UZI (678136)
Текст из файла
У
РАЛЬСКАЯ ГОСУДАРСТВЕННАЯ МЕДИЦИНСКАЯ
АКАДЕМИЯ ДОПОЛНИТЕЛЬНОГО ОБРАЗОВАНИЯ
РЕФЕРАТ
на тему:
«Ультразвуковая диагностика воспалительных заболеваний придатков матки».
Выполнил: Кравченко С.В.
г. Оренбург 2000г.
Ультразвуковая диагностика воспалительных заболеваний придатков матки.
В настоящее время ультразвуковое сканирование рассматривают как один из наиболее доступных и достоверных методов инструментальной диагностики воспалительных заболеваний внутренних половых органов. Этому главным образом способствовало появление приборов, работающих в режиме реального времени по принципу «серой шкалы» - системы многотонального изображения.
Однако, по мнению клиницистов, детальная интерпретация эхограмм, полученных при сканировании по методике «наполненного мочевого пузыря», нередко вызывает определённые трудности, обусловленные идентичностью акустических импедансов различных тканей. Прямые УЗ-признаки воспалительного процесса удаётся зарегистрировать в среднем у 30% - 40% больных[2]. Лишь при гидросальпингсах, являющихся следствием острого сальпингита или обострения хронического сальпингита, точность диагностики достигает 100%.
Данные литературы последних лет свидетельствуют о том, что наиболее характерные и диагностически значимые эхографические критерии различных клинических форм воспалительных заболеваний придатков матки удаётся выделить только с помощью трансвагинального ультразвукового сканирования.
Внедрение в клиническую практику трансвагинальной эхографии позволило одномоментно устранить недостатки, свойственные трансабдоминальному сканированию.
Во-первых, повысилась информативность ультразвукового исследования вследствие уменьшения расстояния между эхопреобразователем и изучаемым органом или новообразованием, а также преимущественного использования высокочастотных датчиков.
Во-вторых, отсутствие необходимости «наполнения» мочевого пузыря сделало возможным применение трансвагинальной эхографии в ургентной гинекологии.
В-третьих, при трансвагинальном сканировании наличие ожирения или обширного спаечного процесса не оказывает выраженного влияния на визуализацию матки и придатков.
В-четвёртых, трансвагинальная эхография не исключает возможности выполнения двуручной манипуляции при исследовании, что значительно облегчает топическую диагностику патологических процессов внутренних половых органов.
Однако считается, что при наличии объёмных образований, диаметр которых превышает 10 см, данные, полученные с помощью чрезвлагалищной эхографии, необходимо дополнить результатами сканирования через переднюю стенку. Последовательное применение обеих методик позволяет получить более обширное пространственное изображение органов малого таза.
В 50%-70% случаев острый воспалительный процесс маточных труб (острый сальпингит) сопровождается выраженной в той или иной степени экссудацией жидкости, которая, накапливаясь в просвете трубы (труб), формирует собственно гидросальпингс. Объём жидкости, замкнутый в полости расширенной маточной трубы, зависит от интенсивности и длительности воспалительного процесса; от анатомических особенностей - протяженности и конфигурации трубы, толщины и тонуса ее мышечной оболочки; от наличия или отсутствия рубцовых изменений в маточной трубе и степени их выраженности. Основные УЗ-признаки гидросальпингса обусловлены накоплением жидкости (воспалительный экссудат) в просвете маточной трубы. В зависимости от выраженности патологического процесса и анатомических особенностей труб возможны три варианта УЗ-картины: 1 - однокамерное жидкостное образование; 2 - многокамерное жидкостное образование; 3 - абсцесс маточной трубы.
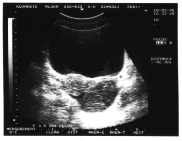
1
Рисунок 1. Однокамерный вариант гидро-сальпингса.
. Однокамерный вариант. В пространстве между одним из яичников и маткой (вдоль боковой стенки матки), то есть в одной из параметральных областей, выявляется жидкостное образование правильной вытянутой формы со значительным преобладанием продольного размера над поперечным. При этом конфигурация патологического очага может быть овальной (рис.1), веретенообразной или S-образной. Структура жидкого содержимого однородная. Матка, эндометрий и яичники не изменены. На стороне поражения почти всегда лоцируется неизмененный яичник. Оптимальные условия для визуализации патологического очага создаются при поперечном обзорном сканировании с использованием способа дозированной компрессии передней брюшной стенки УЗ-датчиком (желательно секторным).Как правило, этот вариант воспаления маточных труб встречается у молодых женщин и часто обнаруживается при первичном обращении к гинекологу.
Дифференциальная диагностика. Распознавание первого варианта гидросальпингса обычно затруднений не вызывает, но при незначительных размерах жидкостного образования возможны трудности и расхождения диагнозов. Для предотвращения таких упущений в процессе УЗ-сканирования, при наличии клинических данных за воспаление придатков, показан тщательный, целенаправленный поиск жидкости, ограниченной стенками маточной трубы.
Иногда бывает довольно трудно отличить крупный кровеносный сосуд, локализующийся в параметральной области, от резко вытянутого гидросальпингса, что наблюдается в случае сильно выраженной мышечной оболочки трубы или при повышенном ее тонусе. Указанные (трубные) факторы способствуют преимущественному распределению воспалительного экссудата в продольном направлении, симулируя просвет сосуда. УЗ-дифференциация между избыточно вытянутым незначительным гидросальпингсом и кровеносным сосудом осуществляется следующим образом: гидросальпингс характеризуется гладкими (ровными или волнистыми) стенками во всех отделах; ширина просвета неравномерная, с плавными сужениями и расширениями; кровеносный сосуд - при полипозиционной эхолокации всегда удаётся увидеть отходящие от основного ствола множественные, более мелкие ветви, определяющие общую ангиоархитектонику жидкостного образования; кроме того, если смещать УЗ-датчик точно по ходу изучаемого сосуда, всегда удается проследить место впадения его в более крупный сосуд или область слияния с другими элементами кровеносной системы.
У большей части больных гидросальпингс лоцируется в нижних отделах малого таза, так как содержащий жидкость участок маточной трубы, под действием силы тяжести заполняющего его экссудата, обычно опускается вниз. Лишь в отдельных случаях гидросальпингс может быть виден в верхних отделах, что объясняется индивидуальными особенностями трубы (выраженная извилистость в сочетании с гипотонусом стенок). В связи с этим, поиск жидкостного образования должен осуществляться на всех уровнях эхолокации. У некоторых пациенток визуализировать в процессе УЗИ незначительный объем жидкости в маточной трубе вообще не представляется возможным. Это происходит, когда из-за давления наполненного мочевого пузыря содержащий воспалительный экссудат отрезок трубы оказывается распластанным между мочевым пузырём, маткой, стенками малого таза и прямой кишкой. В этих наблюдениях целесообразно сделать дополнительное исследование с пустым мочевым пузырём (желательно - ТВ). После опорожнения мочевого пузыря исчезает давление на окружающие его анатомические структуры (декомпрессия малого таза), что способствует расправлению содержащей жидкость маточной трубы, и гидросальпингс становится видимым на эхограммах. Указанный методический прием особенно полезен, когда нет ТВ-датчика. Если же имеется полный комплект сканирующих устройств, то ТВ-УЗИ позволяет без особого труда решить диагностическую задачу.
Не являются исключением случаи однокамерного варианта гидросальпингса, ошибочно расцениваемого, независимо от способа сканирования, как киста яичника. Необходимость дифференциальной диагностики с фолликулярной кистой возникает редко и только при наличии правильной овальной формы гидросальпингса. В 90%-95% случаев, при однокамерном варианте экссудативного сальпингита, конфигурация овального жидкостного образования - неправильная вследствие выраженного преобладания продольного размера патологического очага.
Рисунок 2. Много-камерный вариант гидросальпингса.
. Многокамерный вариант. Локализация такая же, как и при первом варианте, но с большим распространением в латеральном и медиальном направлениях за счёт более крупных размеров патологического очага и часто встречающегося двухстороннего поражения. На эхограммах (условия сканирования прежние, с элементами продольной эхолокации) в одной из параметральных областей с распространением в позадиматочное пространство лоцируется многокамерное жидкостное образование неправильной вытянутой формы, которая зависит от числа камер и степени распространенности процесса. Многокамерность образования обусловлена множественными перетяжками, возникающими либо вследствие перегибов маточной трубы, заполненной воспалительным экссудатом, либо за счет спаек, частично или полностью перекрывающих просвет трубы. Число камер (полостей) колеблется от 2 до 7. Стенки тонкие, контуры чёткие и неровные из-за выпячивания перерастянутых жидкостью стенок маточной трубы. Размеры варьируют в широких пределах, но во всех случаях длина гидросальпингса значительно больше его поперечника. В некоторых наблюдениях длина жидкостного образования достигает 150 мм. Структура содержимого однородная. Крайне редко в одной из полостей видны мелкие эхопозитивные включения линейной формы, низкой эхоплотности (фибрин, детрит), хорошо видимые при ТВ-сканировании. В отличие от других патологических многополостных жидкостных образований встречающихся в малом тазу, для многокамерного гидросальпингса характерно своеобразное расположение составляющих его камер - друг за другом, как звенья цепи. Этот симптом не может считаться патогномоничным, но безусловно является постоянным эхо-признаком данного вида экссудативного сальпингита. Матка не изменена. Яичник на стороне поражения не лоцируется, так как параметральная область и позадиматочное пространство, как правило, полностью заняты патологическим жидкостным объектом. Другой яичник без особенностей.Содержимое одной или нескольких полостей может быть неоднородным из-за множественных эхопозитивных включений, обычно скапливающихся у нижней стенки образования. Эти включения имеют линейный, точечный или нитевидный характер; морфологически - детрит и фибрин. Стенки такой полости (полостей) в 80% диффузно утолщены (до 6 мм) вследствие воспалительной инфильтрации и отёка. Указанная картина бывает при гнойном сальпингите, который, в случае многокамерного варианта гидросальпингса, является осложнением обычного экссудативного воспалительного процесса.
Дифференциальная диагностика. Многокамерный вариант экссудативного сальпингита следует дифференцировать с жидкостными образованиями невоспалительной природы, состоящими из нескольких полостей: многокамерная фолликулярная киста и "простая" псевдомуцинозная киста. Многокамерные фолликулярные кисты, по сравнению с однокамерной формой, встречаются редко. Они возникают в результате слияния друг с другом нескольких неовулировавших доминантных фолликулов в одном из яичников. Число камер обычно не превышает трёх. Большее число камер наблюдается редко и бывает только у женщин с резко выраженными гормональными нарушениями. Эти кисты так же, как и сальпингит, локализуются в одной из параметральных областей, но распространение жидкостного объекта в позадиматочное пространство, что в 90% случаев присутствует при многокамерном гидросальпингсе, встречается редко. Форма фолликулярных кист правильная овальная. И главное, жидкостные образования фолликулярного генеза как правило самоликвидируются после месячных или исчезают под воздействием гормонального лечения.
Псевдомуцинозные кисты ("простые", то есть без внутрикистозных папиллярных разрастаний), для которых характерна многокамерность полости, имеют существенные отличия от многокамерного экссудативного сальпингита:
-
заболевание обычно наблюдается у пожилых женщин; отсутствуют клинические и лабораторные признаки воспаления;
-
патологический объект локализуется выше, чем гидросальпингс и лоцируется в области одного из углов матки;
-
форма неправильная округлая и более крупные размеры;
-
число камер не ограничено;
-
патогномоничным для этих кист является то, что мелкие полости, имеющие вид самостоятельных кист, располагаются внутри более крупных камер, а те в свою очередь - внутри основного патологического жидкостного образования.
3. Абсцесс. В одной из параметральных областей лоцируется однокамерное жидкостное образование правильной округлой, реже овальной формы. Стенки плотные, толщина может достигать 8мм - результат воспалительной инфильтрации стенки трубы; контуры ровные, местами нечёткие и тяжистые за счет спаек. Размеры - не более 70 мм в диаметре. Структура содержимого неоднородная из-за множественных мелких включений (
фибрин, детрит), расположение которых меняется в зависимости от положения пациентки: при горизонтальном положении эти включения равномерно распределяются в полости образования, при вертикальном положении - смещаются в нижнюю часть полости. Аналогичный эффект - п
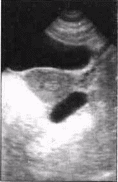
Рисунок 3. Левосторонний пиосальпингс.
одвижность внутриполостных включений, достигается компрессией полости датчиком (особенно ТВ). Этот симптом наблюдается при размерах патологического очага более 40 мм в диаметре. Форма включений либо вытянутая (длиной от 2 до 7 мм), либо они лоцируются как эхопозитивные точки. Плотность их низкая или средняя. Матка имеет обычный вид. У ряда больных на стороне поражения виден неизмененный яичник, оттеснённый в ту или иную сторону за счёт давления образования. Параметральные вены с двух сторон почти всегда расширены. Представленная УЗ-картина может быть расценена как ограниченный гидросальпингс с нагноением или, более точно, абсцесс маточной трубы (тубарный абсцесс).Тубарный абсцесс, по-сравнению с другими формами воспалительных изменений, встречается редко и, в рассмотренном здесь виде, отражает процесс частичной резорбции гноя на фоне продолжающейся экссудации с образованием так называемой "воспалительной кисты". Морфологический субстрат её - гнойный экссудат, ограниченный воспалительно изменёнными, местами истонченными стенками маточной трубы. При деструкции стенки возможен прорыв гнойника в брюшную полость с развитием пельвиоперитонита.
УЗ-диагностика пельвиоперитонита очень трудна и состоит в регистрации того или иного количества свободной жидкости в полости малого таза. Более надежным признаком развития пельвиоперитонита (как правило, ограниченного) служит внезапное исчезновение УЗ-изображения жидкостного образования и появление небольшого объема жидкости в по-задиматочном пространстве. Причем визуализация её затруднена из-за спаек и часто сопутствующего гнойному воспалению пареза кишечника. Необходимо иметь в виду, что ограниченный пельвиоперитонит, возникающий при дренировании абсцесса, нужно рассматривать не как осложнение заболевания, а как закономерный этап его течения под воздействием терапии. Абсцесс маточной трубы в 60%-75% случаев встречается у женщин, ранее перенесших те или иные воспалительные заболевания матки и её придатков.
Дифференциальная диагностика. Эхографическую картину абсцесса маточной трубы необходимо дифференцировать со всеми жидкостными образованиями, локализующимися в параметральных областях и содержащими внутриполостные включения. Речь идёт об эндометриоидных и тератодермоидных кистах.
Характеристики
Тип файла документ
Документы такого типа открываются такими программами, как Microsoft Office Word на компьютерах Windows, Apple Pages на компьютерах Mac, Open Office - бесплатная альтернатива на различных платформах, в том числе Linux. Наиболее простым и современным решением будут Google документы, так как открываются онлайн без скачивания прямо в браузере на любой платформе. Существуют российские качественные аналоги, например от Яндекса.
Будьте внимательны на мобильных устройствах, так как там используются упрощённый функционал даже в официальном приложении от Microsoft, поэтому для просмотра скачивайте PDF-версию. А если нужно редактировать файл, то используйте оригинальный файл.
Файлы такого типа обычно разбиты на страницы, а текст может быть форматированным (жирный, курсив, выбор шрифта, таблицы и т.п.), а также в него можно добавлять изображения. Формат идеально подходит для рефератов, докладов и РПЗ курсовых проектов, которые необходимо распечатать. Кстати перед печатью также сохраняйте файл в PDF, так как принтер может начудить со шрифтами.
















