появлением клеток, способных к синтезу фибриллярного белка-амилоида; синтез амилоидобластами основного компонента амилоида — фибриллярного белка; агрегация фибрилл с образованием «каркаса» амилоидной субстанции; соединение агрегатных фибрилл с белками и гликопротеидами плазмы, а также с кислыми мукополисахаридами ткани; образование сложного гликопротеида — амилоида.
Аномальные белки (иарапротеины), попадая в почки, задерживаются на гломерулярном фильтре и вызывают его повреждение.
Патоморфоология. В начальном периоде амилоидоза почки увеличены, дряблые или слегка плотноватые, поверхность их гладкая, волокнистая капсула снимается легко. Слой коркового вещества расширен, серо-красного цвета, интермедиарная зона и пирамиды полнокровны.
В дальнейшем почки становятся более плотными, паренхима серо-желтого цвета. Слой коркового вещества становится еще более широким, матовым, мозговое вещество приобретает сальный вид. Процесс заканчивается амилоидным сморщиванием почки. Почки уменьшаются, уплотняются, поверхность их бугристая, слой коркового вещества истончен, бледный, мозговое вещество серо-красного цвета.
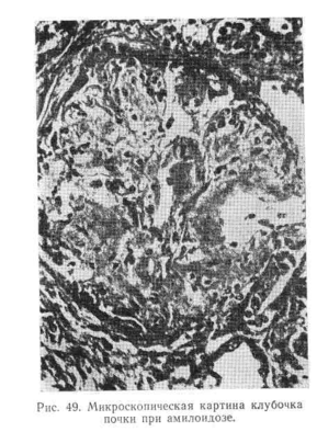
Гистохимические и электронно-микроскопические исследования ткани почек, полученной при помощи пункционной биопсии, показали, что в относительно ранней стадии амилоидной дистрофии поражаются не все петли клубочка. Стенки пораженных петель неравномерно утолщены. В более поздней стадии амилоидная субстанция наводняет весь клубочек, закрывая просвет капилляров, откладывается в стенке артериол, вокруг них, а также в базальной мембране канальцев и в интерстициальной ткани. Нефроны запустевают и атрофируются, в мозговом и корковом веществе разрастается интерстициальная ткань (рис. 49),
При первичном амилоидозе субстанция откладывается вокруг коллагеновых волокон, тогда как при генетическом и вторичном — периретикулярно. Вследствие этого при первичном амилоидозе поражению чаще подвергаются пищеварительная система, миндалины, кожа, скелетная мускулатура, сердце, нервы, крупные сосуды, а при вторичном — паренхиматозные органы, а в них прежде всего мелкие сосуды.
Клиника амилоидоза почек в значительной мере определяется этиологическими факторами и патогенетическими особенностями, Практически вторичный амилоидоз встречается значительно чаще генетического и первичного.
Вторичный амилоидоз, В течении вторичного амилоидоза почек можно отметить три периода (Е. М. Тареев М. Л. Щерба): начальный (скрытый или безотечный — предотечный), отечный (нефротический) и азотмический (уремический).
В начальном периоде отмечаются незначительные протеинурия, диспротеинемия, гиперхолестеринемия, периодически — эритроцитурия, которая нередко может быть обнаружена лишь при количественном исследовании осадка. Иногда уже в этот период несколько снижаются плазмоток и клубочковая фильтрация,
У 60 % больных во втором периоде отчетливо выражена клиническаякартина нефротического синдрома с характерной для последнего тетрадой симптомов — протеинурией (больше 3,5 г белка в сутки), отеками, гипо- и диспротеинемией, гиперхолестеринемией. Количество белка в моче обычно подвержено весьма значительным колебаниям как в течение суток, так и при повторных исследованиях. Среди белков мочи сравнительно большой удельный весглобулинов, особенно их крупнодисперсных фракций. Для амилоидоза характерен высокий уровень γ-глико - протеидов и α-липопротеидов в моче. В осадке мочи — небольшое количество эритроцитов, цилиндров и нередко лейкоцитов. Лейкоцитурия не всегда свидетельствует о присоединении инфекции мочевых путей. Появление гематурии обусловлено тромбозом сосудов амилоидными массами.
Отеки выражены далеко не всегда, даже во втором периоде амилоидоза. Иногда они скрытые, т. е. проявляются лишь «немотивированной» прибавкой массы тела. Отеки могут появляться или увеличиваться после перенесенных интеркуррентных инфекций, охлаждения, операции, травмы, после приема кортикостероидов и других препаратов, вакцинации, обострения основного заболевания. В таких случаях, если не был ранее прослежен начальный (протеинурический) период, начало амилоидоза напоминает начало острого гломерулонефрита.
Артериальное давление чаще нормальное и нередко не повышается даже в азотемической стадии, что, по-видимому, обусловлено амилоидозом надпочечников. Изменений глазного дна нет или они слабо выражены.
Анемия в этот период обусловлена основным заболеванием. СОЭ повышается довольно рано, а при выраженном нефротическом синдроме достигает высоких цифр.
Относительно часто увеличиваются печень и селезенка, что обусловлено отложением амилоида в них. Нарушение функций печени возможно даже без увеличения ее.
Третий период — развитие хронической недостаточности почек. Клиническая картина, течение и лечение последней в значительной степени сходны с таковыми при хроническом гломерулонефрите.
Клиническая картина определяется в каждом отдельном случае также проявлениями заболевания, вызвавшего амилоидную дистрофию почек, и признаками амилоидоза других органов.
Течение амилоидоза при невозможности устранения его причины прогрессирующее. Скорость прогрессирования зависит от характера основного заболевания, степени распространенности процесса, наличия интеркуррентных заболеваний, интоксикаций, травм. После излечения основного заболевания (туберкулез, абсцесс и т. д.) выздоровление или прекращение прогрессирования процесса возможно в первом и даже во втором периоде амилоидной дистрофии почек при условии, если другие органы (печень, кишки) интактны или мало поражены. Если этиологический фактор неустраним, прогноз неблагоприятен. При недостаточности почек, интеркуррентных инфекциях, травмах, операциях, интоксикациях и т. д. прогноз значительно отягощается и иногда может развиваться картина, напоминающая острую недостаточность почек.
Тяжелым осложнением амилоидной нефропатии является тромбоз вен почек. При этом возникает резкая боль в пояснице, гематурия и в конце концов олиго- и анурия,
Д и а г н о з амилоидоза в первом периоде основывается на данных повторных исследований мочи (с обязательным определением белка в суточном количестве мочи, количественного исследования мочевого осадка, электрофоретическом исследовании белков крови и мочи), а также наличии заболеваний, предрасполагающих к развитию амилоидоза.
Определенное диагностическое значение имеют специальные тесты — пробы с конгорот, синью Эванса, метиленовым синим. Следует подчеркнуть, что положительные результаты этих проб отмечаются обычно лишь в поздних стадиях амилоидоза, отрицательные же не исключают его.
Распознавание вторичного амилоидоза вызывает особые трудности при латентном либо атипичном течении основного заболевания, обусловившего развитие амилоидоза («сухие» бронхоэктазы, атипичные формы лимфогранулематоза и др.), В подобных случаях показана биопсия почек, которая является наиболее достоверным методом распознавания амилоидной дистрофии их. Однако технические трудности этого метода ограничивают его широкое применение в повседневной практике. Ввиду того что одновременно либо раньше, чем в почках, возможно отложение амилоидных масс в слизистой оболочке кишок, полости рта, а также в подкожной клетчатке, в целях диагностики амилоидоза может быть произведена биопсия слизистой оболочки сигмовидной кишки (через ректороманоскоп), а также подкожной клетчатки живота или десны, что технически несложно и вполне доступно для большинства терапевтических стационаров. Биопсия сигмовидной кишки при правильной технике забора материала (взятие через ректоскоп кусочка ткани, содержащего подслизистую основу) и применение специальной окраски дают положительные результаты в 40—75 % случаев.
Близкие цифры получены при биопсии подкожной клетчатки живота. Биопсия десны менее информативна (20—35 %).
Первичный амилоидоз — сравнительно редкое заболевание. Клинические проявления его весьма многообразны. Они определяются местом отложения амилоидной субстанции, функциональными нарушениями и тромбозом сосудов пораженных органов и тканей. В основном встречается у лиц в возрасте 40—50 лет и старше.
Поражение почек при первичном амилоидозе наблюдается у 40—75 % больных. Чаще всего оно возникает не в начале заболевания, а присоединяется к поражению других органов и систем (пищеварительного аппарата, миокарда и т. д.).
Прижизненная диагностика первичного амилоидоза представляет значительные трудности и возможна лишь при помощи различных лабораторно-инструментальных методов, включая биопсию,
Τечение обычно быстро прогрессирующее. Прогноз неблагоприятный. Описаны случаи первичного амилоидоза, проявляющегося клинической картиной злокачественных новообразований в пищевом канале, цирроза печени, мозгового инсульта, недостаточности кровообращения и т. д.
Генетический (наследственный) амилоидоз наиболее часто встречается в странах Средиземноморского бассейна. Заболевание чаше начинается в первые 2 — 3 десятилетия жизни и характеризуется полиморфизмом клинических проявлений. Диагностика генетического амилоидоза базируется на клинических данных и тщательно собранном генетическом анамнезе. В нашей стране наиболее частым типом наследственного амилоидоза, сопровождающегося, как правило, поражением почек, является амилоидоз при периодической болезни.
Лечение. При вторичном амилоидозе следует энергично и по возможности радикально бороться с основным заболеванием, вплоть до осуществления (при необходимости) оперативного вмешательства, которое при соответствующей подготовке можно проводить не только в первом, но и во втором периоде (противопоказано в азотемической стадии). Следует помнить, что оперативное вмешательство может явиться причиной временного ухудшения функций почек, а иногда и острой недостаточности почек.
Характер диеты зависит от периода амилоидоза. В первом периоде рекомендуется некоторое ограничение белка (до 0,7 г/кг — 60—70 г в сутки) и повышенное введение углеводов (главным образом, за счет продуктов, содержащих большое количество крахмала, — картофель, кукуруза и др.) в течение многих месяцев. Указанная диета базируется в основном на экспериментальных данных, согласно которым диета, богатая белком, ускоряет у подопытных животных развитие амилоидоза, вызванного казеинатом натрия, а диета, бедная белком и богатая крахмалом, наоборот, замедляет. При нефротическом синдроме (второй период) содержание белка в пище должно соответствовать физиологическим нормам (1 — 1,2 г/кг). В азотемической стадии белок снова ограничивается, и диета соответствует таковой при хроническом гломерулонефрите в стадии недостаточности почек. Во всех случаях амилоидоза рекомендуется включение в пищевой рацион овощей и фруктов, содержащих большое количество аскорбиновой кислоты.
Применение производных 4-аминохинолина (хингамина — резохина, делагила) следует рассматривать как метод патогенетической терапии амилоидоза, так как они блокируют ферментные системы ретикулоэндотелиальных клеток, тормозят образование гликозаминогликанов и нуклеиновых кислот. Назначают по 0,25— 0,5 г в сутки на длительный срок (несколько месяцев и даже лет). Клинический опыт и экспериментальные данные свидетельствуют об их эффективности. Следует, однако, помнить о возможности осложнений: диспепсии, лейкопении, отложений этих веществ в роговице. При своевременной отмене препарата эти осложнения обратимы. Метионин, аскорбиновая кислота, сырая печень и ее препараты задерживают развитие экспериментального амилоидоза. Больным они назначаются на несколько недель и даже месяцев (6—12) с перерывами в следующих дозах: метионин — 1 —1,5 г 3—4 раза в день, аскорбиновая кислота — 0,25 г 4—6 раз в день, сырая печень (или печень, подвергнутая кратковременной термической обработке) — 100 г в день, сирепар — 4—5 мл внутримышечно 1 раз в день. Антигистаминные средства (димедрол, супрастин, диазолин, тавегил) также могут быть отнесены к средствам патогенетической терапии. Назначают их в обычных дозах. Лечение стероидными гормонами противопоказано. Нет убедительных данных об эффективности цитостатических средств. При амилоидозе почек противопоказаны некоторые противотуберкулезные препараты (ПАСК натрий, тиоацетазон — тибон, циклосерин).
Симптоматическое лечение — диуретические, сердечные, гипотензивные средства, переливание плазмы, плазменного альбумина и т. д.
Лечение в азотемической стадии амилоидоза почек аналогично таковому при недостаточности почек, обусловленной хроническим гломерулонефритом.
















