93152 (681196)
Текст из файла
Вінницький національний медичний університет ім. М.І. Пирогова
Кафедра променевої діагностики і терапії з курсом радіаційної медицини
Зав. кафедри:
проф. Ковальський О.В.
Викладач: Ясько В.В.
ПЛАН ПРОМЕНЕВОГО ОБСТЕЖЕННЯ
Діагноз: Цироз печінки. Варикозне розширення вен стравоходу
Виконав: студент 3-а групи 3 курсу
медичного факультету №1
Сенько А.І.
Вінниця 2009р.
ПЛАН ОБСТЕЖЕННЯ:
-
УЗД печінки
-
Сцинтиграфія печінки
-
Доплерівська ультрасонографія
-
МРТ печінки
-
Комп’ютерна томографія з контрастуванням
-
Радіогепатограма
-
Спленопортографія
-
Гепатовенографія
-
Рентгенограма стравоходу
-
Езофагоскопія
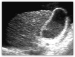
1. УЗД печінки
Цироз печінки можливо діагностувати на основі дослідження в режимі «сірої шкали» при візуалізації печінки з неоднорідною структурою паренхіми і нерівним бугристим контуром.
2. Сцинтиграфія печінки
Відмічається незначне збільшення розмірів печінки. Накопичення колоїдного золота дифузно-нерівномірне, з найбільш значним розрідженням штриховки в крайових зонах і нижній частині правої долі.
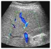
3. Доплерівська ультрасонографія
Можна виявити кровотік в круглій зв’язці печінки при реканалізації параумбі-лікальної вени, а також візуалізувати інші порто-системні колатералі.
4. МРТ печінки
При проведенні МРТ печінки виявлені зменшена в розмірах печінка з вузлуватими контурами, варикозно-розширені вени.
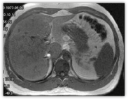
5. Комп’ютерна томографія з контрастуванням
Видно зменшення в розмірах печінки з вузловими контурам, варикозне розширення вени (вказано чорною стрілкою) і сильно виражений асцит (вказано білою стрілкою).
6. Радіогепатограма
Накопичення і виведення паренхіматозними клітинами печінки введеного індикатора сповільнено, що свідчить про порушення функції печінки.
7. Спленопортографія
Наявність підпечінкового блоку (вказано чорною стрілкою)
8. Гепатовенографія
Неоднорідність тіні контрактованої частини сегмента. Ретроградний потік в портальні вени.
9. Рентгенограма стравоходу
Зображує варикозне розширення вен стравоходу: стравохід трохи розширений. Рельєф внутрішньої поверхні представлений подушкоподібними підвищеннями. На контурах стравоходу ці утворення створюють картину крайових дефектів наповнення. Стінки стравоходу еластичні. Перистальтика збережена.
10. Езофагоскопія
Чітко видно варикознорозширену вену стравоходу (вказано чорною стрілкою)
Характеристики
Тип файла документ
Документы такого типа открываются такими программами, как Microsoft Office Word на компьютерах Windows, Apple Pages на компьютерах Mac, Open Office - бесплатная альтернатива на различных платформах, в том числе Linux. Наиболее простым и современным решением будут Google документы, так как открываются онлайн без скачивания прямо в браузере на любой платформе. Существуют российские качественные аналоги, например от Яндекса.
Будьте внимательны на мобильных устройствах, так как там используются упрощённый функционал даже в официальном приложении от Microsoft, поэтому для просмотра скачивайте PDF-версию. А если нужно редактировать файл, то используйте оригинальный файл.
Файлы такого типа обычно разбиты на страницы, а текст может быть форматированным (жирный, курсив, выбор шрифта, таблицы и т.п.), а также в него можно добавлять изображения. Формат идеально подходит для рефератов, докладов и РПЗ курсовых проектов, которые необходимо распечатать. Кстати перед печатью также сохраняйте файл в PDF, так как принтер может начудить со шрифтами.















