13808 (585318), страница 6
Текст из файла (страница 6)
При першому забої був відібраний патматеріал (лімфатичні вузли, шматочки селезінки, серця, печінки, легень) та направлений у Житомирську обласну лабораторію ветеринарної медицини для гістологічного дослідження.
При гістологічному дослідженні лімфатичних вузлів відмічали порушення структури органу, вторинні вузлики відсутні, синуси непомітні. По мірі розвитку лейкозного процесу нормальна тканина заміщається лейкозними клітинами різної будови.
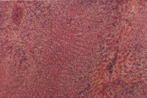
Під час дослідження гістопрепарату із селезінки спостерігали різке збільшення фолікулів, які поступово зливаються з навколишньою лейкозною тканиною. Червона пульпа заповнена лімфоїдними клітинами (рис. 5.2.9).
Рисунок 5.2.9 – Лімфоїдний лейкоз селезінки (40х7, гематоксилін-еозин)
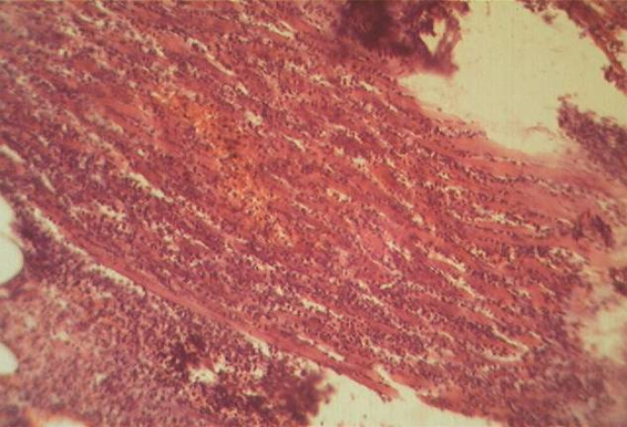
Міокард в значній мірі заміщається лейкозною тканиною, лише деякі м’язові волокна зберігаються серед суцільних скупчень лімфоїдних клітин, що спостерігається при сильному уражені міокарда (рис.5.2.10).
У печінці лімфоїдні клітини інфільтрують міжчасточкову тканину і розміщуються у вигляді тяжів (рис. 5.2.11). При сильному ураженні лімфоїдні клітини об’єднуються у суцільні скупчення, заміюючи функціональну тканину, в цьому випадку – гепатоцити (рис. 5.2.12).
Рисунок 5.2.10 – Лімфоїдний лейкоз міокарда (8х7, гематоксилін-еозин).
Рисунок 5.2.11 – Лімфоїдний лейкоз печінки (8х7, гематоксилін-еозин)
Р
исунок 5.2.12. – Лімфоїдний лейкоз печінки (40х7, гематоксилін, еозин)
У легенях мікроскопічно спостерігали гостру застійну гіперемію, тканинну рідину в альвеолах (рис. 5.2.13).
Р
исунок 5.2.13 – Гостра застійна гіперемія та набряк легенів (8х7, гематоксилін-еозин)
Таким чином, на підприємстві був поставлений діагноз «Лімфоїдний лейкоз великої рогатої худоби». Своєчасне належне проведення протиепізоотичних заходів дозволило швидко оздоровити поголів’я корів від лейкозу. Використання ІФА дозволяє більш ефективно виявляти хворих на лейкоз тварин. Патолого-анатомічні дослідження підтвердили поставлений діагноз.
РОЗДІЛ 6. ВИЗНАЧЕННЯ ВЕТЕРИНАРНИХ ВИТРАТ НА ПРОВЕДЕННЯ ДІАГНОСТИКИ ЩОДО ЛЕЙКОЗУ ВЕЛИКОЇ РОГАТОЇ ХУДОБИ У СВК «РУЖИНСЬКИЙ» РУЖИНСЬКОГО РАЙОНУ ЖИТОМИРСЬКОЇ ОБЛАСТІ
За 2007 рік в СВК “Ружинський” було досліджено серологічно (РІД) 1877 голів великої рогатої худоби. Із них серологічно позитивних виявлено 580 голів великої рогатої худоби. У даній роботі визначені збитки спричинені хворобою господарству за 2007 рік.
Розрахунок збитків від зниження якості продукції:
З1 = (Цз – Цх)Мп, де:
Цз – Цх ціни реалізації 1 кг продукції (молока) одержаної відповідно від здорових і хворих на лейкоз корів, грн.;
Мп – кількість реалізованої продукції пониженої якості, кг.
З1 = (1,40 – 0,70) 1334000 = 933800 грн.
Розрахунок збитків від зниження продуктивності тварин:
З2= Мз (Пз – Пх) х Ц х Т, де:
Мз – кількість захворілих тварин, гол.;
Пз – Пх – середньодобова кількість продукції, одержана від здорової та хворої тварини, л;
Ц – закупівельна ціна 1 кг продукції, грн.;
Т – середня тривалість нагляду за зміною продуктивності тварин, днів.
З2=580 х (10,9 – 10,1) х 0,70 х 300 = 97440 грн.
Загальну суму збитків обчислювали за формулою:
З = З1 + З2
З = 933800 + 97440 = 1031240 грн.
Питома величина економічного збитку:
Пз= З : Мз, де:
З – загальна сума збитку, грн.;
Мз – кількість захворілих тварин, гол.
Пз= 1031240 : 580 = 1778 грн.
Визначення витрат на ветеринарні заходи:
1200 грн. – місячна заробітна плата лікаря ветеринарної медицини;
49 грн. – добова заробітна плата лікаря ветеринарної медицини; ( 21 днів х 49 = 1020 грн.);
вартість роботи лікаря (1200 : 21 : 7 : 60 = 0,14 грн./хв.);
оплата праці 2 фіксаторів (15 х 2 х 18= 540 грн.);
вартість роботи фіксаторів (540 : 21 : 7 : 60 = 0,06 грн./хв.);
45 грн. – вартість витраченої вати; 25 грн. – вартість витраченого спирту; 9549 грн. – витрати на дезінфекцію;
1,0 грн. – вартість 1 серологічного дослідження (1,0 х 1877 = 1877 грн.);
тривалість часу взяття 1 проби крові – 5 хв.;
витрати на взяття 1 проби крові лікаря вет. медицини (0,14 х 5 х 1887 = 1313,9 грн.);
витрати на взяття 1 проби крові робітників (0,06 х 5 х 1887 = 563,1 грн.);
Загальна сума витрат на ветеринарні заходи:
З = 1155 + 45 + 25 +9549 + 1877 + 540 = 15068 грн.
Питома величина витрат на ветеринарні заходи, грн.:
Пв= Вз : Мз, де:
Вз – загальна сума витрат на ветеринарні заходи, грн.;
Мз – кількість захворілих тварин, гол.;
Пв = 15068 : 580 = 29 грн.
Запобіжний економічний збиток в результаті профілактики та ліквідації хвороби у господарстві визначали за формулою:
Зз = Мо х Кз х Пз – З, де:
Мо – загальне поголів’я сприйнятливих тварин, гол;
Кз – коефіцієнт потенційної захворюваності тварин у неблагополучному господарстві (0,14);
Пз – питома величина економічного збитку, з розрахунку на 1 захворілу тварину, грн.;
З – фактичні економічні збитки заподіяні господарству, грн.
Зз = 1877 х 0,14 х 1778 – 15068 = 452155 грн.
Визначення економічного ефекту:
Еф = Зз – Вз, де:
Зз – запобіжні економічні збитки, внаслідок проведення ветеринарних заходів, грн.;
Вз – витрати на ветеринарні заходи, грн.
Еф = 452155 – 15068 = 437087 грн.
Економічна ефективність на 1 грн. витрат:
Е грн. = Еф : Вз, де:
Еф – економічний ефект, грн.;
Вз – витрати на ветеринарні заходи, грн.
Е грн. = 437087 : 15068 = 29 грн.
Всі економічні розрахунки виносимо у таблицю.
Таблиця 6.1 – Економічні показники ветеринарних витрат на проведення діагностики щодо лейкозу великої рогатої худоби у СВК «Ружинський»
| Показники | Кількість грн. |
| Загальна сума економічних збитків | 1031240 |
| Питома величина економічних збитків на 1 інфіковану тварину | 1778 |
| Сума витрат на ветеринарні заходи | 15068 |
| Питома величина витрат на ветеринарні заходи | 26 |
| Запобіжні економічні збитки | 452155 |
| Економічний ефект від проведених заходів | 437087 |
| Економічний ефект на 1 грн. витрат | 29 |
Отже, впровадження оздоровчих протилейкозних заходів у даному господарстві дає значний економічний ефект, оскільки економічна ефективність витрат на ветеринарні заходи становить 437087 грн.
РОЗДІЛ 7. ОХОРОНА ПРАЦІ
Роботу по охороні праці в сільськогосподарських підприємствах організовують згідно Закону України “Про охорону праці”.
Відповідальність за охорону праці в СВК “Ружинський” Ружинського району Житомирської області накладено на директора господарства, по галузях – на головних спеціалістів, а по виробничим дільницям – на їх завідуючих. Між адміністрацією господарства і профспілковою організацією щорічно складається колективний договір. Як додаток до колективного договору розробляються заходи з охорони праці, безпеки праці і виробничої санітарії.
Колективний договір складається з 3 розділів. Основні заходи в них наступні:
-
Заходи по попередженню нещасних випадків:
– встановити автоматичний пускач на електропідіймачі в слюсарній майстерні;
– встановити блискавко захист на 2-х тваринницьких приміщеннях
-
Заходи по попередженню захворюваності на виробництві:
– придбати 30 мед. аптечок для працівників усіх виробничих дільниць;
– обладнати душову на санпропускнику;
– встановити приливно-витяжну вентиляцію на телятнику.
-
Заходи по загальному покращенню умов праці:
– обладнати на всіх відділеннях куточки з безпеки праці.
Періодично на засіданнях профспілкового комітету заслуховують звіт про виконання заходів цього договору, відповідальними за його виконання.
Навчання працівників по охороні праці проводиться згідно “Типового положення про навчання, інструктаж і перевірку знань працівників з питань охорони праці”.
Посадові особи та спеціалісти усіх підприємств, організацій відповідно до “Перелік посад посадових осіб, які зобов’язані проходити попередню і періодичну перевірку знань з охорони праці” періодично раз на 3 роки та перед початком виконання посадових обов’язків, зобов’язані проходити навчання та перевірку знань нормативних актів з охорони праці, що стосуються їхньої виробничої діяльності. Перевірка знань цієї категорії посадових осіб і спеціалістів проводиться комісією, склад якої затверджується наказом керівника вищої господарської організації. Очолює комісію заступник керівника цього органу, у службові обов’язки якого входить управління охороною праці. До складу комісії входять представники органу державного нагляду за охороною праці, профспілок, та викладачі навчального закладу, де проводилося навчання.
Посадові особи (бригадири, завідуючі, майстри) та спеціалісти (агрономи, зоотехніки) проходять навчання і перевірку знань безпосередньо на підприємстві.
На підприємстві організацію навчання здійснює служба охорони праці та працівники відділу кадрів. Програму навчання розробляє служба охорони праці за погодженням з місцевою інспекцією по нагляду за охороною праці. Наказ про проведення навчання на підприємстві видає керівник підприємства. Обсяг занять не менше 20 годин. Для перевірки знань працівників на підприємстві існує постійно діюча комісія, яку створює керівник підприємства. Очолює комісію керівник підприємства чи його заступник або спеціаліст з охорони праці підприємства. Перевірка знань здійснюється шляхом усного опитування у вигляді іспиту. Перевірка знань оформляється протоколом, видаються посвідчення.
Посадові особи і спеціалісти, які при перевірці знань виявили незадовільні знання, повинні протягом 1 місяця пройти повторне навчання та перевірку знань.
Позачергове навчання та перевірка знань посадових осіб і спеціалістів проводиться:
– при введенні в дію нових нормативних актів про охорону праці
– при переведенні працівника на іншу роботу.
Працівники, які виконують роботи з підвищеною небезпекою та роботи, що вимагають професійного добору повинні проходити попереднє спеціальне навчання, перевірку знань перед початком виконання роботи та періодично не рідше 1 раз на рік.
Формою перевірки знань працівників є іспит, який проводиться за екзаменаційними білетами. Результати перевірок знань оформляються протоколом. Особам, які при перевірці знань виявили задовільні знання, видаються посвідчення.
В господарстві для перевірки знань працівників з питань охорони праці наказом керівника створена постійно діюча комісія. До складу комісії входять спеціалісти служби охорони праці, юридичної, виробничої і технічної служб, представники органів державного нагляду за охороною праці та профспілки.
До переліку робіт з підвищеною небезпекою в сільськогосподарському виробництві належать: електрогазозварювальні роботи, роботи з легкозаймистими та вибухонебезпечними речовинами, роботи із застосуванням ручних електромашин та електроінструментів, обслуговування агрегатів і котлів, роботи з мінеральними добривами та пестицидами, гасіння вапна, роботи в колодязях, в траншеях, в котловинах, земляні роботи на глибині більше 2 м, роботи на висоті, обслуговування парових, водогрійних котлів, роботи з догляду за бугаями-плідниками, кнурами, жеребцями, дезінфекція, дезінсекція, дератизація, технічне обслуговування, експлуатація і ремонт вантажопідіймальних машин і механізмів, ліфтів, монтаж, демонтаж і накачування шин автотранспортних засобів.
Так, вступний інструктаж з охорони праці проводить спеціаліст з охорони праці.
Про проведення інструктажу роблять запис в журнал реєстрації вступного інструктажу з питань охорони праці. Первинний інструктаж на робочому місці проводиться при прийнятті на постійне місце роботи, при переведенні з однієї роботи на іншу, при зміні умов праці. Інструктаж проводиться безпосередньо керівником даної дільниці.















