93981 (575331)
Текст из файла
Рентгенограма хворих з СМР
При 1‑й степені закид контрасту з сечового міхура походить тільки в нерозширений сечовід.
При 2‑й степені заповнюють нерозширений сечовід і нерозширений чашечко-мискова система (ЧМС) нирок.
При 4‑й степені і вони стають заокругленими.
При 5‑й степені характеризується масивною делятацією і звивістю верхніх сечових шляхів.
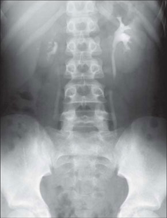
Екскреторна урографія хворого з двостороннім обструктивним мегауретритом
На екскреторній урографії ми спостерігаємо збільшення мисочок, розширення сечоводів, і змінену форму сечового міхура. Стінки якого мають бугристу, нерівну поверхню.
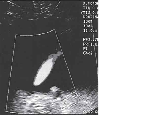
Доплерограма
На малюнку помітно зниження функції нирок виявляється ненасичений інтраренального малюнка, зниження по часу або мінімальної швидкості кровотоку. Всі ці критерії характеризуються патологією і потребують оперативного втручання.
Сканування лівого сечівника через сечовий міхур. На доплерограмах чітко видно криву ретроградногопотіку сечі. Швидкість потіку 0,52m/s, Час 1,16s)
Сканування лівого сечівника через сечовий міхур. На доплерограмах чітко видно криву ретроградногопотіку сечі. Швидкість потіку 0,22m/s, Час 2,38s)
На доплерограмі сечоводів СМР 2,3 і4 ступені спостерігається: делятація сечівника в нижніх і верхніх відділах при середньому або максимальному наповнені сечового міхура, циклічні зиіни діаметра сечівника в нижніх і верхніх відділах: доплерографічна регістрація зворотнього току сечі в сечоводі:стабільне розширення миски: зменшення розмірів нирки.
Висхідна цистографія
На даній рентгенограмі спостерігаємо активно-пасивний міхурово-сечовий рефлюкс зліва 4 ступені. Виражена дилатація чашечко-мисочкової системи, деформація чашок.
а – у фазі максимального наповнення сечового міхура, пасивний рефлекс; б – у фазі сечовипускання, активний рефлекс.
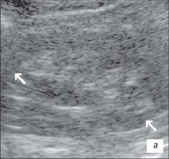
Ехограма розширення порожнинної системи нирки
А – розширення сечоводу:
Б – на тлі сечового міхура.
1 – сечовий міхур, 2 – сечовід
На даній ехограмі спостерігається: зменшення розмірів нирки на стороні поразки; циклічна зміна діаметру сечоводу у верхньому і нижньому відділах; вертикальну спрямованість сечовідно-міхурного викиду, який в нормі має напрям під кутом 30–40° по відношенню до умовної лінії, що сполучає гирла сечоводів.
Ренограмма міхурно-сечовивідного рефлюксу при радионуклідній непрямої цистографії
а – міхурно-сечовідний рефлюкс відсутній;
б – двосторонній активний міхурно-сечовідний рефлюкс.
А – права нирка; У – правий сечовід; З – ліва нирка; D – лівий сечовід
На даній ренограмі спостерігається на рис. а норма, а на рис. б чітко видно підвищення кривої, відзначається зниження судинного, розтягнутість секреторного і видільного сегменту.
Ехограма нирки
а – запальні зміни в нирці;
б – втягнення на контурі нирки (стрілка)
На данній ехограмі ми помічаємо чіткий патологічний осередок ураження сечоводів, їх розмірів і глибину залягання.
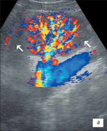
УЗІ нирки при запальних змінах в режимі ЦДК
а – інтраренальний судинний малюнок нирки збережений, кортикальный кровотік визначається у всіх відділах паренхіми;
б – збіднення судинного малюнка;
в – швидкісні показники в гирлі ниркової артерії в межах вікової норми: Vps – 83,7 см/с; Ved – 34,1 см/с; RI – 0,63; PI – 0,96.
На розгорненій картині УЗІ з ЦДК характеризується нерівністю, нечіткістю, деформацією контура нирки, який місцями може не простежуватися; нирка іноді місцями погано диференціюється від навколишніх тканин, що утрудняє визначення її розмірів; візуалізуються дрібні, неправильної форми втягнення контура, розподілені або по всьому контуру, або в якомусь фрагменті нирки; визначається нечіткість кортико-медуллярной диференціювання; є виражені дифузні зміни паренхіми нирки з помірним нерівномірним підвищенням її эхогенності; дилатація чашечно-мискової системи; фрагментарне стоншування паренхіми нирки з компенсаторним потовщенням або збереженням товщини інших її ділянок помірне збіднення інтраренального судинного малюнка, найбільш виражене в місцях деформації і втягнення контура нирки; зниження швидкісних характеристик артеріального кровотоку (мал. 3).
Ехограма гіпоплазії нирки
В-режимі(а),
В-режимі ЦДК (б, в).
Гемодинамічні показники артеріального кровотоку в нирковій артерії: Vps – 54 см/с, Ved – 22 см/с, RI – 0,4, PI – 0,7.
Ехограма зморщеної нирки
В-режимі (а)
В-режимі ЦДК (б).
На даному УЗД визначають зменшену в розмірах нирку з порушенням правильності її контурів, нирка насилу диференціюється від навколишніх тканин; різко порушена або відсутнє кортико-медуллярная диференціювання; візуалізуються дифузні нерівномірні зміни паренхіми нирки з гетерогенним підвищенням эхогенности; дилатація чашечно-мискової системи; виражене збіднення судинного малюнка ураженої нирки із зниженням швидкісних характеристик артеріального ренального кровотоку (10 – !!).
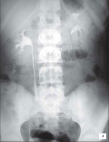
Екскреторна урограма (а-в)
а – лінійний дефект наповнення шийки верхньої чашки правої нирки з помірною ектазією (симптом Фролея), перегин в сечовідному для балії сегменті справа без порушення відтоку (стрілка);
б – високе отхождение сечоводу.
в-клапан сечоводу. Дефект наповнення в початковому відділі сечоводу. Симптом порожнього сечоводу Ліхтенберга: дилатированная балія, відсутність контрасту в сечоводі.
Початкові ознаки, що виявляються на экскреторній урограмі за наявності запальних змін в нирках (спастична стадія пієлонефриту): локальні спазми чашково-мискової системи, частіше в області верхніх чашок, що відповідає розташуванню сфінктера Діссе в області шийки малих чашок; недостатня контрастність верхніх сечових шляхів і уповільнення евакуації контрастної речовини ураженою ниркою унаслідок дискінезії чашечко-мискової системи (мал. 13 а); пиелоренальний рефлюкс, що виявляється при экскреторній урограмі з компресією.
Екскреторні урограми (25‑а хвилина) (а-б)
а – лівобічний пієлонефрит, спастична стадія. Середні і нижні чашки лівої нирки слабо контрастовані, спазмированы, верхня чашка помірно розширена, деформована;
б – двосторонній пієлонефрит, гіпотонічна стадія. Двостороння пиелоэктазия, краєвий симптом псоаса. Нерівномірне контрастування порожнинної системи, деформація і нечіткість чашок правої нирки.
Ознаки, визначувані на экскреторной урограмме в пізніші терміни запального процесу (гіпотонічна стадія пієлонефриту): розширення чашечно-мискової системи і сечоводу; краєвий симптом псоаса як наслідок зниження нервово-м'язового тонусу всієї збірної системи; грибоподібна деформація чашок: згладжена і атрофія конусів сосочків, закруглення форниксов (унаслідок набряку слизової оболонки, пониження тонусу нервово-м'язового апарату і розвитку сполучної тканини); подовження шийок чашок, розсовування чашок в результаті інфільтрації паренхіми (мал. 13 б).
Ознаками «маленької» нирки при екскреторній урограмі є: зменшення розмірів нирки, нерівність її контуру з множинними втягненнями; зближення чашок, зменшення і деформація балії в результаті склерозу, атрофії ниркової тканини і ниркового синуса; уповільнення або відсутність виділення контрастної речовини. Більшою мірою всі ці зміни виявляються при зморщуванні нирки на тлі запального процесу, в меншій – при гіпоплазії нирки, коли функціональна здатність «маленької» нирки може бути не порушена (мал. 14).
Екскреторна урограма (15‑а хвилина)
Гіпоплазія правої нирки – вона невеликих розмірів, чашки зближують, шийки їх укорочені, форнікси деформовані
Таблиця порівняння променевих методів в діагностиці змін, що виявляються при патології нирок і сечовивідних шляхів.
Метод діагностики Кількість дослідження патологій
Динамічна ангіонефросцинтіграфія 64 56 (87,5 %)
Екськреторная урографія 113 72 (63,7 %)
УЗІ з ЦДК 176 105 (59,6 %)
УЗІ з ЦДК має переваги перед экскреторной урографією при вираженому гідронефрозі. Значна дилатація чашечко-мискової системи приводить до сильного «розведення» контрастної речовини і чашечко-мискової системи нирки на экскреторной урограмі може не контрастуватися, що служить причиною діагнозу «нефункціонуюча» нирка. Проведення УЗІ на апаратах високого дозволу з оцінкою ренального кровотоку дозволяє уникнути цієї помилки. Збереження нормальної эхогеності паренхіми навіть на тлі її стоншування до 3–4 мм і різкою дилатацією чашечко-мискової системи за умови візуалізації судинного малюнка нирки хоч би тільки в проекції чашечко-мискової системи і медулярного шару, і зниження середньої швидкості кровотоку не більше ніж в 2 рази при порівнянні з колатеральною ниркою є прогностично сприятливим.
Використана література
-
Власов П.В., Котляров П.М. Сучасна променева діагностика пієлонефриту // Вісник рентгенології і радіології. – 1999. – № 1. – С. 17.28.
-
Дибунов А.Г., Дворяковський І.В., Зоркин С.Н. Можливості допплерографии в діагностиці обструктивних уропатій у дітей // Ультразвукова діагностика. – 2000. – № 4. – С. 35.40.
-
Лішманов Ю.Б., Чернова В.І. Радіонуклєїдная діагностика для практичних лікарів // Допомога для лікарів. – Томськ. – 2004.
-
Лучевая диагностика: Учебник Т. 1./ под ред. Труфанова Г.Е. – М.: ГЭОТАР-Медиа, 2007. – 416 с.: ил.
-
Променева діагностика: [В 2 т.] / Коваль Г.Ю., Сиваченко Т.П., Загородська М.М. та ін.: За ред. Г.Ю. Коваль. – К.: Орбіс, 1998 – Т.1. – 527
-
И. Мадьяр Дифференциальная диагностика заболеваний внутренних органов Том I., Будапешт, 1987 г.
Характеристики
Тип файла документ
Документы такого типа открываются такими программами, как Microsoft Office Word на компьютерах Windows, Apple Pages на компьютерах Mac, Open Office - бесплатная альтернатива на различных платформах, в том числе Linux. Наиболее простым и современным решением будут Google документы, так как открываются онлайн без скачивания прямо в браузере на любой платформе. Существуют российские качественные аналоги, например от Яндекса.
Будьте внимательны на мобильных устройствах, так как там используются упрощённый функционал даже в официальном приложении от Microsoft, поэтому для просмотра скачивайте PDF-версию. А если нужно редактировать файл, то используйте оригинальный файл.
Файлы такого типа обычно разбиты на страницы, а текст может быть форматированным (жирный, курсив, выбор шрифта, таблицы и т.п.), а также в него можно добавлять изображения. Формат идеально подходит для рефератов, докладов и РПЗ курсовых проектов, которые необходимо распечатать. Кстати перед печатью также сохраняйте файл в PDF, так как принтер может начудить со шрифтами.















