48606 (588579), страница 2
Текст из файла (страница 2)
В соответствии с задачами гематологического отделения распределяются должностные обязанности персонала лаборатории. Для разрабатываемой информационной подсистемы, связанной с деятельностью гематологического отделения, нас интересует деятельность заведующего лабораторией, врача-лаборанта, лаборанта и лечащего врача.
На диаграмме бизнес-вариантов использования представлены основные направления деятельности врача-лаборанта, лаборанта и лечащего врача (рисунок 1.5) [12].
Рисунок 1.5 – Диаграмма бизнес-вариантов использования
Данная диаграмма демонстрирует обобщенный механизм подачи заявки, выполнения исследования и получения результатов заказчиком.
Для анализов по каждому из существующих отделов лаборатории существуют особенности формирования заявки, в соответствии с существующим перечнем исследований и показаниями на проведение тех или иных типов исследований.
Так для рассматриваемых гематологических анализов можно выделить несколько стандартизированных для больницы категорий заявок, характерных для основной массы исследуемых больных.
При общеклиническом исследовании крови бланк результатов должен содержать следующие параметры: ФИО пациента, отдел, число, количество гемоглобина, количество эритроцитов, количество лейкоцитов, цветной показатель, РОЭ, количество тромбоцитов, количество ретикулоцитов, эозинофилы, базофилы, лимфоциты, моноциты, палочкоядерные и сегментоядерные. При наличии заболевания в крови появляются ретикурярные клетки, гемоцитобласты, миэлобласты, промиэлоциты, миелоциты, метамелоциты, плазм-клетки и появляются изменения со стороны эритроцитов (анизоцитоз, пойкилоцитоз и нормобласты). Бывает три типа заявок на проведение гематологических анализов: для обычного случая, для ОАК и при кровотечении. При кровотечении рассчитываются такие показатели как, количество гемоглобина и количество эритроцитов.
Результирующие показатели, выдаваемые заказывающему исследование врачу, также стандартизированы в зависимости от полученной патологии.
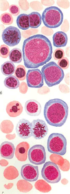
Гематологические исследования ‑ это анализ свойств крови. Материалом для исследования является венозная или капиллярная кровь. Мазок крови представлен на рисунке 1.7.
Рисунок 1.7- Мазок крови
В результате гематологических исследований получают следующие характеристики: количество лейкоцитов, эритроцитов, показатель гематокрита и концентрацию гемоглобина. Морфологию эритроцитов характеризуют: средний объем эритроцита, среднее содержание гемоглобина и средняя концентрация гемоглобина. Гематокрит представляет собой объемную фракцию эритроцитов в цельной крови и зависит от их количества и объема.
Анализ клеток крови традиционно производится путем подсчета клеток наблюдаемых в поле зрения микроскопа. Автоматизация проведения гематологических исследований связана с новым подходом к дифференцированию лейкоцитов. В зависимости от используемого метода достигается трехкомпонентное, пятикомпонентное или шестикомпонентное разделение лейкоцитов. В большинстве случаев отклонение лейкоцитарной формулы от нормального распределения требует дополнительного исследования мазка крови под микроскопом. На основе анализа тысяч клеток гематологические анализаторы способны представлять данные в виде гистограмм - распределений клеток по размерам. Большинство анализаторов представляют в виде гистограмм распределение по размерам тромбоцитов, эритроцитов и лейкоцитов.
-
Выбор методологии проектирования информационной системы
Учет гематологических анализов, являясь частью общей подсистемы учета анализов КДЛ, в тоже время обладает рядом особенностей, так как связан с обработкой специфических данных, описывающих состояние крови пациента.
Формирование заявок по различным отделам лабораторного отделения обладает рядом общих свойств, таких как:
-
выбор больного из базы данных;
-
определение отделения, подающего заявку;
-
задание времени;
-
выбор типов проводимых исследований.
С другой стороны, для каждого из отделов КДЛ существуют особенности характеристик, проводимых исследований. Для каждого типа анализов существуют уникальные характеристики и параметры расчета. Поэтому при разработке данной подсистемы имеет смысл рассматривать ее как независимую и встраиваемую в общую систему ЛИС.
Отдельной проработки требуют функции, являющиеся общими для всей системы учета проводимых анализов. Эти функции должны быть реализованы в виде компонентов пригодных для повторного использования [13, 14, 15], на базе технологии порождающего программирования [16].
На современном этапе развития технологии проектирования одной из популярных технологий реализации подобных систем является технология COM и ActiveX элементов [14, 15]. Данные объекты реализуются на основе множественного наследования и обладают открытым интерфейсом взаимодействия с объектами внешнего мира.
Разработка подсистемы как набора COM и ActiveX объектов позволит реализовать пространство решений для использования в других прикладных системах подобного типа.
-
Сбор требований
Сбор требований – это процесс, включающий мероприятия, необходимые для создания и утверждения документа, содержащего спецификацию системных требований [Error: Reference source not found, Error: Reference source not found, 20].
На этапе формирования и анализа требований в соответствии с технологией разработки программного обеспечения Microsoft Solution Framework (MSF):
-
осуществляется сбор требований;
-
составляются профили заинтересованных лиц;
-
разрабатываются варианты использования.
Методология сбора требований обычно основывается на использовании метода интервьюирования и изучения документации, описывающей деятельность КДЛ БСМП-2, для которой осуществляется разработка информационной системы.
В процессе формирования требований к разрабатываемой подсистеме ЛИС осуществлялся опрос заведующего лабораторией, лаборанта, врача-лаборанта и лечащего врача, т.е. тех лиц, кто непосредственно имеет отношение к гематологическим анализам. Кроме того, были изучены должностные инструкции сотрудников лаборатории.
-
Анализ и моделирование требований
На основе проведенной работы по сбору требований для организации учета гематологических анализов и разработанной диаграммы вариантов использования (показанной на рисунке 1.8), проводим анализ и моделирование требований непосредственно к подсистеме.
Основными требованиями к подсистеме учета гематологических анализов для проектируемой ЛИС являются следующие:
-
подсистема должна быть независимым модулем ЛИС, пользователи должны иметь возможность работы с этой частью системы независимо от наличия и/или установки других модулей ЛИС;
-
архитектура системы должна выбирается таким образом, чтобы минимизировать вероятность нарушения штатного режима работы системы (выход системы из строя, разрушение информационной базы данных, потери или искажение информации) при случайных или сознательных некорректных действиях пользователей;
-
система должна обеспечивать защиту информационной базы данных от несанкционированного доступа.
Диаграммы вариантов использования для основных категорий пользователей подсистемы гематологических исследований представлены на рисунке 1.8.
Рисунок 1.8 – Диаграммы вариантов использования для основных категорий пользователей подсистемы гематологических исследований
Из диаграммы видно, что врач-лаборант и лечащий врач могут просматривать результаты анализов, сделанных ранее. Только врач-лаборант может просматривать все по своему типу анализа, а лечащий врач просматривает результаты анализов только своих больных.
На основании проведенного сбора, анализа и моделирования требований, была разработана спецификация требований для подсистемы учета гематологических анализов, которую можно просмотреть в Приложении А.
-
Аттестация требований
Аттестация требований определяет степень соответствия программного продукта (ПП) установленным требованиям [Error: Reference source not found, 21].
Существует набор методов аттестации, которые можно использовать как вместе, так и по отдельности:
-
Обзор требований – процесс просмотра системной спецификации на предмет неточных описаний и ошибок.
-
Прототипирование. Прототип является начальной версией программной системы, которая используется для демонстрации концепций заложенных в систему и проверки вариантов требований.
-
Генерация тестовых сценариев. Требования должны быть такими, чтобы их можно было протестировать. Если тесты для требований разрабатываются как часть процесса аттестации, то это позволяет обнаружить ошибки в спецификации.
-
Автоматизированный анализ непротиворечивости. Если требования представлены в виде структурных или формальных системных моделей, можно использовать инструментальные CASE-средства для проверки непротиворечивости моделей. Для автоматизированной проверки непротиворечивости необходимо построить базу данных требований и затем проверить все требования в этой базе данных автоматическим анализатором требований, который, в свою очередь, готовит отчет обо всех обнаруженных противоречиях.
Метод прототипирования является одним из основных для реализации аттестации программного продукта на этапе анализа системы, позволяющий использовать заказчиков для контроля предъявленных к системе требований.
Рассмотрим диаграмму состояний подсистемы учета гематологических анализов, разработанную на основе предъявляемых требований к системе (см. рисунок 1.9).
Рисунок 1.9 – Диаграмма состояний проектируемой подсистемы
Гематологическая подсистема должна предоставлять специфические функции для каждой из категорий пользователей подсистемы. Ввод и изменение данных должны быть доступны только врачу-лаборанту и лаборанту. Остальные категории сотрудников имеют лишь возможность просматривать информацию в соответствии со своим запроса.
-
-
Выводы
В первом разделе дипломного проекта были проанализированы существующие информационные системы лабораторной диагностики.
Проведен бизнес-анализ процессов для гематологических исследований. Построены диаграммы бизнес-вариантов использования, описывающие деятельность сотрудников лаборатории и врачей больницы по проведению и по учету гематологических исследований.
Далее был проведен анализ требований к подсистеме учета гематологических анализов. Для определения требований был проведён опрос заведующей лабораторией, лаборанта, врача-лаборанта и лечащего врача как основных пользователей будущей подсистемы. Результаты моделирования требований представлены в виде разработанных вариантов использования системы. Осуществлён процесс специфицирования требований. Итоговым шагом данного этапа стало выполнение аттестации требований посредством прототипирования. В результате проведенного анализа выявлено, что, используя методологию проектирования предметной области нужно осуществить проектирование основных компонентов подсистемы, входящих в предметную область учета гематологических анализов.
-
2. Проектирование информационной системы
-
-
2.1 Архитектурное проектирование
-
Архитектура проекта определяется требованиями к конфигурации системы. Для диагностической лаборатории, состоящей из нескольких отделов, территориально разнесенных в пределах больничного здания, проектирование распределенной структуры системы является необходимостью. При этом модули, устанавливаемые на рабочих местах персонала отделов лаборатории, должны поддерживать функциональность, входящую в компетенцию персонала, использующего данные модули.
Как указывалось ранее, данная ЛИС должна включать подсистему учета гематологических анализов, обеспечивающую функционирование гематологического отдела лаборатории и клинической-экспресс лаборатории. Поэтому в минимальную конфигурацию ЛИС должны включаться рабочие места заведующего лабораторией, врачей-лаборантов и лаборантов соответствующих отделов КДЛ, а также лечащих врачей отделений больницы. Функции пользователей в подсистеме учета гематологических анализов зависят от занимаемой должности. Примерная архитектура ЛИС была расписана на предыдущем этапе. А для подсистемы учета гематологических анализов она будет иметь вид, представлена на рисунке. 2.1.
Основной сервер ЛИС, поддерживающий функционирование базы данных системы, совмещается либо с автоматизированным рабочим местом (АРМ) заведующего лабораторией или старшего лаборанта, что было определено на предыдущем этапе проектирования ЛИС. Рабочие места сотрудников гематологического отдела и клинической экспресс-лаборатории оборудуются мини ноутбуками с установленной Windows XP.
На основании разработок предыдущего этапа проектирования ЛИС в качестве программной архитектуры используется многоуровневая архитектура. В проекте ЛИС используются модули, выполненные на основе технологии COM инкапсулирующие бизнес-логику разноплановых подсистем ЛИС.
Рисунок 2.3 – Примерная архитектура ЛИС для учета гематологических анализов.















