10528 (600397), страница 3
Текст из файла (страница 3)
На гістоавтографах з 3Н-тимидином визначали (у %) відношення мічених кліток до загального числа кліток на умовну одиницю площі гістологічного зрізу, а також інтенсивність синтезу дезоксирибонуклеїнової кислоти по концентрації мітки над ядром клітки (інтенсивність мічення). Мітотичний індекс ядер обчислювався на 1000 клітин. Отримані дані обробляли методом варіаційної статистики (Терентьєв, Ростова, 1977).
У період розвитку личинки (стадія 46, 47, 49 по Н. В. Дабагяну) окістя довгих трубчастих кіст у зонах закладки кісти діафіз, метафіз і "перехідна зона" різна по товщині (кількості клітинних рядів) і функціональним проявам кліток. Так, у личинок (на стадії 46) окістя починає диференціюватися в діафізарній зоні майбутньої кісти в період, коли хрящова закладка підготовлена до заміщення. У найглибшому шарі перехондра ще до появи тут кісткової манжетки клітки здобувають характерний вид остеобластів і починають продукувати фермент - лужну фосфатазу. У цей час у земноводних відзначається типове для амфібій грибоподібне розростання хрящового епіфіза, краю якого далеко заходять на метафізи. Клітки окістя в "перехідній зоні" (на границі перихондр -і окістя) розташовані в 2-3 ряду, з яких внутрішній шар складається з остеобластів, а поверхневий - хондробластів. У кінцевому верхівковому відділі щілини, куди край кісткової трубки не доходить, утримуються тільки хондробласти (малюнок, а).
Уже через годину після введення 3Н-тимидина індекс мічення клітин, як по шарах перихондра, так і по зонах хрящової закладки кісти, неоднаковий (малюнок, б): він, по-перше, значно вище в зоні діафізу закладки кістки і, по-друге, великий відсоток мічених ядер відзначається в його поверхневому шарі. Варто звернути увагу на те, що і показник мітотичного розподілу цих клітин вищий.
Очевидно, сумарний показник концентрації всіх клітин окістя, як і фракції в кожній зоні закладки кістки, безпосередньо зв'язаний з інтенсивністю протекаючого тут перихондрально-періостального остеопластичного процесу. Тому що в метафізарній зоні приріст йде повільно, те тут і зосереджено на еквівалентній площі мінімальна кількість проліферуючих клітин.
Приблизно така ж картина розподілу кліток у зоні метафиза зберігається і через 24 год. після введення 3Н-тимидина (личинки досягають 47-й стадії розвитку), однак до цього часу вагомо (майже в 2 рази) зменшується інтенсивність мічення кліток поверхневого шару - свідчення розподілу, що пройшли за цей час їх, (від 13 до 27 %).
У цей час перихондральна кісткова трубка в області діафаза здобуває трохи великі розміри по довжині і масі. Якщо на попередній стадії зачаток кісткового діафізу виглядав на гістологічному зрізі як тонка (10-12 мкм) пластинка, то на стадії 47 товщина її досягає 24 мкм, і в ній уже є одиничні остеоцити.
Паралельно з цим слід зазначити кількісне збільшення мічених остеобластів (з 17 до 38 %) і незначна кількість мічених фібробластоподобних клітин. Однак якщо збільшення мічених остеобластів відбулося за рахунок дозрівання як позначених преостеобластів, так і розподілу самих остеобластів, ту утримуючу мітку фібробластоподібні клітки розподіляються в межах своєї ж популяції поверхневого шару.
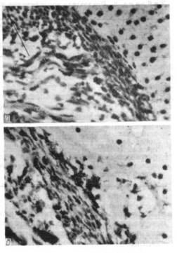
Гістоавтографи окістя стегнової кісти личинки P. fuscus на стадії 47 (по Н. В. Дабагяну). Видні численні мічені клітки окістя (а) і окістя зони діафізу (в) через 1 год. після внутріочеревного введення 3Н-тимідину (Гемат.-еозин Делафильда; про. 40. ок. 7).
Через 48 год. після введення 3Н-тимидина можна відзначити наступне: 1) помітно прогресує фракція мічених кліток у глибокому шарі (зона діафізу) при одночасному значимому зниженні індексу мічення кліток поверхневого шару, тобто поповнення остеобластів, очевидно, відбувається за рахунок кліток поверхневого шару періоду; 2) частина мічених кліток метафіза розділилася повторно. Мітка над ядрами деяких кліток стала на рівні тла, і вони не враховувалися при підрахунку.
Отже, сам собою напрошується висновок про те, що інтенсивність остеопластичного процесу в зростаючій закладці кістки в даний період онтогенезу тісно зв'язана з кількісною концентрацією остеогенних клітин і їх проліферуючих одиниць у кожній конкретній зоні періхондра - періосту, що в кінцевому рахунку і позначиться на росту кістякових ланок у цілому.
Для того щоб упевнитися в можливості цього, ми поставили додатковий досвід на однорічних чесночницях при тих же режимах введення 3Н-тимидина в організмі. Перед початком викладу результатів даного дослідження відзначимо, що в річної жаби діафізарна область стегнової кістки вже цілком сформовані, ростові процеси зберігаються ще в метафізах і значно активно протікають у перехідній зоні.
На відміну від окістя більш ранніх стадій розвитку личинок у жаб на цій стадії онтогенезу остеобласті в періості діафіза вже здобувають форму подовжених кліток із щільним штриховидним ядром. Такий метаморфоз остеогенних клітин, очевидно, зв'язаний з переходом окістя діафізарної зони кістки в стан більш зрілої тихорєцької диференціювання, для якої подовжена форма остеогенних клітин є звичайною. Незважаючи на зміну форми, їхня кількість на рівній довжині періосту зберігається в межах 17-20 одиниць на 250 мкм.
Природно, виникає питання: яким шляхом поповнюється склад остеогенних клітин в окісті, за рахунок яких джерел?
При аналізі отриманих гістоавтографів виявилося, що через годину після введення 3Н-тимидина в окісті діафізу відзначаються усього одиничні (до 6%) мічені клітини серед преостеобластів. В окісті зони метафізів реєструються мічені клітини усіх видів зрілості (остеобласти, преостеобласти і фібробластоподібні клітини), однак їхній відсоток невисокий (від 5 до 7 %). У той же час у "перехідній зоні" індекси мічення ядер над цими видами кліток трохи вище, а над преостеобластами і фібробластоподобними клітками індекси мічення ядер майже в 3 рази вище, ніж в окісті зони метафіза кістки.
Через 24 год. після початку досліду в зоні діафіза як і раніше реєструються невисокі відсотки мічених ядер над клітинами - 2-4 %, у той час як над ядрами клітин метафіза і перехідної зони - значно вище. Так, над прехондробластами індекс мічення ядер - 18 %, а над преостеобластами - 53%. При цьому відзначається зниження на половину інтенсивності мітки (з 60 до 22 зерен відновленого срібла), через 24 год. ми врахували фактично популяцію поділившихся раніше позначених клітин.
У метаепіфізарних зонах під грибоподібною муфтою епіфізарного хряща продовжує існувати періостально-перихондральна ділянка, у якому на границі з гіаліновим хрящем клітки такого тихорєцького утворення диференціюються в хондробласти, а на границі з кістою і кровоносними судинами - в остеобласти. Поверхневий шар окістя, як і на попередніх стадіях, складається з волокнистого каркаса з включеними клітками різного рівня диференціювання - від фібробластоподобних до преостеобластів. Поповнення кліток у ній відбувається переважно за рахунок менш диференційованих станів, і частково за рахунок функціонально зрілих остеобластів. Тобто , окістя в земноводних тут представлена єдиним шаром: входять до складу клітини різних стадій диференціювання.
При аналізі гистоавтографов через 72 год. у зоні діафізу кістки в окісті відзначається як і раніше невисокий індекс мічення ядер клітин. Серед ядер клітин окістя зони метафізів індекси мічення ядер також невисокі.
При цьому над фібробластоподобними клітинами відзначається і розведення мітки, тобто має місце, очевидно, не тільки їхній розподіл, але і трансформація в інші ряди клітин, наприклад, за їхній рахунок йде поповнення популяції преостеобластів. Зниження індексів мічення ядер спостерігається і над ядрами клітин перехідної зони, з одного боку, за рахунок зменшення прехондробластів ми маємо збільшення відсотка хондробластів, а з іншого боку - за рахунок раніше мічених преостеобластів - значний ще відсоток мічених остеобластів (19 %).
Преостеобластичні стани, зважаючи на все, являють собою основний клітинний фонд зростаючого окістя, тому що фібробластоподібні форми пролиферируют (по радіоактивному індексі) у межах 16-19%. Картина гісторадіографії цікава не стільки цими даними, скільки можливістю вірогідно переконатися в гістогенетичній наступності різно диференційованих клітин окістя. Справді, протягом доби можна відзначити достовірне поповнення фракції мічених остеобластів за рахунок диференціювання раніше мічених преостеобластів, що помітно по чисельному збільшенню остеобластів з половинною інтенсивністю мітки, характерної для преостеобластів, що розділилися. Однак навіть в умовах короткочасного досліду помітна тенденція переходу невеликої частки позначених клітин фібробластоподобних у шар преостеобластів. Тенденція домінуючого проліферування менш диференційованих клітин для поповнення складу більш диференційованих кліток самого внутрішнього шару добре помітна ще в перихондрі до початку периостального остеогенезу. На наступних етапах спостереження (через 24, 48 год.), коли вільно циркулює в організмі 3Н-тимидина вже нема, помітно прогресує фракція мічених клітин у глибокому шарі при одночасному значимому зниженні індексу мічення клітин поверхневого шару. При цьому слід зазначити, що ключовий етап периостального остеогенезу завжди починається з налагодженням остеогенної функції в клітках перихондра, тому структуру перихондра є підстави вважати як вихідну для диференціювання в періост. Але зовсім ясним варто визнати і те, що навіть у сформованій зоні кісткового кістяка (діафізі) клітини окістя якоюсь мірою зберігають проліферативні властивості, можливо, необхідні не стільки для росту кісти, скільки для її адаптивного ремоделировання і фізіологічної регенерації.
У спеціальній літературі немає даних про проліферативні властивості клітин окістя в земноводних. Такі відомості отримані методом авторадіографії з міченим попередником ДНК - 3Н-тимідином для ссавців (Owen, 1963; Tonna, 1965; Мажуга, Хрисан-фова, 1985; Родіонова, 1989). У цих роботах відзначається низька проліферативна активність клітин поверхневого шару окістя в пацюка.
Отримані нами дані дають підстави погодитись з припущенням інших авторів (Левикова, 1950; Prіchard, 1952; Burger et al. 1986), які допускають можливу участь клітин поверхневого шару окістя в поповненні його остеогенних клітин і якоюсь мірою доповнюють наявні в спеціальній літературі дані про властивості проліферації клітин окістя в інших хребетних.
Висновок
Для безхвостих земноводних, як і для всіх хребетних тварин характерний процес утворення кісткової тканини. В організмі безхребетних існує два різновиди остеогенезу — безпосередньо із мезенхіми та заміни кісткою гіалінового хряща. Ділянки мезенхіми, в яких почався остеогенез за зовнішнім виглядом являють собою мембрани, осифікація у них називається інтрамембранною. Цей остеогенез характерний для розвитку кісток черепа та нижньої щелепи, на місці, де утворюється кістка, спочатку знаходиться шар рихлої мезенхіми, вона має вигляд зірчастих клітин з відростками, які вступають в контакт з відростками сусідніх клітин мезенхіми, утворюючи сітку, остання занурена в аморфну міжклітинну речовину, що містить окремі пучки колагенових волокон і кровоносні судини.
У ростучих кістках скелету амфібій окістя представлене складною структурою, що складається з остеогенних клітин, що знаходяться на різних стадіях диференціювання. У кістках сформованого і ріст кістяка, що закінчився, вона перетворюється в одношарову структуру, що складається з зовні однотипових фібробластоподобних клітин.
Вивчення проліферативних властивостей клітин окістя у безхвостих проводять за допомогою спеціальних приладів – гіспоавтографів. При цьому використовують мічення клітин.
Література
-
Бродский В.Я., Урываева И.В. Клеточная полиплоидия. Пролиферация и дифференцировка. — М.: «Наука», 1981. — 259 с.
-
Вечерская Т. П. Пролиферативные свойства остеогенных клеток в растущем скелете птиц и млекопитающих: Тез. докл. Респ. научн. конф., поев. 150-летию со дня рождения В. А. Беца. - Киев, 1984. - 95 с.
-
Дабагян Н. В., Слепцова Л. А. Таблица нормального развития травяной лягушки Rana temporaria // Объекты биологии развития.— М.: Наука, 1975.— С. 442 — 463.
-
Домашевская Е. И. Особенности строения надкостницы у некоторых позвоночных // Вестн. зоологии.— 1984,—№ 4 —С. 21—34.
-
Домашевская Е. И. Особенности строения надкостницы у безхвостых амфибий // Вестн. зоологии. — 1982.—№ 2.—С. 42—46.
-
Житников А. Я. Морфология хондрогенеза и кинетика репродукции хондроцитов при развитии хрящевого скелета//Докл. АН УССР. Сер. Б. - 1980.—№ 7, — С. 69 — 74.
-
Кащенко Н. Ф. Что такое мезенхима?// Изв. Томск, ун-та.— 1896.— № 10. — С. 1 — 24.
-
Левикова В. П. Наблюдения над экспериментальным остеогенезом у кролика // Докл. АН СССР.—1950.—71, № 1.—С. 149—152.
-
Мажуга П.М., Домашевская Е.И. Развитие и структура надкостницы у наземных позвоночных. — К.: «Наукова думка», 1990. — 117 с.
-
Мажуга П. М. Кровеносные капилляры и ретикулоэндотелиальная система костного мозга.— Киев: Наук, думка, 1978.— 190 с.
-
Мажура П. М., Хрисанфова Е. Н. Очерки эволюции человека.— Киев: Наук, думка, 1985.— 136 с.
-
Родионова Н. В. Функциональная морфология клеток в остеогенезе.— Киев: Наук, думка, 1989.— 185 с.
-
Румянцев А. В. Опыт исследования эволюции хрящевой и костной тканей.— М.: Медицина, 1958.—439 с.
-
Терентьев П. В. Лягушка.— М.: Сов. наука.— 1950.— 345 с.















