94316 (681977), страница 3
Текст из файла (страница 3)
Дифференциальная диагностика с острым аппендицитом, как правило, не вызывает затруднений, однако в сомнительных случаях следует прибегнуть к операции. Диагностические затруднения возникают при дифференциации обтурационной желтухи при закупорке общего желчного протока камнем с механической желтухой при раке желчных путей и поджелудочной железы. Быстрое развитие желтухи, связь ее с предшествующим болевым синдромом, наличие желчных колик в анамнезе свидетельствуют о желчнокаменной болезни, тогда как относительно медленное развитие желтухи дает основание заподозрить злокачественную опухоль.
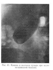
Рентгенологически (при контрастной холеграфии) обнаруживаются единичные или множественные камни (рис. 41). Реже тени конкрементов видны и на обзорной рентгенографии. Диагностическое значение в последнее время приобрела абдоминальная эхография.
Прогноз определяется течением заболевания.
Лечение. Большое значение имеет строгое соблюдение диетического режима (диета № 5, при обострениях—№ 5а и 56).
Неотложная помощь при приступе желчной колики обычно включает подкожное введение 1 мл 0,1 % раствора атропина сульфата или 1 мл 1 % раствора апрофена, 2 мл 0,2 % раствора платифиллина гидротартрата и других спазмолитических средств. В большинстве случаев приходится вводить наркотические анальгетики: омнопон, промедол (2 мл 1 % раствора), а иногда и морфина гидрохлорид (1 мл 1 % раствора). Практически при выраженной желчной колике одновременно вводят подкожно 1 мл 0,1 % раствора атропина сульфата и 2 мл 1 % раствора промедола. Можно сделать также правостороннюю или двустороннюю паранефральную блокаду 0,25 % или 0,5 % раствором новокаина (60— 120 мл).
Целесообразно применение тепла (горячие общие ванны, грелки, припарки по Боасу, согревающие компрессы и т. д.).
При желчнокаменной болезни вне приступов целесообразен курс (20—25 инъекций) введения спазмолитических средств (атропина, платифиллина и др.). Назначают желчегонные средства и минеральные воды. При стойких болевых ощущениях рационально назначать паранефральные новокаиновые блокады по Вишневскому, предпочтительнее справа (1—3 раза). Показаны тепловые физиотерапевтические процедуры.
При наличии инфекции наряду со всем комплексом мероприятий в первую очередь вводят антибиотики, как и при воспалительных процессах желчных путей.
В последнее десятилетие наметилась перспектива в отношении возможности растворения холестериновых камней с помощью введения препаратов хенодезоксихолевой кислоты.
Показания к оперативному лечению разделяются на абсолютные — затянувшаяся механическая желтуха (выжидать не более 7—10 дней), осложнение водянкой или эмпиемой пузыря, прободение последнего (в результате пролежня), развитие холецистопанкреатита и относительные — не осложненная изменениями со стороны печени желчнокаменная болезнь, сопровождающаяся частыми приступами. В последнем случае оперативное лечение может предупредить развитие панкреатита. Следует вообще считать показанным раннее хирургическое вмешательство как предохраняющее от развития осложнений при желчнокаменной болезни.
Курортное лечение показано во внеприступном периоде в Ессентуках, Железноводске, Моршине, Трускавце, а также в местных профильных санаториях.
Профилактика должна быть направлена на устранение застоя желчи, ликвидацию или предупреждение инфекции, организацию рационального питания. Застой желчи предупреждается 3-, 4-кратным в течение дня приемом пищи, являющейся физиологическим раздражителем, вызывающим сокращение пузыря и выделение желчи в кишку. Важно воздерживаться от пищи, содержащей продукты, богатые холестерином. В то же время показаны нежирные сорта мяса, так как мясо способствует продуцированию желчных кислот, препятствующих выпадению холестерина из желчи. Показаны физическая работа, физкультура и спорт, особенно лицам, ведущим малоподвижный образ жизни. Важно устранение запора.
Трудоспособность определяется по принципам, изложенным в разделе «Воспалительные заболевания желчных путей.
Использованная литература
1. Внутренние болезни / Под. ред. проф. Г. И. Бурчинского. ― 4-е изд., перераб. и доп. ― К.: Вища шк. Головное изд-во, 2000. ― 656 с.















