93416 (681384), страница 2
Текст из файла (страница 2)
З ускладнень периферичного раку слід відмітити:
1) розпад пухлини;
2) метастазування в регіонарні лімфовузли (медіастинальна форма раку);
3) метастазування в легені (міліарний карциноз);
4) плеврит;
5) вторинні запальні процеси.
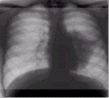
Медіастинальний рак легенів клінічно характеризується компресіонним синдромом ушкодження середостіння (синдром верхньої порожнистої вени, здавлення стравоходу та ін). Краще визначається на КТ як тінь з одного боку, яка закриває тінь кореня або проростає в середостіння (рис.8).
Міліарний карциноз легенів рентгенологічно характеризується множинними тінями, діаметр яких від 1 до 3 мм. Легеневий рисунок не простежується.
Бронхіолоальвеолярний рак
Бронхіолоальвеолярний рак (аденоматоз легенів) виникає з епітелія альвеол чи бронхіол і спостерігається у 5% всіх хворих на рак легені. Пухлина відрізняється повільними темпами росту: середній час подвоєння її обєму складає 350-500 діб. Клінічні прояви цього раку на початкових стадіях розвитку відсутні. Характерною ознакою бронхіолоальвеолярного раку є виділення великої кількості піністої слизово-водяністої мокроти.
Специфічних променевих ознак цього захворювання не має, як не існує і характерної локалізації. При бронхіолоальвеолярному раці зустрічаються всі відомі в рентгенології синдроми захворювань легенів: солітарний периферичний вузол чи пневмонієподібний інфільтрат, група вогнищ, які симулють туберкульоз, прикорневе, часткове чи субчасткове ущільнення, міліарна дисемінація та інше. Але частіше зустрічаються три форми: вузлова, пневмонієподібна та дисемінована. Процес може бути однобічним чи двобічним. Велике значення в діагностиці бронхіолоальвеолярного раку має цитологічне дослідження мокроти чи пункційна біопсія.
Верхівковий рак
Верхівковий рак (рак Пенкоста) має характерний інфільтративний ріст, порушення ребер, появи різких болей в руці (плексит) та тріади Горнера (птоз повіки, енофтальм, звуження зіниці). Це симптоми запущеного процесу, який поширився за межі легені.
Рентгенологічні ознаки верхівкового раку - тінь з дугоподібною нижньою межею в ділянці верхівки легені. Ця межа високо піднімається по мірі наближення до середостіння, тому максимальний розмір тіні відмічається в легені. Верхня межа не виявляється. Характерною ознакою цієї форми раку є деструкція задніх відрізків ребер, а також поперечних відтінків декількох хребців.
Метастатичні пухлини легенів
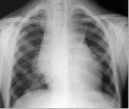
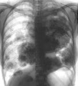
Метастатичні пухлини легенів виникають при розповсюдженні пухлинних емболів гематогенним, лімфогенним і бронхогенним шляхами. Клініка при метастастатичному ураженні легенів складається з задухи, виділення мокротиння з кров’ю, біллю у грудній клітині, підвищення температури тіла та слабкості. Променева картина метастатичних пухлин залежить від шляху розповсюдження процесу. В разі гематогенного поширення пухлинні емболи осідають у найменших судинах легенів (артеріолах, капілярах, венулах), де в подальшому розвиваються метастази. Частіше вони локалізуються у поверхневих відділах легеневої паренхіми (нерідко субплеврально). За формою можуть бути округлі, вузлоподібні, інтерстиціальні, змішані з чіткими контурами. Метастази можуть виявлятися в різній кількості в одній або в двох легенях, в них не буває порожнини розпаду (рис.9) !
У разі лімфогенного занесення пухлинних мас пошкоджуються лімфатичні вузли навколо коренів легенів і середостіння, що призводить до пухлинного переродження лімфатичних вузлів. Ураження лімфовузлів приводить до подальшого застою в легенях і розвитку септичної метастатичної пневмонії.
При сцинтиграфічному дослідженні з різними РФП: з Na131I - для виявлення рецидиву та метастазів диференційованого раку щитоподібної залози в легені; з 67Ga-цитратом - для виявлення метастазів в лімфовузли, останні виглядають як вогнища накопичення РФП в відповідних ділянках, уражених Mts.
Доброякісні пухлини
Головною ознакою пухлин, які можуть виникати з будь-якої тканини, що є у структурі легені (епітеліальної, сполучної, хрящової та ін) або із тканин, будова яких відхиляється від норми внаслідок порушення ембріогенезу (хондроми, дермоїди, тератоїди та ін.), є чіткі межі тіні на фоні незміненої легеневої тканини.
Загальна класифікація доброякісних пухлин легенів поділяє їх на дві групи: внутрішньо - та зовнішньобронхіальні. Перші рано викликають порушення бронхіальної проходимості, другі можуть досягати великих розмірів, не викликаючи суттєвих функціональних порушень. В кожній групі, в свою чергу, виділяють епітеліальні (аденоми, папіломи) та неепітеліальні (гамартоми, фіброми, міоми, ліпоми, невроми, тератоми) пухлини.
Рентгенологічними ознаками внутрішньобронхіальних пухлин є зменшення прозорості легені на боці ушкодження, різного ступеня тяжкості симптом Гольцкнехта-Якобсона, який залежить від ступеня стенозу головного бронха. Якщо пухлина обтурує бронх повністю, на рентгенограмі визначається ателектаз певної ділянки легені. Внутрішньобронхіальні пухлини діагностують також за допомогою бронхоскопії та бронхографії. Зовнішньобронхіальні пухлини, незалежно від гістологічної структури, проявляються, як правило, тінями із рівними чіткими контурами, які можуть бути хвилястими. Структура доброякісних пухлин залежить від їх генезу. Легеневий рисунок навколо пухлини не змінений.
Отже, показання до рентгенологічного дослідження легенів дуже широкі: підвищення температури тіла, кашель, виділення харкотиння, задишка, біль у грудях, немотивована слабкість та інші патологічні стани.
Всі методи рентгенологічного дослідження органів дихання поділяють на безконтрастні, контрастні та рентгенофункціональні. Серед перших найчастіше використовуються: рентгеноскопія, рентгенографія, флюорографія, лінійна та комп’ютерна томографії. Для характеристики стану трахеобронхіального дерева проводять штучне контрастування бронхіальної системи (бронхографію), а при підозрі на патологію судин легенів штучне контрастування бронхіальних артерій чи гілок легеневої артерії (ангіопульмонографію). Якщо потрібно встановити функціональні зміни органів дихання проводять рентгенологічне дослідження з визначеними пробами: Соколова-Вальсальви, Мюллера.
Рис.1 Рис.2 Рис.3
Рис.4
Рис.5 Рис.6
Рис.7 Рис.8
Рис.9
Література
-
Болезни системы дыхания под редакцией проф. Ивана Й. Йонкова и проф. Стефана Т. Тодорова. "Медицина и физкультура", София. 1966 г.
-
В.І. Мілько, Т.В. Топчій, А.П. Лазар. Рентгенодіагностика, “Нова книга", Вінниця. 2005 р.
-
Вибрані лекції з радіонуклідної діагностики та променевої терапії за ред. проф. А.П. Лазара. „Нова книга", Вінниця. 2006. - 197 с.
-
Дворяковский И.В., Федоров А.М., Ляшко В.В., и др. Возможности эхографии в диагностике острой пневмонии у детей // Материалы 1Съезда ассоциации специалистов УЗД в медицине. М. 1991. - 169 с.
-
Кальная Т.В., Самохина Н.В., Кальная Н.А. Возможности сочетанной рентгено ультразвуковой диагностики заболеваний органов грудной клетки у детей // Ультразв. диагн. акуш. гинекол. педиатр. N 2.1994. - 41 с.
-
Кравчук С.Ю., Лазар А.П. “Основи променевої діагностики", Чернівці, 2005 рік.
-
Кузнецов А.А., Иванищак Б.Е., Пикулев Л.А. Возможности ультразвука в диагностике крупозной пневмонии // Ультразв. диагн. N 2.1997. - 25 с.
-
Л.Д. Линденбратен, И.П. Королюк. "Медицинская радиология" М.: "Медицина", 2000. - 640 с.
-
Л.Д. Линденбратен, И.П. Королюк. "Медицинская рентгенология и радиология" М.: "Медицина", 1995. - 496с.
-
Л.Д. Линденбратен, Л.Б. Наумов. "Медицинская рентгенология" М.: "Медицина", 1974. - 383 с.
-
Л.С. Розенштраух, Н.И. Рыбакова, М.Г. Винер. "Рентгенодіагностика заболеваний органов дыхания" М.: "Медицина", 1984. - 640 с.
-
Общее руководство по радиологии. Редактор Х. Петерсон, в 2-х томах. Юбилейная книга МІСЕК 1995 г.
-
Пособие по ядерной медицине. Под ред. Т.П. Сиваченко. К.: "Вища школа", 1991. - 535с.
-
Променева діагностика. За ред. Г Ю Коваль. - К.: ОРБІС, т. І, т.2 1998. - 835с.
-
Руководство для врачей, направляющих пациентов на радиологическое исследование. Критерии выбора метода изображения. (Адаптировано Европейской комиссией и экспертами, представляющими Европейскую радиологию и Ядерную медицину. Согласовано с Европейской комиссией). МЗ Украины 2000. - 104 с.
-
Сапожников В.Г., Куликов В.А., Тарасова О.В., и др. О возможности эхографической диагностики кисты лёгких у новорожденных // Ультразв. диагн. акуш. гинекол. педиатр. N 4.1994. - С.76-78.
-
Тимофеев А.А., Волынец Г.В., Горячев С.В. Острые пневмонии у детей в эхографическом изображении // Ультразв. диагн. акуш. гинекол. педиатр. N 2.1995. - С.86-93.
-
Ультразвуковая диагностика в детской хирургии. Под. ред. Дворяковского И.В., Беляевой О.А. М. 1997. - С.119-127.















