92953 (681066)
Текст из файла
Федеральное агентство по науке и образованию
РГМУ имени Пирогова
Стоматологический факультет
Реферат
Отбеливание зубов
2009
Содержание
Введение
1. История развития отбеливания зубов
2. Общие положения
3. Проведение отбеливания
4. Нововведения в технологии отбеливания зубов
Заключительные выводы
Литература
Введение
В процессе жизнедеятельности человека зубы подвергаются воздействию различных органических и неорганических красителей. Под окрашиванием зубов следует понимать стойкий неестественный цвет зубной поверхности. Возросшие в последние годы эстетические требования пациентов обусловливают необходимость получения стоматологом исчерпывающей информации о современных методах отбеливания зубов, их эффективности и безопасности.
Все большее число пациентов хотят иметь ослепительно 6eлыe зубы, так как "голливудская" улыбка стала частью имиджа благополучного человека. Отбеливание зубов — сегодня одна из самых востребованных стоматологических процедур. Это процесс, который не только отбеливает поверхностные пятна на зубах но и меняет оттенок самого зуба с темного на болеe белый.
Раньше для достижения белого цвета зубов применяли такие методики, как изготовление коронок и виниров. Сегодня можно использовать разнообразные системы отбеливания зубов. Так называемые "отбеливающие" пасты и другие методы, которые действуют на принципе абразии, пытаются снимать поверхностные пятна с зубов, но не отбеливают сами зубы. Чтобы отбелить зубы, необходимо применить окислители, которые должны проникнуть эмаль и дентин зуба и там войти в реакцию с красящими веществами.
Современный стоматолог должен проводить отбеливание зубов так, как этого хотят его пациенты.
1. История развития отбеливания зубов
Практика осветления зубов насчитывает более двух тысяч лет. В первом веке нашей эры римские врачеватели придерживались мнения, что использование мочи для чистки зубов в значительной мере способствует их осветлению. В XIV столетии наиболее распространенными стоматологическими услугами считались отбеливание и удаление зубов. Врачеватели славянских народов для получения более эффективного результата перед отбеливанием проводили сошлифовывание поверхностного слоя эмали металлическим напильником, после чего применяли слабый раствор азотной кислоты. Такую методику использовали вплоть до конца XVIII столетия1.
Особенно ярко интерес к вопросам эстетики улыбки и зубов проявился в начале XIX в. Еще в 1848 г. отбеливание депульпированных зубов проводили при помощи хлорной извести. Труман предложил наиболее эффективную методику отбеливания зубов, активным элементом в которой был хлор, получаемый из раствора кальция гидрохлорида и уксусной кислоты.
В конце XIX в. для депульпированных зубов в качестве отбеливающих средств с успехом использовали ряд других веществ: хлорид алюминия, щавелевую кислоту, пирозон (перекисный эфир), водородный диоксид (перекись водорода, или пергидроль), серную кислоту, натрия гипофосфат, хлорную известь и даже цианид калия. В настоящее время наиболее эффективными прямыми окислителями являются пирозон, супероксол и диоксид натрия, непрямыми — производные хлора.
"Живые" зубы также подвергались отбеливанию (с 1868 г.) при помощи щавелевой кислоты, а позднее — перекиси водорода или пирозона. К 1910 г. все методики отбеливания таких зубов включали использование перекиси водорода вместе с нагретым инструментом или световым воздействием2.
В 1918 году был открыт принцип активизации отбеливания с помощью теплового излучения, который с успехом применяется в наше время. Световое излучение высокой интенсивности вызывает быстрый подъём температуры в растворе перекиси водорода, что приводит к бурному ускорению химических процессов отбеливания3.
С 1915 года для лечения эндемического флюороза (так называемых "коричневых пятен из Колорадо") стали использовать соляную кислоту. Позднее, с 1939 года, данную патологию было предложено лечить при помощи состава 30% перекиси водорода и эфира, который наносили на марлевых полосках на вестибулярную поверхность зубов и нагревали при помощи специального инструмента. В 70-х годах XX столетия среди стоматологов особую популярность приобрела методика отбеливания витальных зубов с использованием терморокаталитической реакции разложения перекиси водорода высокой концентрации (25-35%). Однако, применение данного препарата приводило к возникновению целого ряда осложнений как со стороны слизистой оболочки ротовой полости, так и обрабатываемых зубов. Это в свою очередь поставило стоматологов перед проблемой разработки менее агрессивных технологии, позволяющих изменять приобретенный нежелаемый цвет зубов4.
Современными методами удается устранить или значительно уменьшить большинство видов внешнего и внутреннего окрашивания зубов. Отбеливанию лучше поддаются зубы, имеющие желтовато-коричневый оттенок, чем серовато-голубоватые зубы. Результаты отбеливания обычно стабильно сохраняются с небольшим (в 0,5 тона) потускнением в течение 1—2 лет. Так называемые тетрациклиновые зубы наиболее устойчивы к отбеливанию. Молекулы тетрациклина прочно связываются с минеральным компонентом эмалевых призм во время их формирования, поэтому лечение не дает быстрых результатов. Не всегда удается полностью решить проблемы эстетики при гипоплазии эмали, несовершенном амело- и дентиногенезе, тяжелых формах флюороза.
2. Общие положения
Существуют показания и противопоказания к отбеливанию зубов, зависящие от причины изменения цвета зубов, степени их потемнения, а также от общего состояния пациента и особенностей его полости рта.
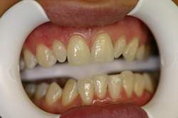
а) б)
Рис. 1. а) зубы до отбеливания, б) после отбеливания
Основные причины изменения цвета зубов:
-
вследствие частого употребления таких напитков, как очень крепкий чай, кофе, а также курение табака, зубы приобретают цвет от желтокоричневого до почти черного. В подобных случаях изменяется цвет поверхностных слоев эмали;
-
нарушение структуры зубов — так называемые тетрациклиновые зубы, поражение зубов флюорозом;
-
проникновение пигментов в дентин в период его развития: например, билирубин вызывает окрашивание дентина у детей с тяжелыми поражениями печени;
-
ошибки в лечении;
-
травмы;
-
возрастные изменения цвета.
Отбеливание зубов можно проводить в кабинете стоматолога, однако существуют методы, которые можно применять в домашних условиях.
В состав препаратов, используемых для отбеливания зубов, входят перекись водорода, карбамида пероксид и перборат натрия.
Перекись водорода. При проведении отбеливания перекись водорода проникает через органический матрикс эмали и дентина и происходит взаимодействие активных радикалов с ненасыщенными связями молекул, как, например, в реакции с -каротином, когда в результате окисления окрашенная в яркий красный цвет молекула (-каротина расщепляется на две бесцветные молекулы транс-ретинола:
Карбамид пероксида. Обычно его применяют в 10—15 % концентрации. Как правило, отбеливатели на основе карбамида содержат карбопол, замедляющий выделение перекиси водорода.
Перборат натрия. Препараты, содержащие этот отбеливатель, выпускают в виде геля или порошка. При отбеливании депульпированных зубов перборат натрия придает им блеск.
Следует знать, что при отбеливании зуба возможно такое осложнение, как "переотбеливание": происходят разрушение тканей зуба под действием реакции оксидации, декомпозиция структуры эмали, разрушение эмалевого матрикса. Зуб в результате может стать тусклым, порозным. Наиболее агрессивными являются растворы Н2О2 30—35 % концентрации.
Частое осложнение отбеливания "живых" зубов — гиперестезия. В настоящее время этот ценный метод лечения депульпированных зубов у многих специалистов вызывает недоверие из-за корневой пришеечной резорбции.
Факторы, влияющее на отбеливание:
-
чистота зубов. Загрязнение поверхности зубов ухудшает процесс отбеливания;
-
концентрация перекиси водорода.Чем выше концентрация перекиси водорода, тем более выражен эффект. Максимальная концентрация, применяемая для отбеливания, — 35 %. При добавлении геле-образующих агентов концентрация снижается до 25 %;
-
физические факторы: температура (повышение температуры зуба на 10° С ускоряет химическую реакцию в 2 раза. Можно повышать температуру, ориентируясь на то, что пациент не испытывает дискомфорта); аргоновый и углекислый лазеры (лазерное излучение применяют для активации перекиси водорода в присутствии специальных катализаторов. Лазерная технология отбеливания способна обеспечить надежный результат за сравнительно короткое время. Такое отбеливание не оказывает практически никакого вредного воздействия на твердые ткани зубов. Под влиянием лазерного излучения молекула перекиси водорода расщепляется на воду и свободный радикал кислорода. Последний, реагируя с молекулой пигмента, вызывает обесцвечивание. Лазерная технология отбеливания позволяет устранить практически любой вид окрашивания эмали и отбелить зубы на 8—10 ступеней по шкале VITA. Желтый и коричневый пигменты чувствительны к свету аргонового лазера, а голубой и черный — к инфракрасным лучам углекислого лазера);
-
освечивание. Дополнительное воздействие на отбеливатель ультрафиолетового света или света лампы для полимеризации композитных пломб;
-
рН-фактор. Оптимальное значение рН для перекиси водорода от 9,5 до 10,8;
-
время. Существует прямая пропорциональная зависимость: чем больше экспозиция, тем выраженнее эффект.
Местные противопоказания к проведению отбеливания:
-
большая пульпарная полость, так как возможна гиперестезия;
-
значительные обнажение корней и убыль эмали, обширные реставрации, наличие пломб с плохим краевым прилеганием, выраженные воспалительные, явления в пародонте;
-
нельзя отбелить зубы у злостного курильщика.
Общие противопоказания:
-
беременность и кормление грудью. Влияние отбеливания на организм беременной не изучено, поэтому стоматолог должен рекомендовать воздержаться от проведения отбеливания в течение нескольких месяцев;
-
наличие аллергической реакции на перекись водорода. Мягкие ткани полости рта следует изолировать коффердамом.
Существуют также местные противопоказания5.
-
Крупная пульпарная камера зубов. Проникновение отбеливающего агента в дентин и близко к пульпе может вызвать гиперестезию зубов.
-
Наличие кариозных полостей.
-
Наличие некариозных поражений (эрозий и т. д.). Проведение отбеливания в этом случае обязательно приведет к усилению или развитию выраженной гиперестезии.
-
Значительная убыль эмали в результате патологической или возрастной стираемости, глубокие трещины на поверхности эмали.
-
Ортодонтическое лечение.
-
Наличие пломб сомнительного качества, которые необходимо заменить из-за негарантированного краевого прилегания.
-
Наличие острых и обострение хронических заболеваний пародонта, а также таких явлений, как рецессия десны, обнажение корней зубов и зубные отложения.
-
Заболевания слизистой оболочки рта.
В процесс отбеливания, как правило, не включают моляры. Для наглядности эффекта отбеливания эту процедуру лучше проводить раздельно на зубах верхней и нижней челюстей.
3. Проведение отбеливания
Проведение отбеливания в стоматологическом кабинете (методика для "живых" зубов).
1. Перед отбеливанием необходимо сфотографировать зубы или определить цвет, используя шкалу VITA.
2. Ткани десны лучше покрыть герметиком типа "Орасил", причем наносить его следует как с вестибулярной, так и с оральной стороны.
Характеристики
Тип файла документ
Документы такого типа открываются такими программами, как Microsoft Office Word на компьютерах Windows, Apple Pages на компьютерах Mac, Open Office - бесплатная альтернатива на различных платформах, в том числе Linux. Наиболее простым и современным решением будут Google документы, так как открываются онлайн без скачивания прямо в браузере на любой платформе. Существуют российские качественные аналоги, например от Яндекса.
Будьте внимательны на мобильных устройствах, так как там используются упрощённый функционал даже в официальном приложении от Microsoft, поэтому для просмотра скачивайте PDF-версию. А если нужно редактировать файл, то используйте оригинальный файл.
Файлы такого типа обычно разбиты на страницы, а текст может быть форматированным (жирный, курсив, выбор шрифта, таблицы и т.п.), а также в него можно добавлять изображения. Формат идеально подходит для рефератов, докладов и РПЗ курсовых проектов, которые необходимо распечатать. Кстати перед печатью также сохраняйте файл в PDF, так как принтер может начудить со шрифтами.















