91850 (680263), страница 2
Текст из файла (страница 2)
Схематичне зображення системи трубка-детектор для третього покоління КТ.
а - Перша в історії комп’ютерна томограма. б - Сучасна комп’ютерна томограма мозку.
Томографічний шар тканини, що проходить дослідження, поділений на об’ємні елементи - вокселі. Ослаблення у кожному вокселі зумовлює яркість у відповідному пікселе.
Шкала Хаунсфілда. Показано приблизне розташування різних тканин (паренхіматозних органів та м’яких тканин, що не містять жиру). Точки відліку: -1000 HU для повітря, 0 HU – для води.
Мультиспіральна КТ легень.
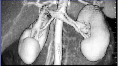
КТ-реконструкція зображення нирок.
Література
Важенин А. В., Ваганов Н. В. Медицинско-физическое обеспечение лучевой терапии. — Челябинск, 2007.
Левин Г. Г., Вишняков Г. Н. Оптическая томография. — М.: Радио и связь, 1989. — 224 с.
Тихонов А. Н., Арсенин В. Я., Тимонов А. А. Математические задачи компьютерной томографии. — М.: Наука, Гл. ред. физ.-мат. лит., 1987. — 160 с.
Тихонов А. Н., Гончарский А. В., Степанов В. В., Ягола А. Г. Численные методы решения некорректных задач. — М.: Наука, Гл. ред. физ.-мат. лит., 1990. — 232 с.
Наттерер Ф. Математические аспекты компьютерной томографии. — М.: Мир, 1990. — 288 с.
Васильев М. Н., Горшков А. В. Аппаратно-программный комплекс GEMMA и томографический метод измерения многомерных функций распределения в траекторном и фазовом пространствах при диагностике пучков заряженных частиц. // Приборы и техника эксперимента. — 1994. № 5. — С.79-94. // Перевод на англ.: Instruments and Experimental Techniques. — V.37. № 5. Part 1. 1994. -P.581-591.
Горшков А. В. Пакет программ REIMAGE для существенного улучшения разрешения изображений при обработке данных физического эксперимента и метод нахождения неизвестной аппаратной функции. 26.01.94. // Приборы и техника эксперимента. — 1995. № 2. — С.68-78. // Перевод на англ.: Instruments and Experimental Techniques. — V.38. № 2. 1995. — P.185-191.
Москалёв И. Н., Стефановский А. М. Диагностика плазмы с помощью открытых цилиндрических резонаторов. — М.: Энергоатомиздат, 1985.
Хермен Г. Восстановление изображений по проекциям: Основы реконструктивной томографии. — М.: Мир, 1983. — 352 с.















