88551 (677477)
Текст из файла
Министерство здравоохранения РФ
Тюменская государственная медицинская академия
Методология диагностики
торакальных больных
(методическое пособие для студентов)
Тюмень - 2000 г.
Обследование больных заболеваниями легких и плевры в хирургической клинике решает две основные задачи: 1) диагностика основного заболевания и оценка связанных с ним сопутствующих патологических изменений; 2) выяснение состояния основных систем жизнеобеспечения, необходимое для оценки резервных возможностей организма больного и степени его функциональной операбельности.
Все методы диагностики в торакальной хирургии можно разделить на инвазивные и неинвазивные, основные и дополнительные.
ОСНОВНЫЕ МЕТОДЫ
Расспрос больного, изучение его жалоб, особенностей возникновения и развития заболевания, сведений о перенесенных болезнях, образе жизни и работе, вредных привычках являются отправным пунктом для построения плана дальнейшего специального, более углубленного и направленного обследования, определения последовательности применения как простых (физикальных), так и более сложных (инструментальных) методов диагностики.
Наиболее доступные методы исследования — осмотр, пальпация, перкуссия, аускультация — нередко позволяют отметить совокупность признаков или отдельные симптомы, с большой достоверностью характеризующие развитие изменений, которые в сочетании с данными анамнеза дают возможность правильно решить вопрос не только о диагнозе, но зачастую — и лечебной тактике. Полученные сведения позволяют не делать более сложные, часто сопряженные с определенным риском инструментальные исследования.
Нарастающая одышка, расстройства сердечной деятельности, появление подкожной эмфиземы, развившиеся в течение короткого времени вслед за болевыми ощущениями в груди, сочетающиеся с отсутствием или резким ослаблением дыхательных шумов над одним легким, коробочный звук при перкуссии в этой области груди дают возможность распознать спонтанный напряженный пневмоторакс.
Среди основных специальных методов обследования больных заболеваниями легких ведущее место принадлежит рентгенологическому исследованию.
РЕНТГЕНОЛОГИЧЕСКОЕ • ИССЛЕДОВАНИЕ
Обязательным условием рентгенологического исследования больных заболеваниями легких следует считать рентгеноскопию.
Рис. 3. Рак верхней доли левого легкого.
а — прямая рентгенограмма: б — боковая рентгенограмма.
В
первую очередь рентгенологическая диагностика включает ориентировочный осмотр легочных полей, при этом определяются сторона и объем поражения. Обращается внимание на подвижность купола диафрагмы, состояние реберно-диафрагмальных синусов, прозрачность легочных полей, структурность корней легких, размеры и конфигурацию срединной тени, формируемой органами средостения.
Рис. 2. Электрорентгенограмма грудной клетки. Норма.
Последующее рентгенографическое обследование должно углублять и расширять представления о характере изменений в легких и грудной полости. Эти исследования проводят в прямой (переднезадней) и боковой проекциях, дополняя их при необходимости снимками в косых проекциях и прицельными рентгенограммами (рис. 1). Важным достоинством рентгенографии являются объективность и достоверность полученных результатов, возможность сопоставления с данными ранее проведенных рентгенографических обследований, т. е. возможность динамического наблюдения. Последнее нередко является одним из важнейших факторов для установления правильного диагноза.
Рентгенографическое обследование в двух проекциях позволяет с наибольшей точностью определить локализацию и распространенность поражения легких, изменения в средостении, состояние междолевых щелей, оценка и сопоставление степени прозрачности участков легкого в различных его отделах, мельчайшие очаговые тени, что особенно ценно при проведении дифференциального диагноза между туберкулезом легких, саркоидозом, пневмокониозом и другими заболеваниями, дающими исходные рентгенологические изменения.
Для улучшения визуализации трахеобронхиального дерева и уплотненных лимфатических узлов средостения используются так называемые переэкспонированные снимки грудной полости. На них особенно четко определяются элементы корня легкого на фоне как бы выведенного на «второй план» легочного рисунка.
Для получения первой, наиболее общей, информации о характере рентгенологических изменений в легких и грудной полости (наряду с флюорографией) в некоторых клиниках стала использоваться электрорентгенография. Важнейшим достоинством метода электрорентгенографии являются его высокая экономическая эффективность, исключение расходов на оснащение специальных фотолабораторий и реактивов, необходимых для рентгенографии. Процесс электрорентгенографии не зависит от водоснабжения, получение крупноформатных снимков происходит на свету. Изображение воспроизводится на селеновой пластине и затем переносится на бумагу (рис. 2).
Электрорентгенография имеет неоспоримые преимущества при проведении неотложной рентгенологической диагностики.
Томографическое (послойное) исследование. Томографическое исследование органов грудной полости также выполняется в прямой и боковой проекциях. Количество томограмм, выполняемых при различных патологических изменениях в органах грудной полости, зависит от поставленных задач и определяется для каждого больного индивидуально. При необходимости томограммы, сделанные в прямых проекциях, могут быть дополнены томограммами в косых проекциях. Оптимальными срезами считаются срезы в промежутке от 8 до 12 см, отступя от остистых отростков позвонков. Выполнение томографического исследования позволяет уточнить данные, полученные при обзорной рентгенографии: определяются точная локализация и характер патологического процесса в легком, его распространенность, отношение к сосудам и бронхам легкого, плевре и органам средостения. С помощью томографии удается оценить проходимость трахеи и бронхов, выявить в просвете дыхательных путей новообразования, инородное тело. Томография служит важным вспомогательным приемом для изучения характера изменений в лимфатических узлах средостения, в костных образованиях, формирующих каркас грудной полости.
В
озможности рентгенологической диагностики заметно расширились за счет становления и клинического использования компьютерной рентгенотомографии. По сравнению с обычной рентгенографией компьютерная рентгенография имеет в десятки раз большую разрешающую способность и позволяет различать ткани с разностью по плотности до 0,5 %. Это дает возможность четко определять границу между нормальной и патологически измененной легочной тканью. На компьютерных томограммах органов грудной полости удается не только локализовать патологический очаг, но и определить его размеры, оценить плотность и однородность, соотношение с соседними анатомическими образованиями и органами.
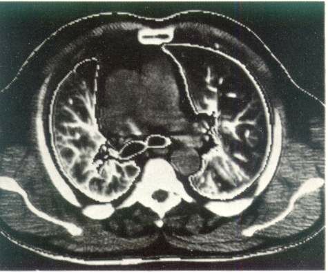
Рис. 3. Компьютерная томография органов грудной клетки. Норма.
Компьютерная томография дает возможность получить наиболее полную рентгенологическую информацию об опухолях и кистах средостения, сосудистых изменениях в легких, аневризмах, о состоянии трахеобронхиального дерева, характере и структуре «шаровидных образований в легких», патологических изменениях в плевре, грудной стенке, особенно при ее злокачественных поражениях (рис. 3).
БРОНХОСКОПИЯ
Эндоскопическому обследованию трахеобронхиального дерева придается очень большое значение, так как с его помощью у большинства больных получают достоверную информацию о характере изменений в трахеобронхиальном дереве, что особенно важно в диагностике опухолевых заболеваний трахеи и бронхов.
Диагностические возможности бронхоскопии расширялись по мере совершенствования и создания новых моделей бронхоскопов. Бронхоскопы конструкции Брюнингса, Мезрина постепенно уступили место более удобной и безопасной модели бронхоскопа системы Фриделя.
Последний обеспечивает адекватную вентиляцию легких во время бронхоскопии. Бронхоскопы этой конструкции (так называемые «дыхательные») до настоящего времени широко используются в бронхологической, пульмонологической и хирургической практике.
Применение оптических приставок в сочетании с надежной, устойчивой вентиляцией легких, снабжение дыхательных бронхоскопов источниками «холодного» света во многом определили широкое применение жестких моделей бронхоскопов. Несомненным достоинством дыхательных бронхоскопов является возможность выполнения с их помощью не только диагностических, но и некоторых лечебных манипуляций на бронхах (удаление инородных тел и небольших доброкачественных опухолей при помощи набора щипцов, обработка слизистой оболочки лекарственными препаратами, в том числе лечение бронхиальных свищей). Дыхательные бронхоскопы жесткой конструкции позволяют выполнить длинной иглой пункционную трансбронхиальную биопсию бифуркационных и некоторых групп внутрилегочных лимфатических узлов. С помощью дыхательных бронхоскопов выполняют лечебные окклюзии бронхиального дерева при гнойно-деструктивных поражениях легких, пневмотораксе, а также осуществляют дренирование бронхов.
Вместе с тем диагностические возможности жестких моделей бронхоскопов ограничиваются пределами главных, долевых и начальными отделами сегментарных бронхов, т. е. центрально расположенными отделами дыхательных путей. Это обусловлено жесткостью конструкции и относительно крупными их размерами. Оптические приставки позволяют только осмотреть начальные отделы сегментарных бронхов и исключают возможность выполнения биопсии. Кроме того, повышенная травматичность исследования трахеобронхиального дерева с помощью жестких моделей бронхоскопов вынуждает прибегать при их применении к общему обезболиванию.
Дальнейшее развитие бронхоскопической диагностики проявилось в связи с созданием и использованием волоконно-оптических эндоскопов — фибробронхоскопов.
К числу наиболее важных достоинств фибробронхоскопов относятся высокая эластичность прибора, небольшие размеры диаметра диагностического тубуса (до 6 мм), надежная система мощного потока «холодного света». Диагностический канал фибробронхоскопа и набор биопсийных щипчиков и скарификаторов позволяют получать материал для морфологического исследования не только из отделов трахеобронхиального дерева, доступных визуальному контролю, но и из более дистальных. С помощью волоконно-оптических моделей фибробронхоскопа стали возможны детальный осмотр бронхиального дерева и получение материала для морфологического изучения вплоть до сегментарных, субсегментарных, а для отдельных долей (нижней, средней, части сегментов верхних долей) — и суб-субсегментарных бронхов.
Диагностическая ценность фибробронхоскопии заметно повышается при дополнении визуального исследования взятием материала для морфологического (гистологического и цитологического) изучения: щипцовой и скарификационной биопсией, направленной аспирацией промывных вод из участков предполагаемого поражения легкого.
Конструкция современных волоконно-оптических бронхоскопов позволяет широко проводить обследование трахеобронхиального дерева с использованием местного обезболивания.
Проведению бронхологических обследований способствует также появление новых терминальных анестетиков, обладающих широким диапазоном терапевтического действия и невысокой токсичностью (лидокаин, тримекаин). Они пришли на смену ранее использовавшимся для этих целей препаратам типа дикаина, нередко вызывавшим у обследуемых тяжелые общие расстройства.
Основным для использования фибробронхоскопа является местное обезболивание ингаляцией аэрозоля раствора лидокаина. Ингаляционную аэрозольную анестезию удобно выполнять при помощи аэрозольного ингалятора, который обеспечивает создание аэрозольного потока раствора. После анестезии раствор лидокаина распределяется на поверхности слизистых оболочек трахеи и бронхов. Как правило, к моменту завершения обезболивания появляются чувство «неловкости при глотании» и своеобразное ощущение «облегчения глубины вдоха».
Несмотря на достоинства фибробронхоскопии под местным обезболиванием, полностью отказаться от применения наркоза при этом исследовании не представляется возможным. У многих больных только под наркозом, в условиях полной релаксации, обеспечивается доступность визуальной диагностики изменений в трахеобронхиальном дереве. К числу таких больных относятся лица с неустойчивой, эмоционально-лабильной психикой, дети, а также больные с признаками аллергизации к препаратам, используемым для местного обезболивания. Кроме того, бронхологическое обследование целесообразно выполнять под наркозом в тех случаях, когда диагностика затруднительна: обследование продолжается длительное время или требуется совместный осмотр и обсуждение выявленных изменений несколькими специалистами.
Распознавание изменений в трахеобронхиальном дереве, определение и оценка признаков развития заболевания представляют весьма ответственную задачу и требуют применения специальных методических приемов. Это тем более важно, что информация, получаемая в процессе осмотра трахеобронхиального дерева, во многом определяет весь ход последующего бронхологического обследования, а иногда — и лечебную тактику. Поэтому при осмотре через фибробронхоскоп следует придерживаться единой системы, предусматривающей получение наиболее полных данных о состоянии и изменениях в трахеобронхиальном дереве.
В обязательном порядке оценивается состояние всех доступных осмотру отделов трахеобронхиального дерева. Особое внимание уделяется области тех изменений, которые отмечены при рентгенологическом обследовании.
После проведения тубуса фибробронхоскопа в гортань тщательно осматривают голосовые связки. При этом оценивают характер и степень их подвижности: ограничение подвижности (парез) голосовой складки может свидетельствовать о вовлечении в патологический процесс возвратной ветви блуждающего нерва.
В трахее детально осматривают ее стенки (передняя, задняя, боковые) на всем протяжении — от подскладочного пространства до бифуркации — места ее деления на правый и левый главные бронхи.
Информация, получаемая на этом этапе бронхоскопии, может быть несколько расширена за счет приема, позволяющего оценить подвижность отдельных участков трахеи и бронхов (стенок, гребешков). Если при проведении исследований жесткими моделями бронхоскопов смещение стенок и гребешков трахеи и бронхов тубусом эндоскопа выполняется без особого труда, то для эластичных эндоскопов с волоконной оптикой это трудновыполнимо.
Характеристики
Тип файла документ
Документы такого типа открываются такими программами, как Microsoft Office Word на компьютерах Windows, Apple Pages на компьютерах Mac, Open Office - бесплатная альтернатива на различных платформах, в том числе Linux. Наиболее простым и современным решением будут Google документы, так как открываются онлайн без скачивания прямо в браузере на любой платформе. Существуют российские качественные аналоги, например от Яндекса.
Будьте внимательны на мобильных устройствах, так как там используются упрощённый функционал даже в официальном приложении от Microsoft, поэтому для просмотра скачивайте PDF-версию. А если нужно редактировать файл, то используйте оригинальный файл.
Файлы такого типа обычно разбиты на страницы, а текст может быть форматированным (жирный, курсив, выбор шрифта, таблицы и т.п.), а также в него можно добавлять изображения. Формат идеально подходит для рефератов, докладов и РПЗ курсовых проектов, которые необходимо распечатать. Кстати перед печатью также сохраняйте файл в PDF, так как принтер может начудить со шрифтами.















