11214 (684986), страница 4
Текст из файла (страница 4)
ХСпл – £-ХС /£-ХС Х (ЭХС/СХС)
ХСпл – общий холестерол плазмы
£-ХС (альфа-ХС) – холестерол супернатанта (ЛПВП)
ЭХС/СХС – отношение содержания эфиросвязанного и свободного холестерола супернатанта плазмы [12] .
2.3.9. Определение содержания диеновых коньюгатов(ДК) в эритроцитах
За основу взят классический метод Placer в модификации Гаврилова В. Б. [9] для эритроцитов. 0,5 мл гемолизата эритроцитов (1:1) смешивают в пробирках с притертой крышкой с 4 мл чистоперегнанных растворов изопропанол : гептан (1:1). Смесь встряхивают постоянно не менее одного часа затем добавляют 1 мл HCl (pH=2) после чего еще раз встряхивают две минуты, добавляют 2 мл чисто перегнанного гептана и снова встряхивают 10-15 мин. Примерно через 1-2 часа отбирают верхнюю фазу и фотометрируют при 232нм против контрольной пробы (Афон) где вместо гемолизата взято 0,5 мл H2O. Коэффициент экстинции при 233 нм –
2,2 * 10 -5 см-1 М-1. Формула для расчета: С(нмоль/мл эр)= (Аоп - Афон) * 36,4
2.3.10. Определение содержания ДК в плазме крови и гомогенате печени
За основу взят классический метод Гаврилова В.Б. и соавт [9], Владимирова Ю.А. и соавт. [7]. 0,4 мл плазмы вносят в пробирку с плотной крышкой и добавляют 4 мл чисто перегнанной смеси изопропанол : гептан (1:1). Смесь встряхивают в течение 20-30 мин затем добавляют 1 мл HCl (pH=2) после чего еще раз встряхивают две минуты, добавляют 2 мл чисто перегнанного гептана и снова встряхивают 10-15 мин. Примерно через час отбирают верхнюю фазу и фотометрируют при 232 нм против контрольной пробы где вместо гемолизата взято 0,2 мл H2O. Коэффициент экстинции 2,2 * 10 -5 см-1 М-1. Формула для расчета (при l=1 см):
С(нмоль/мл пл) = [(∆А* 106)/(2,2*105*1)]*[4/Vпроб], где: ∆А = Аоп - Афон, 2,2*105 – коэффициент экстинции, 1 (см) = L (толщина кюветы), 2 (мл) = Vгепт (объем гептана)
2.3.11. Определение содержания малонового диальдегида (МДА) в эритроцитах
За основу взят классический метод Ernster et al [25] в модификации для эритроцитов. 0,5 мл гемолизата эритроцитов (1:1) смешивают с 1 мл охлажденной 5% ТХУ и тщательно растирают смесь стеклянной палочкой. После выдерживают при 0±5 °С не менее 1-2 часов смесь центрифугируют при 4000 g 30 мин. Далее тщательно отбирают 0,4мл надосадка в пробирки для кипячения и добавляют 1,0 мл 0,5% тиобарбитуровой кислоты. Смесь инкубируют в кипящей воде более 10 мин после чего охлаждают и фотометрируют при 532 нм против соответствующего контроля. В расчет принимают коэффициент молярной экститнции – 1,56*105 см-1 М-1. С(нмоль/мл эр) = ∆А * 115,8
2.3.12. Определение содержания МДА в плазме крови и печени
За основу взят классический метод Mihara et al. [30]. 0,4 мл плазмы крови смешивают с 4 мл охлажденной 1,4% ортофосфорной кислоты и 2 мл 0,5% тиобарбитуровой кислоты. Смесь инкубируют в кипящей бане 45 мин после чего охлаждают и добавляют 4 мл н-бутанола. Смесь встряхивают до образования белой суспензии, после чего центрифугируют при 4000 g 20 мин. Верхнюю фазу фотометрируют при 532 нм против контрольной пробы. Коэффициент экстинции – 1,56*105 см-1 М-1. Формула для расчета (при L=1 см). С (нмоль/мл )= ∆А * 64,2
2.3.13. Определение жирнокислотного состава масел методом газожидкостной хроматографии (метод внутренней нормализации)
1 мл масла смешивают с 5 мл метанола, добавляют 1 мл метилирующего агента (раствор гидроксида тетраметиламмония) и 3 мл эфира серного (диэтиловый). Выдерживают в течение 10-15 мин при комнатной температуре, аликвотную часть отбирают для анализа (3-5 мкл) и хроматографируют.
Режим разделения: Температура колонки 170-190°С, Температура впрыскивающей камеры 250°С, Колонка насадочная 3 м, Содержание колонки: 5% диэтиленгликольсукцинат нанесенный на хроматон N-AW. Анализ проводят относительно количества жирных кислот.
2.3.14. Гистологический анализ
Выполняли для подтверждения наличия атеросклеротических изменений в опытных группах. Для гистологического исследования брали грудную и брюшную аорту, фиксировали 10% нейтральным формалином. Гистологическое исследование выполняли сотрудники гистологической лаборатории.
3. РЕЗУЛЬТАТЫ ИССЛЕДОВАНИЯ
3.1. ИССЛЕДОВАНИЯ АНТИОКСИДАНТНЫХ СВОЙСТВ СЕЛЕНОПИРАНА
Данные исследования антиоксидантных свойств СП по сравнению с БОТ, ТФ и СП при термическом окислении подсолнечного масла (Таблица 1) свидетельствуют о том, что антиоксидантная активность СП не уступает активности БОТ, и даже превосходит ее.
Рисунок 1
Динамика накопления пероксидов в смеси нерафинированных растительных масел в присутствии бутилокситолуола, селенопирана и токоферола
Преимущество СП становится заметным уже в течение 1-го часа окисления. Отмечено, что введение в смесь СП приводило к снижению концентрации пероксидов, и только к 6 часу их накопление достигло величин, превышающих исходные. К 26 часу окисления концентрация пероксидов в системе с БОТ составляла 95,65%, с СП – 85,51%, с ТФ – 111,6% по отношению к контролю.
Таблица 1
Динамика накопления пероксидов в подсолнечном масле в присутствии бутилокситолуола, селенопирана и токоферола
| Часы | Концентрация пероксидов, ммоль/г | |||
| контроль | БОТ | СП | ТФ | |
| 0 | 0,0060 | 0,0060 | 0,0060 | 0,0060 |
| 1 | 0,0090 | 0,0070 | 0,0045 | 0,0060 |
| 3 | 0,0100 | 0,0080 | 0,0055 | 0,0100 |
| 6 | 0,0131 | 0,0130 | 0,0090 | 0,0170 |
| 11 | 0,0300 | 0,0250 | 0,0210 | 0,0280 |
| 18 | 0,0480 | 0,0460 | 0,0380 | 0,0520 |
| 26 | 0,0690 | 0,0660 | 0,0590 | 0,0770 |
При щадящем режиме окисления смеси растительных масел СП в качестве АО также имел преимущества перед ТФ (Рис. 1), что позволило выбрать его для стабилизации итогового продукта – композиции нерафинированных масел льна и расторопши.
3.2. ИЗМЕНЕНИЯ БИОХИМИЧЕСКИХ ПОКАЗАТЕЛЕЙ ТКАНЕЙ ЭКСПЕРИМЕНТАЛЬНЫХ ЖИВОТНЫХ
Результаты комплексного биохимического и гистологического анализа биоматериала, полученного от экспериментальных животных, свидетельствуют о существенном торможении развития атеросклеротических процессов при введении СМЛР в качестве добавки к ВЖР.
Достоверные различия между опытными группами обнаруживались как в количестве липидов плазмы крови, так и в их соотношении (Таблица 2). В первой опытной группе наблюдались характерные признаки нарушения липидного обмена: повышение ХСобщ на 54% и ХС-ЛНП на 350 % по сравнению с контрольной группой, на фоне снижения содержания ХС-ЛВП на 57 %. При этом ИА повышался до 6,29 по сравнению с 1,03 в контроле. Введение в ВЖР животных второй опытной группы СМЛР привело к торможению накопления в плазме ХС, снижение на 38 % и снижение концентрации ХС атерогенных ЛП: ХС-ЛНП на 272% и ХС-ЛОНП на 55% по сравнению с контролем, а также к повышению содержания ХС-ЛВП 42%, что отразилось на величине ИА – 3,91.
Таблица 2
Липидограмма плазмы экспериментальных животных
| Группа | ТГ ммоль/л | ХС общ., ммоль/л | ХС-ЛВП, ммоль/л | ХС-ЛНП, ммоль/л | ХС-ЛОНП, ммоль/л | Индекс Атероген., у.е. |
| Контроль n=10 | 0,906 0,031 | 1,74 0,052 | 0,858 0,024 | 0,459 0,049 | 0,421 0,019 | 1,03 0,069 |
| Опытная 1 n=10 | 0,512# 0,044 | 2,68# 0,083 | 0,372# 0,01 | 2,07# 0,08 | 0,240# 0,018 | 6,29# 0,393 |
| Опытная 2 n=10 | 0,442# 0,015 | 2,40# * 0,083 | 0,496# * 0,025 | 1,71# * 0,077 | 0,191# * 0,007 | 3,91# * 0,235 |
Примечание: * - p<0,05 относительно опытной группы 1
# - p<0,05 относительно контрольной группы
Было также установлено, что применение СМЛР существенно влияло на процессы ПОЛ. Выявлено достоверное снижение ДК плазмы на 12% , МДА эритроцитов на 37% и печени на 11% животных второй опытной группы по сравнению с животными, не получавшими СМЛР (Таблица 3).
Таблица 3
Содержание ДК и МДА в плазме, эритроцитах и печени экспериментальных животных
| Группа | ДК плазмы, нмоль/мл | ДК эритроц., нмоль/мл | ДК печени, нмоль/г | МДА плазмы, нмоль/мл | МДА эритроц., нмоль/мл | МДА печени, нмоль/г |
| Контроль n=10 | 3,06 0,097 | 13,2 0,482 | 47,0 1,14 | 11,6 0,068 | 53,8 0,914 | 36,7 0,656 |
| Опытная 1 n=10 | 3,24 0,101 | 14,3# 0,168 | 85,5# 3,21 | 13,4# 0,107 | 54,2 3,30 | 50,6# 1,52 |
| Опытная 2 n=10 | 2,68 # * 0,127 | 16,3# * 0,655 | 87,9 2,32 | 13,1 0,051 | 33,9 # * 1,48 | 32,8# * 0,362 |
Примечание: * - p<0,05 относительно опытной группы 1
# - p<0,05 относительно контрольной группы
3.3. ГИСТОЛОГИЧЕСКОЕ ИССЛЕДОВАНИЕ ПРЕПАРАТОВ АОРТЫ ЭКСПЕРИМЕНТАЛЬНЫХ ЖИВОТНЫХ
Результаты гистологического исследования препаратов аорты представлены в таблице 4. При макроскопическом исследовании аорты у 100% животных первой опытной группы наблюдали умеренно выраженные уплотнения в брюшном и грудном отделе аорты и снижение эластичности стенки аорты.
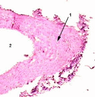
При микроскопическом исследовании аорты животных первой опытной группы во всех образцах обнаружен склероз ветвей брюшной отдела у 100% с наложением фибрина у 100% и частичной облитерацией их просвета у 40 %. При исследовании грудного отдела аорты выявлены слабо выраженные очаговые утолщения стенки у 50 %. В целом в препаратах аорты наблюдали признаки атеросклероза в стадии сформированной фиброзной бляшки (Рис. 2).
Таблица 4
Макро- и микроскопические изменения стенки аорты экспериментальных животных
| Признаки | Опытная 1 | Опытная 2 | ||||
| % | степень | % | степень | |||
| МАКРО-скопическое исследование | Уплотнения в брюшном отделе | 100 | ++ | 70 | + | |
| Уплотнения в грудном отделе | 100 | ++ | - | - | ||
| Снижение эластичности стенки | 100 | ++ | 70 | + | ||
| МИКРО- скопическое исследование | Очаговые утолщения стенки в брюшном отделе | 100 | ++ | 70 | + | |
| Очаговые утолщения стенки в грудном отделе | 50 | + | - | - | ||
| Наложения фибрина | 100 | ++ | - | - | ||
| Склероз ветвей брюшной аорты | 100 | +++ | 70 | ++ | ||
| Облитерация просвета ветвей брюшной аорты | 40 | ++ | - | - | ||
Примечание: +++ сильно выражены, ++ умеренно выражены, + слабо выражены
У животных второй опытной группы при микро- и макроскопическом исследовании аорты все указанные изменения были выражены в меньшей степени.
Рисунок 2
Фиброзная бляшка в стенке брюшного отдела аорты (из препаратов 1 опытной группы), окраска гематоксилин-эозин х 250.
















