92135 (680447), страница 2
Текст из файла (страница 2)
Ступінь структурних змін оцінювали за результатами світлової та електронної мікроскопії (за загальноприйнятими методами).
Виявлені зміни коригували тіотріазоліном і корвітином. Обидва препарати вводили доочеревинно 1 раз на добу, протягом 10 днів: корвітин вводився в разовій дозі 40 мг/кг (Максютина Н.П., Мойбенко О.О., 2000), а тіотріазолін – в разовій дозі 50 мг/кг (Піняжко О.Р., Кайдашев І.П., 1997).
Досліджуваний середник тіотріазолін (Т) виробляється АТ «Галичфарм» у місті Львові. Він є гепато- і кардіопротектором. Його фармакологічна дія зумовлена: антиішемічними, мембраностабілізуючими, антиоксидантними і імуномодулюючими властивостями (Визир А.Д., 1993; Піняжко О.Р., 1997; Нейко Е.М., 1998; Визир А.Д., 2002).
Препарат корвітин – натуральний екстракт із класу біофлавоноїдів з: антигістамінною дією (блокує вироблення гістаміну, серотоніну та лейкотрієнів); протизапальною та протинабряковою дією; антиоксидантною дією (блокує вільні радикали як ендогенного так і екзогенного походження); стабілізує клітинні мембрани, знижує проникність капілярів; (Визир В.А., 1999; Калиман П.Л., 2001, Мойбенко А.А., 1995; Марков А.Г., 2002). Ми використовували парентеральну форму «Корвітин» ®, що випускає Борщагівський хімфармзавод.
Статистичний аналіз отриманих результатів проводився за допомогою методу варіаційної статистики (Минцер О.П., Угаров Б.Н., 1991) використовуючи t‑критерій Стьюдента для оцінки достовірності відмінностей груп даних. Статистично достовірними вважалися результати, для яких Р ≤ 0,05.
Основні результати досліджень та їх обговорення. При вивченні особливостей розвитку гострого імунокомплексного процесу (ГІКП) було виявлено достовірне зростання показників циркулюючих імунних комплексів малих розмірів на 21% (Р < 0,001) та середніх на 39% (Р < 0,001). Одночасно з цим, знизилися показники гемолітичної активності комплементу (ГАК) на 23% (Р < 0,001), що свідчить про залучення його у патологічний процес.
Розвиток гострої сироваткової хвороби викликав дисбаланс у системі пероксидне окиснення ліпідів – антиоксидантний захист. Як видно з табл. 1 достовірно зріс рівень малонового діальдегіду (МДА) на 44% (Р < 0,02), зросли індекс антиоксидантної активності (ІАОА) на 60% (Р < 0,001) та активність каталази (Кат) на 11% (Р < 0,001), одночасно з цим, активність супероксиддисмутази (СОД) у крові знизилася на 29% (Р < 0,01). Кількість сульфгідрильних груп (-SH-груп) у тварин з гострою сироватковою хворобою зменшилася на 55% як в ендокарді (Р < 0,001), так і в міокарді (Р < 0,001), проте їх кількість у сироватці крові зросла на 25% (Р < 0,001).
Підвищений рівень патогенних циркулюючих імунних комплексів, компоненти комплементу та розбалансованість між процесами ліпопероксидації і антиоксидантною активністю викликали зміни у структурі мембран кардіоміоцитів, що супроводжується достовірним збільшенням у сироватці крові показників активності органоспецифічних ферментів. А саме активність креатинфосфокінази зросла в 1,9 разів (Р < 0,01), активність аспартатамінотрансферази – в 1,3 рази (Р < 0,01), і активність лактатдегідрогенази – у 1,5 рази (Р < 0,01).
Таблиця 1
Характеристика опосередкованих показників пошкодження клітинних мембран кардіоміоцитів у морських свинок за умов гострої сироваткової хвороби (М ± m; n = 20)
| Показник | Контроль | Дослід | Р |
| МДА, мкмоль/мл | 70,67 ± 0,74 | 102,0 ± 12,1 | 0,02 |
| ІАОА | 2,85 ± 0,04 | 4,57 ± 0,35 | 0,001 |
| СОД, од.акт./млЧхв | 458,47 ± 21,69 | 326,29 ± 12,90 | 0,001 |
| Каталаза, нмоль Н2О2/млЧгод. | 0,036 ± 0,001 | 0,040 ± 0,001 | 0,001 |
| SH-cироватка, мкмоль | 0,109 ± 0,005 | 0,136 ± 0,005 | 0,001 |
| SH-ендокард, мкмоль | 26,26 ± 1,33 | 11,72 ± 1,16 | 0,001 |
| SH-міокард, мкмоль | 10,57 ± 0,44 | 4,72 ± 0,72 | 0,001 |
| ПГЕ, % гемолізу | 8,82 ± 0,25 | 12,08 ± 0,29 | 0,001 |
| Примітка: Р – достовірність змін у порівнянні з контролем. | |||
Враховуючи, що еритроцитарні мембрани розглядаються як прототип плазматичних мембран всіх клітин організму, то зміна їх проникності може відображати зміни проникності мембран кардіоміоцитів. Стан мембран оцінювали за відсотком гемолізованих еритроцитів (ПГЕ) і було виявлено, що в дослідній групі цей показник зростає на 37% (Р < 0,001), отже проникність мембран кардіоміоцитів збільшилася.
Розвиток гострої сироваткової хвороби супроводжувався змінами в енергопостачанні кардіоміоцитів. Вміст у сироватці крові молочної кислоти зріс на 13% (Р < 0,05), а концентрація піровиноградної кислоти збільшилася на 70% (Р < 0,001) у порівнянні з інтактною групою тварин.
При морфологічному дослідженні тканин серця було виявлено нерівномірну за поширеністю дистрофію паренхіматозних структур. Переважно субендокардіально та в папілярних м’язах визначалися дистрофічно трансформовані кардіоміоцити аж до вакуолізації цитоплазми частини з них. Міжм’язові проміжки нерівномірно поширені за рахунок набряку інтерстицію та крововиливів.
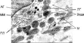
При вивченні ультратонких зрізів тканини міокарда були виявлені наступні зміни (див. рис. 1).
Мітохондрії кардіоміоцитів з дещо підвищеною електронною щільністю, дезорганізовані, а саме, розпушені кристи внутрішньої мембрани. Частина мітохондрій містить значні ділянки електронно-світлих гомогенних мас. Саркоплазма має знижену електронну щільність внаслідок підвищеного вмісту рідини. Кількість рибосом та полісом знижена, у значній кількості наявні краплі ліпопротеїдів низької щільності. У саркомерах міофібрил Z-смуги не чіткі, а також порушена структурна орієнтація волокон актину та міозину. Сарколема, переважно, згладжена, а в окремих ділянках її електронна щільність підвищена. Каріотека ядер кардіоміоцитів на більшості ділянок дезорганізована, особливо тих, що прилягають до гіпертрофованого апарату Гольджі. Останній містить збільшену кількість розширених цистерн, мікроміхурців, первинних лізосом, мультивезикулярних тілець.
Рис. 1. Будова кардіоміоцита у морських свинок за умов гострої сироваткової хвороби (набряк мітохондрій та саркоплазми, релаксовані міофібрили): М – мітохондрії; ПЛ – первинні лізосоми; АГ – апарат Гольджі; ЛГ – ліпопротеїнові гранули; ММ – мікроміхурці; Зб. – Ч 21000
Отже, патогенний вплив на серце імунні комплекси здійснюють декількома шляхами. По-перше: активують систему комплементу, а по-друге звільняють численні біологічно активні речовини, які індукують надмірне пероксидне окиснення ліпідів. Недостатня активність антиоксидантного захисту призводить не лише до пригнічення окислювального фосфорилювання та гліколізу, а й до порушення структури і функції плазматичних та цитоплазматичних мембран, що в свою чергу спричинює порушення функції клітин, а можливо і їх загибель.
Питання терапії гострого імунокомплексного процесу є досить складним і суперечливим. Ми в експерименті намагалися оцінити вплив на цей процес тіотріазоліну (Т) та корвітину (К), попередньо дослідивши вплив цих препаратів на інтактний організм, щоб виключити можливий дисрегуляторний ефект на механізм імунної відповіді.
Було встановлено, що лише корвітин проявив імуномодулюючі властивості, достовірно знизивши кількість імунних комплексів середніх та малих розмірів, а також підвищивши активність комплементу.
При дослідженні впливу тіотріазоліну і корвітину на метаболізм у кардіоміоцитах було виявлено, що обидва препарати проявляють антиоксидантну дію, достовірно знижуючи в сироватці крові рівень малонового діальдегіду. Також вони є інгібіторами антиоксидантної системи. Так тіотріазолін підвищує активність каталази та кількість сульфгідрильних груп у міокарді. У корвітина цей вплив виражений дещо більше. Він збільшує активність каталази та супероксиддисмутази, також зростає індекс антиоксидантної активності та кількість сульфгідрильних груп у ендокарді. Відсоток гемолізованих еритроцитів був у межах норми на фоні введення обох препаратів. На процеси гліколізу жоден з препаратів не вплинув.
Наступним етапом дослідження було з’ясувати можливість корекції тіотріазоліном та корвітином виявлених структурно-метаболічних змін у кардіоміоцитах за умов гострої сироваткової хвороби.
Вплив препаратів на імунну систему представлений у табл. 2.
Таблиця 2
Характеристика показників ЦІК та гемолітичної активності комплементу сироватки крові у морських свинок з гострою сироватковою хворобою, які отримували розчин тіотріазоліну та корвітину (М ± m; n = 20)
| Показник | Контроль | Дослід | Дослід + Т | Дослід + К |
| ЦІК великі, од. опт. густ. | 61,00 ± 5,00 | 53,00 ± 5,00 | 60,00 ± 5,00 | 69,00 ± 3,00* |
| ЦІК середні, од. опт. густ. | 206,00 ± 13,00 | 287,00 ± 12,00 | 264,00 ± 10,00° | 228,00 ± 4,00* |
| ЦІК малі, од. опт. густ. | 354,00 ± 9,00 | 430,00 ± 19,00 | 459,00 ± 15,00° | 350,00 ± 15,00* |
| ГАК, гемол.од.СН50 | 83,70 ± 4,26 | 64,13 ± 3,33 | 76,10 ± 4,55* | 80,48 ± 4,26* |
| Примітка: * – достовірність різниці показників у порівнянні з дослідними тваринами; ° – достовірність різниці показників у порівнянні з контролем. | ||||
У тварин з гострою сироватковою хворобою, які отримували розчин тіотріазоліну достовірно збільшився лише показник гемолітичної активності комплементу (ГАК) на 19% (Р < 0,05). У групі тварин, які отримували розчин корвітину достовірно знизилися показники ЦІК середніх та малих розмірів на 21% (Р < 0,001) і 19% (Р < 0,005) відповідно, хоча показник ЦІК великих розмірів зріс на 30% (Р < 0,01). Показник гемолітичної активності комплементу стабілізувався до контрольних цифр (Р < 0,005).
На фоні введення тіотріазоліну тваринам з гострою сироватковою хворобою змін зі сторони ПОЛ не спостерігалося (див. табл. 3). Проте була позитивна динаміка в антиоксидантній системі. При цьому індекс антиоксидантної активності знизився на 14% порівняно з дослідними тваринами, але не наблизився до контрольних цифр. Достовірно підвищилися показники активності СОД на 56% (Р < 0,01) та каталази на 62% (Р < 0,001).
Таблиця 3
Характеристика опосередкованих показників пошкодження клітинних мембран міокарда у морських свинок з гострою сироватковою хворобою після введення розчинів тіотріазоліну та корвітину (М ± m; n = 20)
| Показник | Контроль | Дослід | Дослід + Т | Дослід + К |
| МДА, мкмоль/мл | 70,67 ± 0,74 | 102,0 ± 12,1 | 99,36 ± 10,74° | 81,40 ± 5,39° |
| ІАОА | 2,85 ± 0,04 | 4,57 ± 0,35 | 3,94 ± 0,43° | 2,53 ± 0,09* |
| СОД, од.акт./млЧхв | 458,47 ± 21,69 | 326,29 ± 12,9 | 509,37 ± 60,68* | 513,56 ± 14,65*° |
| Кат.ммольН2О2/ млЧгод | 0,036 ± 0,001 | 0,040 ± 0,001 | 0,065 ± 0,002*° | 0,035 ± 0,001* |
SH-сироватка, мкмоль | 0,109 ± 0,005 | 0,136 ± 0,005 | 0,066 ± 0,003*° | 0,063 ± 0,003*° |
SH-ендокард, мкмоль | 26,26 ± 1,33 | 11,72 ± 1,16 | 16,85 ± 1,36*° | 19,01 ± 0,82*° |
SH-міокард, мкмоль | 10,57 ± 0,44 | 4,72 ± 0,72 | 14,91 ± 1,03*° | 12,25 ± 0,56*° |
| ПГЕ, % | 8,82 ± 0,25 | 12,08 ± 0,29 | 5,26 ± 0,40*° | 7,55 ± 0,31*° |
| Примітка: * – достовірність різниці показників у порівнянні з дослідними тваринами; ° – достовірність різниці показників у порівнянні з контролем. | ||||
Введення корвітину тваринам з гострою сироватковою хворобою викликало деяке пригнічення ПОЛ та активувало антиоксидантний захист. Як видно з табл. 3, кількість МДА мав тенденцію до зниження на 20%. Одночасно знижується індекс антиоксидантної активності на 45% (Р < 0,001) та активність каталази – на 13% (Р < 0,001). Проте, активність супероксиддисмутази зростає на 57% (Р < 0,001).








