2927-1 (675959), страница 3
Текст из файла (страница 3)
Отечественные биологи (Институт биологии гена РАН, Харьковский институт криобиологии и фирма «Виола») впервые разработали оригинальную методику индукции в культуре: стромальные стволовые клетки дифференцировались в направлении клеток, похожих на клетки островков Лангерганса, содержащих инсулин. Наличие этого белка в них определяли с помощью современных методов молекулярной биологии и цитологии. Самое интересное, что в культуре эти клетки формируют структуры, напоминающие островки Лангерганса. Не исключено, что в далекой перспективе они станут незаменимы для лечения диабета.
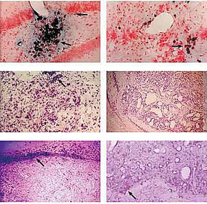
Интересную совместную работу провели сотрудники трех академических научных учреждений — Института биологии гена, Института биологии развития и Института молекулярной биологии. При пересадке кусочков эмбриональной нервной ткани дрозофилы в мозг крысы заметили, что вокруг трансплантата не формируется рубцовая ткань. Оставалось выяснить, за счет чего это происходит. С помощью достаточно тонких экспериментов удалось установить, что образованию рубца препятствуют белки теплового шока, которые синтезируются в клетках дрозофилы при температуре тела млекопитающих. Значит, добавление ксенотрансплантата (ткани дрозофилы) к эмбриональной нервной ткани крысы спасает аллотрансплантат от нашествия рубцовой ткани (рис.7). Так появилась возможность использовать белки теплового шока в клеточной и генной терапии различных заболеваний.
Рис.7. Трансплантация клеток дрозофилы в мозг крысы (ксенотрансплантация). а, б — меченые клетки дрозофилы (стрелки) в мозге крысы; в — аллотрансплантат эмбриональной нервной ткани крысы в сочетании с ксенотрансплантатом (стрелка); г — стимуляция роста кровеносных сосудов ксенотрансплантатом; д — рубцовая ткань (стрелка) на границе аллотрансплантат/ткань хозяина; е — добавление ксенотрансплантата к аллотрансплантату блокирует образование рубца.
Подобные исследования позволят создавать генно-инженерные конструкции для трансформации стволовых клеток, предназначенных для пересадки. Эти структуры помогут лучшему приживлению трансплантата, повысят его жизнеспособность и специализацию составляющих его клеток.
Необходимо сравнить и внимательно проанализировать результаты трансплантации стволовых клеток в виде цельных или диссоциированных на клетки нейросфер и разработать соответствующий протокол для клинического использования.
Впрочем, нельзя не сказать о том, что из достаточно авторитетных лабораторий раздаются весьма скептические отклики на такие работы и предупреждения о необходимости осторожно интерпретировать полученные данные. Приводятся факты, свидетельствующие, что стволовые клетки не дифференцируются после их трансплантации, а сливаются со специализированными клетками хозяина, создавая видимость собственной дифференцировки. Некоторые авторы считают, что стромальные клетки костного мозга способны превращаться только в клетки хряща и кости, а при их инъекции реципиенту оседать там, откуда «пришли», т.е. в костном мозгу, в связи с чем перспективы их использования в клеточной терапии ставятся под сомнение. Очевидно, необходимы дополнительные серьезные исследования для ответа на поставленные вопросы и выдвинутые возражения.
Список литературы
1. Корочкин Л.И. Биология индивидуального развития. М., 2002.
2. Репин В.С., Ржанинова А.А., Шаменков Д.А. Эмбриональные стволовые клетки: фундаментальная биология и медицина. М., 2002.
3. Репин В.С., Сухих Г.Т. Медицинская клеточная биология. М., 1998.
4. Онтогенез. 2003. Т.34. №3. Выпуск целиком посвящен проблеме стволовых клеток.
















