126026 (690831), страница 2
Текст из файла (страница 2)
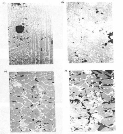
Микроструктура циркониевого электрокорунда в существенной мере зависит от условий охлаждения расплава. Первичные кристаллы корунда, как правило, имеют вытянутую форму в направлении теплоотвода, а диоксид циркония в виде баделеита обрамляет кристаллы корунда или образует эвтектические участки. В качестве примера на рис. 3 показаны микроструктуры циркониевого электрокорунда, полученного при различных скоростях охлаждения, а на рис. 5 — полученного в слитках различной толщины (разная степень охлаждения по зонам слитка) поданным ВНИИАШа. Для всех видов представленных слитков характерно скелетное строение первичных кристаллов корунда, сцементированных корунд-баделеитовой эвтектикой (см. рис. 5, а— в) или баделеитом (см. рис. 5, г). Вытянутая в одном направлении форма первичных кристаллов, характерная для краевых зон слитков (рис. 2.46, я, б), особенно четко выражена в слитках малой толшины^(60 и 25 мм); для всех слитков четко выражено увеличение размеров кристаллов от периферии слитка к его центру (см. рис. 6).
Рис. 3. Микроструктура циркониевого электрокорунда (массовая доля ZrO2 составляет 20—25 %) при различных скоростях охлаждения (х250):
а— 12-20 °С/ммн; б— 80-130 °С/мин; • — 1000 "С/мин;
г— циркониевый электрокорунд фирмы "Нортон" (х500)
Максимальное содержание эвтектики характерно для слитка толщиной 100 мм. В слитках толщиной 60 и 25 мм в их наружных зонах "эвтектика" отсутствует, а на стыках корундовых кристаллов кристаллизуется практически только баделеит. Наружные зоны слитков содержат значительное количество округлой формы пор, число которых возрастает по мере роста толщины слитка. Вокруг этих пор обычно наблюдается кристаллизация "эвтектики". При введении в ходе плавки циркониевого электрокорунда добавки SiO9 в готовом продукте наблюдается стекло, содержание которого растет по мере
Рис. 5. Микроструктура центральных зон слитков циркониевого электрокорунда различной толщины по данным В.В. Карлина с сотрудниками:
а — 200 мм (скорость охлаждения 10 С/мин); 6- 100 мм (20 С/мин); в — 60 мм (60 С/мин); г— 25 мм (170 °С/мнн); /-— корунд; 2— баделеит, 3— корундбаделеитовая "эвтектика*1 (свет отраженный х200)
Рис. 6. Микроструктура циркониевого электрокорунда
в слитках толщиной 25 мм (свет отраженный; х200) {а— краевая зона; б— центр) и 60 мм (в— краевая зона; г— центр):
Фазовые равновесия в электрокорунде системы А12О3 —ZrO2
Электроплавленый продукт состава 70 % А12О3—30 % ZrO2 является исходным материалом для получения абразивного инструмента. Силовое обдирочное шлифование этим абразивом ведется при высоких скоростях резания (от 60 до 80 м/с) и больших радиальных усилиях прижатия абразивного круга к обрабатываемой поверхности (5—10 кН), что обеспечивает производительность сошлифования до 250 кг стали/ч и 400 кг чугуна/ч. Абразивный круг (шлифзерно) подвергается высоким термическим нагрузкам. Температура в зоне резания достигает температур плавления обрабатываемых стальных и чугунных деталей. Изготовление абразивных кругов также связано с их обжигом при высоких температурах, поэтому необходимо учитывать полиморфные превращения оксида циркония и других фаз, которые могут оказывать влияние на качество абразивного инструмента.
Новыми исследованиями установлено, что стабилизируется не моноклинная модификация (бадделеит), а тетрагональная структура ZC (или ZrO2K). Наибольший эффект повышения качества
циркониевого электрокорунда достигается при стабилизации тригональной модификации (ZrO2T). Имеются два главных направления стабилизации ZrO2T в сплавах А12О3 — ZrO2: легирование расплавов некоторыми тугоплавкими оксидами и создание высокой степени нестехиометричности ZrO2 по кислороду (ZrO2-x). Выбору оптимального состава электрокорунда, легированного ZrO2, предшествовал большой период исследовательских и опытно-промышленных разработок по определению требований к химическому составу исходных компонентов шихты, технологическим параметрам плавки в дуговых печах и скорости разливки (кристаллизации) и охлаждения. В последние годы производимый циркониевый электрокорунд, облагороженный также некоторыми оксидами, содержит 70% А12О3 и 30% ZrO2.
Диаграмма состояния системы А12О3 — ZrO2 относится к простым эвтектическим (рис. 9.1). Координаты эвтектической точки точно не установлены и по данным различных авторов колеблются в пределах 32—55% ZrO2 и 1983—2193 К.
А12О3 — ZrO2 сплав состава 75% А12О3 —25% ZrO2 должен иметь в структуре 36,2% первичных кристаллов а-А12О3 и 63,8 % эвтектики. Однако промышленные слитки кристаллизуются в неравновесных условиях с различной скоростью. Поэтому соотношение структурных фаз может существенно различаться, что, естественно, влияет на свойства циркониевого электрокорунда.
Также в опытах сравнивали процессы формирования структуры образцов сплава доэвтектического (75% Al2O3 + 25%ZrO2) и заэвтектического (37,1% А12О3 + 62,9% ZrO2). Скорость охлаждения изменяли, разливая расплав из электродуговой печи в металлическую изложницу вместимостью 0,25 м3, в изложницу такой же вместимостью с металлическими шарами и на валках-кристаллизаторах. В слитках доэвтектического состава, полученных при скоростях охлаждения по всем трем вариантам, выявлены три характерные макроструктурные зоны: 1) мелкокристаллической корочки; 2) столбчатых кристаллов; 3) равноосных полиэдрических кристаллов. В макроструктуре слитков выявляются поры (рис. 9.2). Толщина и микроструктура корочки не зависят от скорости охлаждения. Условия разливки оказывают большое влияние на формирование зон столбчатых и равноосных кристаллов. Выявлено принципиальное различие структур закристаллизованных с различной скоростью доэвтектического и заэвггектического расплавов. В образцах доэвтектического сплава большие скорости не подавляют кристаллизацию первичных кристаллов А12О3 и образование квазиэвтектической структуры. В заэвтектическом сплаве (62,9% А12О3) в зоне мелкокристаллической корочки первичные кристаллы полностью отсутствуют. Существенно отличаются и формы роста кристаллов а-А12О3, ZrO2 и эвтектики. Для первичных кристаллов а-А12О3 характерны граненные, а для ZrO2 — округлые формы роста. Ведущей фазой при кристаллизации эвтектики А12О3 — ZrO2 является А12О3. Колонки эвтектики дублируют строение и внешнюю форму кристаллов корунда. В доэвтектическом сплаве, размеры первичных кристаллов а-А12О3 и эвтектических колоний в сплаве соизмеримы между собой и минимальны. Это обстоятельство обеспечивает получение из этих сплавов шлифовального зерна с наименьшей разрушаемостью.
ФАЗОВЫЕ РАВНОВЕСИЯ В ЭЛЕКТРОКОРУНДЕ СИСТЕМЫ А12О3 — ZrO2 — TiO2
В системе ZrO2 — TiO2 (рис. 9.3) образуется одно соединение ZrO2-TiO2 с широким интервалом гомогенности. Имеются области твердого раствора TiO2 в ZrO2 и твердого раствора ZrO2 в TiO2. Расворимость TiO2 в ZrO2 определяли методом высокотемпературного твердофазного взаимодействия. Порошки исходных веществ готовили с осаждением из раствора, прессовали в стальной форме и отжигали на воздухе при 1300 °С в течение 792 ч, при 1400 °С 360 ч и при 1500сС 288 ч. Растворимость TiO2 в тетрагональном ZrO2T, определения рентгенофазовым и дифференциальным термическим анализом, составила 13,8±3% при 1300 °С, 14,9±0,2% при 1400 °С и 16,1 ±0,2% при 1500 °С. При охлаждении до комнатной температуры эти твердые растворы превращаются в мета-стабильные моноклинные твердые растворы без изменения состава.
Исследовано влияние титансодержащих (и для сравнения оксида кальция) добавок в расплав 70% А12О3 + 30% ZrO2 на минеральный состав и температурные интервалы полиморфного превращения ZrO2 в сплавах. Проведены три серии плавок. В первой TiO2 вводили в шихту, состоящую из А12О3 и ZrO2, затем ее сплавляли в дуговой печи. Во второй TiO2 присаживали в расплав перед выпуском из печи и в третьей в расплав перед выпуском вводили не TiO2, а металлический титан Плавки всех трех вариантов разливали на валках-кристаллизаторах. Расплавы (70% А12Оз — 30% ZrO2) с 4% СаО сливали в изложницу вместимостью 0,5 м3. Установлено, что количество ZrO2T и температурные интервалы обратимого превращения ZrO2T->-—ZrO2M зависят от условий легирования расплава титансодержащими добавками и последующих режимов термической обработки образцов циркониевого электрокорунда. Массовая доля ZrO2T в случае присадки TiO2 в шихту составило 20%. Если TiO2 вводили перед выпуском, содержание ZrO2T увеличилось до 55%. В образце сплава с присадкой TiO2 в шихту, массовая доля непревра-тившейся фазы ZrO2T после термообработки (1300 °С, 15 мин) составила 20%, т. е. осталась на уровне исходного его содержания. В случае ввода TiO2 в расплав перед выпуском массовая доля ZrO2T достигла 55%, а после термообработки уменьшилась до 30%. Отжиг образца с вводом металлического титана перед выпуском (по режиму 1300 °С, т = 2 ч) приводил к полному завершению протекания превращения ZrO2T-^ZrO2M. В сплаве, стабилизированном СаО, содержались минеральные фазы: корунд а-А12О3, гексаалюминат кальция СаО-6А12О3 и оксид циркония двух модификаций в соотношении 80% ZrO2M и 20% ZrO2T. Кубическая модификация ZrO2K отсутствовала. Превращение ZrO2M-^ZrO2T в образце Д происходило при 900 ~С. Таким образом, установлено, что ввод титансодержащих добавок в расплав эдектрокорунда состава 70% А12О3 + 30% ZrO2 стабилизирует фазу ZrO2T и повышает ее устойчивость при изменении температурных условий. Механизм стабилизации ZrO2T трактуется по-разному. В монографии А. П. Гаршина и др. указывается, что стабилизация ZrO2T возможна благодаря образованию твердого раствора TiO2 в ZrO2T К. Е. Скуббаро, анализируя физические свойства нестехиометрических неорганических материалов, указывает, что в соответствии с причинами, вызывающими образование соединений переменного состава, нестехиометрические соединения можно разделить на две большие группы. К первой отнесены соединения, образованные вследствие существования одного из элементов в нескольких валентных состояниях, ко второй — соединения, образованные вследствие изоморфного замещения одного элемента атомами другого с отличающейся валентностью. Причем при изоморфном замещении возможно отсутствие атомов в узлах решетки и отсутствие катионов в узлах решетки, например. В этой связи встречающаяся в литературе запись стабилизированных модификаций оксида циркония без указания отсутствия дефектности аниона подлежит уточнению. Б.Я. Сухаревский и А.М. Гавриш показали, что выигрыш в работе образования зародыша новой фазы при полиморфном превращении возможен только в случае неравновесной концентрации вакансий в образце. В случае закаленной ZrO2 наблюдается как заметное снижение температуры перехода, так и вырождение изотермической полноты превращения. Высокую дефектность ZrO2 по кислороду можно достичь не только восстановлением оксида циркония титаном, но и алюминием или другими металлами, имеющими высокое химическое сродство к кислороду и оксиды которых не образуют с А12О3 соединений (структурных фаз), снижающих абразивные свойства зерна (изделий) циркониевого электрокорунда.
Заключение.
Циркониевый электрокорунд обладает большой износостойкостью и динамической прочностью, применяется для изготовления силовых обдирочных кругов (зачистка заготовок металла - устранение поверхностных дефектов перед прокаткой), в качестве материала для дробеструйных машин и галтовочных барабанов, в качестве добавки при производстве шлифовальных и обдирочных кругов из нормального электрокорунда марки 13А,14А различных типоразмеров и отрезных дисков - для повышения износостойкости и производительности. Шлифзерно циркониевого электрокорунда с содержанием ZrO2 30-40% менее прочное на износ и хрупкое, но за счет выкрашивания мелких частиц сохраняет 'колючую' поверхность и оставляет меньше прижогов на рельсах. Комплексное применение шлифзерна ZrO2(20-25%) и ZrO2(35-40%) позволяет решить проблему увеличения ресурса круга и исключения прижогов. Применяется при производстве фрикционных материалов для различных тормозных систем, позволяет получить хорошее трение без износа диска, производство шлифовальной шкурки для лепестковых торцевых кругов и др. Аспирационная пыль используется как добавка в жаростойкие краски, во фрикционные материалы.
Список литературы
-
Абразивные материалы и инструменты. Технология производства. Гришин, Федотов.















