referat (645719), страница 3
Текст из файла (страница 3)
В
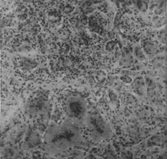
Рис. 1. Острая форма болезни Боткина (мальчик 4—6 месяцев). Рассеянные некрозы печеночных клеток. В просветах капилляров скопление макрофагальных клеток с явлениями фагоцитоза.
о II фазе — разгар заболевания (желтушный период) — количество клеточных инфильтратов в портальных полях увеличивается, они содержат примесь плазматических клеток и сегментоядерных лейкоцитов, располагаются то диффузно, то перилобулярно вокруг желчных прекапилляров (холангиол), то вокруг вен или желчных протоков портальной триады. (см. отд. табл., рис. 2). Разрыхление стромы, отек и инфильтраты могут распространиться и на стенку желчного пузыря, особенно на его ложе (процессы, которые возникают иногда еще в преджелтушном периоде заболевания). Некрозы эпителиальных клеток нарастают, могут сосредоточиться в центрах долек, обусловливая разрежение их. Значительно нарастают процессы регенерации печеночных клеток, причем митотическое деление сменяется амитотическим. Помимо внутридольковой, отмечается регенерация и по периферии долек в виде пролиферирующих холангиол. Увеличиваются и внутридольковые клеточные инфильтраты. Некоторые желчные капилляры заполняются желчными тромбами, чему соответствуют клинически выраженные признаки механической желтухи. В этой фазе отмечается некоторое огрубение стромы: пролиферация и коллагенизация аргирофильных волокон как внутри дольки, так и по ее периферии. В III фазе (период выздоровления) перипортальные инфильтраты уменьшаются, убывает количество некротизированных печеночных клеток, нарастают процессы амитотического деления клеток. Внутрпдольковая пролиферация мезенхимальных клеток стихает, становится более очаговой и узелковой.
Е
Рис. 2. Болезнь Боткина (девочка 4 года). Персистирование инфильтратов в портальном тракте после клинического выздоровления.
ще некоторое время после клинического выздоровления о незаконченности процессов восстановления свидетельствуют: лимфогистиоцитарные инфильтраты в портальной зоне (рис. 2), полиморфизм печеночных клеток, обилие многоядерных печеночных клеток, наличие липофусцина, а иногда и железосодержащего пигмента в ретикулярных клетках и наличие желчных тромбов в отдельных желчных капиллярах. Спустя более или менее длительный период (3—4 мес.) после перенесенной Б. б., наступает либо полное морфологическое восстановление, либо обнаруживаются остаточные изменения, выражающиеся в очаговом, портальном или центральном фиброзе; последний, как показывают исследования сериальных пункционных биопсий печени, с течением времени иногда полностыо исчезает. Интенсивность описанных воспалительных, некротических и регенеративных процессов может значительно варьировать: в некоторых случаях легкого течения II фаза полностью выпадает, и I фаза непосредственно переходит в III. Морфологические изменения печени при желтушной и безжелтушной формах Б. б. при инфекционном гепатите (спонтанном) и при сывороточном (шприцевом) одинаковы. Морфологические изменения печени при рецидивах Б. б. и повторных заболеваниях аналогичны изменениям при острой форме.Одним из возможных вариантов течения Б. б. является перихолангиолитическпй или холестатический гепатит, при котором клинически на первый план выступают признаки механической желтухи (более или менее выраженные и при обычном течении болезни) при отсутствии препятствий во внепеченочных желчных ходах. При микроскопическом исследовании находят:
-
нерезкие изменения печеночных клеток;
-
наличие клеточных инфильтратов по периферии печеночных долек, вокруг желчных прекапилляров — холангиол, а также вокруг желчных протоков портальной триады;
-
явления внутрипеченочного стаза с желчными тромбами в желчных капиллярах и прекапиллярах. Течение болезни чаще затяжное с длительной желтухой.
М
орфологическим своеобразием отличается Б. б. у новорожденных, возникающая в результате трансплацентарной передачи вируса плоду от беременной больной или вирусоносительницы. Своеобразие это заключается в присутствии многоядерных гигантских клеток типа симпластов, встречающихся при вирусном гепатите также у детей раннего возраста (рис. 3), иногда и у взрослых. Есть основания предполагать (Тер-Григорьева), что внутрипеченочные атрезии желчных путей, обнаруживаемые у новорожденных, могут быть патогенетически связаны или с внутриутробным гепатитом плода, или с порочным развитием печени плода в результате трансплацентарного воздействия вирусной инфекции беременной. Описываются также врожденные
пороки развития центральной нервной системы у детей, матери которых страдали
Боткина болезнью на ранних этапах беременности.
В
Рис. 3. Затяжная форма болезни Боткина (мальчик 1 года 8 мес.) Гигантоклеточный метаморфоз печеночных клеток.
небольшом проценте случаев обычное течение Б. б. осложняется массивным некрозом печеночных клеток, что сопровождается клинической картиной острой недостаточности печени и квалифицируется анатомически как острая токсическая дистрофия печени или острая атрофия. Отмечаемые макроскопически дряблость печени и уменьшение ее размеров (рис. см. отд. табл., рис. 3) зависят но только от гибели паренхимы, но и от уменьшения кровенаполнения в спавшейся строме. При более медленном развитии некрозов — при подострой дистрофии печени — на фоне большой убыли паренхимы и воспалительных инфильтратов четко выступают процессы регенерации и некоторая коллагенизация стромы, что обусловливает более плотную консистенцию печени. Исход острой и подострой дистрофии печени — летальный или в узловую гиперплазию с рубцеванием, или в постнекротический цирроз печени.Из внепеченочных изменений, наблюдаемых при острой и подострой дистрофии печени, осложняющих Б. б., наблюдаются: в мозгу резкие пиркуляторные нарушения, тяжелые дистрофические изменения нервных клеток; в почках — дистрофические изменения, доходящие до некротического нефроза; острые некрозы в поджелудочной железе; геморрагический диатез; нередко асцит в сочетании с отеками; гиперплазия портальных лимфатических узлов и селезенки с миелозом пульпы; дистрофия мышцы сердца; умеренный глыбчатый распад волокон поперечноисчерченных мышц (особенно икроножных).
У лиц, перенесших острую форму Б. б., наблюдаются нередко функциональные нарушения при отсутствии в печени морфологических признаков воспаления (билиарно-болевой синдром, связанный с дискинезиямн желчных путей; рецидивирующая постгепатическая гипербилирубинемия и др.); они имеют обычно благоприятный исход.
Затяжные и хронические формы Б. б. можно разделить на 2 группы:
1
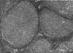
Рис. 4. Лаеннековсний цирроз печени. Длительность болезни 5 лет (девочка 12 лет). Узлы регенератов, окруженные узкими тяжами соединительной ткани.
. Затяжной и хронический, вяло протекающий, персистирующий гепатит с умеренными воспалительными инфильтратами в портальных полях, очаговыми — внутри долек, с некоторой коллагенизацией стромы и портальным фиброзом. Особенно затягивается перихолангиолитический вариант гепатита с явлениями внутрипеченочного холестаза и длительной желтухи. При сочетанием вовлечении в воспалительный процесс желчных путей, вызванном основной вирусной инфекцией (воспалительные лимфоидные инфильтраты, отек и фиброз вокруг желчных протоков и в стенке желчного пузыря, без наличия экссудата в просвете желчных путей) возникает билиарно-болевой синдром, обусловленный функционально-органическим поражением желчных путей. Не исключена возможность вторичной бактериальной инфекции (гематогенной или восходящей из двенадцатиперстной кишки). При персистирующем гепатите может возникнуть выраженный гемолитический синдром с увеличением селезенки. Затяжной и хронический персистирующий гепатиты обычно оканчиваются выздоровлением с остаточным фиброзом. 2. Хронический прогрессирующий гепатит с рецидивами и обострениями характеризуется сочетанным диффузным поражением паренхимы и стромы печени и соответствует клинико-анатомическому понятию цирроза печени (см. рис. 4 и отд. табл., рис. 4 и 5). Имеющиеся при этом воспалительные инфильтраты в строме, дистрофически некротические изменения печеночного эпителия, процессы узловой регенерации, диффузное разрастание соединительной ткани с нарушением сосудистой структуры, с образованием портально-печеночных анастомозов ведут к полной перестройке печени, вовлекая в страдание ряд органов и систем организма. В связи с этим возникают различные клинические варианты течения: с выраженным гепатолиенальным синдромом Банти и явлениями гиперспленизма и анемии, с гепато-церебральным синдромом, изредка с картиной гепатолентикулярной дегенерации. Бурный рост регенератов в печени может привести к развитию первичного рака печени с метастазами в другие.
Психические расстройства при болезни Боткина. Указание на изменения психики при Б. б. имеются у С. П. Боткина (1888). Наиболее полно этот вопрос освещен Д. П. Франком в 1921 г. Психические расстройства не являются специфическими, степень и характер их изменяются в зависимости от периода и тяжести заболевания. Возраст, пол, конституциоальные особенности существенного значения не имеют. Психические расстройства наиболее выражены и разнообразны у лиц, злоупотреблявших алкоголем и перенесших травму головы. В преджелтушном периоде ранними симптомами являются: нарушение сна (чаще бессонница, реже сонливость), вялость, замедленность течения ассоциативных процессов, психическая истощаемость, апатия. В период развившейся желтухи безразличие сменяется гневливостью, раздражительностью, нередко появляются подавленность, беспокойство, тревога, мысли о неизлечимости. Иногда эмоциональному угнетению соответствует двигательная расторможенность, суетливость. Тяжесть психических расстройств не всегда параллельна выраженности желтухи. У больного может наблюдаться и повышенное настроение, от легкой до выраженной степени эйфории с двигательным и речевым возбуждением и с недооценкой тяжести заболевания. Состояние повышенного настроения может развиться вслед за депрессивным. Описанные эмоциональные нарушения кратковременны, ограничиваются днями. В отдаленном периоде после болезни в различные сроки, от одного до нескольких месяцев, могут наблюдаться остаточные явления в виде неустойчивости настроения, повышенной психической истощаемости. При хронических репидивирующпх формах болезни на первый план выступают стойкие нарушения памяти, гл. обр. запоминания. В терминальном периоде (при токсической дистрофии печени) психические расстройства могут выступать на первое место. Психомоторное возбуждение, расстройство сознания различной глубины и степени являются при этом наиболее частыми симптомами. В случае психомоторного возбуждения следует прибегать к введению внутримышечно 25% раствора сернокислой магнезии в количестве от 5 до 15 мл.
Боткина болезнь у детей. После введения в Москве обязательной регистрации заболеваний Б. б. в 1949 г. среди зарегистрированных преобладали дети до 15 лет, взрослые же составляли всего 19% всех заболевших (М. Л. Бутягина). Наряду с описанными у взрослых путями заражения, у детей первых месяцев жизни наблюдаются случаи внутриутробного заражения — от матерей, которые незадолго до родов болели Б. б. (Н. П. Ланговой). Замена противокоревой сыворотки гамма-глобулином направлена против возникновения сывороточного гепатита.
Болезнь в большинстве случаев начинается остро с повышением температуры и явлениями начального токсикоза. Ребенок становится вялым, апатичным, адинамичным и сонливым. Кроме тяжелых и легких форм, могут иметь место все виды переходных форм. Редко болезнь начинается с затемнения сознания, судорог и менингеального синдрома. У 1/3 больных отмечаются катаральные явления (гиперемия зева, насморк, чихание и др,). Аппетит резко снижается; у большинства детей отмечается тошнота, рвота, боли в животе (у маленьких детей в области пупка, у старших — в правом подреберье), у 1/5 детей — понос или запор (М. С. Маслов, А. В. Мазурин). У детей реже, чем у взрослых, наблюдаются артральгии и мышечные боли. Иногда в начале заболевания (на 2—3-й день) можно отметить увеличение печени, реже селезенки; нередко изменение окраски мочи (потемнение) и кала (обесцвечивание) предшествует появлению желтухи.
Преджелтушный период — чаще 3—7 дней (в среднем 5 дней), иногда удлиняется до 21 дня. Продолжительность его несколько короче при тяжелых формах болезни. У 10—15% детей продремальный период отсутствует, и заболевание начинается сразу с появления желтухи. Прежде всего отмечается желтушность склер, слизистой оболочки нёба, носогубной складки, мочек уха. Желтушность кожи в среднем держится 15—37 дней, желтушность склер — более продолжительное время.















