90841 (679503)
Текст из файла
Брекеты
На сегодняшний день в современной стоматологии для исправления аномалий прикуса широко используется брекет-система.
Брекеты выпрямляют зубную дугу с помощью постоянной фиксации на зубы в определенный период времени.
Брекеты представляют собой ряд маленьких замков, прикрепленных на передней поверхности зубов, соединяясь между собой металлической дугой. Посредством этой дуги происходит желаемое перемещение зубов. Дуга изготавливается из материала (никель-титановый сплав), обладающей памятью формы. Сначала дуге задается форма, а после ее фиксации на зубы, она начинает стремиться к заданной форме.
Когда используются брекеты?
1. при исправлении аномалий прикуса
2. используются для перемещения зубов.
3. при исправлении диастем и тремм (наличие промежутка между зубами).
4. для вытягивания зубов в случае затрудненного прорезывания зубов.
5. при лечении деформаций зубных рядов, возникших вследствие потери зубов.
Виды брекетов
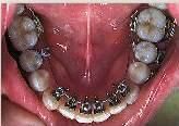
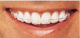
В современной стоматологии существуют разные виды брекетов: керамические, металлические, сапфировые, лингвальные (фиксируются на язычной поверхности зубов).
Керамические брекеты
Они изготавливаются из керамики. Керамические брекеты на сегодняшний день широко используются. Они пользуются большой популярностью у взрослых пациентов, т.к. более эстетичны, чем металлические.
Преимущества:
- Керамические брекеты незаметны, т.к. они подбираются по цвету зубов.
- Они более комфортабельны, чем металлические, и не раздражают десна.
- Они прочны, не ломаются, очень прочно прикрепляются к зубам.
Недостатки:
Недостатки керамических брекетов относительны.
- Керамические брекеты обычно дороже, чем традиционные металлические.
- Лечение керамическими брекетами более длительный процесс, чем металлическими.
Обычно они по размеру больше, чем металлические.
Металлические брекеты
Раньше металлические брекеты были не просто брекетами, а в виде больших колец вокруг зуба. В настоящее время металлические брекеты маленькие, прикрепляются на передней поверхности зубов. Металлические брекеты по сей день активно используются, они недорогие, самые дешевые среди имеющихся брекетов. Металлические брекеты могут быть серебренные или золотые.
Преимущества:
- Металлические брекеты более доступны по цене.
-
Они более прочны и не подвержены переломам.
-
-
Недостатки:
-
- Металлические брекеты недостаточно эстетичны.
-
- Вначале они могут оказаться недостаточно комфортными, но привыкание появится через несколько недель.
-
- В начале они могут вызвать раздражение десен, но эти проблемы исчезнут через несколько недель.
-
Лингвальные брекеты
-
Лингвальные(язычные) брекеты фиксируются на язычной поверхности зубов, тем самым, они не заметны. Обычно лингвальные брекеты изготавливаются из металла.
-
-
Преимущества:
-
- Они незаметны!
-
Недостатки:
-
- Лингвальные брекеты мешают языку, т.к. они фиксируются на язычной поверхности зубов, тем самым, затрудняя речь.
-
- Лингвальные брекеты более дорогие.
-
- Лечение лингвальными брекетами займет на несколько месяцев больше времени, чем традиционными.
-
Сапфировые брекеты
-
-
Сапфировые брекеты изготавливаются из чистого монокристаллического сапфира, и очень прозрачные. Они очень эстетичные и прочные. Сапфировые брекеты не подвержены окрашиванию, налет на них не скапливается.
-
Если зубы очень светлые, тогда сапфировые брекеты самый подходящий вариант, т.к. они прозрачные. А если зубы не очень светлые, тогда сапфировые брекеты не самый лучший вариант. В таких случаях предпочтение отдается керамическим брекетам.
-
Сколько нужно носить брекеты?
-
Сроки ношения брекетов индивидуально, в зависимости от клинического случая. Средний срок ношения брекетов длится 2 года.
-
После снятия брекетов, существует период поддерживания, т.е. в этот период доктор изготовит Вам специальный ретейнер, сделанный из пластика. Он тонкий, удобный в ношении, не содержит металические элементы. Дело в том, что после достигнутого эффекта ретейнер обеспечивает выпрямленное положение зубов, и предотвращает рецидив. После изготавления ретейнера, доктор Вам скажет, на какой срок нужно его носить.
Характеристики
Тип файла документ
Документы такого типа открываются такими программами, как Microsoft Office Word на компьютерах Windows, Apple Pages на компьютерах Mac, Open Office - бесплатная альтернатива на различных платформах, в том числе Linux. Наиболее простым и современным решением будут Google документы, так как открываются онлайн без скачивания прямо в браузере на любой платформе. Существуют российские качественные аналоги, например от Яндекса.
Будьте внимательны на мобильных устройствах, так как там используются упрощённый функционал даже в официальном приложении от Microsoft, поэтому для просмотра скачивайте PDF-версию. А если нужно редактировать файл, то используйте оригинальный файл.
Файлы такого типа обычно разбиты на страницы, а текст может быть форматированным (жирный, курсив, выбор шрифта, таблицы и т.п.), а также в него можно добавлять изображения. Формат идеально подходит для рефератов, докладов и РПЗ курсовых проектов, которые необходимо распечатать. Кстати перед печатью также сохраняйте файл в PDF, так как принтер может начудить со шрифтами.















